En kvinne i 20-årene med urininkontinens

    ()

    sporsmal_grey_rgb
    Artikkel

    En kvinne i 20-årene ble henvist til gynekologisk poliklinikk etter å ha vært plaget av inkontinens for urin hele livet. Vi presenterer her en sjelden årsak til urinlekkasje hos voksne kvinner.

    Kvinnen ble henvist til gynekologisk poliklinikk for vurdering med tanke på operativ behandling av stressinkontinens da hun var i starten av 20-årene. Hun hadde hele livet hatt problemer med urinlekkasje. Det var ingen svangerskap i anamnesen.

    Pasienten besvarte Norsk urogynekologisk gruppes spørreskjema for urinlekkasje. Hun bekreftet lekkasje ved fysisk aktivitet samt at dette inntraff flere ganger daglig. Lekkasjen ble angitt som drypping, med vått undertøy som resultat. Hun benektet å ha sterk trang eller lekkasje før hun nådde frem til toalettet. Inkontinensbind ble byttet mer enn fire ganger daglig. Lekkasjen medførte innskrenket seksualliv og påvirket det sosiale livet.

    Urodynamisk undersøkelse, kliniske tester og undersøkelser ble utført (tab 1).

    Tabell 1

    Urodynamiske undersøkelser og kliniske funn.

    Undersøkelse

    Funn

    Bleieveietest (g/24 timer)

    66

    Blæretømminger/24 timer

    18

    Gjennomsnittsvolum (ml)

    183

    Cystometri

    Normal fylningsfase

    Første sensasjon (ml)

    175

    Normal vannlatningstrang (ml)

    202

    Trang/urgency (ml)

    296

    Maks blærekapasitet (ml)

    389

    Pinnetest

    Negativ

    Urinstiks

    Negativ

    Urethralukketrykk (cm H2O)

    97

    Lekkasje ved stresstest (g)

    0

    Resturin (ml)

    0

    Maks strømning (ml/sek)

    30

    Gynekologisk undersøkelse

    Normal status

    Transvaginal ultralyd

    Normal status

    Hennes urinlekkasje ble tolket som en blandingsinkontinens til tross for negativ stresstest. Pasienten anga noe urgeplager. Hun ble henvist til fysioterapeut, og det ble bestilt elektrostimulator (NeuroTrack Continence). Pasienten ble anbefalt å redusere væskeinntaket, og det ble startet behandling med mirabegron (Betmiga), som er en β3-adrenoseptoragonist. Pasienten uteble så fra avtalt oppfølgingstime.

    Spesialistutredning av urininkontinens hos voksne skal gi informasjon om type inkontinens. Utredningen starter med en grundig anamnese der man kartlegger symptomer fra nedre urinveier, tidligere urinveisinfeksjoner, tarmlidelser, samt varighet og hyppighet/alvorlighetsgrad av plagene (1). Den kliniske undersøkelsen skal avdekke oppfylninger i abdomen/bekken, blæredistensjon, kirurgiske arr og kroppsmasseindeks (BMI) samt utelukke ekstrauretral lekkasje (fistel) hos pasienter som har gjennomgått kirurgi eller strålebehandling (1). De kliniske testene inkluderer urinanalyse, resturinmåling, bleieveietest og urodynamiske undersøkelser. Terskelen for uretracystoskopi og bildeundersøkelser er lav (1).

    To år senere ble pasienten henvist til sykehus med akutte høyresidige flankesmerter, som ble tolket som en pyelonefritt. Det var oppvekst av Klebisella pneumoniae i urinen. C-reaktivt protein (CRP) var 234 mg/l (0–5) og leukocytter 17,1· 10E9/l (3,5–11). Ultralyd abdomen og bekken viste urenheter (sludge) i tynnvegget galleblære. Pasientens tilstand ble ytterligere forverret dagen etter innleggelse, og man endret tentativ diagnose til akutt kolecystitt. Hun ble behandlet med piperacillin/tazobaktam intravenøst og kunne utskrives etter tre dager.

    Ett år senere henviste fastlegen henne til ny gynekologisk vurdering på grunn av vedvarende urinlekkasje. Undersøkelsene fra tre år tidligere ble gjentatt, uten at noe nytt ble avdekket. Bekkenmuskulaturen ble oppfattet som kraftig. Kirurgi for stressinkontinens ble, til pasientens fortvilelse, avvist. Det fremkom i samtale at pasienten hadde vært utredet og behandlet for urininkontinens som barn. Man besluttet derfor å hente inn journal fra sykehuset som hadde utredet henne den gang.

    Innhentet journal viste at utredning og behandling var påbegynt i primærhelsetjenesten. Det fremkom at jenta hadde brukt bleier frem til hun var fire år gammel. Da hun hadde sluttet med bleiene, hadde mor bemerket at hun var inkontinent for urin på dagtid, men tilsynelatende kontinent om natten.

