En mann i 60-årene med smerte, parese og atrofi i armen

    ()

    sporsmal_grey_rgb
    Artikkel

    Pasienten fikk høre at han hadde tennisalbue. Noen måneder senere viste det seg at plagene var langt mer komplekse enn først antatt.

    En stort sett tidligere frisk mann i 60-årene ble akutt innlagt på nevrologisk avdeling med intense, brennende smerter i høyre arm. Fire måneder tilbake hadde tilstanden blitt oppfattet som tennisalbue med smerter i høyre albue. Smertene strålte etter hvert fra høyre skulder til mediale overarm over høyre albue og ned i underarmen på ulnarsiden. Det var tilkommet parestesier i fingre på ulnarsiden og pareser og atrofi i høyre underarm og hånd svarende til n. ulnaris og n. medianus. Smertene påvirket nattesøvnen, og det var ingen effekt av ikke-steroide antiinflammatoriske midler (NSAID), tramadol og kodein/paracetamol.

    Pasienten ble utredet av privatpraktiserende nevrolog og MR av nakke og høyre albue var normal. Det ble forsøkt behandling med gabapentin i ukjent dosering, men uten tilstrekkelig effekt. Gabapentin ble derfor forsøkt trappet ned samtidig som man startet behandling med pregabalin. Dette forverret smertene, og igjen ble gabapentin trappet opp, mens pregabalin ble trappet ned. Nevrofysiologisk utredning viste subakutte nevrogene forandringer i flere n. medianus- og n. ulnaris-innerverte håndmuskler og mer kroniske nevrogene forandringer i flere av de n. radialis-innerverte musklene. Nevrolog planla MR skulder og ultralyd plexus, eventuelt også CT thorax, som ledd i videre utredning. Man startet behandling med prednisolon 60 mg i én uke med gradvis nedtrapping.

    Før videre utredning ble pasienten akuttinnlagt på nevrologisk avdeling av fastlege grunnet intraktable smerter og forstyrret nattesøvn. Det ble bedt om smertebehandling og videre utredning med spinalpunksjon med tanke på infeksjon, spesielt borreliose.

    Pasienten hadde ikke hatt nylige infeksjoner, utslett eller blitt bitt av flått. Han hadde tidligere blitt behandlet for hypertyreose og var plaget med kronisk hodepine, men var ellers stort sett frisk. Pasienten ble fulgt opp regelmessig med undersøkelser grunnet hereditet for coloncancer. Han røykte 5–6 sigaretter om dagen, og ved innkomst brukte han atorvastatin og amitriptylin, gabapentin 2 700 mg fordelt på tre doser, pregabalin 125 mg fordelt på fire doser og prednisolon 60 mg.

    Ved innkomst ble det funnet redusert kraft grad 2–3 for håndtrykk, fingersprik og håndleddsfleksjon. Det var endret sensibilitet over den ulnare delen av underarmen samt fjerde og femte finger og sidelike, normale dype senereflekser i over- og underekstremitetene. Plantarrefleksene var nedadvendte.

    Plexus brachialis-nevritt er en akutt innsettende og svært smertefull nevropati som fører til pareser, atrofi og sensoriske utfall som fordeler seg asymmetrisk og usammenhengende, det vil si at utfallene ikke følger noen spesiell nerverot eller perifer nerve (1, 2). De nevropatiske smertene blir vanligvis behandlet med gabapentin eller pregabalin, eventuelt i kombinasjon med ikke-steroide antiinflammatoriske midler eller opiater. Det er ikke vanlig å kombinere gabapentin og pregabalin. Retrospektive studier har vist at prednisolon kan ha effekt både på pareser og smerter (1, 2).

