En ung kvinne med krampeanfall, synsforstyrrelser og lammelser

    ()

    sporsmal_grey_rgb
    Abstract

    BACKGROUND

    Anti-MOG encephalomyelitis is a recently described demyelinating, autoimmune disease of the central nervous system, identified by antibodies against myelin oligodendrocyte glycoprotein (MOG).

    CASE PRESENTATION

    A previously healthy 20-year-old woman was admitted to hospital after a seizure. MRI showed leptomeningeal enhancement and lumbar puncture revealed moderate pleocytosis but no evidence of infection. During the following months, she experienced a series of neurological deficits including bladder dysfunction, loss of sensation in lower extremities and genital area, impaired motor function of legs and episodes of visual loss. All symptoms had MRI correlates in the medulla, brainstem, optic tract, thalami and corpus callosum. She responded excellently to corticosteroid treatment, but experienced relapses shortly after discontinuation of treatment. Repeated lumbar puncture revealed pleocytosis up to 475 ∙ 106 cells/l but there were no signs of intrathecal IgG synthesis or infection. Serum anti-MOG antibodies were detected two months after the initial episode. She has been treated with low dose corticosteroids in combination with rituximab for two years, without clinical or radiological relapse.

    INTERPRETATION

    Symptoms and signs mimicking acute demyelinating encephalomyelitis and neuromyelitis optica are typical for anti-MOG encephalomyelitis. This case illustrates that the response to corticosteroids may be excellent but transient, and that the disease can be controlled with moderate immunosuppression.

    Artikkel

    En ung kvinne innkom med førstegangs krampeanfall. De påfølgende månedene ble hun innlagt flere ganger på sykehus med alvorlige nevrologiske utfall, som viste seg å skyldes en relativt nylig beskrevet nevrologisk lidelse.

    En tidligere frisk kvinne tidlig i 20-årene kom til akuttmottaket med ambulanse etter et førstegangs krampeanfall. Kjæresten bevitnet at hun plutselig ble uvel, mistet bevisstheten og fikk asymmetriske ristninger i hele kroppen i to minutter. Hun hadde hatt leppebitt, men ikke vannavgang eller munnfråde, og kom seg raskt etter anfallet. I to uker før dette hadde hun hatt hodepine og muskelsmerter, men ellers følt seg frisk. Ved innkomst fant undersøkende lege normale vitalia, og normal somatisk og nevrologisk undersøkelse uten lysskyhet eller nakkestivhet. Blodprøver viste kun CRP 60 mg/l (referanseområde 0–5 mg/l) og lett økte leukocyttverdier.

    Førstegangs krampeanfall med bevissthetstap kan skyldes systemiske forstyrrelser som hypoglykemi eller abstinens, eller hjernesykdom som hjerneslag, tumor eller infeksjon (1). I dette tilfellet ga forutgående muskelsmerter og forhøyet CRP mistanke om inflammatorisk årsak. CT caput ble tatt for å utelukke alvorlig intrakraniell patologi før lumbalpunksjon.

    Cerebrospinalvæsken inneholdt moderat økt antall leukocytter, forenlig med serøs meningitt eller meningoencefalitt (tabell 1). Det ble gitt aciklovir inntil PCR for herpes simplex-virus viste seg å være negativ. EEG ga mistanke om generalisert epileptiform aktivitet. MR caput viste kontrastopptak i leptomeningene og muligens enkelte oppsvulmede hjernevindinger.

    Tabell 1

    Cerebrospinalvæskeprøver. Patologiske prøver markert med fet skrift.1

    Referanseområde

    Uker etter symptomdebut

    0

    1

    2

    8

    19

    Leukocytter (∙ 106 celler/l)

    0–4

    22

    292

    475

    61

    146

    Prosentandel mono-/polymorfonukleære

    -

    91/9

    92/8

    93/7

    79/21

    94/6

    Protein (g/l)

    0,15–0,50

    0,29

    0,83

    1,4

    0,69

    0,75

    Glukose (mmol/l)

    ca. ⅔ av blodverdi

    3,4

    -

    2,5

    4,4

    2,7

    Albumin (mg/l)

    0–350

    153

    439

    763

    315

    394

    Albumin-indeks

    0–9

    3,8

    9,5

    17

    7,5

    8,8

    IgG (mg/l)