    Inkontinens for urin er vanlig hos barn. Den har vanligvis funksjonell årsak (2, 3). Likevel er det viktig å utelukke avvikende anatomiske forhold. Mistanke om anomali kan fås etter grundig anamnese, gjennomgang av miksjonslister, avføringsmønster og klinisk undersøkelse som innebefatter undersøkelse av abdomen, sfinkter, genitalia og nevrologisk undersøkelse.

    Pasienten hadde hatt sin første urinveisinfeksjon som ettåring og deretter 2–3 påfølgende infeksjoner før det ble utført ultralyd av urinveiene da hun var tre år gammel. Ultralydundersøkelsen hadde vist normale forhold.

    Gjeldende retningslinjer for barn under tre år vil i dag være å starte med ultralyd av urinveier ved første gangs febrile urinveisinfeksjon. Funn ved ultralydundersøkelsen vil avgjøre videre radiologiske utredninger. Miksjonsuretrocystografi (MUCG) er førstevalg ved funn av dilaterte øvre urinveier eller ved gjentatte febrile urinveisinfeksjoner, fordi en vesikoureteral refluks grad 2–3 kan overses ved ultralyd (4).

    Jenta hadde vært til flere konsultasjoner i primærhelsetjenesten i årene som fulgte, men urinlekkasjen var ikke blitt utredet videre. Foruten en pneumoni som fireåring, hadde hun stort sett vært frisk. Tidlig i tenårene hadde hun igjen blitt henvist til barneavdelingen grunnet vedvarende urininkontinens uten enurese (sengevæting). Det hadde vært normale funn ved somatisk undersøkelse på barneavdelingen. Miksjonen hadde vært upåfallende, og hun hadde ikke hatt urinveisinfeksjon. Det var angitt at dråpelekkasjen var et problem flere ganger per uke. Det hadde blitt startet med trippeltømming (triple voiding) for å begrense urinlekkasjen.

    Dobbel- eller trippeltømming samt ulike varianter av tisseregimer brukes for å hjelpe barnet med tømmings- og lagringsmønster samt for å vurdere resturin. Tolterodin (Detrusitol SR) og oksybutinin (Ditropan) er antikolinergiske, detrusorrelakserende medikamenter. De er ikke godkjent for barn under 12 år og bør kun brukes der behandlende lege har særskilt kunnskap om slik behandling (5).

    Pasienten hadde gjennomført miksjonsuretrocystografi, som ikke hadde vist tegn til patologi.

    Miksjonsuretrocystografi utføres for å påvise og gradere primær vesikoureteral refluks. Den kan også påvise sekundær vesikoureteral refluks ved infravesikal obstruksjon slik som ved urethraklaffer hos gutter. Høygradig refluks ses oftest hos gutter under to år, og insidensen avtar deretter. Lavgradig refluks er hyppigere hos jenter og ses særlig etter residiverende urinveisinfeksjoner (6, 7). Vesikoureteral refluks har en arvelig komponent og er assosiert med øvrige urinveisanomalier, slik som dupliserte uretere (8).

    De påfølgende årene hadde jenta vært vedvarende plaget med urininkontinens. Ifølge journalen hadde diagnosen blitt endret fra stressinkontinens til urgeinkontinens, og det hadde blitt startet behandling med oksybutinin. Det hadde blitt oppfattet som om dette hadde noe effekt, og behandlingen med medikamentet hadde derfor blitt videreført. Jenta hadde hatt hyppig kontakt med helsevesenet og etter hvert blitt negativ til videre undersøkelser. I midten av tenårene hadde fastlegen igjen henvist henne til sykehuset, men barneavdelingen sendte da kun ny resept på oksybutinin uten videre undersøkelse.

    Ved oppstart med detrusorrelakserende behandling bør lekkasjen bedres etter noen dager. Ved manglende effekt etter én måned bør preparatet seponeres. Det er ikke uvanlig at man kontinuerer behandlingen i 1–2 år, såfremt den er effektiv. Resturinen bør kontrollere regelmessig (5).

    Jenta hadde deretter ikke hatt kontakt med spesialisthelsetjenesten før hun, i slutten av tenårene, var blitt innlagt med to dagers sykehistorie med smerter i høyre fossa iliaca. CRP hadde vært 35 mg/l. Gynekologisk undersøkelse med ultralyd hadde antydet at det kunne dreie seg om en fortykket struktur nær høyre eggstokk, noe som hadde forsterket mistanken om akutt appendisitt. Appendektomi ble utført. Peroperativt hadde det vært en sparsomt injisert, kun lett fortykket appendix vermiformis og ingen Meckels divertikkel. Man hadde ikke funnet annen forklaring på pasientens magesmerter, og hun var blitt utskrevet etter tre dager.