    Ved nevrologisk undersøkelse ble det også funnet anisokori, hvor venstre pupill var større enn den høyre, og ptose på høyre øye. Øvrig nevrologisk og somatisk status var normal. Blodtrykket var på 145/83, pulsen 95 slag/min, oksygenmetningen 96 %, respirasjonsfrekvensen 18/min og temperaturen 36,7 oC. Blodprøver viste forhøyede leukocytter 10,6 · 109/l (3,5–8,8) og CK 37 U/l (40–280). Øvrige blodprøver var innenfor referanseområdet: CRP 2 mg/l (< 5), natrium 142 mmol/l (137–145), kalium 4,4 mmol/l (3,6–5,0), kalsium 2,43 mmol/l (2,15–2,51), kreatinin 74µmol/l (60–105), eGFR 93,3 ml/min/1,7 m2 (≥ 60), ALAT 25 U/l (10–70), ASAT 20 U/l (15–45) og albumin 43 g/l (36–45). Pasienten hadde merket at høyre øyelokk hadde vært slapt det siste halvåret, uten at han hadde tenkt nærmere over det. Det var ikke tegn til anhidrose. Han hadde hatt god matlyst, stabil vekt og ingen nattesvette.

    Pasientens utfall med miose og ptose tydet på at han hadde Horners syndrom på samme side som den affiserte armen. Horners syndrom er karakterisert av den klassiske triaden med ptose, miose og varierende grad av hemifacial anhidrose. Horners syndrom var ikke beskrevet tidligere i sykdomsforløpet. Pasienten oppga ved innkomst ingen allmennsymptomer, men alder og røykeanamnese gjorde at malign årsak måtte vurderes. Da pasienten hadde høyresidig Horners syndrom i tillegg til plexus brachialis-nevritt på samme side, fikk man mistanke om at det forelå en apikal lungetumor (Pancoast-tumor).

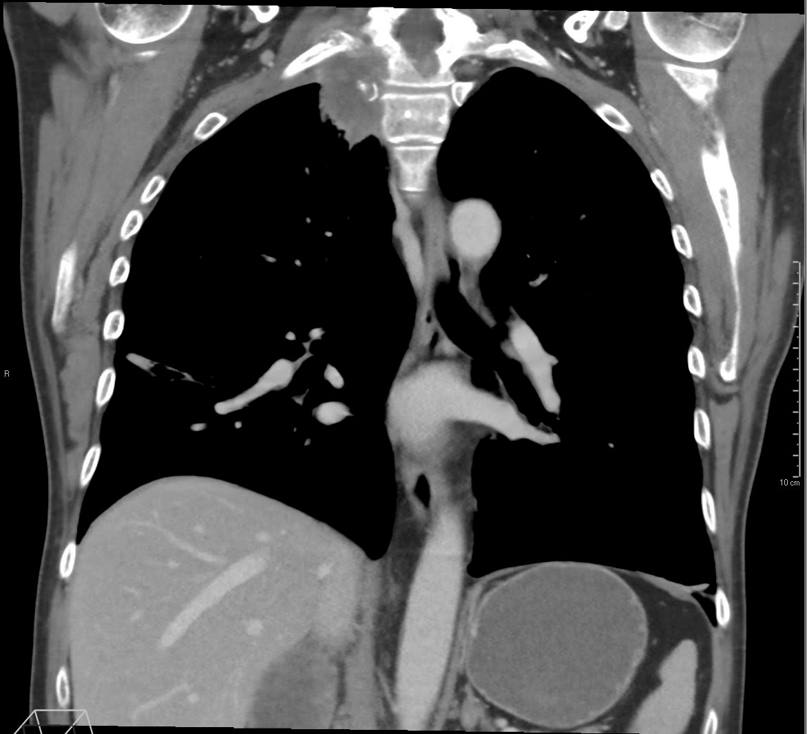
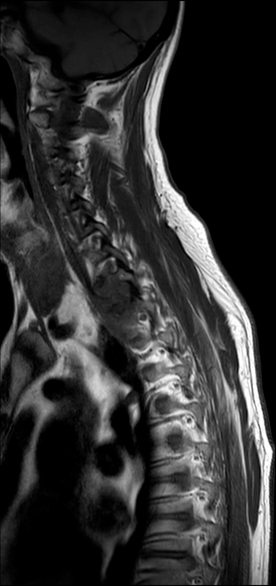
    MR av hals og øvre del av thorax ble gjennomført og viste en stor tumor på 4,8 × 2,8 cm i høyre lungeapex. Prednisolon ble seponert, og pasienten ble henvist til CT og MR som bekreftet en tumor apikalt i høyre overlapp (figur 1) med gjennomvekst til costae I og II, corpus vertebrae Th1 og nevroforamina med påvirkning av C8- og Th1-røtter og plexus brachialis (figur 2), innvekst i a. subclavia og metastasesuspekte lesjoner i virvlene C7, Th5, L1, L3 og L4. CT abdomen viste ingen sikre metastaser. Pasienten ble overflyttet til lungemedisinsk avdeling for videre utredning på grunn av mistanke om primær lungekreft.