    0–34

    24

    56

    -

    37

    38

    IgG-indeks

    < 0,7

    0,45

    0,5

    -

    0,51

    0,46

    Oligoklonale bånd

    -

    Negativ

    -

    -

    Negativ

    Negativ

    Cytologi

    -

    -

    -

    Normal

    -

    -

    Antistoffer2

    -

    -

    Encefalitt, nevronale, anti-MOG og -akvaporin-4

    -

    Anti-MOG og -akvaporin-4

    -

    1PCR for varicella zoster-virus, herpes simplex-virus 1 og 2 og enterovirus samt serologi for borrelia var negative i samtlige prøver. Negativ dyrkning to og åtte uker etter symptomdebut.

    2Negative prøver

    Sykehistorien var forenlig med serøs meningitt eller meningoencefalitt. God allmenntilstand, moderat økt CRP og lett pleocytose samt normal glukoseratio i cerebrospinalvæsken og serum ga ikke mistanke om bakteriell meningitt, og virusprøvene tydet ikke på herpesencefalitt. Det finnes mange andre årsaker til serøs meningitt, inkludert sjeldnere infeksjoner, malignitet, autoimmune sykdommer, medikamenter og blødning. Fordi tilstanden bedret seg spontant og utredningen ikke ga mistanke om alvorlig behandlingskrevende sykdom, ble pasienten utskrevet uten videre utredning etter tre dager.

    Fire dager senere utviklet pasienten gradvis en økende følelse av dirring i hendene, og deretter overfølsomhet etterfulgt av nummenhetsfølelse på magen, ryggen, underlivet, setet og i beina samt urinretensjon, obstipasjon og redusert balanse. Ved reinnleggelse en uke etter utskrivelsen hadde hun ustø gange, redusert følsomhet distalt for nedre del av thorax, redusert sfinktertonus og 800 ml resturin. Motilitet, senereflekser, Rombergs prøve og plantarreflekser var normale.

    Pasientens sensoriske symptomer distalt for thorax og vannlatingsvansker var forenlige med subakutt myelopati. Guillain-Barré-syndrom kan også forårsake raskt progredierende sensoriske forstyrrelser, men gir oftest pareser og utslukkede senereflekser. Vanlige årsaker til subakutt myelopati er demyeliniserende lidelser og infeksjoner samt postinfeksiøs og paraneoplastisk sykdom (2).

    MR caput og MR totalmedulla viste høysignalforandringer i mer enn 50 % av medullas diameter med svak kontrastoppladning ved nivåene C4–C5, C6–C7 og Th11–Th12 (figur 1), men tilbakegang av meningittforandringene. Radiologen mente bildene var best forenlig med akutt disseminert encefalomyelitt. Ny lumbalpunksjon (tabell 1) viste økende celletall og moderat økt totalprotein og albumin forenlig med blod–hjernebarrieresvikt. På bakgrunn av økende celletall i cerebrospinalvæsken ble det igjen gitt aciklovir inntil negativ PCR for herpes simplex-virus forelå.

    Anamnese, undersøkelse, MR-funn og cerebrospinalvæskefunn var forenlige med encefalomyelitt. Med negative infeksjonsprøver og fravær av intratekal IgG-produksjon (oligoklonale bånd og IgG-indeks), virket vanlige årsaker som infeksjon og multippel sklerose mindre sannsynlige. I en slik situasjon er det nødvendig å utrede andre mulige årsaker. I tillegg til bred infeksjonsmedisinsk utredning ble det derfor testet for paraneoplastiske antistoffer og encefalittantistoffer i serum. Angiotensinkonverterende enzym (ACE), som er markør for sarkoidose, og antistoffer mot akvaporin-4 og myelinoligodendrocytt-glykoprotein (MOG), som er markører for neuromyelitis optica-spektrum-sykdommer, ble målt i både serum og spinalvæske. Det ble også tatt cytologiske prøver av cerebrospinalvæske med tanke på malignitet.

    Den følgende uken utviklet pasienten økende pareser i beina med gangvansker, nummenhet i hendene og plantarinversjon på venstre side. Hun fikk hodepine, særlig rundt venstre øye ved øyebevegelser, og subjektivt redusert visus på venstre øye. For å utelukke infeksjon ble det utført ny lumbalpunksjon, som viste ytterligere økning av leukocytter samt tegn på blod–hjernebarrieresvikt, men fortsatt negative infeksjonsprøver (tabell 1, to uker etter symptomdebut).

