Dysmorfe plasmaceller i blod

    ()

    sporsmal_grey_rgb
    Artikkel

    En mann i 50-årene ble innlagt i lokalsykehus grunnet ryggsmerter og generelt redusert allmenntilstand. Blodprøver på lokalsykehus viste følgende verdier: Hb 8,2 g/dl (13,4 – 17,0), trombocytter 57 ×10⁹/l (145 – 348), leukocytter 15,5 ×10⁹/l (3,5 – 11,0) og kreatinin 204 μmol/l (60 – 105). Pasienten hadde altså anemi, trombocytopeni, leukocytose og nyresvikt.

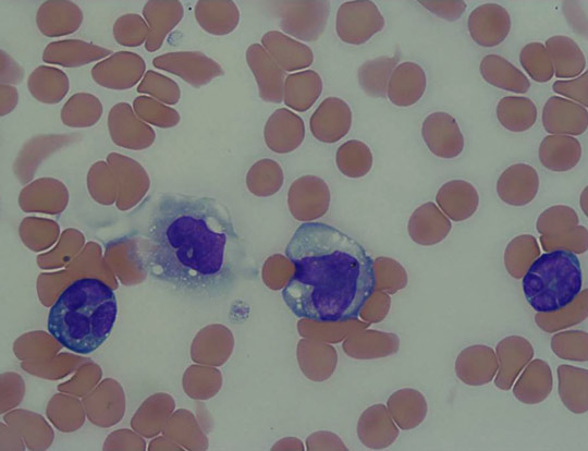
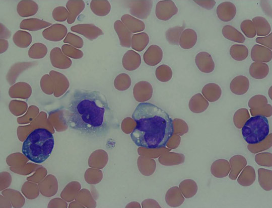
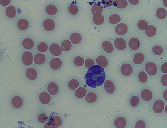
    Maskinell differensialtelling av hvite blodceller lyktes ikke ettersom maskintellingen ikke klarte å kategorisere de ulike leukocyttfraksjonene. Dette kan være uttrykk for atypiske celler i blodet, og det ble derfor rekvirert blodutstryk. Mikroskopi av blodutstryk viste dominans av umodne og dysmorfe celler, mange med cytoplasmatisk vakuolisering, der majoriteten hadde tegn til multilobulering av kjernen, og en del celler hadde kløyvd eller kløverformet kjerne (bildene).

    Pasienten ble overført til regionsykehus der det ble gjort immunfenotyping av de kjerneholdige cellene ved væskestrømscytometri. Resultatet viste at plasmaceller utgjorde 42  % av viable hvite celler, og at > 99  % av disse plasmacellene var unormale. Terminalt differensierte plasmaceller uttrykker relativt få overflatemarkører, men vil oftest være positive for CD38 og CD138 som representerer markører for modne B-celler med overgang mot plasmaceller.

    Dette var også funnet hos den aktuelle pasienten, og immunfenotypen var vurdert forenlig med ekspansjon av plasmaceller. Den samme immunfenotypen ble funnet i benmargsaspirat og benmargsbiopsi. Det ble ikke funnet M-komponent ved proteinelektroforese av serum, men forhøyede verdier av frie lette kjeder av typen lambda, 912 mg/l (8,3 – 27,0), med en ratio mellom frie lette kjeder av typen kappa og av lambda på 0,01 (0,31 – 1,56). Tilstanden ble derfor oppfattet som en plasmacelleleukemi.

    Primær plasmacelleleukemi er en sjelden, malign hematologisk sykdom, med en insidens på 2 : 1 000 000, noe som utgjør mellom 1  % og 4  % av insidensen av myelomatose (1). Sykdommen ble første gang beskrevet i 1906 av Gluzinski & Reichenstein, under navnet Leucaemia lymphatica plasmacellularis (2).

    Diagnosen krever > 2 ×10⁹/l plasmaceller i perifert blod, eller at plasmaceller utgjør > 20  % av kjerneholdige blodceller (2). Dersom tilstanden opptrer hos pasienter med tidligere erkjent myelomatose, omtales det som sekundær plasmacelleleukemi, i kontrast til en primær plasmacelleleukemi som hos den aktuelle pasient. Selv om plasmaceller ved myelomatose kan anta ulike morfologiske former (3), var cellene hos vår pasient så avvikende i morfologi fra klassiske plasmaceller at morfologisk diagnostikk alene gjorde det vanskelig å stille diagnosen. Plasmacellene ved plasmacelleleukemi tenderer til å være mer dysplastiske, mer invasive og mer resistente mot kjemoterapi enn ved klassisk myelomatose.

    Vår pasient fikk induksjonsbehandling med cyklofosfamid, bortezomib og deksametason med god klinisk effekt, fall i affiserte lette kjeder og normalisering av blodbildet. Han fikk mobilisert stamceller og gjennomførte deretter høydosebehandling med melfalan og autolog stamcellestøtte (HMAS). Han oppnådde komplett remisjon med dette behandlingsregimet og følges videre poliklinisk.

    Kommentarer  ( 0 )
    PDF
    Skriv ut

    Anbefalte artikler