    Lungekreft er et paraplybegrep for flere typer maligne svulster med opprinnelse fra lunger. Disse har ulike mønstre for veksthastighet og spredning og responderer også ulikt på ulike behandlingsregimer (3). Vevsprøver er derfor avgjørende for både diagnostikk og behandling. Flere metoder brukes til å få biopsimateriale, og valget er avhengig av svulstens lokalisasjon til bronkialtreet, forholdet til torakalvegg og andre strukturer rundt tumorvevet.

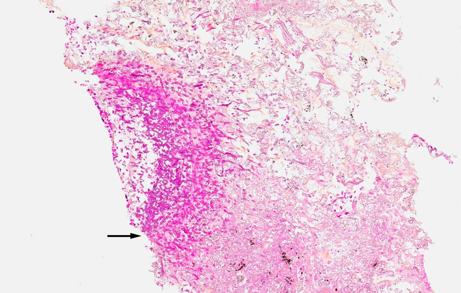
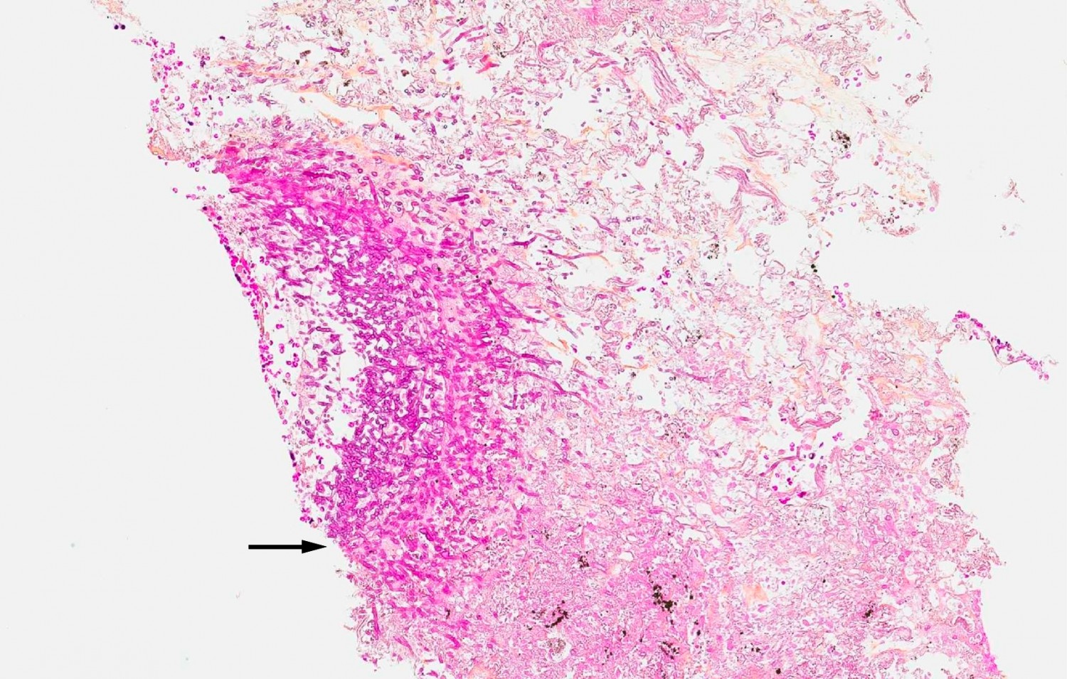
    På mistanke om avansert lungekreft kom pasienten inn i et pakkeforløp for videre utredning. Han startet med korttids- og langtidsvirkende opioider (oksykodon) og ble henvist til CT-veiledet lungebiopsi. Inngrepet ble imidlertid utsatt grunnet sterke smerter som gjorde at han ikke klarte å ligge på magen gjennom hele prosedyren. Han hadde fortsatt smerter til tross for tilleggsdoser av opioider og benzodiazepiner, og et nytt inngrep måtte derfor utføres i generell anestesi. Biopsien ble av den grunn forsinket og ble tatt omtrent en måned etter at man først fikk mistanke om malign sykdom. Biopsisvaret viste – overraskende nok – nekrose og hyfer med Aspergillus fumigatus (figur 3). Behandling med vorikonazol ble igangsatt.

