Propp i luftveiene

    ()

    sporsmal_grey_rgb
    Artikkel

    En kvinne i slutten av 30-årene ble innlagt ved sykehus grunnet hoste og dyspné. Hun hadde i forkant vært utredet hos fastlegen, som mistenkte asthma bronchiale. Ved innleggelse ble hennes tilstand oppfattet som infeksjonsutløst astmaforverring, og det ble startet med antibiotika og antiobstruktiv behandling. Hun utviklet etter kort tid alvorlig respirasjonssvikt, ble intubert og overflyttet intensivavdelingen på et universitetssykehus. Det var vanskelig å gi henne adekvat ventilasjon med respirator, så det ble anlagt venovenøs ekstrakorporal membranoksygenering (ECMO). Under pågående ECMO-behandling viste bronkoskopi et gummiaktig materiale i trachea. Dette forgrente seg distalt til begge lungers bronkialtre, med obstruksjon av store deler av lumen. Materialet ble fjernet under bronkoskopien, fra venstre lunge i nærmest ett stykke. Man fant en gummiaktig avstøpning av bronkialtreet med en fastere konsistens enn ordinære slimplugger (bilde 1).

    Den deskriptive diagnosen av materialet var plastisk bronkitt, som kan opptre sekundært til sykdommer i lunger, hjertet eller lymfesystemet. Protein- og lipidrik væske lekker ut i bronkiene og danner avstøpninger av bronkialtreet (1). Tilstanden er sjelden, men kan oppstå i alle aldre og hos begge kjønn. Nest etter kirurgisk korreksjon av medfødt hjertesykdom (oftest Fontan-kirurgi), er astma og atopi den vanligste assosierte tilstanden. Mortaliteten er estimert til 6–60 %, og vanligste dødsårsak er obstruksjon av sentrale luftveier (1). Diagnosen stilles typisk ved bronkoskopi. Behandlingen i akuttstadiet er å fjerne avstøpningen, enten ved bronkoskopi eller ved at pasienten selv hoster opp materialet. Samtidig må antatt utløsende årsak behandles.

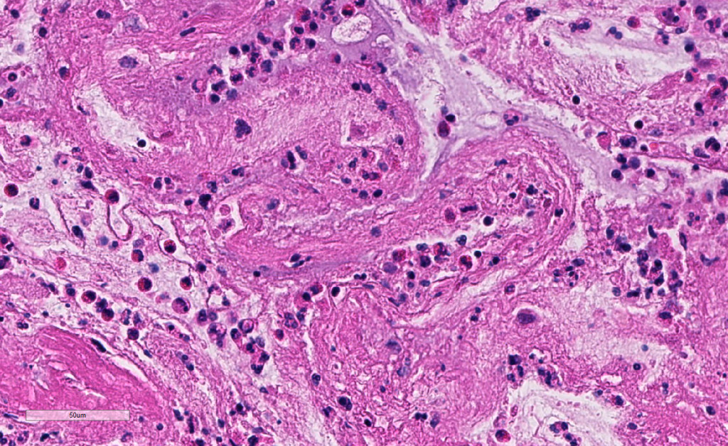
    Mikroskopisk undersøkelse viste et fibrinøst materiale med rikelig eosinofile granulocytter, men også nøytrofile granulocytter, lymfocytter og plasmaceller (bilde 2, på nett). Plastisk bronkitt med eosinofil avstøpning er assosiert med astma/atopi eller infeksjon med Aspergillus (allergisk bronkopulmonal aspergillose/Aspergillus trakeobronkitt) (2). Vår pasient fikk i tillegg til behandling for antatt astma også bred antimikrobiell behandling, inkludert soppdekning. Det ble imidlertid aldri påvist noen mikrobe, ei heller annen utløsende årsak til plastisk bronkitt. Pasientens tilstand bedret seg etter fjerning av avstøpningen. ECMO-behandlingen kunne avvikles, og hun ble avvent fra respirator. Ved senere kontroller har hun ikke hatt luftveissymptomer og bruker ingen inhalasjonsmedisiner. Lungefunksjonstester viser nå normale funn og bronkoskopi er uten tegn til residiv. Årsaken til plastisk bronkitt med eosinofil avstøpning hos denne pasienten er fortsatt ikke avklart.

    Pasienten har gitt samtykke til at artikkelen med bilder blir publisert.

    Kommentarer  ( 2 )
    PDF
    Skriv ut

    Anbefalte artikler