En potensielt farlig malformasjon i indre øre

    ()

    sporsmal_grey_rgb
    Artikkel

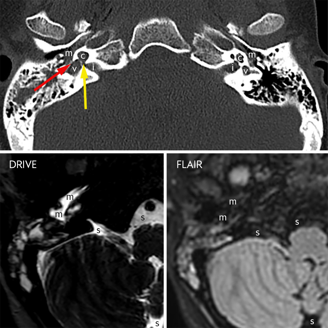
    Det øverste bildet er et utsnitt fra en standard CT caput med volumopptak, her vist med benalgoritme og benvindu i nivå med indre øre. Indikasjonen var et kritisk sykt barn med redusert bevissthet. Mellomøre (m), cochlea (c), vestibulum (v) og indre øregang (i) er markert bilateralt. Indre øre på venstre side er normalt. I indre øre på høyre side er det en medfødt malformasjon. Cochlea har normal størrelse, men fremstår cystisk og mangler intern arkitektur. Det er en bred åpning (gul pil) mellom basis av cochlea og indre øregang. Vestibulum er forstørret, men kan differensieres fra cochlea.

    Malformasjonen er forenlig med incomplete partition type 1, tidligere kalt cystisk kokleovestibulær malformasjon (1). Ved denne malformasjonen har de fleste et uttalt nevrogent hørselstap ipsilateralt. Hos noen vil det også foreligge lekkasje av cerebrospinalvæske fra indre øregang til mellomøret via en fistel gjennom indre øre. På bildet ses innhold i høyre mellomøre lateralt for det ovale vindu (rød pil). Dette er et uspesifikt funn, men det kan være for eksempel cerebrospinalvæske og/eller infeksjon.

    De to nederste bildene er fra en MR-undersøkelse tatt ti dager etter CT. Pasienten ble i mellomtiden behandlet for pneumokokkmeningitt. Det er utsnitt av to sekvenser, 3D-T2-DRIVE og fettsupprimert 3D-T2-FLAIR, i nivå med nedre del av mellomøret. Bare høyre side er vist. Det er innhold i mellomøret (m) som har svært høyt signal på DRIVE og supprimert signal på FLAIR. Dette er samme signalmønster som man ser i cerebrospinalvæsken i subaraknoidalrommet (s) omkring hjernestammen og lillehjernen. Dette er en indikasjon på at det foreligger cerebrospinalvæske i mellomøret og er et indirekte tegn på at det kan foreligge en cerebrospinalvæskefistel (2). Denne kan verifiseres ved positiv test på beta-2-transferrin, forutsatt at det kan samles nok væske til analyse (2). En cerebrospinalvæskefistel til mellomøret medfører risiko for residiverende bakteriell meningitt og kan behandles med kirurgisk lukking (1).

    Pasienten og pasientens foreldre har gitt samtykke til at artikkelen blir publisert.

    Artikkelen er fagfellevurdert.

    Kommentarer  ( 0 )
    PDF
    Skriv ut

    Anbefalte artikler