Palatal tremor

    ()

    sporsmal_grey_rgb
    Artikkel

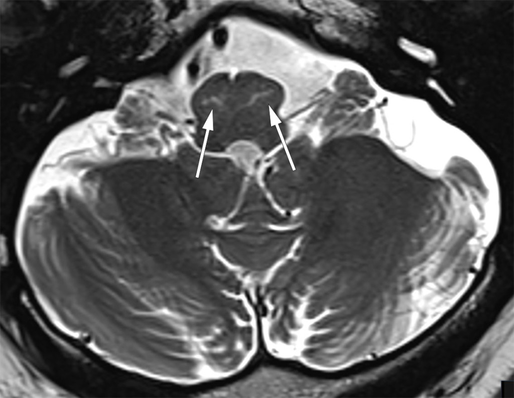
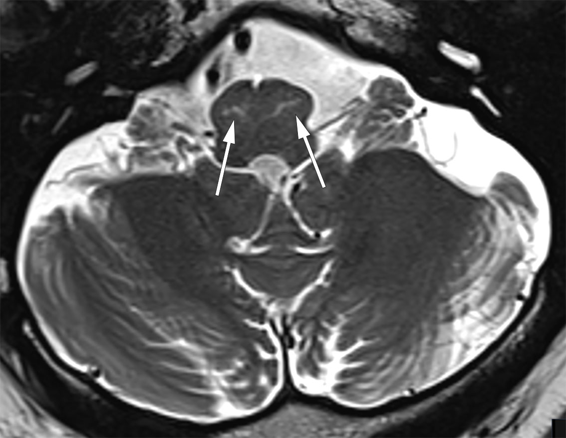
    Videoen viser palatal tremor – en sjelden hyperkinetisk bevegelsesforstyrrelse som rammer den bløte ganen. MR-bildet av samme pasient viser T2-høysignal i nucleus olivaris inferior bilateralt, et radiologisk funn som samsvarer med det kliniske funnet, og som krever etiologisk avklaring.

    En tidligere frisk mann i slutten av 50-årene ble henvist til nevrologisk vurdering på bakgrunn av tilfeldig funn ved cerebral MR som ledd i utredning av en ikke-relatert øyesykdom. MR-undersøkelsen viste T2-høysignal i hjernestammen svarende til nucleus olivaris inferior bilateralt uten kontrastopptak eller masseeffekt. Pasienten hadde ved undersøkelsen kontinuerlig palatal tremor, men ingen andre nevrologiske symptomer eller tegn.

    Palatal tremor kjennetegnes ved en rytmisk og oscillerende ufrivillig bevegelse i den bløte ganen (1). Ved essensiell palatal tremor er det kontraksjoner i musculus tensor veli palatini, mens m. levator veli palatini kontraherer ved den symptomatiske formen.

    Essensiell palatal tremor er ikke assosiert med underliggende nevrologisk sykdom eller nevroradiologiske funn. Om lag halvparten av pasientene rapporterer at de hører rytmiske klikkelyder, noe som er unikt for tilstanden og skyldes ledsagende gjentatt åpning og lukking av tuba auditiva.

    Symptomatisk palatal tremor er hyppig assosiert med andre kliniske funn som tremor utenom ganen, okulær myokloni og ataksi. Dette skyldes affeksjon av Guillain-Mollarets triangel, et nevronnettverk som strekker seg mellom ipsilaterale nucleus olivaris inferior, nucleus ruber og kontralaterale nucleus dentatus. En triadeskade, oftest vaskulær, inflammatorisk eller neoplastisk, vil typisk gi disinhibisjon av nucleus olivaris inferior, enten uni- eller bilateralt, med såkalt hypertrofisk olivadegenerasjon som resultat. MR-undersøkelse kan da vise hypertrofi med økt T2-signal i området for nucleus olivaris inferior. Typisk tilkommer T2-høysignal i løpet av seks måneder etter skadetidspunktet, mens hypertrofien først oppstår etter ti til atten måneder. Hypertrofien vil avta over år, mens T2-høysignalområdene består (2).

    Vår pasient hadde klinisk isolert palatal tremor. På MR var det tegn til stripeformet T2-høysignal i nucleus olivaris inferior bilateralt uten hypertrofi eller tegn til triangelskade. Ved kontroll femten måneder etter primærundersøkelsen var det uendrede MR-funn. Utredning med hensyn til nevroinflammatorisk eller revmatologisk tilstand var normal.

    På bakgrunn av klinisk presentasjon og MR-funn passende med olivadegenerasjon ble tilstanden oppfattet som en idiopatisk symptomatisk palatal tremor i radiologisk «sen» fase. Idiopatisk fordi man ikke påviste underliggende skade eller sykdom. Tilstanden er også beskrevet tidligere i Tidsskriftet, av Alstadhaug og Bakke i 2012 (3).

    Pasienten har gitt samtykke til at artikkelen blir publisert.

    Artikkelen er fagfellevurdert.

    Kommentarer  ( 2 )
    PDF
    Skriv ut

    Anbefalte artikler