En kvinne i 40-årene med bekkensmerter og uklare MR-funn

    ()

    sporsmal_grey_rgb
    Artikkel

    Hos en kvinne med bekkensmerter ble det ved radiologisk undersøkelse påvist et unormalt funn i beinmargen. Diagnostisering av tilstanden som hadde gitt henne plagene, krevde tverrfaglig tilnærming.

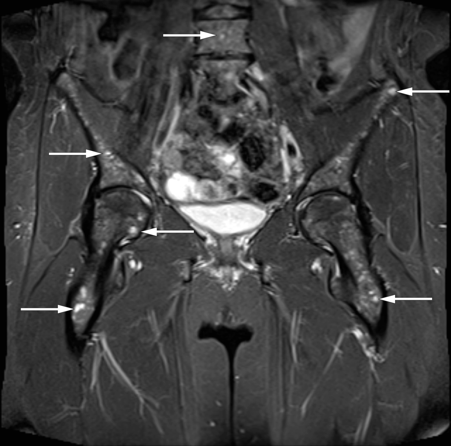
    Pasienten var en kvinne i 40-årene med hypertensjon og psoriasis. Hun hadde gjennomgått en langsgående ventrikkelreseksjon (gastric sleeve) og var utredet for mangeårige smerter i nedre del av rygg, med funn av prolaps i lumbosakralcolumna på MR to år tidligere. De siste månedene hadde pasienten hatt økende smerter og ubehag i bekkenet med bilateral utstråling til underekstremitetene. Smertene var ilende og av en annen karakter enn de hun kjente fra sin prolaps. De økte ved belastning, men var også til stede i hvile. Fastlegen hadde tolket symptomene som relatert til prolapsen og hadde henvist pasienten til behandling hos fysioterapeut samt anbefalt smertelindring med NSAID-preparater og opiater. Pasienten hadde en fysisk krevende jobb og var nå sykmeldt på grunn av det aktuelle. Som ledd i utredningen hos fastlegen var det gjort ny MR-undersøkelse av bekken og lumbosakralcolumna. Den viste småflekket signalforandring i beinmarg, mest uttalt i bekkenringen og hofteregionen (figur 1).

    Smerter i nedre del av rygg og i bekken/hofter er svært vanlig i befolkningen, og opptil 80 % vil månedlig oppleve slike smerter eller plager i en eller annen form (1). Differensialdiagnostikk ved smerter i nedre del av rygg og bekken er bred. Bildediagnostikk blir ofte gjort som ledd i å utelukke alvorlige bakenforliggende tilstander (2).

    Kvinnen ble henvist til hematologisk poliklinikk med spørsmål om beinmargssykdom. Pasienten fortalte om økende slapphet, men benektet feber, nattesvette eller vekttap. Klinisk undersøkelse avdekket ingen patologi. CRP var lett forhøyet til 14 mg/l (< 5). Andre orienterende laboratorieprøver, inkludert senkningsreaksjon, var normale. Proteinelektroforese viste ingen monoklonale bånd, og immunglobuliner viste normale nivåer. Ytterligere radiologisk bildediagnostikk ble ikke utført på dette tidspunktet.

    Pasienten hadde hvilesmerter, opplevde at smertene hadde en annen karakter enn tidligere, og MR-undersøkelse viste patologisk signal i relasjon til beinmarg i affisert område. Myelomatose debuterer ofte med ryggsmerter, og andre hematologiske sykdommer kan også gi smerter og signalavvik ved MR-undersøkelse (3, 4). Det var ikke sett monoklonalt bånd ved proteinelektroforese, noe som gjorde myelomatose lite sannsynlig.

    Spondyloartritt kan ha varierende forløp, og senkningsreaksjon og CRP trenger ikke være forhøyet, men det var ved MR ikke beskrevet forandringer i ileosakralledd som ved spondyloartritt. Infeksiøs tilstand som osteomyelitt ble vurdert lite sannsynlig på grunn av sykehistorie, god allmenntilstand og kun lett forhøyet CRP. Aktuell differensialdiagnose var malign prosess, med skjelettmetastaser som det mest sannsynlige. Typisk lokalisasjon for metastaser er i lange rørknokler, bekken og columna (5). Pasienten hadde en uavklart tilstand med smerter, slapphet og patologisk funn ved MR-undersøkelse av bekkenskjelettet. Biopsi kan i slike tilfeller være avklarende.

