13.11.2017:
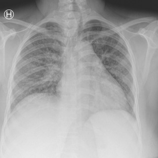
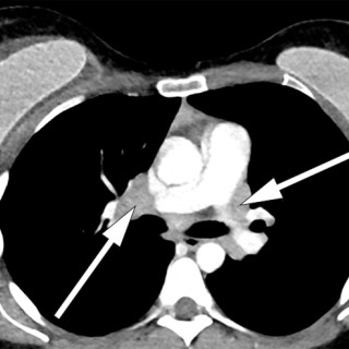
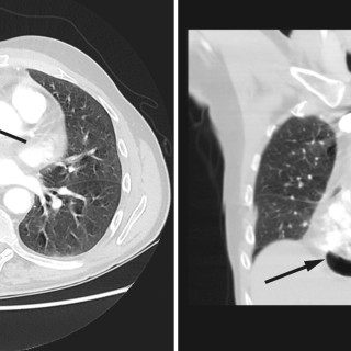
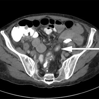
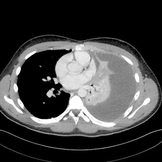
En yngre mann ble innlagt med venstresidige respirasjonsavhengige brystsmerter. Han hadde lett nedsatt allmenntilstand og feber. Det skulle bli et lengre sykehusopphold, der man diagnostiserte en uvanlig årsak til lungeaffeksjon. En tidligere frisk mann i slutten av tenårene ble via legevakt innlagt i sykehus etter ett døgn med venstresidige, respirasjonsavhengige smerter. Ved innkomst hadde han temperatur 37,6 °C, puls 117 slag/min, blodtrykk 104/57 mm Hg, respirasjonsfrekvens 24/min og perifer O2-metning på 94 % uten ekstra oksygentilførsel, og normale forhold ved klinisk undersøkelse...