Sprukket lever

    ()

    sporsmal_grey_rgb
    Artikkel

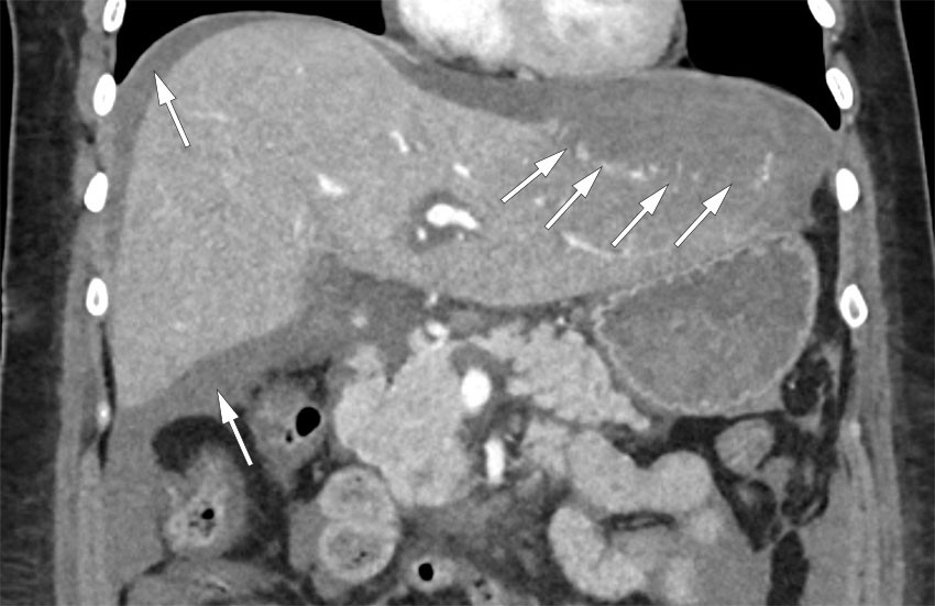
    CT-bildet av abdomen viser en spontan leverruptur hos en pasient med HELLP-syndrom, som karakteriseres av massiv hemolyse, forhøyede leverenzymer og blodplatemangel (1). Bildet viser en koronal reformatering av abdomen i portovenøs kontrastfase med kontrastoppladning i intakt leverparenkym, hvor rikelig gjenværende kontrast i det arterielle kretsløpet kan forklares av reduksjon av hjertets minuttvolum som følge av lavt blodvolum og lavt blodtrykk.

    Pasienten var en førstegangsgravid kvinne i 30-årene. Hun ble innlagt med ambulanse en uke etter termin med mistanke om alvorlig preeklampsi grunnet sterke smerter i epigastriet. Ved ankomst hadde fosteret langsom hjerteaksjon, og det ble umiddelbart gjort keisersnitt i narkose, som var ukomplisert.

    Tre timer etter forløsningen fikk pasienten hypovolemi (middelblodtrykk 50 mmHg) og takykardi (puls 130 slag/min). Blodtapet under sectio var estimert til 500 mL. Blodprøver viste fallende hemoglobinnivå fra 13,2 g/L til 7,5 g/L (referanseområde 11,7–15,3), trombocytopeni med trombocytter på 69 × 109/L (145–390 × 109/L), forhøyet D-dimer > 4,00 mg/L (< 0,5) og høy alaninaminotransferase (ALAT) på 1 429 U/L (< 45). Dette ga mistanke om HELLP-syndrom.

    CT-undersøkelse av abdomen (arteriell og portovenøs kontrastfase) viste et 8 × 14 cm stort lavattenuerende område fortil i venstre leverlapp og en væskebrem med høy attenuasjon rundt leveren, tolket som spontan leverruptur og leverblødning med subkapsulært hematom. Små høyattenuerende områder i leverparenkymet i arteriell kontrastfase, som ble større i den portovenøse fasen, ble tolket som tegn på ekstravasering av kontrastmiddel og pågående leverblødning.

    Pasienten ble stabilisert med væskeresuscitering og blodtransfusjon, laparotomert og pakket med kompresser omkring lever og livmor før hun ble overflyttet med luftambulanse til universitetssykehus. Der ble det gjort angiografi. Denne viste aktiv blødning fra venstre leverarterie, som ble plugget med absorberbar gelatin, samt fra en livmorarterie, som ble coilet. Neste morgen ble hun på ny sirkulatorisk ustabil og reoperert grunnet blødning fra livmoren. Etter dette var pasienten stabil og kunne overflyttes til lokalsykehus. CT-kontroll avdekket ingen underliggende lesjon i leverparenkymet.

    HELLP (hemolysis, elevated liver enzymes, low platelet count)-syndromet er en sjelden og svært alvorlig form for svangerskapsforgiftning. Det forekommer ved 0,5–0,9 % av alle graviditeter (1) og viser seg klinisk med hypertensjon og magesmerter. Tilstanden innebærer risiko for sjeldne, men potensielt dødelige maternelle komplikasjoner, som hjerneblødning, leverruptur, hjertestans, disseminert intravaskulær koagulasjon, respirasjonssvikt, nyresvikt og sepsis. Behandlingstilnærmingen er multidisiplinær.

    Pasienten har gitt samtykke til at artikkelen blir publisert.

    Artikkelen er fagfellevurdert.

    Kommentarer  ( 0 )
    PDF
    Skriv ut

    Anbefalte artikler