En kvinne i 40-årene med bekkensepsis

    ()

    sporsmal_grey_rgb
    Artikkel

    En tidligere frisk kvinne i 40-årene ble operert akutt for en smertefull hemoroide. Andre postoperative dag utviklet hun alvorlig sepsis.

    En kvinne i 40-årene ble innlagt akutt ved sitt lokalsykehus grunnet en smertefull hemoroide. Hemoroidektomi ble utført med en kløverbladformet incisjon i huden (Milligan-Morgans operasjon). Hun ble utskrevet dagen etter inngrepet i god allmenntilstand.

    Hemoroider er en vanlig anorektal lidelse, definert som symptomgivende forstørrelse og forskyving av vaskulære puter i anus. Putenes funksjon er å skape anal kontinens, de bidrar med 15–20 % av hviletrykket i endetarmen og er en naturlig del av lukkefunksjonen (1). Hemoroider har en prevalens på 4,4 %, forekommer oftest i aldersgruppen 45–65 år og er uvanlig før 20 års alder (2). Tilstanden er vanlig hos gravide kvinner (3).

    Hemoroider klassifiseres som indre eller ytre, avhengig av lokalisasjon i forhold til linea dentata (overgangssonen fra sylinderepitel i rektum til plateepitel i anus). Ofte foreligger det en kombinasjon av indre og ytre hemoroider. Vanligvis anbefales konservativ behandling for hemoroider grad I, kombinasjon av konservativ behandling og strikkligering for grad II/III og ulike former for kirurgisk behandling for grad III og IV (4).

    Påfølgende natt utviklet hun intense magesmerter, kastet opp og fikk blodig avføring. Ambulansepersonalet fant ikke målbart blodtrykk og hun ble innlagt med luftambulanse med diagnosen sepsis med uavklart fokus.

    Ved innleggelsen var hun smertepåvirket, med frysninger og kvalme. Hun hadde tegn på sepsis med temperatur 38,4 °C, blodtrykk 90/55 mm Hg, puls 115 per minutt, respirasjonsfrekvens 30 per minutt. Auskultasjon av lunger og hjerte viste normale funn. Hun anga magesmerter i nedre venstre kvadrant. Såret etter hemoroidektomien var upåfallende uten pågående blødning. Det ble ikke funnet infeksjonsfokus i hud eller bløtvev. Blodgass viste pH 7,4 (normalt 7,36–7,44), pO2 10 kPa (normalt 9,6–13,7), pCO2 3,8 kPa (normalt 4,3–5,7), baseoverskudd -6,9 mmol (normalt -3 - +3) og laktat 7,7 mmol (normalt 0,5–2,5). Orienterende blodprøver viste hemoglobin 12,9 g/dl (11,7–15,3), C-reaktivt protein (CRP) 120 mg/l (< 5), leukocytter 5,5 · 109/l (4,0–11,0 · 109/l), kreatinin 122 μmol/l (45–90), kreatinkinase (CK) 304 U/l (35–210). Urinstiks var negativ. Hun hadde ingen proteser eller fremmedlegemer i kroppen og brukte ingen faste medikamenter. Pasienten ble overflyttet til intensivavdelingen.

    Pasienten oppfylte ved innleggelsen tre av fire kriterier for systemisk inflammatorisk respons-syndrom (SIRS-kriteriene): feber, puls og respirasjonsfrekvens. Hun hadde også funn forenlig med organsvikt (påvirket mental status, stigning i kreatinin, forhøyet laktat) (5). Med bakgrunn i forhøyet laktat, forhøyet pulsfrekvens og blodtrykk i grenseland for hypotensjon, kunne større akutt blødning ikke utelukkes til tross for hemoglobinverdier innenfor normalområdet. Hun fikk derfor transfusjon med tre enheter erytrocyttkonsentrat (SAG) og intravenøs væske (Ringer-acetat). Det var rimelig å forvente en beskjeden mengde blod i avføringen to dager etter inngrepet. Blødning av et slikt omfang at det ville ha påvirket henne fysiologisk, ville imidlertid ha vært helt uventet. Det var ikke funn forenlig med hud- eller bløtvevsinfeksjon på ekstremiteter eller truncus. Urinstiks ga ikke holdepunkter for infeksjonsfokus i urinveiene. Etter å ha tatt blodprøver til bakteriologisk dyrkning, startet man antibiotikabehandling med gentamicin 440 mg × 1 intravenøst, metronidazol 1,5 g × 1 intravenøst og benzylpenicillin 2 millioner IE × 6 intravenøst grunnet magesmerter og klinisk mistanke om abdominalt infeksjonsfokus.