    Pancoasts syndrom karakteriseres av smerter i skulder eller brystvegg med utstråling til nakke og arm/hånd, som skyldes en oppfylling i den apikale lungedelen (4). Det er sjelden benigne årsaker til syndromet. Disse omfatter som regel benigne fibroserende tumorer og bakterielle infeksjoner, men det er også beskrevet tilfeller av soppinfeksjoner (bl.a. Aspergillus-, Cryptococcus- eller Mucor-arter), både hos immunkompetente og immunkompromitterte pasienter (5, 6). Vår pasient hadde ingen kjent immunsvikt, og videre utredning for sekundær immunsvikt avdekket heller ingen avvik. Man startet antimykotisk behandling med vorikonazol, og etter to uker med denne behandlingen var smertene i regress. Strålebehandlingen måtte utsettes til nærmere avklaring av tumorens etiologi.

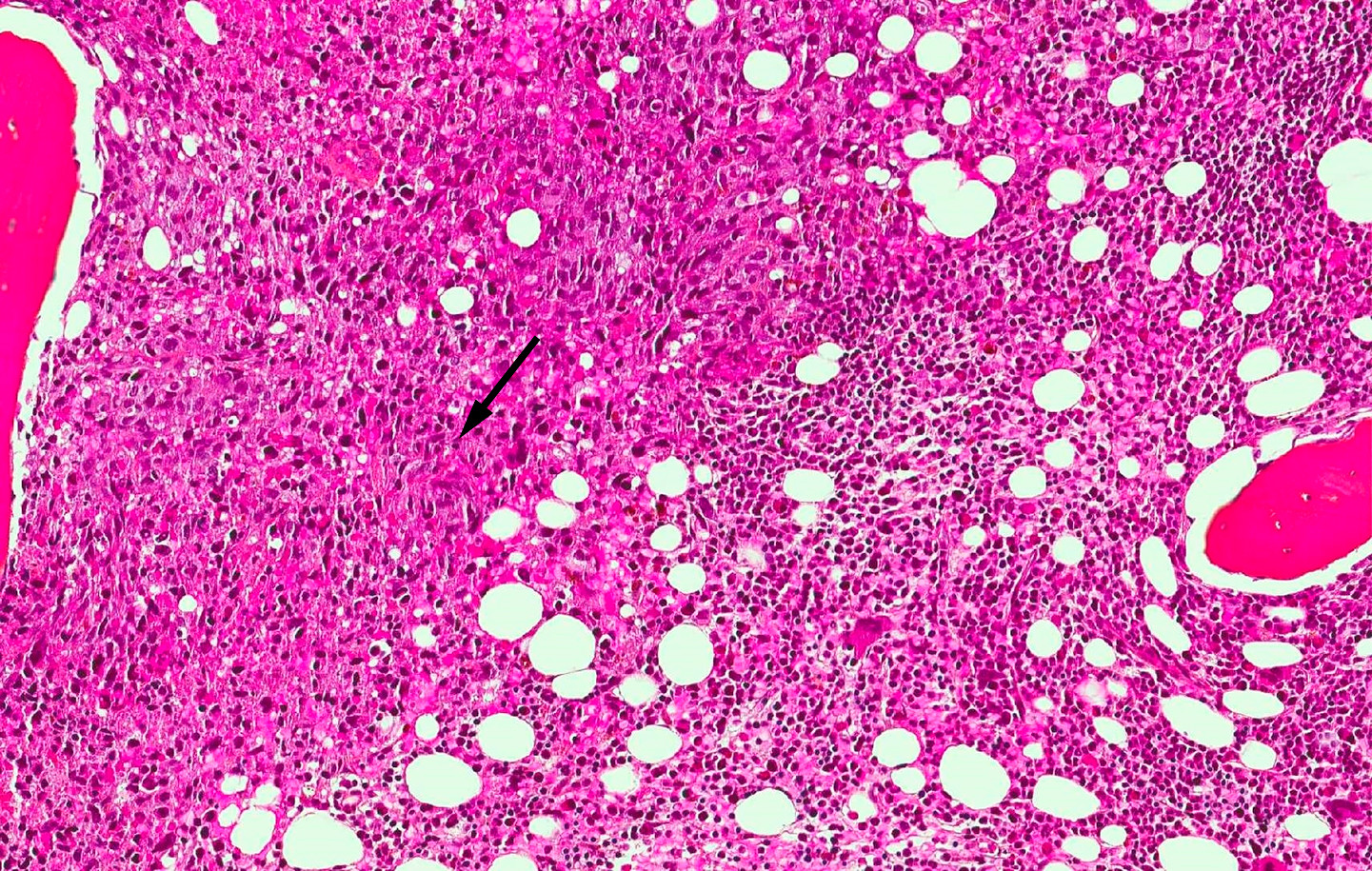
    Selv om det ikke ble funnet noen atypiske celler i biopsimaterialet og behandling med vorikonazol ble iverksatt, kunne man fremdeles ikke avfeie kreftmistanken. Bildene ble regransket av radiolog, og funnene var fortsatt best forenlig med malignitet, ikke med soppinfeksjon. Dessuten var det flere metastasesuspekte lesjoner i ryggvirvlene (figur 4). Det ble derfor tatt nye biopsier fra en av lesjonene i ryggsøylen. De nye biopsiene, med en rekke immunhistokjemiske analyser, bekreftet at det dreide seg om spredning fra udifferensiert ikke-småcellet lungekreft.

