Å kunne stave og skrive, men ikke lese

    ()

    sporsmal_grey_rgb
    Artikkel

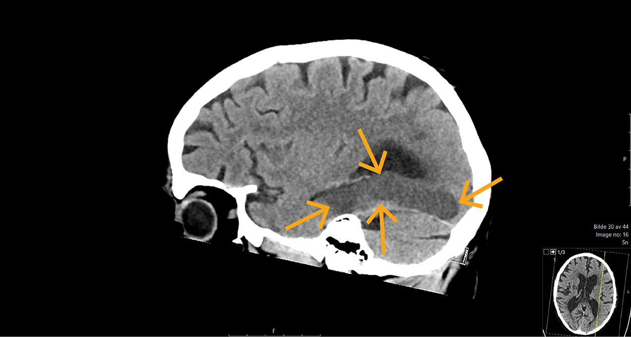
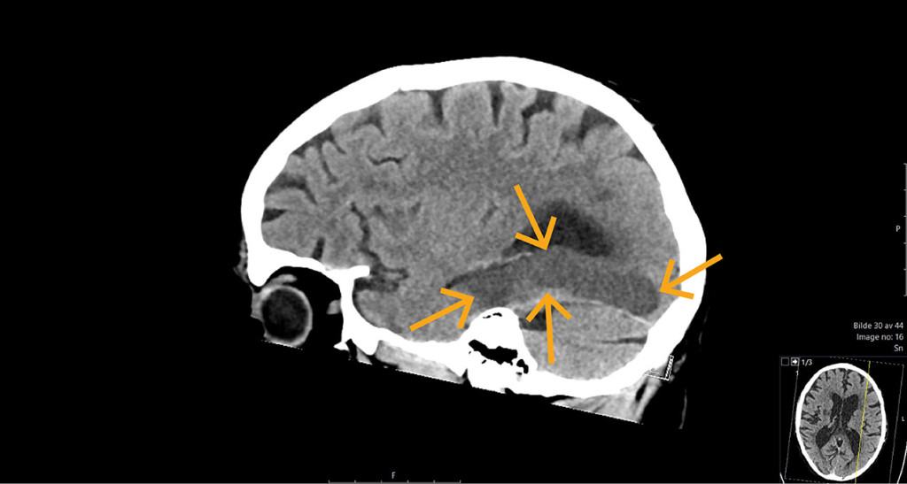
    CT-bildet viser hypodensitet i forsyningsområdet til en gren (P2) av venstre arteria cerebri posterior hos en mann i 70-årene. Flere år tidligere hadde han et hjerneinfarkt i høyre hemisfære som ga ham en marginal spastisk hemiparese. Nå hadde han pådratt seg et nytt infarkt oksipito-temporalt som ga ham synsfeltutfall opp mot høyre (øvre høyre kvadrantanopsi). Filmen viser at han har vanskelig for å benevne gjenstander (nominal afasi) når de sees som symboler eller tegninger. Han har altså ikke visuell objektagnosi. Evnen til å lese var borte, men ikke evnen til å skrive. Fenomenet kalles aleksi uten agrafi. Dets forklaring ble først beskrevet i 1892 (1).

    Fra oksipitallappen formidles prosessert synsinformasjon gjennom to atskilte informasjonskanaler. Den ene går til parietallappen for lokalisering av objekter, og for samspill med motoriske områder for målrettet bevegelse, f.eks. å skrive. Den andre går til temporallappen for gjenkjenning av hva en ser, og for samspill med Wernickes språkområde for benevning og forståelse. Et eget område i nedre mediale del av temporallappen, bakre del av gyrus fusiformis, er dedikert til gjenkjenning av bokstaver og ord (2), det såkalte visuelt ordgjenkjennende området. Som oftest er dette området lokalisert på venstre side, samme side som Brocas og Wernickes språkområder.

    Tradisjonelt oppstår ren aleksi ved skade i venstre oksipitallapp, som også omfatter bakre del av hjernebjelken (splenium corpus callosum). Denne delen inneholder fibrene som overfører informasjon fra høyre synsfelt til det ordgjenkjennende området og Wernickes område. Hos vår pasient var hjernebjelken intakt, og det var sannsynligvis omfattende skade i det ordgjenkjennende området som forårsaket pasientens «ordblindhet». Fordi pasienten hadde pacemaker, ble det ikke tatt MR-bilder. Hans tidligere infarkt i høyre hjernehalvdel hadde neppe betydning for det observerte fenomenet.

    Pasienten har gitt samtykke til at artikkelen blir publisert.

    Artikkelen er fagfellevurdert.

    Kommentarer  ( 0 )
    PDF
    Skriv ut

    Anbefalte artikler