    Ved den aktuelle henvisningen til gynekologisk poliklinikk grunnet urinlekkasje var kvinnen i begynnelsen av 20-årene. Etter gjennomgang av ovennevnte journal samt aktuell sykehistorie og egne funn mistenkte gynekologen ureteral ektopi.

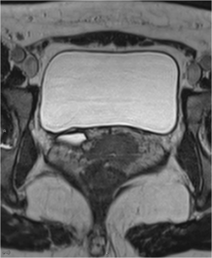
    CT av urinveier ble utført, men det var ikke mulig å gi noen konklusjon med hensyn til ektopisk munnende ureter. Det ble derfor utført MR av urinveiene. Det forelå dobbeltanlegg på høyre side med et lite øvre anlegg og et dilatert ureter (fig 1). Ureter forløp dilatert mellom urinblære og vagina og munnet ut ektopisk nær urethras utmunning (fig 2).

    For å identifisere dobbeltanlegg og ektopisk munnende ureter på CT forutsettes tilstrekkelig funksjon og kontrastutskilling fra det øvre anlegget, noe som ikke var tilfellet for denne pasienten. Ultralyd kan identifisere dilatert, ektopisk ureter, men det kan være vanskelig og krever som regel spesiell oppmerksomhet. Vår pasient var henvist med spørsmål om kolelitiasis og pyelonefritt, og det ble ved rutinemessig vurdering av urinveiene ikke oppdaget patologi. Høyoppløselige væskesensitive MR-sekvenser i volumopptak gir gode forutsetninger for å identifisere ureter og følge ureters forløp. I det lille bekken er MR bedre egnet enn CT, men mer tidkrevende. Det ble utført dedikerte høyoppløselighetsserier i bekkenet supplert med mindre detaljrike sekvenser over øvre urinveier. Det ble ikke benyttet kontrastmiddel under MR-undersøkelsen. Barnelegene bruker MR som primær modalitet ved mistanke om ureteral ektopi.

    Årsaken til pasientens vedvarende problem med urinlekkasje var altså et ektopisk munnende ureter (fig 3).

    Pasientens tilfelle ble drøftet i et tverrfaglig urologisk team. Renografi viste at begge nyrer var velfungerende. De to anleggene ble vurdert som teknisk vanskelige å skille. Det ble konkludert med at pasienten kunne tilbys operasjon med robotassistert anastomosering av proksimale øvre ureter mot ipsilaterale proksimale ureter. Denne løsningen ble vurdert som fordelaktig med tanke på å bevare nyrefunksjon samt for å minimere risiko for skade på nedre anlegg. Man ønsket å legge anastomosen så kranialt som mulig, på ureter/nyrebekken, der diameter på korrekt forløpende anlegg var god og risikoen for stenose derfor mindre. Peroperativt fant man at nyrebekkenet lå dypt og vanskelig tilgjengelig. Det ble derfor lagt anastomose mot proksimale ureter (fig 4).Det ble lagt to JJ-stenter, en til øvre og en til nedre anlegg (fig 5).

    Pasienten hadde postoperativt mye plager fra JJ-stentene. Hun ble også reinnlagt på urologisk avdeling etter 14 dager med en pyelonefritt, som ble behandlet med antibiotika. Nyrefunksjonsprøver var hele tiden upåfallende, med kreatinin 47 µmol/l (45–90). Fire uker etter operasjonen ble stentene fjernet, og plagene forsvant.

    Ved postoperativ tremånederskontroll var urinlekkasjen borte. Hun kunne merke litt mukøst sekret i trusen om morgenen. Man antok at dette kunne være fra gjenværende distale ende av ektopisk ureter og vurderte at symptomene ikke krevde ytterligere tiltak. Hun opplevde noe ømhet i høyre flanke, som ble vurdert som en postoperativ muskulær plage. Likevel ble det rekvirert CT urografi for å vurdere postoperativ status. Undersøkelsen viste, som ventet, ingen kontrast i ureter fra øvre anlegg, men normal utskilling via nedre ureter til urinblæren. Det var ingen tegn til hydronefrose (fig 6).

    Diskusjon

    Diskusjon

    Urininkontinens er en vanlig problemstilling hos kvinner. Prevalensraten ligger på 20–40 % i de fleste studier (9). Ca. 50 % av kvinnene har stressinkontinens, noen færre har blandingsinkontinens og en mindre gruppe har urgeinkontinens (9).

    Med stressinkontinens menes ufrivillig lekkasje ved anstrengelse, som hosting og nysing. Urgeinkontinens betyr urinlekkasje ledsaget av sterk trang til å late vannet. Med blandingsinkontinens menes en kombinasjon av stress- og urgeinkontinens (10).