    Et biopsisvar er avhengig av den tekniske gjennomføringen av prøvetaking, og man må alltid vurdere hvor representativt prøvesvaret er ut fra en klinisk totalsituasjon. Det første biopsifunnet i vår kasuistikk svekket mistanken om primær lungekreft i favør av invasiv Aspergillus-infeksjon, men kunne ikke forklare metastasesuspekte lesjoner i ryggen. Tilstanden ble tolket som en kombinasjon av lungekreft og invasiv soppinfeksjon som oppsto i svulstens henfallsområde.

    Kreftcellene hos vår pasient hadde høyt uttrykk av programmert celledød-ligand 1 (PD-L1)-proteiner, og han ble vurdert til å være kandidat for immunterapi etter strålebehandling. Strålebehandlingen ble startet omtrent to uker etter avklaring med biopsier, og han fikk 3 Gy × 13 mot primærtumor, dette i håp om å redusere smertene og de nevrologiske symptomene. En ny CT-undersøkelse i forbindelse med strålebehandlingen viste betydelig progrediering av primærtumor og tilkomst av nye metastaser i lever, høyre binyre og flere lymfeknuter samt betydelig økning av metastaser i columna uten kompresjon av ryggmargen. Det ble dessuten påvist lungeembolier bilateralt, som ble behandlet med lavmolekylært heparin. Han kom i gang med strålebehandling mot metastaser i L1–L4-området, og rakk å få 4 Gy × 4. En akutt tarmperforasjon oppsto, og pasienten ble laparotomert med reseksjon og anleggelse av sigmoidostomi. Han fikk piperacillin/tazobaktam intravenøst. Tarmperforasjonen ble komplisert, med abscessdanning og raskt utviklende sepsis. Pasienten døde av multiorgansvikt på grunn av alvorlig infeksjon og raskt progredierende kreftsykdom omtrent tre uker etter gjennomført strålebehandling og tre måneder etter første innleggelse.

    Diskusjon

    Diskusjon

    Denne pasienten hadde smerter medialt i høyre overarm og over høyre albue i tillegg til pareser og atrofi i håndmuskulatur. Dette kliniske bildet gjorde at man mistenkte påvirkning av nedre del av plexus brachialis, og ikke øvre del, som er den klassiske og vanligste manifestasjon av plexus brachialis-nevritt, med smerter og pareser i skulder og albue samt vingescapula på grunn av påvirkning av n. thoracicus longus.

