13.11.2017:
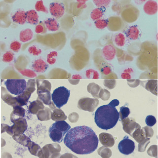
En mann i 70-årene ble henvist hematologisk poliklinikk grunnet redusert allmenntilstand og anemi. Blodprøver viste hemoglobin 9,7 g/dl (13,4–17,0), gjennomsnittlig cellevolum i de røde blodcellene (MCV) 115 fl (82–98), leukocytter 3,0 · 10 9/l (3,5–11,0), trombocytter 187 · 10 9/l (145–348), folat 7,2 nmol/l (> 8,0), kobalamin 693 pmol/l (175–700) og ferritin 831 µg/l (34–300). Tilstanden ble oppfattet som megaloblastisk anemi på grunn av folatmangel, og man startet med folatbehandling. Kontroll etter to måneder viste vedvarende anemi med hemoglobin 9,4 g/dl. Benmargsutstryk med May-Grünwald...