Hjerne i klem

    ()

    sporsmal_grey_rgb
    Artikkel

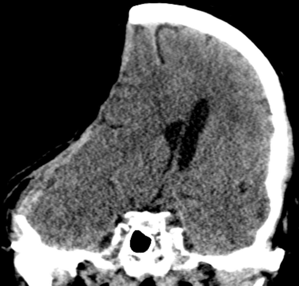
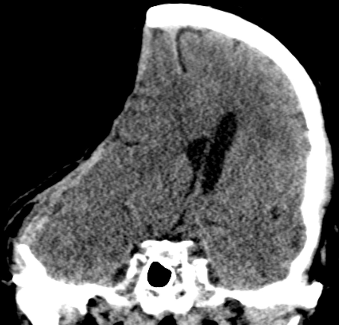
    Bildet viser paradoksal hjerneherniering hos en pasient med kjent nyresvikt, hypertensjon og koronarsykdom som noen måneder tidligere hadde gjennomgått hemikraniektomi. Paradoksal hjerneherniering er en sjelden komplikasjon etter fjerning av en større del av hodeskallen og er potensielt livstruende. En av hodeskallens oppgaver er å beskytte hjernen mot relative trykkforskjeller mellom det intrakranielle og det atmosfæriske trykket. Ved større kraniektomier kan det atmosfæriske trykket overstige det intrakranielle trykket og gi forskyvning av underliggende hjernevev og i verste fall herniering (1). Tilstanden ses oftest ved akutt oppståtte trykkendringer etter lumbalpunksjon eller drenasje av cerebrospinalvæske (shuntbehandling eller ventrikkeldren) hos kraniektomerte pasienter, og kan forverres ytterligere av dehydrering eller elevert leie. Akuttbehandlingen er leieendring med senket hodeende og bedring av eventuelle mekaniske forhold ved cerebrospinalvæskedrenasje (justering av motstand på ventrikkel- eller lumbaldren) samt tilbakelegging av benlappen dersom det er mulig. Intensivbehandling med overtrykksventilasjon (2) og væske- eller sviktbehandling kan medføre endrede intrakranielle trykkforhold og i noen tilfeller bidra til utvikling av tilstanden.

    Pasientens pårørende har gitt samtykke til at artikkelen publiseres.

    Artikkelen er fagfellevurdert.

    Kommentarer  ( 0 )
    PDF
    Skriv ut

    Anbefalte artikler