Et spedbarn med kul på halsen

    ()

    sporsmal_grey_rgb
    Artikkel

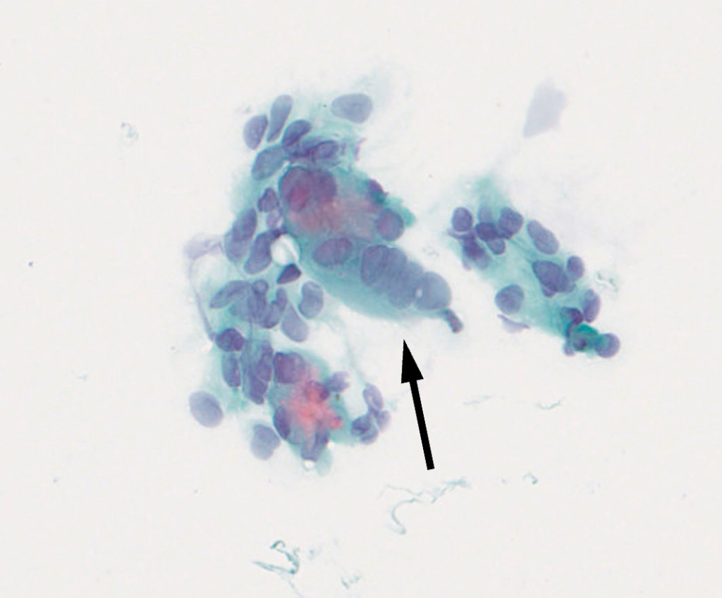
    Knute i halsmuskulaturen hos nyfødte (fibromatosis colli) er en relativt sjelden tilstand som oftest oppdages før seks ukers alder. Tumoren forekommer hyppigst hos gutter (1). Etiologien er ukjent, men traume (muskelruptur, blødning, iskemi) i forbindelse med fødselen er foreslått som årsak. Differensialdiagnoser kan være halscyster, lymfadenitt (f.eks. tuberkuløs) og andre benigne og maligne tumorer. Kombinasjonen av den typiske sykehistorien, ultralydfunn (2) og cytologi (3) gir den endelige diagnosen. Prognosen er god. Kulen forsvinner som regel spontant i løpet av første leveår. Noen anbefaler fysioterapi for å hindre en varig kontraktur av m. sternocleidomastoideus (1).

    I den aktuelle sykehistorien oppsøkte foreldrene til en knapt to uker gammel gutt legevakten etter å ha oppdaget en stor kul på halsen. Fødselen var indusert nesten to uker over termin, og han måtte forløses med vakuumekstraktor grunnet protrahert forløp. Han ble henvist til ultralyd av halsen og til øre-nese-hals-poliklinikk.

    Ti dager senere ble han undersøkt ved øre-nese-hals-poliklinikk. Det ble funnet en drøyt 3 cm stor, avlang oppfylning på venstre side av halsen, beliggende lateralt for øvre del av m. sternocleidomastoideus. Den virket fast, velavgrenset og ikke øm. Han hadde tilsynelatende god bevegelighet i nakken og ingen torticollis. Det var ellers normale funn, og han var i god allmenntilstand.

    Ultralyd av halsen viste en venstresidig tumor på 1,6 × 3,2 cm, velavgrenset og lavekkoisk. Finnålsaspirasjonscytologi viste spolformede celler med ovale kjerner med et finfordelt nukleokromatin og med en cytoplasmaende på én eller begge sider av kjernen. På histologibildet ser vi multinukleære celler med et rikelig, lyst cytoplasma som kan representere multinukleære muskelceller (svart pil).

    Pasientens pårørende har gitt samtykke til at artikkelen blir publisert.

    Kommentarer  ( 0 )
    PDF
    Skriv ut

    Anbefalte artikler