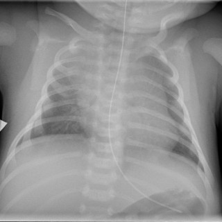
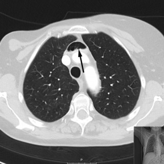
Medisinen i bilder