11.03.2019:
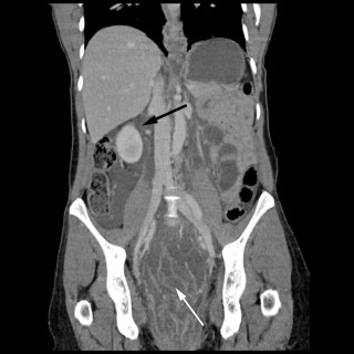
Magesmerter hos barn er en hyppig årsak til henvisning til barnemedisinsk og kirurgisk spesialisthelsetjeneste. Akutt appendisitt, obstipasjon og gastroøsofageal refluks er blant de vanligste diagnosene. Ofte kan barn ha diffuse symptomer, og selv om «det vanligste er det vanligste», er det viktig å være oppmerksom på symptomer som tyder på alvorlig, underliggende patologi. Tett samarbeid mellom fastlege, barnelege, barnekirurg og radiolog kan være viktig for å komme til målet. En jente tidlig i tenårene hadde vært plaget av «treg mage» siden småbarnsalder og hadde gjennom de siste fem årene...