Porselenshjerte

    ()

    sporsmal_grey_rgb
    Artikkel

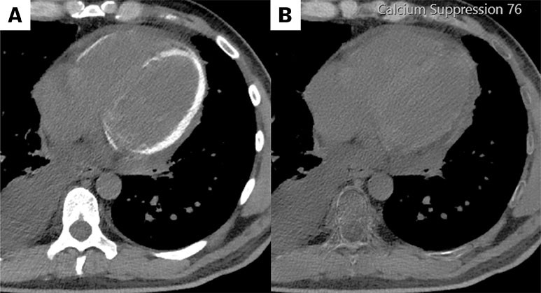
    CT-bildene er fra en undersøkelse med opptak uten intravenøs kontrast. Bildet til venstre viser høy attenuasjon i myokard i venstre ventrikkel, og i mindre grad i høyre ventrikkel. Attenuasjonen er tilnærmet lik skjelett i bildet, og tettheten kan passe med forkalkninger.

    Opptaket er gjort på en spektral-CT, som har økt mulighet for å differensiere mellom ulike vevstyper. Maskinen utnytter de ulike energinivåene i røntgenstrålen, og den kan skille mellom grunnstoffer som jod og kalk utfra absorpsjonsnivået, da begge gir høy attenuasjon. Kalksuppresjon, vist på bildet til høyre (B), bekrefter at høyattenuasjonen i bildet til venstre (A) skyldes tilstedeværelsen av kalk i vevet.

    Bildene er av en mann i 40-årene med kostregulert diabetes og uten kjent kronisk nyre- eller hjertesykdom. Fire uker før de aktuelle bildene ble tatt, ble han innlagt med E. coli-sepsis med multiorgansvikt og intensivbehandling med hemodialyse. Indikasjonen for CT thorax var betydelig pleuraeffusjon, og funnet av forkalkninger i myokard var overraskende. Tre uker senere viste ekkokardiografi betydelig økt ekkogenisitet i myokard, unntatt i septum (se video). Myokardet kontraherte, men ejeksjonsfraksjonen var redusert, mest longitudinelt, og den ble estimert til rundt 40 %.

    CT- og ekkofunnene passer med diffust kalknedslag i myokard. Tilstanden er beskrevet i noen kasuistikker, og kan oppstå ved forstyrrelse i kalsium- og fosforbalansen, kronisk nyresvikt eller som her, ved inflammatorisk skade av myokard etter sepsis med nyresvikt (1). Tilstanden gir økt risiko for hjertesvikt, og oppfølging av hjertefunksjonen er indisert. (2). Målrettet behandling for å redusere forkalkningene finnes så langt ikke, men i en annen kasuistikk er det beskrevet spontan regress (3).

    Pasienten har gitt samtykke til at artikkelen blir publisert.

    Artikkelen er fagfellevurdert.

    Kommentarer  ( 2 )
    PDF
    Skriv ut

    Anbefalte artikler