    Plexus brachialis-nevritt, også kalt nevralgisk amyotrofi og Parsonage-Turners syndrom (7), kan, i tillegg til klassisk (proksimal) og distal type, inndeles i idiopatisk og hereditær form. Den patofysiologiske mekanismen er ukjent, men antas å være multifaktoriell, med genetiske faktorer og autoimmune mekanismer involvert. Tilstanden er også beskrevet etter for eksempel fødsel, operasjon eller traume (1).

    Plexus brachialis er et komplisert nervenettverk dannet av ventrale grener fra spinalnervene C5–Th1 som går ut i tre hovedstammer: øvre, midtre og nedre truncus. De smeltes sammen til mediale, laterale og bakre fasikkel, der flere perifere nerver går ut. Tilstanden er som regel monofasisk og selvlimiterende og fører aldri til generalisert polynevropati. I de fleste tilfeller starter den med relativt akutte, intense smerter i nakke, skulder og arm. Som regel oppstår pareser og sensoriske utfall i skulder, arm og eller hånd i løpet av de første 24 timene til de første fire ukene. Etter 2–6 uker tilkommer som regel atrofi i det samme området. Utfallene progredierer ofte i løpet av den første uken for så å stabilisere seg. Progrediering ut over tre måneder er ekstremt uvanlig (1).

    Plexus brachialis-nevritt utredes med nevrofysiologisk undersøkelse. Det anbefales å vente minst to uker fra symptomdebut, da funnene ikke sikkert kan påvises i akuttfasen. Ved nevrografiundersøkelse kan man påvise reduserte sensoriske og eventuelt motoriske svar fra affiserte deler av plexus brachialis. EMG-undersøkelsen kan vise tidlige tegn på aksonal skade i form av spontanaktivitet (fibrillasjoner og skarpe monofasiske potensialer) i muskler innervert av affiserte deler av pleksus. Ved undersøkelse etter 2–3 måneder kan man i tillegg påvise tegn til reinnervasjon (polyfasiske, breddeforøkte og amplitudeforøkte potensialer).

    Laboratorieprøver som senkningsreaksjon (SR) og C-reaktivt protein (CRP) viser som regel normale funn. Det samme gjelder spinalvæskeundersøkelse, men denne kan være nyttig for å utelukke Borrelia-infeksjon og meningoradikulitt. Selv om kliniske funn og nevrofysiologisk undersøkelse er forenlig med en plexus brachialis-nevritt, bør diagnostikken suppleres med MR av plexus brachialis, som kan vise fortykkelse og ødem av nervestrukturer, samtidig som undersøkelsen utelukker andre årsaker, som f.eks. malign infiltrasjon. Røntgen thorax, skulder og cervikalcolumna har liten nytteverdi på grunn av lav sensitivitet.

    Nevrologisk undersøkelse påviste ipsilateralt Horners syndrom hos vår pasient, noe som underbygde mistanken om at det ikke forelå en klassisk plexus brachialis-nevritt. Horners syndrom skyldes en skade eller dysfunksjon av den sympatiske innervasjonen som går fra hypothalamus til den øverste delen av torakale medulla, videre inn i den sympatiske grensestrengen og langs a. carotis communis gjennom sinus cavernosus og til øyet sammen med ophthalmicusgrenen av n. trigeminus. Det er en seriekobling av tre sett nerveceller, og basert på lokalisasjon av skaden klassifiseres Horners syndrom som enten sentral (1. ordens nevron), preganglionær (2. ordens nevron) eller postganglionær (3. ordens nevron). Innervasjonen er ipsilateral. Ved usikkerhet om det foreligger anisokori, bør pasienten undersøkes i et mørkt rom, som gjør anisokori mer uttalt. Ptose er ofte lite uttalt (< 2 mm), og både øvre og nedre øyelokk kan påvirkes. Anhidrose er aldri til stede ved postganglionær påvirkning og heller ikke alltid der det er sentral eller preganglionær årsak. Hos barn er fravær av ansiktsrødme (flushing), Harlequins tegn, vanligere enn anhidrose.