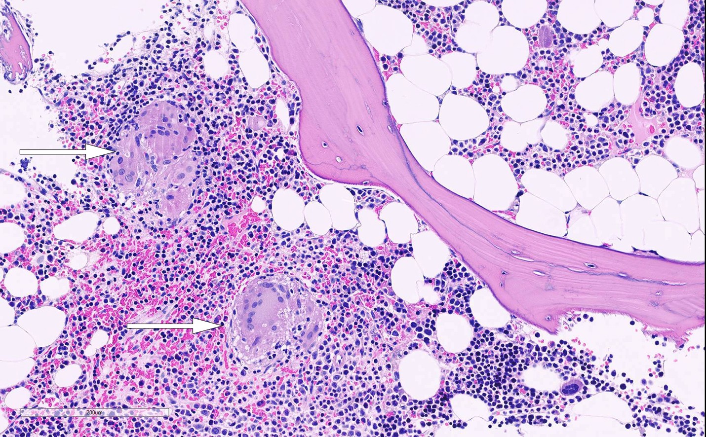
    Funn på MR reiste primært mistanke om hematologisk eller metastatisk sykdom. Det ble derfor utført beinmargsaspirat og -biopsi. Aspirasjon av beinmarg viste en lett cellefattig marg med få megakaryocytter, men god modning i myelopoese på 62 % (25–62 %) og erytropoese på 21 % (10–35 %), og det var ingen umodne celler eller plasmacelleekspansjon. Samlet tydet dette på god beinmargsfunksjon, uten holdepunkt for primær hematologisk sykdom eller infiltrasjon av beinmargsfremmede celler som kunne reise mistanke om malign sykdom eller skjelettmetastaser. Etter en uke forelå svar fra beinmargsbiopsien, som viste en lett cellefattig beinmarg med hematopoetiske celler i om lag 30–40 % av snittflaten. Spredt i margrommene var det flere velavgrensete ansamlinger av celler med rikelig eosinofilt cytoplasma og avlange, svakt bøyde kjerner forenlig med epiteloide histiocytter i granulomer. Det var også innslag av noen flerkjernede kjempeceller (figur 2). Det ble ikke påvist fremmedlegememateriale eller nekrose i granulomene. Immunhistokjemisk undersøkelse med antistoff mot T-cellemarkør CD3 viste noe økt forekomst av T-lymfocytter spredt i margrommene, med fortetning rundt granulomene. Dette ble oppfattet som reaktivt. Det var vanlig mengde plasmaceller i beinmargen, og disse viste vanlig bitypisk fordeling ved farging for lette kjeder (kappa og lambda), forenlig med polyklonale plasmaceller. Polymerasekjedereaksjonstest (PCR) for mykobakterier, inkludert Mycobacterium tuberculosis, var negativ.

    Det forelå altså en beinmarg med flere epiteloidcellegranulomer uten nekrose, hvilket kan ses ved sarkoidose. Funnet ble vurdert å være forenlig med sarkoidose i beinmarg (ramme 1).

    Ramme 1 Diagnostiske kriterier for sarkoidose. Gjengitt etter Heinle og Chang (11).

    Histologisk diagnose

    Biopsi med funn av granulomatøs betennelse og samtidig eksklusjon av andre granulomatøse sykdommer