    Subakutt ensidig visusreduksjon og smerter ved øyebevegelse tydet på optikusnevritt. Kombinasjonen av myelitt og optikusnevritt er typisk for demyeliniserende sykdommer. Ved multippel sklerose, som er den hyppigste demyeliniserende sykdommen hos voksne, er det som oftest også karakteristiske lesjoner periventrikulært, infratentorielt eller jukstakortikalt i hjernen, noe vår pasient ikke hadde. I tillegg er det oftest også oligoklonale bånd og økt IgG-indeks samt lavere celletall i cerebrospinalvæsken. Ved neuromyelitis optica er det vanligvis mer langstrakte myelittforandringer, og ofte optikusnevritt med samtidig eller sekvensiell affeksjon av begge synsnerver (3). Akutt disseminert encefalomyelitt rammer oftest barn i kjølvannet av virusinfeksjon i luftveiene og kjennetegnes av bevissthetspåvirkning, feber og nevrologiske utfall som progredierer over få døgn, og MR viser multifokale demyeliniserende lesjoner med omtrent lik alder (4). Både ved akutt disseminert encefalomyelitt og neuromyelitis optica er oligoklonale bånd sjelden og økt celletall vanlig i cerebrospinalvæsken.

    Høydoserte kortikosteroider er akuttbehandling ved alle inflammatoriske demyeliniserende sykdommer. Det ble derfor gitt 1 g metylprednisolon intravenøst i fem dager og nedtrapping av prednisolon over to uker, med betydelig bedring etter få timer. Hodepine, lysskyhet og smerter ved øyebevegelse ble borte, og bevegeligheten i underekstremitetene og vannlatingen ble bedre. MR viste imidlertid nye infratentorielle lesjoner medialt i begge lillehjernepedunkler samt fortil i pons og medulla oblongata, men tilbakegang av kontrastoppladning i medulla.

    Ved akutt disseminert encefalomyelitt ses som oftest cerebrale lesjoner diffust i hvit substans, men affeksjon av korteks og basalganglier forekommer også. Pasienten ble skrevet ut til rehabilitering i påvente av prøvesvar med diagnosen akutt disseminert encefalomyelitt.

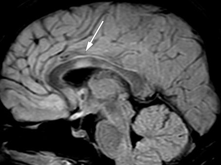
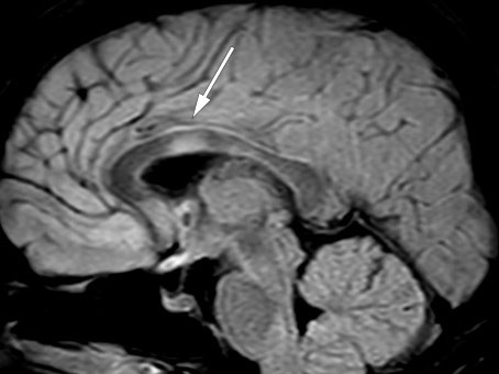
    Kontroll-MR en måned senere viste tilkommet lesjon i høyre thalamus uten kontrastoppladning (figur 2) samt to nye, små lesjoner med kontrastladning i medulla ved C5, C6 og muligens også Th5. De infratentorielle lesjonene hadde gått fullstendig tilbake, og forandringene i medulla oblongata var redusert.

    Akutt disseminert encefalomyelitt er oftest monofasisk og behandles vanligvis med steroider i fire til seks uker. Dynamikken i MR-bildene kunne derfor tale både for revurdering av diagnosen og for ytterligere antiinflammatorisk behandling. Pasienten rapporterte imidlertid om god klinisk form, og prøver for ACE, nevronale antistoffer, encefalittantistoffer, akvaporin-4-antistoffer og MOG-antistoffer samt cytologiske prøver av cerebrospinalvæsken var negative. Man valgte derfor å avvente ytterligere behandling, og pasienten ble søkt til rehabilitering for vedvarende vannlatingsvansker.

