Anatomisk variant i bronkialtreet

    ()

    sporsmal_grey_rgb
    Artikkel

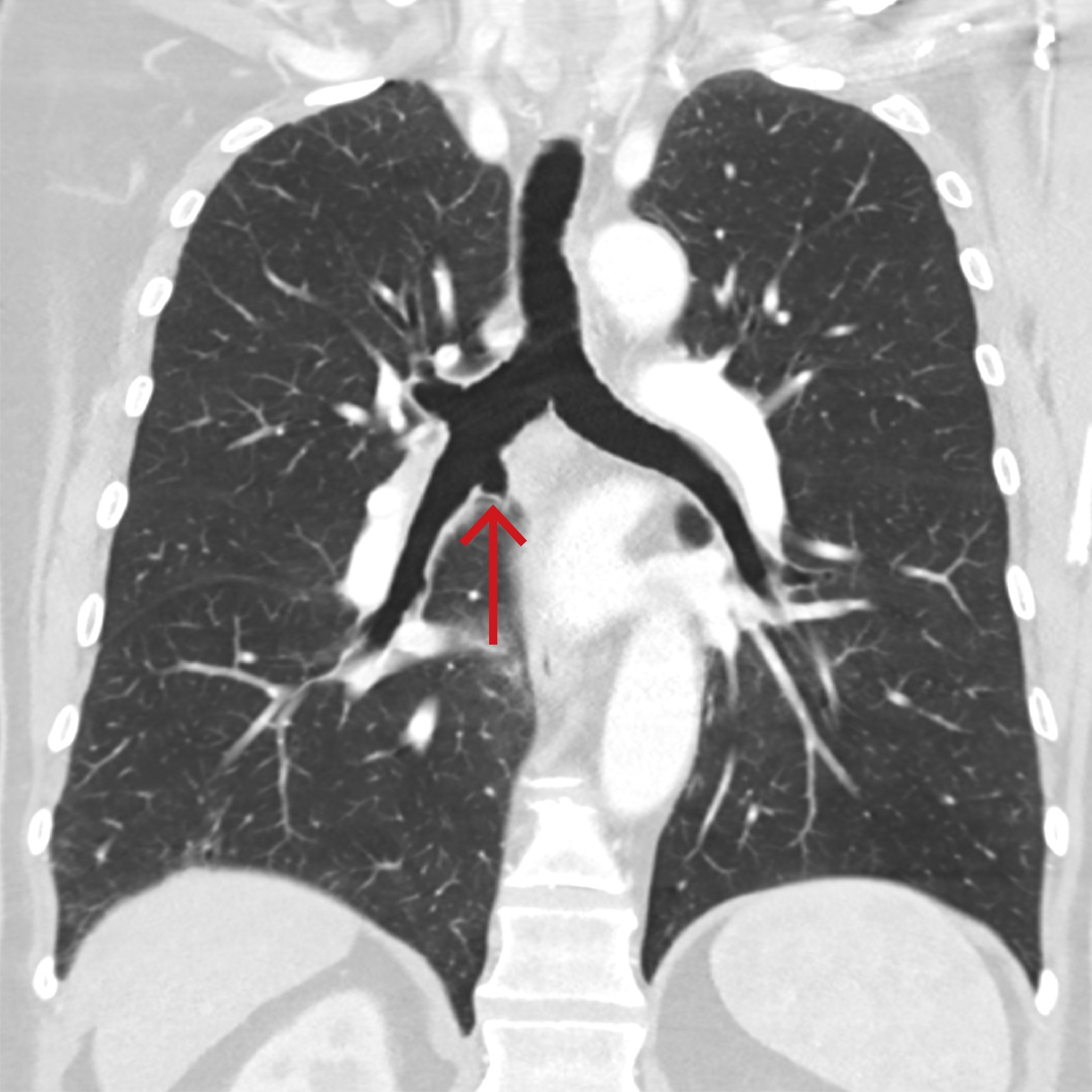
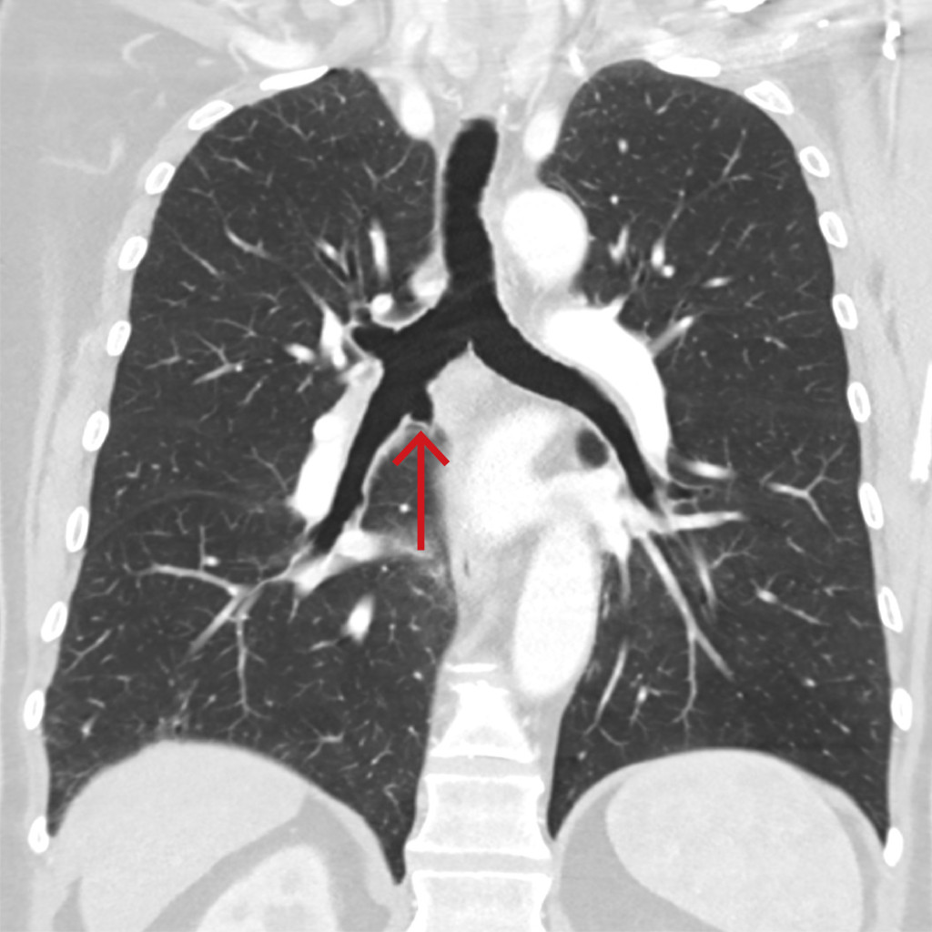
    CT-bildet viser en medfødt aksessorisk kardial bronkus som går av fra bronchus intermedius. Pasienten var en eldre mann uten symptomer fra luftveiene, og funnet var tilfeldig. Som ledd i videre utredning ble han bronkoskopert. Bronkoskopien viste, i samsvar med CT, en recess i proksimale bronchus intermedius, pekende i kardial retning. Slimhinnen var normal, og det ble ikke tatt prøver fra området.

    Aksessoriske bronkier er sjeldne, anatomiske varianter med en anslått forekomst på 0,07–0,5 % (1). De oppstår hovedsakelig i høyre hovedbronkus eller bronchus intermedius og dannes i tidlig fase (4.–6. svangerskapsuke) av utviklingen av luftveiene. Aksessoriske bronkier har normal slimhinne og veggbrusk. I halvparten av tilfellene ender recessen blindt, men hos øvrige kan de forgrene seg og forsyne tilhørende underutviklede lobuli. De fleste aksessoriske bronkier er asymptomatiske og oppdages tilfeldig på CT toraks. Der recessen kommuniserer med lungevev, kan dette disponere for luftveisinfeksjoner. Hemoptyse og malign transformasjon er beskrevet, og kirurgisk fjerning er da aktuelt (2, 3). Kardiale bronkier kan forveksles med distale trakeale divertikler («grisebronkus»). Asymptomatiske aksessoriske bronkier trenger ikke å kontrolleres.

    Pasienten har gitt samtykke til at artikkelen blir publisert.

    Artikkelen er fagfellevurdert.

    Kommentarer  ( 1 )
    PDF
    Skriv ut

    Anbefalte artikler