    Med økende alder blir urininkontinens mer vanlig. Man ser også at andelen med stressinkontinens faller, mens andelen med blandingsinkontinens og urgeinkontinens stiger (9).

    Urininkontinens hos barn

    Urininkontinens hos barn

    Prevalensen for urininkontinens hos sjuåringer er 6,3–9 % (2) og 1,1–4,2 % hos barn i alderen 11–13 år (2). Generell veileder i pediatri skiller mellom urininkontinens relatert til ustabil blære, utsatte miksjoner, blære-sfinkter-dyssynergi/dyskoordinering, kombinerte former, latterinkontinens, blæredysfunksjon og obstipasjonsbetinget inkontinens (5). Urininkontinens påvirker i stor grad livskvalitet og selvtillit for barna det gjelder (11). Maternik og medarbeidere ga i 2015 en god oversikt over inkontinens samt utredning og behandling av barn (12).

    I allmennpraksis begrenser utredningen seg til anamnese, klinisk undersøkelse og vurdering av drikke/diureseliste. I tillegg kan urinen undersøkes med urinstiks og eventuelt bakteriologisk dyrkning. Ultralyd av nyrer/urinveier kan rekvireres fra fastlegekontoret, men dersom man har mistanke om ikke-funksjonell årsak til inkontinens, bør barnet henvises til barnelege. Norsk Enurese Forum (NEF) har nyttig informasjon og miksjonslister til nedlasting på sin hjemmeside (13).

    Ureteral ektopi

    Ureteral ektopi

    Definisjonsmessig betyr ektopisk ureter at det foreligger en urinleder som ikke munner i blærens trigonum. Dersom det foreligger dobbeltanlegg, er det alltid det øvre anlegget som munner ektopisk. Forklaringen på dette ligger i den embryonale utviklingen (14). For små barn er det vanlig at leger tenker på urinveisanomalier som årsak til inkontinens. Når pasientene blir eldre, tenker man mindre på denne mulige årsaken til inkontinens.

    Ureteral ektopi har ulike symptomer hos gutter og jenter. Hos jenter kan ureter munne i blærehals, urethra, vagina, uterus, perineum og rektum. Jenter har derfor dråpelekkasje som symptom. Pasientene kan ha intermitterende lekkasje fordi nyresegmentet som dreneres til ektopisk ureter, ofte har mangelfull funksjon (14). Den sparsomme urinmengden lagres gjerne i samlesystemet og lekker først ut når man reiser seg opp. Dette forklarer at pasientene gjerne er tørre om natten. Dersom lekkasjen kun forekommer på dagtid, kan det bidra til at man tolker tilstanden som blæredysfunksjon eller stressinkontinens (15).

    Hos gutter munner det ektopiske ureteret stort sett over eksterne sfinkter, gjerne i vas deferens eller vesicula seminalis. Smerte eller infeksjon i testikkel eller bitestikkel kan derfor være et symptom. Inkontinens hos gutter er som hovedregel ikke relatert til ureteral ektopi (14).

    Hydronefrose er nokså vanlig ved ureteral ektopi hos både gutter og jenter. Både enkle og doble uretere kan ha kaudal stenose som forklarer dette. Magesmerter og infeksjon er også vanlige symptomer og kan oppstå når som helst i livet (14).

    Insidensen av ureteral ektopi har vært angitt til omkring 1/1 900, men flere studier har antydet at prevalensen i realiteten er høyere. Tilstanden er 2–12 ganger vanligere hos jenter. I 80 % av tilfellene foreligger ureteral ektopi sammen med dupliserte uretere (16). Hos pasienter med bilateralt dupliserte uretere og kun ensidig ektopi, viser videre utredning likevel bilateral ektopi i 20 % av tilfellene. Ofte foreligger samtidig vesikoureteral refluks (15). Ved formulert mistanke om ureteral ektopi hos barn vil barnelegene rekvirere MR av urinveiene (17). I dette tilfellet var CT med forsinket kontrast ikke egnet til å sikre diagnosen. Det er ikke uvanlig at man ikke klarer å påvise ureteral ektopi i første omgang (18).

    Behandlingen er kirurgi. Det er vanlig med konvensjonell laparoskopi og robotassisterte inngrep. Man kan gjøre reseksjon av øvre anlegg, reimplantere ektopisk ureter i blæren eller gjøre ureteroureterostomi. Dersom det ikke foreligger tegn til obstruksjon eller urininkontinens og det øvre anlegget ikke har noen funksjon, kan man vurdere videre observasjon (14).

    Pasienten har gitt samtykke til at artikkelen med bilder blir publisert. Takk til Marthe-Lise Næss-Andresen ved Institutt for helse og samfunn, Avdeling for allmennmedisin, Universitetet i Oslo for hjelp og innspill.

    Kommentarer  ( 0 )
    PDF
    Skriv ut

    Anbefalte artikler