Hjerne med kors

    ()

    sporsmal_grey_rgb
    Artikkel

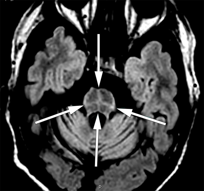
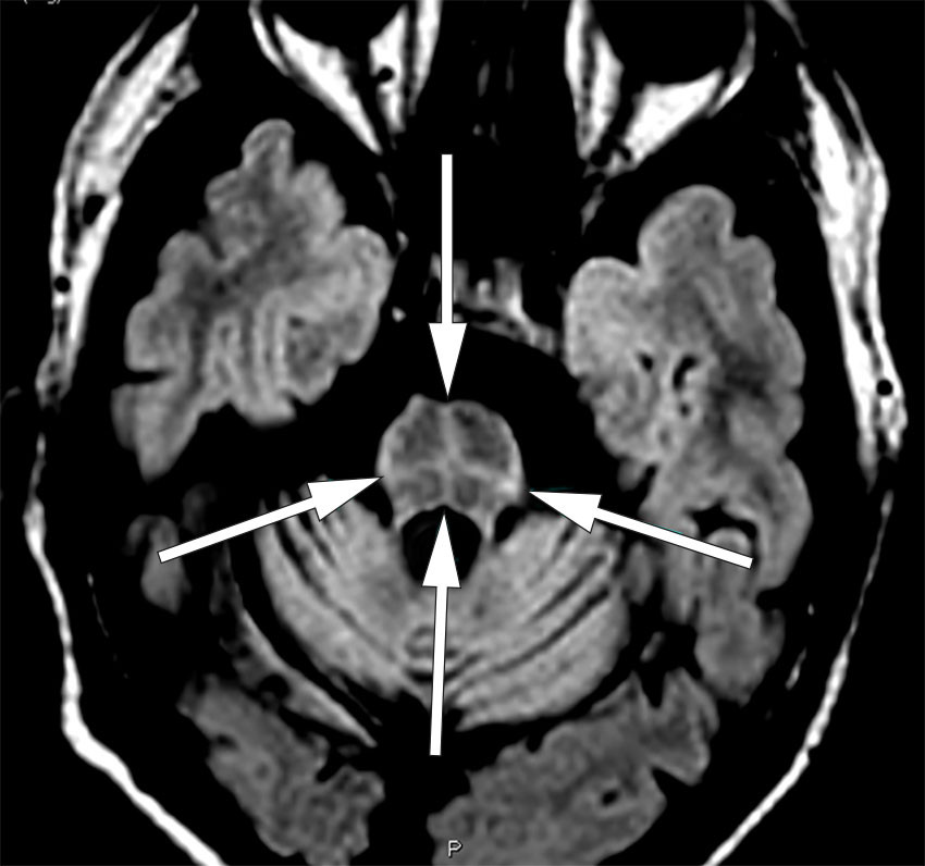
    Transversalt MR-bilde med FLAIR-sekvens viser, i tillegg til generell cerebellar atrofi, et korsformet hyperintenst signal i pons, såkalt korsbolletegn (på engelsk: hot cross bun sign).

    Pasienten er en mann i 50-årene som ble utredet for progredierende gangforstyrrelse og styringsvansker i armene over ca. to år. Ved klinisk undersøkelse hadde han bilateral dysmetri ved finger-nese-prøve, bradykinesi og nedsatt finmotorikk i begge overekstremiteter samt bilateral dysdiadokokinesi. Gangen var bredbaset og ataktisk med små skritt og falltendens. Pasienten hadde også tegn til ortostatisme med svimmelhet ved rask posisjonsendring fra sittende til stående. Senere i forløpet utviklet han dysartri.

    Som ledd i utredningen ble det tatt MR caput, som viste korsformet hyperintenst signal i pons, patologisk signal i de midtre cerebellare pedunkler og generell cerebellar atrofi. Supplerende PET-undersøkelser med FDG (2-[18F]fluoro-2-deoksy-D-glukose) viste lavt opptak i cerebellum og pons. Dopamintransporterskanning viste normalt opptak i striatum. Basert på anamnese og bildediagnostiske og kliniske funn fikk pasienten diagnosen multisystematrofi, cerebellar variant.

    Multisystematrofi er en sjelden og alvorlig nevrodegenerativ lidelse med ukjent årsak. Tilstanden gir som regel progredierende autonom dysfunksjon som blæreforstyrrelse, ereksjonssvikt eller ortostatisme. I tillegg har pasientene gjerne symmetrisk parkinsonisme med stivhet og bradykinesi eller lillehjernesymptomer med koordinasjonssvikt og gangvansker (1). Det finnes ingen kurativ behandling, og halvparten av pasientene blir pleietrengende i løpet av seks til ni år (1).

    Korsbolletegn refererer til et karakteristisk korsformet hyperintenst signal i pons på transversale MR-bilder med T2-vekting eller FLAIR-sekvens (fluid-attenuated inversion recovery). Navnet kommer fra et bakverk som på norsk kalles korsbolle (eng. hot cross bun). Man antar at funnet skyldes selektivt tap av transversale pontocerebellare fibre og pontine nevroner, med utsparing av pontine tegmentum og kortikospinale baner (2). Hos mer enn 60 % av pasientene med multisystematrofi av cerebellar variant ses dette MR-funnet innen to år etter symptomdebut (1). Tidligere har man ment at korsbolletegn har vært patognomonisk for multisystematrofi, men funnet kan også foreligge ved andre nevrodegenerative sykdommer som hereditær cerebellar ataksi og demens med lewylegemer (3), og ved visse metabolske og inflammatoriske tilstander (4).

    Pasienten har gitt samtykke til at artikkelen blir publisert.

    Artikkelen er fagfellevurdert.

    Kommentarer  ( 0 )
    PDF
    Skriv ut

    Anbefalte artikler