Gass i bløtvev

    ()

    sporsmal_grey_rgb
    Artikkel

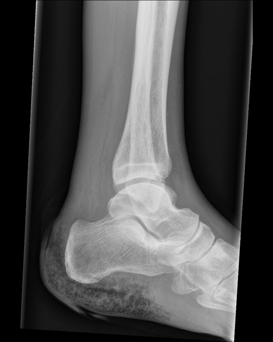
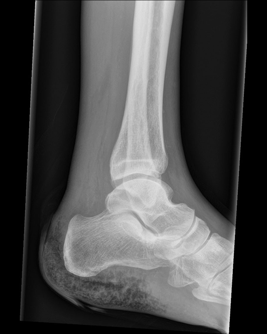
    Dette røntgenbildet av venstre ankelledd viser gass i bløtvevet rundt hælen. Pasienten, en mann i 70-årene, ble innlagt i akuttmottak med feber og smerter i venstre fot. Han hadde kjent cancer coli med spredning til peritoneum og lunger. Fire år før den aktuelle innleggelsen hadde han gjennomgått høyresidig hemikolektomi, men avstått fra eventuell ytterligere kurativ behandling. Tre dager før innleggelsen utviklet han smerter i venstre ankel, og ble ifølge ektefellen forvirret og ytterligere redusert. Det forelå ingen opplysninger om traume, nylige sår eller utslett.

    Ved ankomst var pasienten forvirret (Glasgow Coma Scale-skår 14), febril (38,8 °C rektalt) og takykard (140 slag/min), men normotensiv (129/68 mmHg). Blodprøver viste CRP 166 mg/L (referanseområde < 5) og leukocytter 20,3 × 109/L (3,5–10 × 109/L). Ved undersøkelse av venstre ankelledd var funnene upåfallende, men man bemerket en intakt blemme over hælen og et erytematøst utslett over mediale side av venstre legg. I tillegg til intravenøs væskebehandling startet man opp med kloksacillin 2 g × 4 og gentamicin 5 mg/kg kroppsvekt × 1 intravenøst på mistanke om cellulitt.

    Dagen etter var det vekst av Clostridium septicum i to anaerobe blodkulturflasker. Samtidig tømte blemmen over hælen seg spontant med sterkt illeluktende væske. Det forelå ikke sikre palpable krepitasjoner. Røntgen av venstre ankelledd viste bløtvevsemfysem rundt hælen. Antibiotikabehandlingen ble endret til piperacillin-tazobaktam 4 g/0,5 g × 4 intravenøst. Halvannet døgn etter innleggelsen ble det på vital indikasjon utført giljotinamputasjon over malleolnivå i generell anestesi, og man igangsatte vakuumassistert sårbehandling. En uke senere ble det utført definitiv crusamputasjon med primær lukning av venstre underekstremitet. Etter ytterligere en ukes observasjon var det fredelige forhold over amputasjonsstumpen. Pasienten ble utskrevet til korttidsopphold i kommunen og henvist til rehabilitering for tilpasning av protese.

    Clostridium er grampositive, anaerobe og sporeproduserende bakterier, som er vidt utbredt i miljøet samt i mage-tarm-kanalen hos friske mennesker og dyr. Clostridial myonekrose, eller gassgangren, har høy mortalitet, og tidlig kirurgisk intervensjon og antibiotikabehandling er essensielt (1, 2). Det er to typer gassgangren – traumatisk og spontant. C. perfringens er vanligste art ved traumatisk gassgangren, mens C. septicum dominerer ved spontant gassgangren (2). Bakenforliggende patologi, eller iatrogene inngrep, i mage-tarm-kanalen er en forutsetning for hematogen spredning av bakterier til muskulatur. Infeksjoner med C. septicum er assosiert med malignitet, spesielt i mage-tarm-kanalen, og man bør derfor ha diagnosen i bakhodet når pasienter med cancer coli utvikler sepsis og bløtvevsaffeksjon (1, 2).

    I dette tilfellet var det blodkulturfunnet som var avgjørende, men palpable krepitasjoner regnes for det viktigste kliniske funnet for å få stilt diagnosen tidlig.

    Pasienten har gitt samtykke til at artikkelen blir publisert.

    Artikkelen er fagfellevurdert.

    Kommentarer  ( 0 )
    PDF
    Skriv ut

    Anbefalte artikler