19.09.2024:
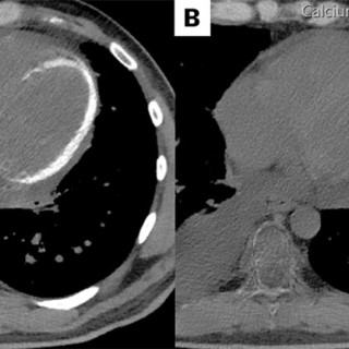
CT-bildene er fra en undersøkelse med opptak uten intravenøs kontrast. Bildet til venstre viser høy attenuasjon i myokard i venstre ventrikkel, og i mindre grad i høyre ventrikkel. Attenuasjonen er tilnærmet lik skjelett i bildet, og tettheten kan passe med forkalkninger. Opptaket er gjort på en spektral-CT, som har økt mulighet for å differensiere mellom ulike vevstyper. Maskinen utnytter de ulike energinivåene i røntgenstrålen, og den kan skille mellom grunnstoffer som jod og kalk utfra absorpsjonsnivået, da begge gir høy attenuasjon. Kalksuppresjon, vist på bildet til høyre (B), bekrefter...