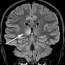
    To måneder etter utskrivelsen fra nevrologisk avdeling ble vakthavende lege kontaktet av rehabiliteringssenteret fordi pasienten opplevde gradvis økende hodepine og kvalme samt redusert syn på venstre øye siste døgn. Vakthavende øyelege fant visus 0,05 på venstre øye og 1,2 på høyre, og mistenkte optikusnevritt. Vakthavende nevrolog fant uvuladeviasjon mot venstre og bilateralt inverterte plantarreflekser. Lumbalpunksjon viste moderat økt celletall, totalprotein og IgG (tabell 1). MR caput viste økt signal i thalamus bilateralt uten andre forandringer i hjernen og økt signal i nervus opticus bilateralt og i chiasma opticum (figur 3). Pasienten fikk igjen metylprednisolon, som hadde rask effekt.

    Myelitt og bilateral optikusnevritt er hovedkjennetegn for nevromyelitis optica-spektrum-sykdommer. Selv om pasienten ikke tidligere hadde hatt antistoffer mot akvaporin-4 eller MOG, fremsto dette nå som sannsynlig diagnose, og antistoffprøver fra serum og cerebrospinalvæske ble tatt på nytt. Man valgte å utføre PET-CT og mammografi, da nevromyelitis optica-spektrum-sykdommer hos eldre kan være relatert til brystkreft.

    Da resultatet av malignitetsutredningen viste seg å være negativt, ble det startet behandling med 1 000 mg rituksimab med to ukers mellomrom, samt 60 mg prednisolon med gradvis nedtrapping til planlagt seponering etter to måneder.

    Immunsupprimerende midler som azatioprin, mykofenolatmofetil eller rituksimab kombinert med kortikosteroider og intravenøse immunglobuliner eller plasmaferese er hyppigst brukt ved nevromyelitis optica-spektrum-sykdommer (5, 6). Rituksimab er et anti-CD20-antistoff som gir langvarig suppresjon av hukommelses-B-celler i blodet. Rituksimab har også effekt ved multippel sklerose, som fortsatt ikke var fullstendig utelukket.

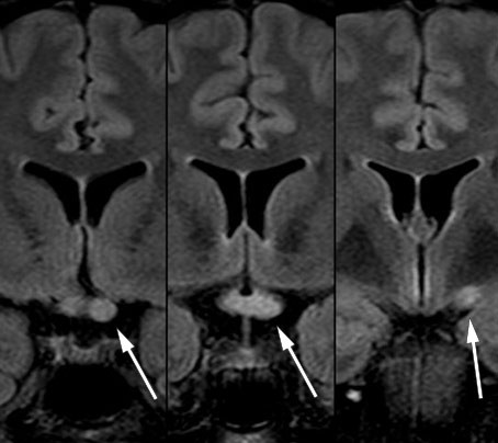
    Etter utskrivelse viste det seg at den andre anti-MOG-prøven fra serum var positiv. Mot slutten av nedtrappingen av prednisolon hadde pasienten to korte innleggelser i medisinsk avdeling på grunn av vedvarende hodepine og urinveisinfeksjon. MR av hjerne og ryggmarg og nevrologiske undersøkelser viste da ikke noe nytt. Rett etter avsluttet prednisolonkur ble pasienten innlagt på nevrologisk avdeling med økende synsproblemer, diplopi, nystagmus mot høyre og parese for abduksjon av høyre øye. MR 20 dager etter forrige undersøkelse og nesten to måneder etter oppstart med rituksimab viste tilkomne lesjoner subkortikalt frontalt bilateralt, i medulla, i venstre lillehjernepedunkel samt i corpus callosum (figur 4). Lumbalpunksjon viste fortsatt moderat pleocytose (tabell 1, siste kolonne). Pasienten fikk som tidligere metylprednisolon med god effekt, og ble deretter skrevet ut til hjemmet med langvarig nedtrapping av prednisolon og snarlig kontroll på poliklinikken.

    En tredje prøve bekreftet at anti-MOG var positiv. Pasientens samlede sykehistorie, inkludert forverringer kort tid etter avslutning av prednisolon, er også vel forenlig med anti-MOG-encefalomyelitt (7). Lesjoner i corpus callosum er vanlig ved multippel sklerose, men forekommer også ved anti-MOG-encefalomyelitt hos voksne (8).

    Pasienten har de to siste årene fått halvårlige infusjoner med rituksimab. Prednisolon er trappet langsomt ned til 2,5/5 mg annenhver dag, uten noe klinisk forverring eller nye MR-funn. Hun hadde betydelige cushingoide bivirkninger inntil prednisolondosen kom under 10 mg/dag. Hun har vedvarende vannlatingsvansker, men har ellers gjenvunnet alle funksjoner som ble rammet underveis i forløpet.

