Gelatinøs benmarg

    ()

    sporsmal_grey_rgb
    Artikkel

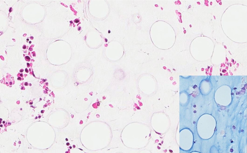
    Bildet viser et hematoksylin- og eosinfarget snitt av benmargsbiopsi i ca. 300 ganger forstørrelse. Det meste av vevet utgjøres av acellulær intercellulærsubstans – gelatinøs transformasjon. Fettcellene fremstår som skrumpne sammenlignet med normale fettceller i benmarg. Det ses noen spredte grupper av myelopoetiske celler. Innfelt bilde viser spesialfarging med alcian-blått. Intercellulærsubstansen farger positivt, som passer med at substansen består av hyaluronsyre og glykosaminoglykaner.


    Gelatinøs transformasjon av benmarg karakteriseres av fettatrofi, tap av hematopoetiske celler og deposisjoner av ekstracellulære gelatinøse substanser (1). Det er en uspesifikk reaksjon i benmargen som kan skyldes en rekke ulike lidelser. I aldersgruppen under 40 år er anorexia nervosa, hivinfeksjon og akutte febrile tilstander de vanligste årsakene til et slikt bilde. Ved høyere aldersgrupper kan man se et lignende bilde ved skadelig høyt alkoholkonsum, lymfomer og kronisk hjertesvikt (1). Det foreligger flere kasuistikker om pasienter med spiseforstyrrelser, særlig anoreksi, som har et slikt bilde i benmargen (2–3).

    Pasienten var en tidligere frisk gutt i slutten av tenårene. Han ble henvist til hematologisk poliklinikk med vedvarende nøytropeni og trombocytopeni. Gutten anga selv å ha kjent seg gradvis mer slapp og sliten i månedene før henvisningen. Han hadde dårligere appetitt og et samtidig vekttap på 8–9 kg i perioden. Han trente 1,5–2 timer fem ganger i uken. Han var svært bevisst på hva han spiste og nevnte selv muligheten for spiseforstyrrelse. Ved klinisk undersøkelse fremsto han blek og avmagret, men uten øvrige funn.

    Blodprøvene viste følgende verdier: Leukocytter 2,7 (4,4–10,5 · 109/l), nøytrofile granulocytter 1,1 (2,1–7,1 · 109/l) og trombocytter 148 (179–363 · 109/l). Nivåene av hemoglobin, senkningsreaksjon, laktatdehydrogenase, bilirubin, CRP og virusserologi for cytomegalovirus, hiv samt hepatitt B og C var alle normale.

    I pasientens aldersgruppe vil virale infeksjoner kunne gi en forbigående benmargshemming, men ettersom pasienten hadde lave verdier i to cellerekker og samtidig vekttap ble det gjort utvidet diagnostikk. Det ble ikke påvist umodne celler eller klonale B-celler med immunfenotype som ved lymfom. Røntgen thorax var normalt, og det ble ikke avdekket forstørrede lymfeknuter verken ved ultralyd av hals eller senere kliniske kontroller.

    Pasienten ble parallelt med utredningen ved hematologisk poliklinikk henvist til psykiatrisk poliklinikk for utredning av mulig spiseforstyrrelse. Han fikk der diagnosen anorexia nervosa som vi vurderte som sannsynlig årsak til forandringene i benmargen.

    Pasienten har gitt samtykke til at artikkelen blir publisert.

    Kommentarer  ( 0 )
    PDF
    Skriv ut

    Anbefalte artikler