Ultralydfunn ved carotisdisseksjon

    ()

    sporsmal_grey_rgb
    Artikkel

    En tidligere stort sett frisk kvinne i 30-årene hadde hatt smerter på halsen under høyre kjevevinkel i tre dager. Hun ble henvist til ultralyd av halsen. Røntgenlege fant fortykket bakre vegg i høyre bifurkatur, noe som ga mistanke om carotisdisseksjon, og hun ble innlagt i nevrologisk avdeling samme dag.

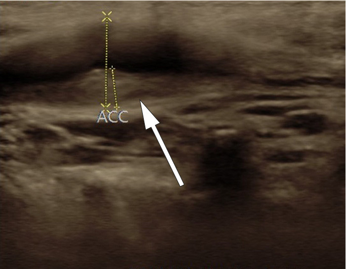
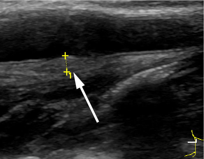
    Ved klinisk undersøkelse fant man palpasjonsømhet under høyre bifurkatur. Det var ingen nevrologiske utfall. CT angio av halskar viste intet sikkert patologisk. Derfor ble det gjort ny ultralyd av halskarene, og man fant normalt kaliber av aktuelle carotisbifurkatur. På stillbilder var det vanskelig å se noe galt, men med løpende avbildning så man en isodens fortykkelse i åreveggen som ble oppfattet som en disseksjon. Forandringen var forsvunnet ved ultralydkontroll fire måneder senere, noe som bekreftet diagnosen. MR angio tatt seks uker etter symptomstart viste normale halskar.

    Pasienten hadde siden kortvarig stikking på halsen, men dette var lite suspekt for ny disseksjon. Det ble startet behandling med platehemming (Asasantin), som ble seponert seks måneder etter disseksjonen da karet var normalisert.

    Carotisdisseksjon kan være vanskelig å se hvis disseksjonen er liten og ikke lager innsnevring av karet. CT angio gir god oversikt over kartreet og fremstiller karlumen, men karveggen ses mindre tydelig. Hematomet i veggen kan fremstilles på MR-bilder som en hyperdens halvmåneformet lesjon på aksiale T1-serier (1). At MR angio var normal hos vår pasient, kan skyldes at disseksjonen var liten og at den kan ha vært delvis tilhelet da MR-undersøkelsen ble gjort.

    Hos denne pasienten var vegghematomet isodenst og vanskelig å se på stillbilder, særlig ved den siste ultralydundersøkelsen (bildet til høyre). Ved den initiale undersøkelsen fremsto det noe tydeligere (bildet til venstre). På videoene kan man se disseksjonen som en veggfortykkelse som beveger seg sammen med karet og ikke med det underliggende vevet.

    I en oversiktsartikkel i Tidsskriftet (2) er fordeler og ulemper ved ulike undersøkelsesmetoder for carotisdisseksjon diskutert.

    Pasienten har gitt samtykke til at artikkelen og bildematerialet blir publisert.

    Kommentarer  ( 0 )
    PDF
    Skriv ut

    Anbefalte artikler