Vannliljetegn

    ()

    sporsmal_grey_rgb
    Artikkel

    En kvinne i 30-årene, opprinnelig fra Øst-Europa, kontaktet fastlegen etter en episode med høyresidige subkostale magesmerter og feber. Etter få dager gikk plagene tilbake uten behandling. Tidligere hadde hun fått påvist en cystisk lesjon i leveren, og hun ville vite om denne var årsak til smertene. Fastlegen henviste derfor videre til ultralydundersøkelse.

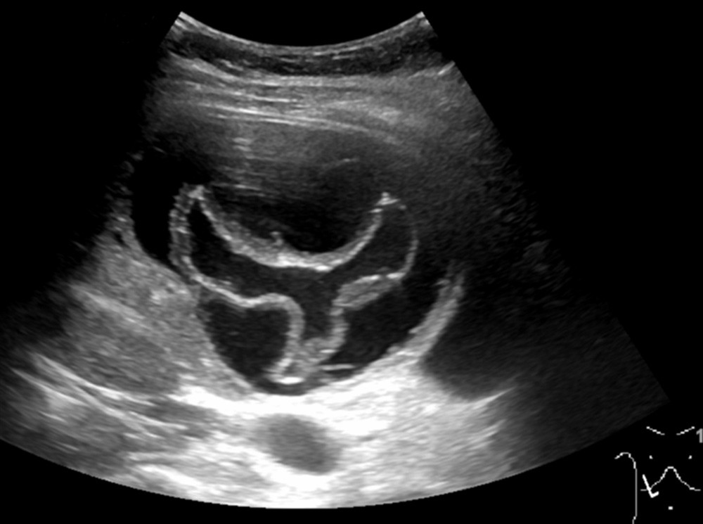
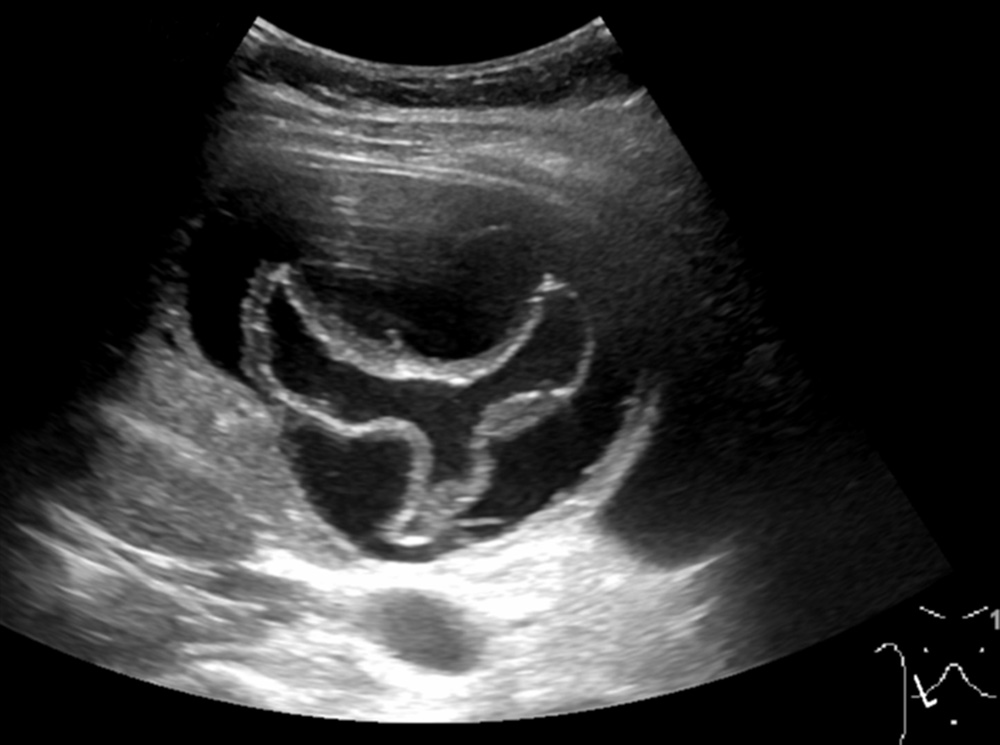
    Ultralydundersøkelsen viste en cyste i leveren. Største diameter var 10 cm. Den hadde en foldet indre struktur, forenlig med en separat, flytende indre membran, såkalt vannliljetegn. Dette funnet er karakteristisk for ekinokokkcyste. Pasienten ble henvist videre til infeksjonsmedisiner. Serologiske prøver var også positive for ekinokokker.

    Human ekinokokkose (også kalt hydatid sykdom) er en sjelden zoonose som forårsakes av larvestadiet til dvergbendelorm i slekten Echinococcus. Tilstanden er relativt utbredt i sentrale deler av Europa. Mennesker kan få i seg parasitten indirekte gjennom kontaminert drikkevann, grønnsaker eller ville bær eller direkte via fekalia fra infiserte dyr.

    Hos mennesker som blir infisert, danner parasitten cystiske lesjoner med septa, særlig i høyre leverlapp, men også i lunger og milt. Cystene er ofte asymptomatiske og oppdages gjerne tilfeldig. Tilstanden kan gi sprengsmerter i affisert organ eller klemme på omliggende organer. Cyster i leveren kan føre til obstruksjon av galletreet, og hvis de sprekker, kan det oppstå en akutt hypersensitivitetsreaksjon (1, 2).

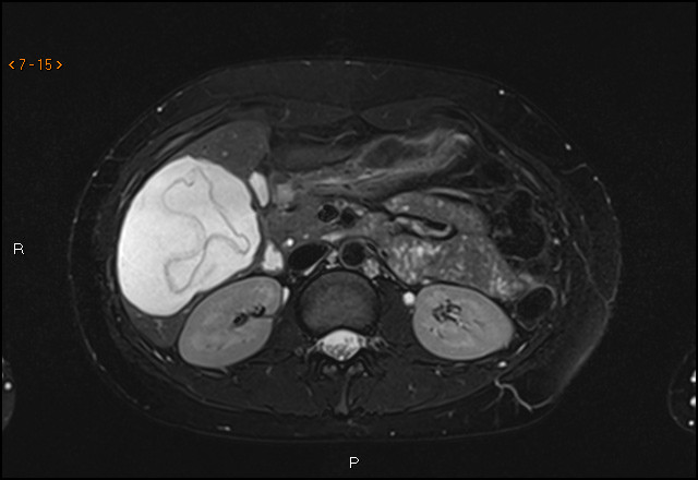
    Diagnosen stilles på bakgrunn av typiske bildefunn og antistoffundersøkelse. For å avdekke om det foreligger kompliserende forhold (som rumpert cyste eller fisteldanning til galleveiene) bør cysten også utredes med MR- eller CT-undersøkelse (2). Verdens helseorganisasjon (WHO) har utgitt en ultralydbasert klassifikasjon av ekinokokkcyster, og behandlingen bestemmes ut fra WHO-klassifikasjonen og cystens størrelse (2, 3). Behandlingen består enten av observasjon eller medikamentell behandling med albendazol – alene eller i kombinasjon med aspirasjon og reinstallasjon av parasittdrepende middel (f.eks. hypotont saltvann eller etanol) – eller kirurgisk ekstirpasjon av hele cysten.

    Pasienten har gitt samtykke til at artikkelen blir publisert.

    Kommentarer  ( 0 )
    PDF
    Skriv ut

    Anbefalte artikler