    Kliniske diagnosekriterier

    Erythema nodosum

    Hyperkalsiuri

    Anemi

    Pancytopeni

    Arytmi

    Hilar adenopati ved røntgen thorax

    Uveitt

    Spondyloartritt

    Eleverte leverprøver

    Elevert immunglobulinnivå

    Funn i bronkoalveolær skyllevæske

    Ved poliklinisk undersøkelse hos revmatolog fire uker senere var det ikke tegn til artritter eller utbrudd av psoriasis. EKG viste normofrekvent sinusrytme. Angiotensinkonverterende enzym (ACE) i blod, en vanlig brukt biomarkør for sarkoidose , var forhøyet til 82 U/l (13–59). Pasienter med sarkoidose er predisponert for hyperkalsemi, men vår pasient hadde normal kalsiumverdi. Beintetthetsmåling viste verdier innenfor referanseområdet for aldersgruppen. Sarkoidose kan manifestere seg som asymptomatisk uveitt (6, 7), og alle pasienter med påvist sarkoidose skal utredes hos øyelege (7). Vår pasient hadde ikke tegn til uveitt.

    CT thorax med intravenøs kontrast og høyoppløselig CT-snitt utført seks uker etter svar på beinmargsbiopsi viste mediastinal og hilær lymfadenopati med mikronoduli i lungeparenkymet. Funnet var forenlig med lungesarkoidose grad II, med affeksjon av både mediastinale lymfeknuter og lungeparenkym. Som bifunn var det multiple, små, diffust utbredte, hypodense lesjoner i lever og milt, og det ble derfor gjort CT abdomen med intravenøs kontrast. Denne bekreftet multiple, spredte, små, hypodense lesjoner i alle deler av lever, mest utbredt i høyre leverlapp. Milten var normal.

    Radiologiske funn ble vurdert forenlig med sarkoidose med manifestasjon i lunge og lever. Noen uker etter funn på CT thorax ble pasienten undersøkt ved lungepoliklinikk. Hun hadde ingen symptomer fra luftveiene. Spirometri og diffusjonstest viste normal lungefunksjon, og det var ikke funnet indikasjon for behandling av lungesarkoidose.

    Det var enda uklart om hennes symptomer kunne forklares av sarkoidose og om det forelå indikasjon for behandling. Positronemisjonstomografi (PET) er en diagnostisk metode for å demonstrere aktiv inflammasjon i organ (8, 9), PET/CT med glukoseanalogen 18F-FDG kan benyttes ved sarkoidose for å oppdage ukjente organmanifestasjoner og lesjoner tilgjengelig for biopsi (9). PET/CT ble vurdert som en nyttig undersøkelse for å vurdere sykdomsaktivitet relatert til sarkoidose.