    Ofte opptrer Horners syndrom sammen med andre nevrologiske symptomer som kan passe med en bestemt lokalisasjon. Hos opptil en tredel av pasientene forblir årsaken ukjent. Bildefremstilling av hele den sympatiske innervasjonen kan være nødvendig (hjerne med kar, cervikalmedulla, hals med kar og lungetopp). Årsaker til påvirkning av den sentrale delen kan være hjerneinfarkt eller -blødning i hypothalamus eller hjernestammen, oftest assosiert med infarkt i laterale del av medulla oblongata som en del av Wallenbergs syndrom. Horners syndrom kan også forekomme ved demyeliniserende sykdom, syringomyeli, AV-malformasjon eller traumer mot nakkeregionen. Preganglionære årsaker kan være direkte traume mot ryggmarg eller drag på plexus brachialis, ved spontan pneumothorax eller ved tumor nær lungetoppen. Postganglionær type er vanligst og gir isolert Horners syndrom. Årsaker kan være relatert til traume, tumor, venøs ektasi eller iatrogen skade. En viktig differensialdiagnose ved Horners syndrom og smerter er carotisdisseksjon. Dersom en pasient har øyemotilitetsforstyrrelser, spesielt abducensparese i tillegg til Horners syndrom, er det viktig å tenke på patologi i sinus cavernosus (som meningeom, hypofyseadenom, inflammasjon, carotisaneurisme, fistel eller trombose). Horners syndrom kan også forekomme under anfall med klasehodepine, men er da forbigående med varighet 1–2 timer (8).

    Kombinasjonen av samsidig Horners syndrom og atypisk plexus brachialis-nevritt førte til mistanke om Pancoast-tumor. Det er er en apikal lungetumor og kalles også for sulcus superior-tumor. Navnet beskriver plasseringen av tumoren og dens omgivende anatomi, uavhengig av etiologi. Den ble først beskrevet av radiologen Henry Pancoast i 1932 (9).

    Pancoast-tumor skyldes som regel malign sykdom. De fleste tilfellene dreier seg om en primær lungetumor, og den vanligste typen er ikke-småcellet lungecancer (9). Andre kreftformer er også beskrevet, som non-Hodgkins lymfom, mesoteliom, myelom samt metastaser fra andre solide tumorer (4). Den perifere lokalisasjonen i lungene gjør at typiske symptomer som hoste, hemoptyse og dyspné sjelden er fremtredende i startfasen av sykdommen. Det er derimot ikke uvanlig at tumoren invaderer nærliggende strukturer som supraklavikulære lymfeknuter, nedre del av plexus brachialis, a. og v. subclavia, pleura parietalis, de øvre ribbena eller ryggvirvlene. Skuldersmerter er ofte det første symptomet. Ved affeksjon av nedre del av plexus brachialis og dens nerverøtter C8 og Th1 kan det oppstå symptomer tilsvarende thoraxapertursyndrom (thoracic outlet syndrome), med utstrålende smerter medialt i overarm, albue og ulnare del av underarm. Etter hvert kan det tilkomme pareser for håndtrykk og fingersprik, redusert sensibilitet og atrofi i ulnare del av underarm og hypotenarmuskulatur. Ofte affiserer den truncus sympaticus og gir Horners syndrom. Tumoren kan også komprimere nn. laryngeus, phrenicus og/eller vagus. Fjernmetastasering er ikke uvanlig. Kliniske funn varierer og er avhengig av den nøyaktige posisjonen til tumoren og hva som påvirkes av de omliggende strukturene.

    Denne kasuistikken illustrerer viktigheten av en grundig nevrologisk undersøkelse og å kunne sette ulike symptomer og funn i sammenheng slik at videre utredning blir målrettet og potensielle alvorlige bakenforliggende årsaker raskt kan påvises eller utelukkes. I tillegg viser kasuistikken utfordringer knyttet til kreftdiagnostikk og behandling, spesielt ved en svært aggressiv sykdomsutvikling, tilstedeværelse av infeksjonssykdom og komplikasjoner, som samlet gir et komplekst sykdomsbilde. Ved usikkerhet rundt en diagnose er det viktig å være klar over at biopsiene ikke nødvendigvis er representative og at prosedyren må eventuelt gjentas ved uventede svar.

    Pasienten samtykket til publisering før han døde.

    Vi takker Tore Borgan Sjøboden, Bildediagnostisk avdeling, og Marianne Lyngra, Avdeling for patologi, Akershus universitetssykehus, for bidrag til artikkelen.

    Kommentarer  ( 0 )
    PDF
    Skriv ut

    Anbefalte artikler