Som perler på en snor

    ()

    sporsmal_grey_rgb
    Artikkel

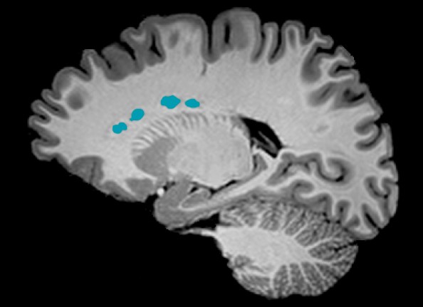
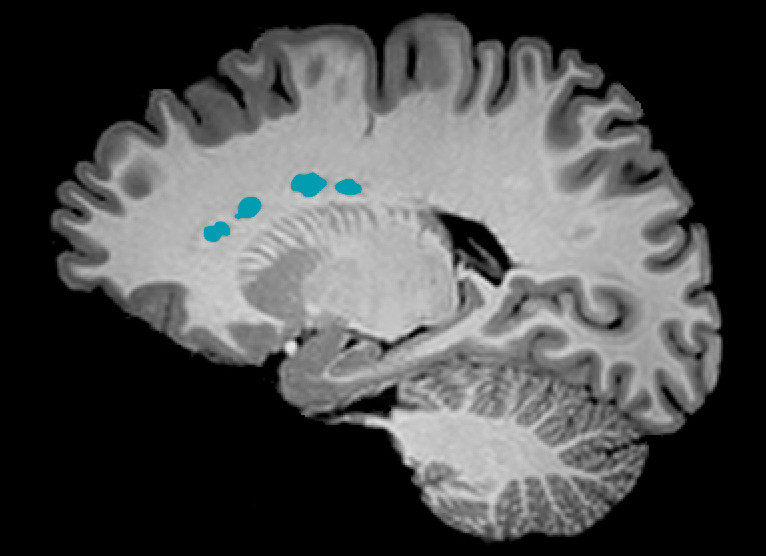
    Heterotopi av hjernens grå substans er en bred gruppe migrasjonsforstyrrelser hvor makroskopiske ansamlinger av nevroner befinner seg på feil sted i hjernen (1). Periventrikulær nodulær heterotopi er den vanligste formen og skyldes at ependymale celler tidlig i fosterlivet ikke får satt i gang eller fullført cellevandringen fra ventrikkelgulvet til hjernebarken. Cellene modnes allikevel til nevroner, som blir liggende som knuter av grå substans inni hvit substans nær ventriklene.

    Periventrikulær nodulær heterotopi har et bredt spektrum av kliniske presentasjoner, fra fullstendig normal hjernefunksjon og ingen symptomer på sykdom til mental utviklingsforstyrrelse og intraktable fokale epileptiske anfall (1). Tilstanden oppdages ofte tilfeldig ved bildeundersøkelser som er gjort på en annen indikasjon som ikke er relatert til heterotopien. Dette er også tilfelle her: Funnet ble gjort tilfeldig under en avbildningsstudie av normal hjernefunksjon.

    Periventrikulær nodulær heterotopi vises ved avbildning på ulike vis (2). Det vanligste er kontinuerlige knuteformede masser umiddelbart i tilknytning til sideventriklene (3), men det kan også vises som på dette bildet: som perler på en snor, innhyllet av hvit substans.

    Pasienten har gitt samtykke til at artikkelen blir publisert.

    Artikkelen er fagfellevurdert. En av forfatterne er redaktør i Tidsskriftet. Manuskriptet er derfor behandlet eksternt av setteredaktør.

    Kommentarer  ( 0 )
    PDF
    Skriv ut

    Anbefalte artikler