Venøs luftemboli

    ()

    sporsmal_grey_rgb
    Artikkel

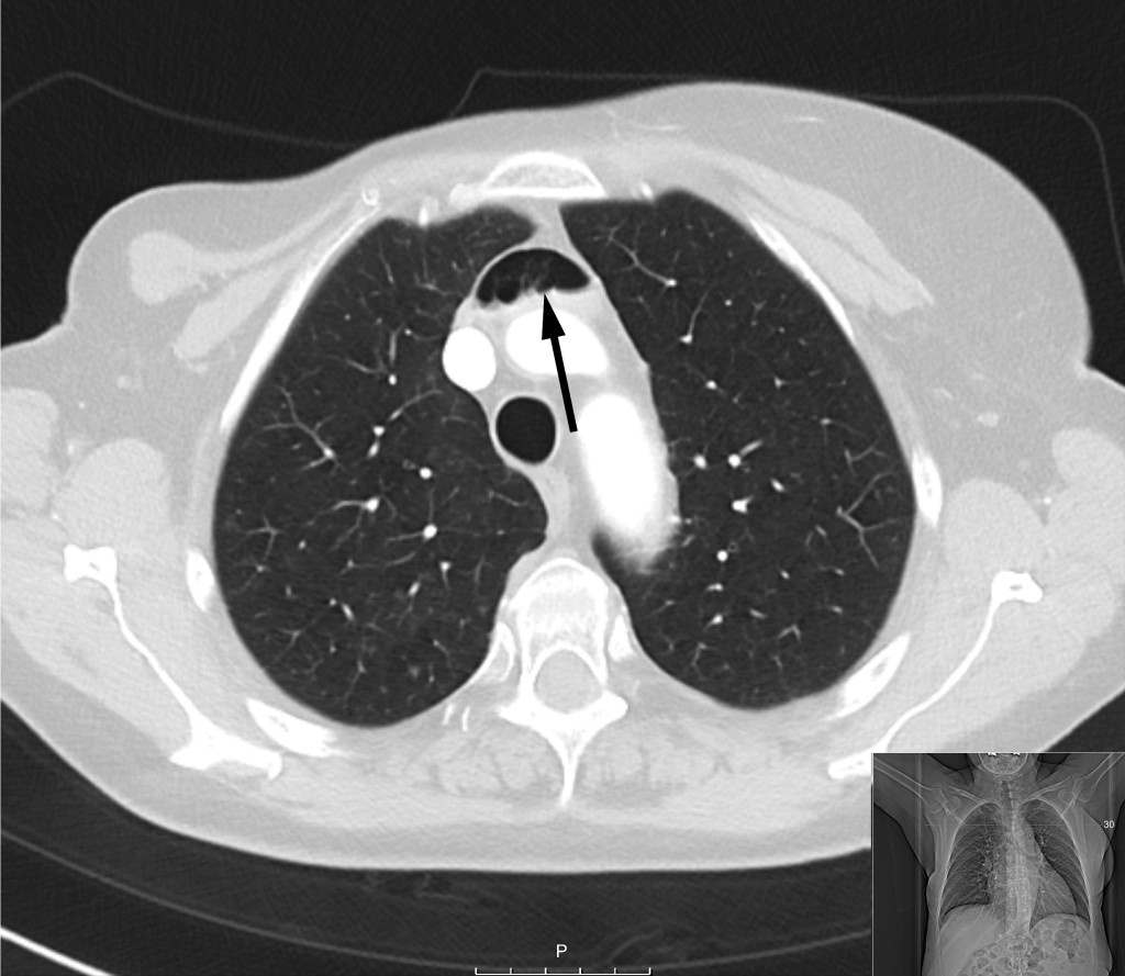
    Bildene viser betydelige luftmengder i venesystemet hos en kvinne i 70-årene. Spesielt sees luft i venstre vena brachiocephalica, høyre forkammer og høyre ventrikkel. Grunnet mistanke om sternumfraktur var det rekvirert CT thorax med kontrast. En liten sternumfraktur ble funnet i tillegg til luftemboliene.

    Sannsynligvis har det i forbindelse med kontrastundersøkelsen blitt injisert luft venøst. Vakthavende intensivlege ble varslet etter at radiolog hadde gransket bildene, og pasienten ble tilsett umiddelbart. Hun var respiratorisk og sirkulatorisk stabil, med lettgradig dyspné som eneste symptom. Hun ble leiret i venstre sideleie med hodet litt lavere enn kroppen (Durants manøver) og fikk ti liter oksygen på maske med reservoar. Dykkerlege ved Haukeland universitetssykehus ble kontaktet.

    Luftembolier og behandlingen av disse er tidligere beskrevet i Tidsskriftet (1–3) og andre norske anestesiologiske tidsskrifter (4). Dersom luften har kommet inn via venesystemet, vil venstre sideleie forsøksvis stoppe luftmassene i de store venene før høyre forkammer. På den måten forhindrer man at luft kommer inn i høyre ventrikkel og i verste fall blokkerer høyre utløpstractus (2), noe som kan gi obstruktivt sjokk med akutt høyresidig hjertesvikt og død (3). Dersom luften imidlertid kommer inn til lungevenene eller venstre hjertehalvdel som følge av f.eks. lungepunksjoner, bør pasienten leires i høyre sideleie (2). Høy fraksjon av inspirert oksygen (FiO2) øker partialtrykket av oksygen i blodet og reduserer partialtrykket av nitrogen. Dette reduserer luftboblens størrelse og gir raskere resorpsjon av luftmassene (1, 2).

    Hyperbar oksygenbehandling kan være nødvendig ved nevrologiske symptomer der luftbobler har passert over til arteriell sirkulasjon (1). Etter konferanse med dykkerlegen ble slik behandling ikke ansett nødvendig i dette tilfellet.

    Mekanisk fjerning av luftmassene via et sentralt venekateter kan være nyttig, men bør kun gjøres dersom kateteret allerede er innlagt (5). Det å legge inn et sentralt venekateter kan i seg selv medføre at luft tilføres venøs sirkulasjon.

    Pasienten ble liggende i venstre sideleie i åtte timer med samtidig oksygenbehandling. Deretter ble ny CT thorax gjennomført, og denne viste fullstendig resorpsjon av luftmassene. Pasienten ble så overført til sengepost for lindring av smerter fra sternumfrakturen.

    Pasienten har gitt samtykke til at artikkelen blir publisert.

    Kommentarer  ( 0 )
    PDF
    Skriv ut

    Anbefalte artikler