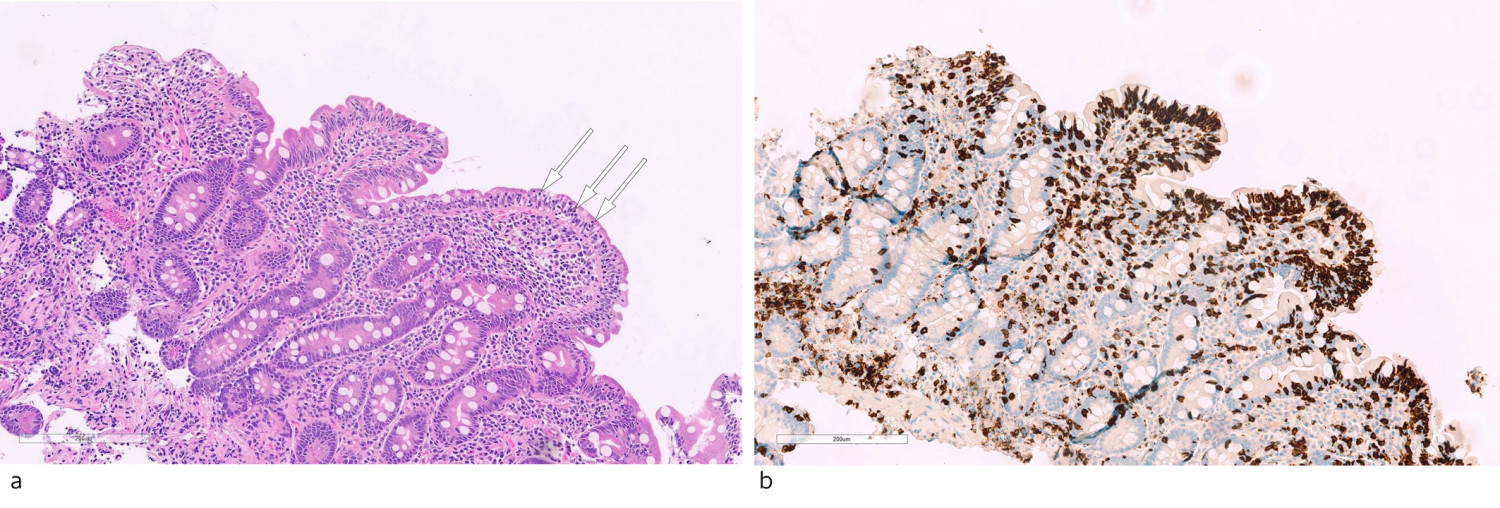
    Åtte uker etter svar på beinmargsbiopsi ble pasienten undersøkt med 18F-FDG-PET/CT. Undersøkelsen viste økt opptak av 18F-FDG relatert til magesekk og høyre colonfleksur. Funnet kunne passe med gastrointestinal manifestasjon av sarkoidose. Koloskopi tre uker senere viste makroskopisk normale funn, og biopsier viste lette reaktive forandringer. Ved gastroskopi var det funn av minimalt prepylorisk erytem, for øvrig makroskopisk normale funn i duodenum. Det ble likevel gjort duodenalbiopsier, og disse viste kronisk betennelse med intraepitelial lymfocytose og subtotal totteatrofi. Det var ikke funn av granulomer (figur 3). Blodprøver verifiserte sterkt positivt funn av IgA-antistoffer mot transglutaminase 2 (anti-TG2) med titer > 250 U/ml (< 14,9), lave jernlagre med ferritin på 11 µg/l (18–240). Vevstyping påviste HLA-DQ2, som er assosiert med cøliaki. Funnene var vurdert forenlig med cøliaki (ramme 2), selv om det anamnestisk ikke forelå gastrointestinale symptomer. Cøliakidiagnose ble satt tre måneder etter første kontakt ved medisinsk poliklinikk. Hun ble anbefalt å legge om til glutenfritt kosthold. Samtidig startet hun tverrfaglig rehabilitering, som fastlege hadde henvist til.

    Ramme 2 Diagnostiske kriterier for cøliaki. Modifisert etter Catassi og medarbeidere (20). Fire av fem følgende kriterier må vere oppfylt for å stille diagnosen cøliaki:

    (Typiske) symptomer forenlig med cøliaki

    Forhøyet nivå av IgA-antistoffer mot transglutaminase 2 (IgA-anti-TG2)

    Enteropati ved tynntarmsbiopsi

    Vevstype HLA-DQ2 eller HLA-DQ8

    Respons på glutenfri kost

    Tre måneder etter oppstart av glutenfritt kosthold var pasienten til første kontroll hos revmatolog og ved cøliakipoliklinikk. Hun hadde ikke lenger smerter i bekkenet, hadde mer overskudd og var tilbake i full jobb.

    Hennes sarkoidose ble sikkert verifisert med affeksjon av beinmarg og lunger, med sannsynlig affeksjon også i lever, selv om funnet her ikke ble verifisert med biopsi. På grunn av lav sykdomsaktivitet uten tegn til alvorlig organmanifestasjon og fordi symptomene gikk over etter omlegging til glutenfri kost, ble det ikke funnet indikasjon for behandling av pasientens sarkoidose.

    Seks måneder senere var hun til kontroll hos revmatolog, lungelege og ved cøliakipoliklinikk. Klinisk undersøkelse var upåfallende. Blodprøver viste tilnærmet normalisering av IgA-anti-TG2 med titer 16,9 U/ml (< 14,9). Det var ikke tegn til sykdomsaktivitet av lungesarkoidose, med uendrede funn på lungefunksjonstester og høyoppløselig CT, og det forelå ingen dyspné, hoste eller feber. Hun skal ha videre poliklinisk oppfølgning hos revmatolog, lungelege og gastroenterolog.