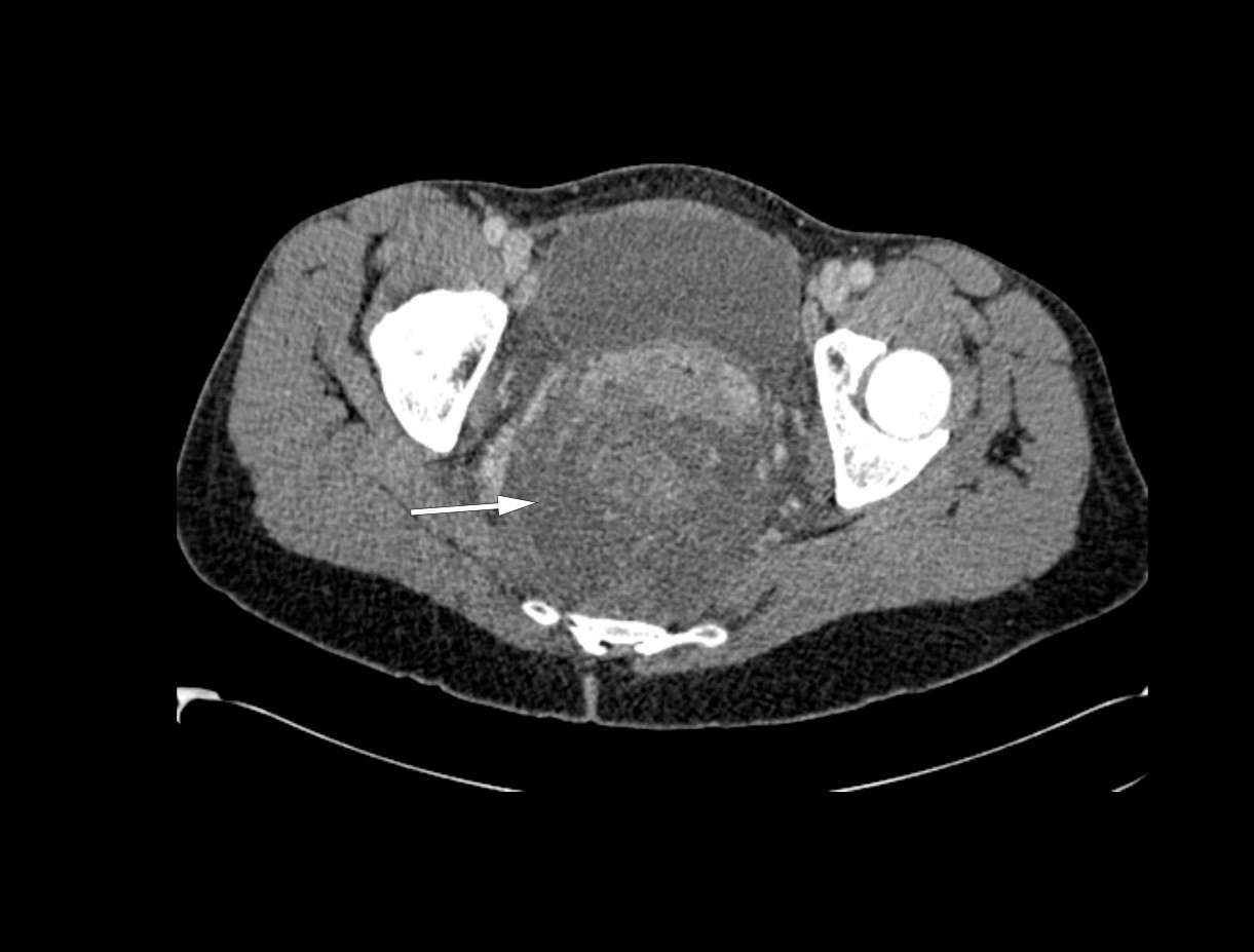
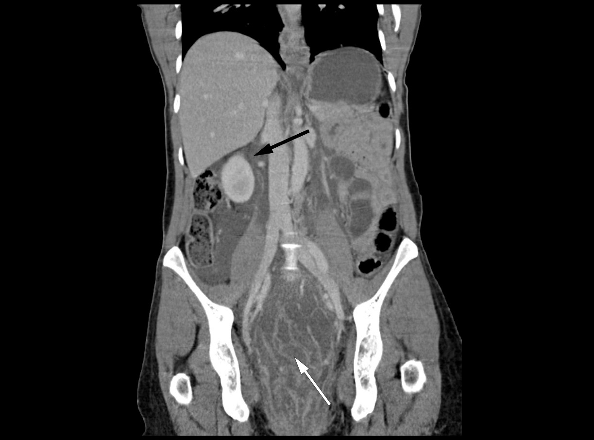
    Knapt to timer etter innleggelsen ble det utført CT av thorax, abdomen og bekken med intravenøs kontrastvæske. Det ble ikke gitt peroral eller rektal kontrast. I thorax ble det ikke påvist noen aktuell patologi. CT av bekken viste en uttalt ødematøst fortykket rektumvegg på opptil 2 cm, fra sigmoidovergangen i promontorienivå til anus. Det var ikke patologisk gass i bløtvevet, men et mesorektalt ødem som strakte seg sammenhengende retroperitonealt til nyrevenenivå. Det var moderat mengde fri væske i peritonealhulen i nedre abdomen og bekken. I peritoneum var det ingen fri luft. Parenkymatøse organer og genitalia interna var uten funn. Sigmoideoskopi viste proktittforandringer med ødematøs slimhinne og rubor i distale 10 cm av rektum. Det var ikke tegn til tarmperforasjon eller tarmiskemi.

