Spontan pneumomediastinum

    ()

    sporsmal_grey_rgb
    Artikkel

    Spontan pneumomediastinum er en sjelden, men benign og selvbegrensende tilstand som oftest presenterer seg som brystsmerter og eventuelt ledsagende dyspné hos unge menn. Diagnosen kan oftest stilles med røntgen thorax, og ytterligere utredning er vanligvis ikke indisert.

    Spontan pneumomediastinum skyldes trolig alveolær ruptur, hvor luften dissekerer seg langs de bronkovaskulære strukturene inn i mediastinum. Utløsende faktor kan være økt intratorakalt trykk som hosteanfall og brekninger, men pneumomediastinum kan også oppstå uten utløsende faktorer. Lungesykdom og røyking kan disponere for tilstanden (1).

    Funn ved undersøkelse kan være gnidningslyd som er synkron med hjerteslagene (Hammans tegn), og subkutant emfysem (2). Ytterligere utredning er ikke indisert med mindre sekundære årsaker til pneumomediastinum, som oesophagusruptur, gassproduserende bakterier eller traume, mistenkes (1–4).

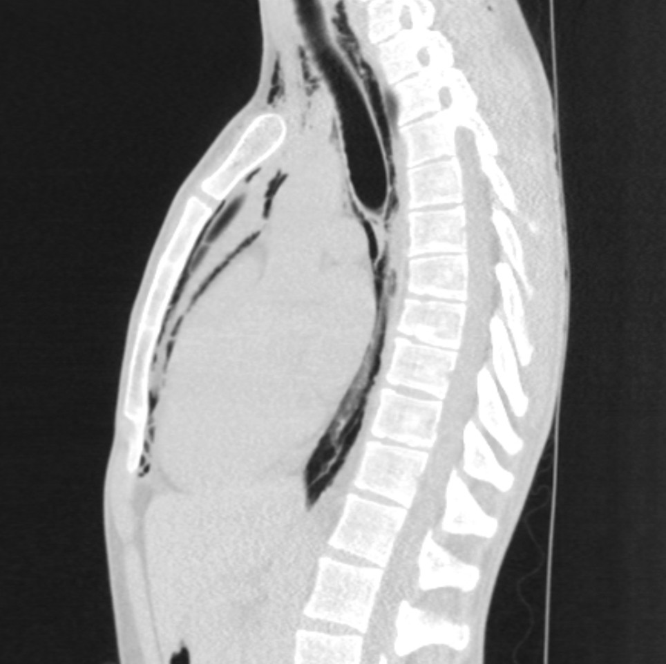
    Røntgenbildet er tatt av en mann i 20-årene som fikk akutte brystsmerter med ledsagende dyspné mens han befant seg i ro. Smertene strålte ut til begge skuldre og rygg og ble forverret ved inspirasjon. Han hadde stabile vitale parametere og normale blodprøver.

    Røntgen thorax viste luft i bløtvevet på halsen og supraklavikulært bilateralt, langs trachea, hjertet og langs aortakonturen lateralt. CT thorax uten intravenøs kontrast bekreftet pneumomediastinum og utelukket pneumothorax. Ved kontroll etter tre uker var pasienten smertefri, og røntgen thorax viste fullstendig regress av pneumomediastinum.

    Pasienten har gitt samtykke til at artikkelen blir publisert.

    Kommentarer  ( 2 )
    PDF
    Skriv ut

    Anbefalte artikler