    Diskusjon

    Diskusjon

    Den aktuelle pasienten hadde ryggsmerter av ny og annen karakter enn hun tidligere hadde hatt, uten bedring av konservativ behandling. Det ble funnet indikasjon for bildediagnostikk for å utelukke underliggende sykdom. MR avbilder beinmargens bløtdelskomponent direkte og er sensitiv for påvisning av patologiske prosesser i skjelettet (5). Infiltrasjon i beinmarg ved MR er et lite spesifikt funn som ses ved flere tilstander i skjelettet (4). Et histologisk bilde med ikke-nekrotiserende granulomer, som hos vår pasient, kan forekomme ved sarkoidose, malignitet og infeksjoner (10). Diagnosen sarkoidose sikres ved biopsi (11), og det er foreslått kliniske diagnosekriterier for sarkoidose ramme 1) ((11).

    Sarkoidose er en systemisk inflammatorisk sykdom av ukjent etiologi, karakterisert av patologisk granulomdanning i affiserte organ (2, 8, 11). Patogenesen er bare delvis kartlagt (12, 13). Lungene angripes oftest, og mer enn 90 % har lungeforandring (7). Beinmargsaffeksjon er sjelden, både som isolert manifestasjon eller som ledd i mer utbredt sykdom (14, 15). En studie fra 2014 viste at i gruppen med beinmargsaffeksjon hadde 90 % affisert bekken og lumbosakralcolumna (16). Sarkoidose i beinmarg forekommer som oftest uten hematologiske avvik (17), som hos vår pasient. Smerter relatert til beinmargsaffeksjon av sarkoidose kan forekomme ved aktiv sykdom (15). Symptomatisk effekt av behandling av sarkoidose i beinmarg er ikke godt dokumentert, og prognosen avhenger av utbredelse av sykdom og grad av organpåvirkning (16, 18, 19). Kortikosteroider vil vanligvis være førstevalg dersom behandlingsindikasjon for sarkoidose foreligger.

    Funn ved PET/CT førte til mistanke om patologi i gastrointestinalkanalen, og gastroskopifunn med biopsering sammenholdt med positiv serologiprøve og påvist vevstype HLA-DQ2 gjorde at vi kunne stille diagnosen cøliaki (20). Vår pasient oppfylte fire av fem diagnostiske kriterier (ramme 2).

    Cøliaki er en glutenindusert, systemisk, autoimmun sykdom (20, 21). Sykdommen blir diagnostisert både hos barn og voksne (20, 22). Det er i senere tid rettet større oppmerksomhet mot ikke-gastrointestinale symptomer og assosierte lidelser ved cøliaki (21). Studier viser at ekstra-intestinale manifestasjoner er meget vanlig (21, 22), inkludert symptomer som kan ligne revmatiske sykdommer (21). Sarkoidose og cøliaki er assosiert med bestemte vevstyper, HLA-DR3 og HLA-DQ2 (23, 24), der sistnevnte forelå hos vår pasient. En assosiasjon mellom disse to lidelsene finnes trolig (23, 24), og flere har foreslått å screene for cøliaki hos pasienter med sarkoidose (25). Det er også mulig at sykdommene predisponerer for hverandre ved at uttrykket av HLA økes (23). Det er en kjent sammenheng mellom ubehandlet cøliaki og intestinale kreftsykdommer, spesielt B- og T-cellelymfom.

    Pasienthistorien illustrerer utfordringene ved utredning av bekkensmerter. Økt bruk av bildediagnostikk, og spesielt MR, vil trolig føre til flere tilfeldige, patologiske funn i beinmarg (3, 15). Intervensjoner hos vår pasient var glutenfritt kosthold og tverrfaglig rehabilitering. Hun hadde tidligere forsøkt behandling hos fysioterapeut uten bedring av symptomer. Vi mener det er god grunn til å mistenke at det var cøliaki som bidro til slapphet og smerter i bekkenet og at overgang til glutenfri kost var nøkkelen til bedring av symptomene.

    Pasienten har gitt samtykke til at artikkelen blir publisert.

    Kommentarer  ( 0 )
    PDF
    Skriv ut

    Anbefalte artikler