Penisfraktur

    ()

    sporsmal_grey_rgb
    Artikkel

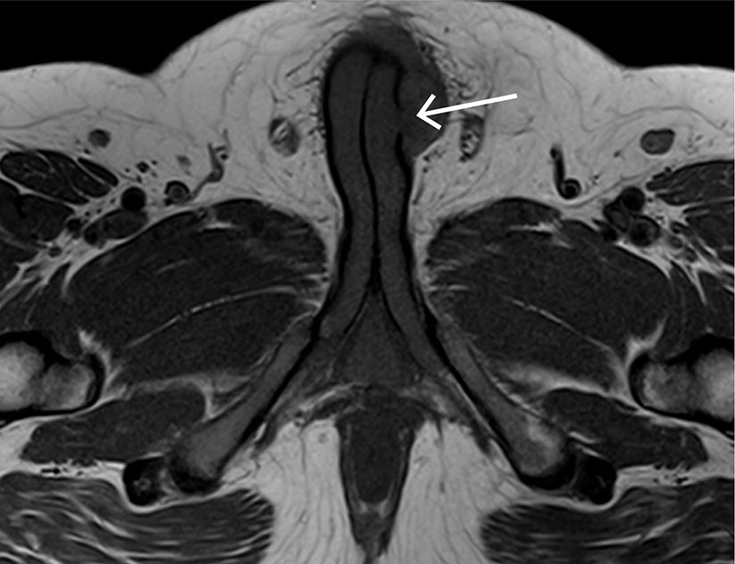
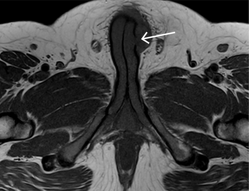
    Det aksialt T1-vektede MR-bildet viser en penis der det på venstre side av penisroten foreligger en diskontinuitet i tunica albuginea forenlig med fraktur. Umiddelbart an mot frakturen ligger et hematom.

    Mannen i 20-årene ble innlagt etter traume mot penis. Han beskrev å ha falt med vridningstraume mot erigert penis samme dag, hadde hørt et «knepp» og deretter fått lokale smerter og et blålig hematom. Smertene avtok med ereksjonen, men ved gjentatt ereksjon kom smertene tilbake. Pasienten oppgav normal vannlating, og urinstiks i akuttmottaket var negativ for hematuri. Ultralyd styrket mistanken om penisfraktur. Ved første operasjon ble det ikke avdekket noen sikker defekt, og videre MR-undersøkelse bekreftet ruptur. Ved ny operasjon tre dager etter innleggelse ble en centimeterstor defekt suturert.

    Penisfraktur er en sjelden akutt urologisk tilstand, som krever akutt innleggelse og som oftest rask kirurgisk intervensjon (1). Frakturen er en ruptur i tunica albuginea av corpus cavernosum forårsaket av traume mot erigert penis, oftest sett i forbindelse med samleie (1). Diagnosen stilles ut fra anamnese og kliniske funn. Det mest typiske funnet kalles auberginetegn grunnet klinisk utseende med utbredt hevelse og hematom, men vår pasient hadde kun lokalisert hevelse og misfarging. Ultralyd kan være til hjelp, men MR-undersøkelse er foretrukket og gir tydelig fremstilling av rupturens størrelse og lokalisering (1). Det er viktig å avklare om rupturen går helt inn til urinrøret, som avgjør hvor rask kirurgisk intervensjon som er indisert.

    Komplikasjoner som erektil dysfunksjon og skjevstillinger av erigert penis eller urinrørsforsnevringer forekommer, men prognosen er god ved rask kirurgisk intervensjon.

    Pasienten har gitt samtykke til at artikkelen blir publisert.

    Artikkelen er fagfellevurdert.

    Kommentarer  ( 0 )
    PDF
    Skriv ut

    Anbefalte artikler