    Vel syv timer etter at hun ble innlagt, hadde pasienten fått 6 l intravenøs væske, 3 SAG-enheter og infusjon med pressor. På tross av dette hadde hun et systolisk blodtrykk rundt 80 mm Hg og økende pressorbehov. Ved klinisk undersøkelse var pasienten i svært redusert allmenntilstand, somnolent og med tegn til generell peritonitt. Vi hadde ikke holdepunkter for annet infeksjonsfokus og måtte mistenke at hun hadde en alvorlig infeksjon som komplikasjon til den kirurgiske behandlingen to dager tidligere.

    På grunn av klinisk forverring uten respons på igangsatt behandling og mistanke om abdominalt infeksjonsfokus, ble det gjort laparotomi. Man fant rikelig ascites i bukhulen og retroperitonealt ødem fra øvre nyrepol på begge sider som strakk seg ned i bekkenet og mesorektum. Det var ingen tegn til intraabdominale abscesser eller tarmperforasjon. Funnene var ikke forenlig med nekrotiserende fasciitt, idet man fant viabelt vev uten tegn til gassdanning, krepitasjoner eller henfall. Det ble gjort reseksjon av colon sigmoideum og rektum ned til analkanalen med anleggelse av endekolostomi. Retroperitoneum ble åpnet og drenert for væske. Det ble tatt bakteriologisk undersøkelse av ascites og retroperitonealvæsken. Buken ble midlertidig lukket med vakuumbandasje, slik at vi senere kunne gjøre en ny vurdering. Etter å ha konferert med infeksjonsmedisiner ble antibiotikabehandling endret til meropenem 1 g × 3 intravenøst for å oppnå bedre penetrans til bløtvev.