    Diskusjon

    Diskusjon

    Påvisning av nye autoantistoffer har endret forståelsen av mange nevrologiske sykdommer (6). Oppdagelsen av antistoffer mot akvaporin-4 førte til at nevromyelitis optica, som tidligere ble regnet som en subtype av multippel sklerose, nå oppfattes som en egen sykdom (5). Påvisningen av antistoffer mot NMDA og andre overflateproteiner på nerveceller førte til at autoimmune encefalitter ble erkjent og karakterisert.

    Anti-MOG-encefalomyelitt er et enda nyere eksempel (6). Anti-MOG-antistoffer ble først påvist ved multippel sklerose, men dette viste seg å være en falsk observasjon betinget av utilfredsstillende laboratorieteknikker (6). Med teknikker der nativt MOG-protein uttrykkes på overflaten av celler, har man i de senere år karakterisert både radiologiske og kliniske kjennetegn ved anti-MOG-encefalomyelitt (6, 8, 9). Sykdommen forekommer hyppigst hos barn og unge voksne. Hos barn ligner sykdomsutformingen ofte akutt disseminert encefalomyelitt, men gir hyppigere tilbakefall (6). Hos voksne preges sykdommen av myelitt og synsnervebetennelse og kan ligne nevromyelitis optica, men responderer gjerne bedre på behandling og gir mindre sekveler. Fordi nevromyelitis optica og anti-MOG-encefalomyelitt kan ha lik klinisk presentasjon, benevnes de ofte under fellesbetegnelsen nevromyelitis optica-spektrum-sykdommer (6), selv om de kjennetegnes av ulike autoantistoffer. Anti-akvaporin-4 binder seg til astrocyttene, mens anti-MOG binder seg til oligodendrocyttenes overflate. Antistoffer mot akvaporin-4 fra pasienter med neuromyelitis optica kan indusere lignende sykdom hos forsøksdyr, og man antar derfor at de er patogene. Det samme er ikke tilfelle med anti-MOG-antistoffer (3, 6, 9).

    Anti-MOG-encefalomyelitt gir hyppig langstrakt myelitt og bilateral optikusnevritt, og oligoklonale bånd påvises sjelden i cerebrospinalvæsken (3, 6). Meningoencefalitt med epileptisk anfall og akutt disseminert encefalomyelitt-liknende MR-funn samt affeksjon av konus medullaris med blæreparese er også vanlig (7). Vår pasient illustrerer således nesten alle typiske symptomer og funn. Hun illustrerer også at det ofte er svært god steroidrespons med nær full tilbakegang av symptomer, men hyppig tilbakefall dersom prednisolon trappes raskt ned til under 10 mg per dag (9). Ved behandling av multippel sklerose tar det minst to måneder før den antiinflammatoriske effekten av anti-CD20-behandling er etablert. Det er sannsynlig at dette også gjelder ved anti-MOG-encefalomyelitt. Pasienten bør i hvert fall være dekket av steroider i denne perioden og sannsynligvis lenger (7).

    Mens enkelte immunmodulerende preparater mot multippel sklerose kan forverre nevromyelitis optica og anti-MOG-encefalomyelitt, tyder observasjonsstudier på at immunsuppresjon med azatioprin, mykofenolatmofetil eller rituksimab samt immunmodulering med intravenøse immunglobuliner er effektivt (6). Slik behandling bør startes straks diagnosen er stilt. Det er foreløpig ukjent om, og eventuelt når, behandlingen bør avsluttes. Vår erfaring er at rituksimab tolereres svært godt hos pasienter med demyeliniserende sykdommer. Selv om prognosen ved anti-MOG-encefalomyelitt er bedre enn ved nevromyelitis optica, kan attakker gi betydelige sekveler. Nye behandlingsalternativer med monoklonale antistoffer rettet mot interleukin-6 eller komplementprotein C5 kan etter hvert bli tilgjengelige. Vi har derfor valgt å kontinuere rituksimab inntil sikrere data vedrørende seponering og behandlingsalternativer foreligger.

    Pasienten har gitt samtykke til at artikkelen blir publisert.

    Artikkelen er fagfellevurdert.

    Kommentarer  ( 0 )
    PDF
    Skriv ut

    Anbefalte artikler