En ball av ormer

    ()

    sporsmal_grey_rgb
    Artikkel

    Massiv infestasjon med spolorm (Ascaris lumbricoides) i tynntarmen kan forårsake mekanisk ileus ved at en stor mengde ormer filtrer seg sammen og obstruerer tarmlumen.

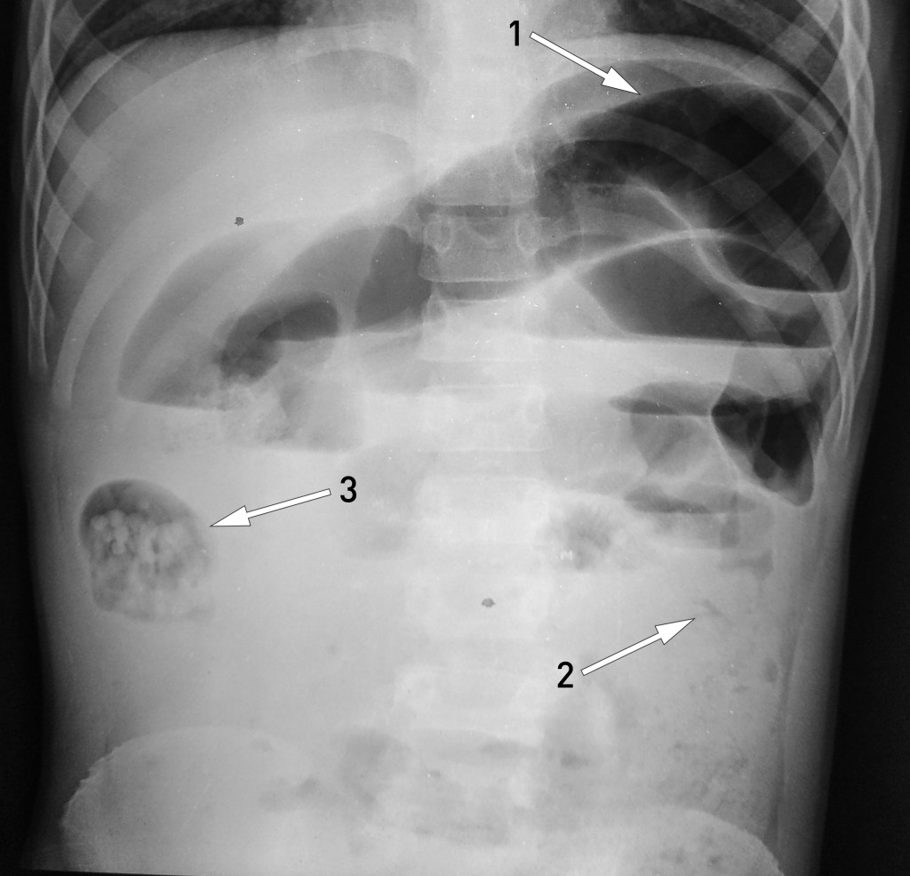
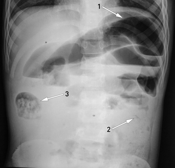
    En ti år gammel gutt ble innlagt som øyeblikkelig hjelp på sykehus i et fattig område av Nepal. Han hadde betydelig forsinket lengdevekst. De siste tre dagene hadde han hatt magesmerter, oppkast og distendert abdomen. Han hadde ikke hatt avføring, men avgang av to levende spolormer per rectum. Stående røntgen oversikt abdomen (røntgenbilde) viste distenderte tynntarmsslynger (pil 1), men normal kolon (pil 2), altså funn forenelige med mekanisk tynntarmsobstruksjon. Man mistenkte at en ansamling av spolormer i et tarmsegment i høyre flanke (pil 3) – sannsynligvis i en tynntarmsslynge eller høyre hemikolon – hadde forårsaket en ileus.

    Initialt hadde gutten brukbar allmenntilstand, og man valgte konservativ behandling av ileus forårsaket av spolorm, det vil si faste, intravenøs væske, antibiotika, piperazin i magesonde og klyster med glyserol og flytende parafin (1). Åtte timer etter innleggelsen ble gutten dårligere med økende smerter, abdominalomfang og oksygenbehov. Han ble derfor laparotomert. Man fant distendert tynntarm, og en incisjon ble lagt cirka midt på jejunum. Et enormt antall døde spolormer kunne melkes ut av tarmen, fra både proksimal og distal del (fotografi). Incisjonen i tarmen ble deretter lukket. Postoperativt forløp var ukomplisert, og gutten ble utskrevet i velbefinnende etter få dager.

    Nepal har et nasjonalt program for «deworming», der alle småskolebarn skal få 400 mg albendazol hvert halvår på skolen. Etterlevelsen er imidlertid begrenset. Det er ikke kjent om den massive infestasjonen hos vår pasient skyldtes manglende etterlevelse eller stort smittepress med reinfestasjon etter behandlingen. Forsinket lengdevekst er svært utbredt i området og kan hos vår pasient gjerne ha sammenheng med stor og langvarig parasittbelastning. Nær 50 % av barn i landet har spolorm (2).

    I et rikt land som Norge spiller infestasjon med innvollsormer nå liten medisinsk rolle. Søk på «spolorm» eller «ascaris» i Tidsskriftets database gir svært få treff, og ingen som behandler kliniske aspekter av spolorm. Dette til tross for at vel én milliard mennesker har spolorm i dag, og at slik infestasjon kan forårsake en lang rekke både akutte og kroniske komplikasjoner (3). Prevalensen tatt i betraktning er livstruende komplikasjoner ikke vanlige, men likevel viktige å kjenne til.

    Pasientens foreldre har gitt samtykke til at artikkelen med bilder blir publisert.

    Kommentarer  ( 0 )
    PDF
    Skriv ut

    Anbefalte artikler