    Blodprøver første postoperative dag viste CRP 298 mg/l, leukocytter 13,2 · 109/l og kreatinin 132 μmol/l (normalt 45–90). Ved inspeksjon andre postoperative dag var det hevelse og rødme med en sirkulær utbredelse på tre cm radiært ut fra anus. Det var ingen lokale krepitasjoner ved undersøkelse i operasjonsområdet etter hemoroidektomien. Bakteriologisk dyrkning av blod viste oppvekst av betahemolytiske streptokokker gruppe A (GAS). Det ble utført en reoperasjon med inspeksjon av bukhulen. For definitiv sanering av inngangsport for infeksjonen ble det gjort analamputasjon med fullstendig reseksjon av sfinkterapparatet, da gruppe A-streptokokker i blodkultur gjorde at man måtte mistenke hud som inngangsport. CRP steg til 459 mg/l og leukocytter til 24,5 · 109/l.

    Initialt hadde vi mistanke om at pasienten hadde en gramnegativ infeksjon med bakterier fra tarmlumen. Oppvekst av gruppe A-streptokokker i blodkultur medførte imidlertid mistanke om hud som inngangsport for infeksjonen. Derfor ble det besluttet å fjerne anus. Gruppe A-streptokokker er grampositive, en av de vanligste patogenene for mennesker og årsak til akutt faryngitt, skarlagensfeber, impetigo, sinusitt, otitt, pneumoni og erysipelas. Den kan også forårsake akutt revmatisk feber, akutt glomerulonefritt (6) og alvorlige invasive infeksjoner med høy dødelighet (cellulitt, nekrotiserende fasciitt og gassdannende myonekrose). Ved slike bløtvevsinfeksjoner er tidlig kirurgi helt avgjørende for å berge livet til pasienten, da dødelighet ved bløtdelsinfeksjoner er rapportert å være 20–100 % (7).

    Tredje postoperative dag gjorde man en ny inspeksjon på operasjonsstuen med funn av viabelt vev som ikke trengte ytterligere revisjon. Det ble skylt rikelig med saltvann, og såret i perineum ble lagt åpent og dekket med saltvannsfuktede kompresser. Åpningen i bukveggen (laparostomi) ble fortsatt lukket med vakuumbandasje. Klindamycin 600 mg × 3 intravenøst ble lagt til antibiotikabehandlingen etter drøfting med infeksjonsmedisiner. Kreatininnivået var normalisert og infeksjonsprøver fallende.

    Fjerde postoperative dag viste dyrkning av ascites og retroperitoneal ødemvæske samme bakteriestamme som dyrkningen av blod. Åpningen i bukveggen lå åpen, lukket midlertidig med vakuumbandasje frem til femte postoperative dag, da man gjorde ny vurdering på operasjonsstuen. Det ble utført sårskift i perineum, med fredelige funn, og åpningen i bukveggen ble lukket med sekundærsutur. Grunnet økende pressorbehov og CRP-stigning to dager senere valgte man å gjøre en ny laparotomi. Man fant fine forhold intraabdominalt og ingen objektive funn som kunne forklare dette. Buken ble derfor lukket i samme seanse. Såret i perineum var fredelig og kunne lukkes tre dager senere, tiende postoperative dag. Histologisk vurdering av rektumresektatet viste sirkulasjonsforstyrrelser, nekrose og betennelse, uten funn av dysplasi eller tumorvev.

    Det videre forløpet ble komplisert av pyelonefritt og hydronefrose, som ble behandlet med JJ-stent i begge nyrebekken og ceftriakson 2 g × 1 intravenøst. I tillegg ble det påvist en høyresidig lungeembolus som ble behandlet med rivaroksaban 20 mg × 1 peroralt i tre måneder. Pasienten kunne skrives ut fra avdelingen etter 43 dager og var tilbake i full jobb et halvt år etter utskrivningen.

    Diskusjon

    Diskusjon

    I denne artikkelen beskrives utviklingen av en alvorlig komplikasjon etter Milligan-Morgans operasjon for hemoroider hos en ellers frisk 40 år gammel kvinne. Komplikasjonen var helt uventet, og i litteraturen er det få eksempler på lignende kasuistikker. Alle som behandler pasienter med anorektale lidelser, må være oppmerksom på at alvorlig postoperativ infeksjon kan oppstå dager til uker etter inngrepet.

