Suppe til besvær

    ()

    sporsmal_grey_rgb
    Artikkel

    En mann, tidlig i 70-årene, oppsøkte legevakten med frostanfall og nedsatt allmenntilstand. Temperaturen ble målt til 40,6 °C, og blodprøvene viste CRP på 115 mg/l (< 5) og leukocytter på 12,9 . 108 (4,1–9,8 . 108). To døgn før fikk han utført en elektrokonvertering grunnet et atrieflimmeranfall som hadde debutert fem dager før den aktuelle hendelsen. Denne tilstanden var kjent, men pasienten hadde vært uten symptomer etter en radiofrekvensablasjon for to år siden.

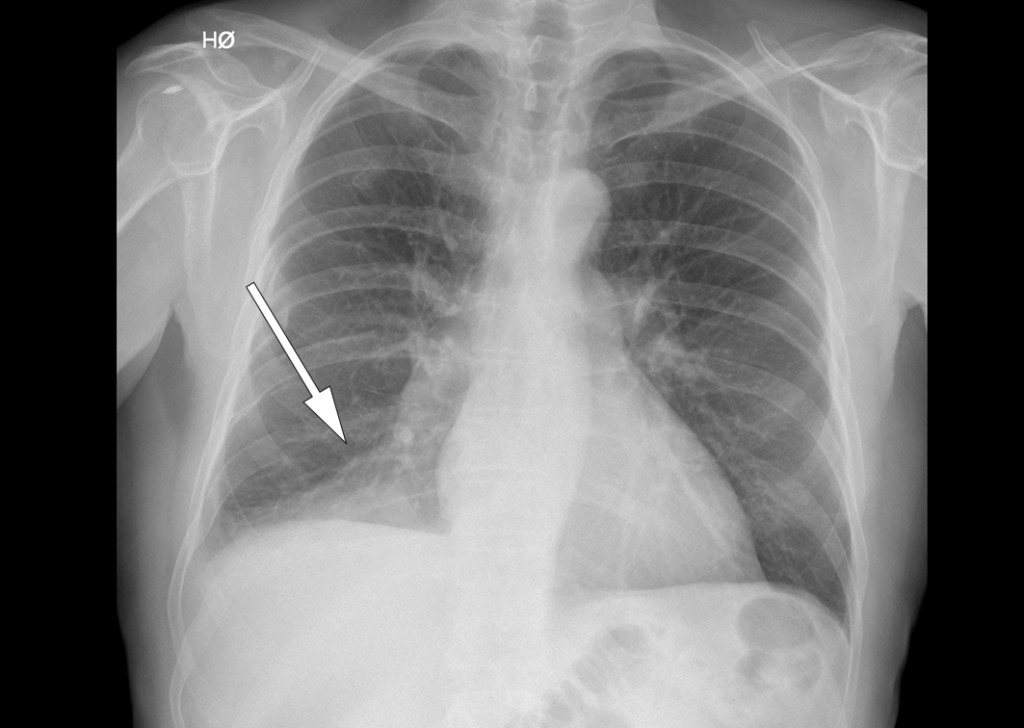
    På grunn av klinisk mistanke om pneumoni ble det tatt røntgen thorax (se røntgenbildet) som viste en fortetning i høyre underlapp. Etter hvert kom det frem at pasienten flere uker tidligere hadde spist kjøttsuppe med grønnsaker, og at han under måltidet hadde registrert at «noe» forsvant ned i luftrøret.

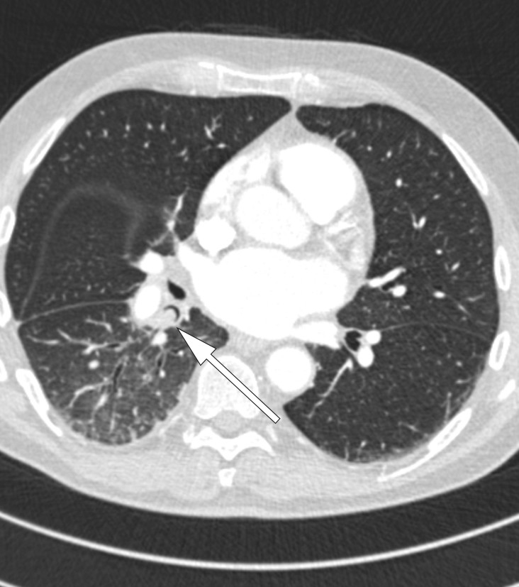
    Sykehistorien reiste nå spørsmål om fremmedlegeme, og pasienten ble innlagt i lungeavdelingen for behandling med penicillin intravenøst og videre utredning. Før bronkoskopi ble det utført CT thorax (se CT-bildet) som viste en 8 mm rund forandring proksimalt i høyre underlappsbronkus. Denne ga nær full okklusjon av lumen og forårsaket atelektase av høyre underlapp distalt.

    Bronkoskopi ble utført (se endoskopibildet), og en ert ble lokalisert som beskrevet på CT-undersøkelsen og deretter fjernet (se video). Erten var uskadd med en diameter på ca. 10 mm. Pasienten ble feber- og symptomfri i løpet av en kort uke, og røntgen thorax etter åtte uker viste full tilbakegang av atelektasen. Etterkontroll med bronkoskopi var også normal.

    Aspirasjon av linser eller erter med påfølgende pneumoni er ingen ny problemstilling. Tilstanden ble rapportert med ujevne mellomrom på slutten av 1900-tallet (1), gjerne som enkeltstående kasuistikker. Tross beskjedne symptomer og langsom utvikling endte sykdommen ofte fatalt, og ble først bekreftet ved obduksjon. Det hang sammen med at de mest utsatte var små barn, psykisk debile voksne, i tillegg til eldre og sengeliggende pleiepasienter.

    Vi takker våre kolleger Anders Rosvoldaunet og Mona Størseth ved legevakten i Trondheim.

    Pasienten har gitt samtykke til at artikkelen blir publisert.

    En av forfatterne er redaktør i Tidsskriftet. Manuskriptet er derfor behandlet eksternt av setteredaktør.

    Kommentarer  ( 0 )
    PDF
    Skriv ut

    Anbefalte artikler