    Hos vår pasient viste CT av buken omfattende ødem perirektalt og retroperitonealt. Sigmoideoskopi viste proktitt. På bakgrunn av dette mistenkte man primært en gramnegativ infeksjon og opererte pasienten med rektumreseksjon med distal avsetting helt ned på analkanalen. Direkte mikroskopi av ødemvæsken burde vært gjort under primærinngrepet, da påvisning av streptokokker trolig ville medført at man gjorde analamputasjon ved primæroperasjonen for å sanere inngangsporten for infeksjonen. Sigmoideum var ødematøs og betent og måtte recesseres. Direkte mikroskopi under primærinngrepet ville ikke påvirket denne avgjørelsen eller omfanget av reseksjonen.

    Milligan-Morgans operasjon for hemoroider er en veletablert teknikk for kirurgisk behandling av hemoroider, beskrevet allerede i 1937 (8). Hemoroidene eksideres, karstilken fridissekeres og ligeres. For å unngå strikturdanning bevares en hudbro mellom hemoroidene hvis flere hemoroider eksideres i samme seanse. Teknikken er forholdsvis enkel, kan utføres med vanlige kirurgiske instrumenter og har lav tilbakefallsrate sammenlignet med mer moderne teknikker som longoplastikk (9) og arterieligatur (HAL) (10). Inngrepet har generelt lite komplikasjoner. Opptil 70 % av pasientene får betydelige postoperative smerter, og dette anses som den største ulempen med teknikken. Vannlatingsplager ses hos 15–20 % av pasientene og blødning hos 2–6 %. Senkomplikasjoner er sjeldne, men analfissur (1–2,6 %), anal stenose (1 %), inkontinens (0,4 %) og fistel (0,5 %) forekommer (11–13).

    Postoperativ infeksjon etter anorektal kirurgi er svært uvanlig på tross av en rik bakterieflora i området, og det gis ikke rutinemessig antibiotika i forbindelse med Milligan-Morgans operasjon. I en randomisert studie der man sammenlignet en gruppe pasienter som fikk preoperativ antibiotikaprofylakse med en gruppe som ikke fikk det ved operasjon for grad III-IV-hemoroider, var gruppene like med hensyn til postoperative komplikasjoner, bruk av smertestillende og tilhelingsrate (14). I en retrospektiv studie fant man ingen postoperative infeksjoner blant 2 280 pasienter som var operert med Milligan-Morgans hemoroidektomi. Ingen av pasientene fikk pre- eller postoperativ antibiotika (15).

    Ved alvorlig sepsis er tidlig kirurgi med sanering av infeksjonsfokus og repeterte inspeksjoner og revisjoner av operasjonsfeltet helt avgjørende for pasientens prognose. I en gjennomgang av syv pasienter med perianal sepsis, hvor seks hadde gjennomgått anorektal kirurgi på forhånd (fire for analfistel, en for drenasje av perianal abscess og en strikkligering av hemoroide), fikk alle avlastende stomi (16).

    Pasienter med hemoroider vil ofte oppsøke fastlege grunnet rektal blødning. Diagnosen kan stilles på fastlegekontoret, fortrinnsvis ved undersøkelse i benholdere med ytre inspeksjon, rektal eksplorasjon og anorektoskopi. En slik undersøkelse vil også kunne diagnostisere hyppig forekommende tilstander som abscess, fissur, polypp, fistel og marisker. Behandlingstilnærmingen for hemoroider er primært konservativ og kan startes i regi av fastlege. De fleste pasientene som ikke responderer på konservativ behandling, vil ha effekt av strikkligatur, som er en trygg behandling med få alvorlige komplikasjoner. Kirurgisk behandling tilbys vanligvis pasienter med store plager og grad 4-hemoroider som ikke har hatt effekt av konservative tiltak.

    Pasienten har gitt samtykke til at artikkelen blir publisert.

    Kommentarer  ( 0 )
    PDF
    Skriv ut

    Anbefalte artikler