Bilateral carotisdisseksjon

    ()

    sporsmal_grey_rgb
    Artikkel

    En frisk og veltrent mann i 50-årene oppsøkte øyelege fordi han under en skitur hadde fått episoder med flimring og en følelse av press på høyre øye samt forbigående tinnitus i venstre øre. En uke før det aktuelle hadde han hatt en forkjølelse med intense hosteanfall. Ved undersøkelse ble det bemerket hovent øyelokk og miose høyre øye. Pasienten ble lagt inn i nevrologisk avdeling for videre utredning.

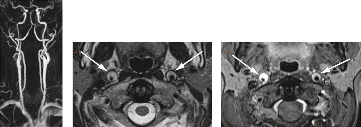
    Nevrologisk undersøkelse avdekket Horners syndrom. CT-angiografi viste fortykket karvegg i begge a. carotis interna, mest uttalt på høyre side, fra like over bifurkaturen til skallebasis. MR-angiografi og T2-vektede bilder bekreftet bilateral carotisdisseksjon, med minste lumendiameter 2 mm på høyre side (bildet til venstre og bildet i midten). Fettsupprimerte T1-vektede bilder (bildet til høyre) viste høyt signal i arterieveggene, forenlig med intramurale hematomer.

    Hosteattanfallene i kombinasjon med fysisk aktivitet ble vurdert som sannsynlig årsak til disseksjonen. Risikoen for hjerneinfarkt ble vurdert som høy, og pasienten ble behandlet med acetylsalicylsyre 75 mg og klopidogrel 75 mg i fire måneder, deretter monoterapi med acetylsalisylsyre i to måneder. Behandlingen ble avsluttet da MR-kontroll viste fullstendig normalisering av halskarene. Pasienten hadde fortsatt en lett anisokori, men var ellers symptomfri.

    Årlig insidens av carotisdisseksjon angis til 1,7 per 100 000 (1). Bilateral disseksjon forekommer sjeldnere. Disseksjon kan føre til hjerneslag eller TIA. Pasienten har ofte lokale smerter på halsen eller hodepine (60 – 90 % av tilfellene) og Horners syndrom (ca. 25 % av tilfellene) (1). De vanligste årsakene til disseksjon er mindre traumer (40 %) eller mekaniske triggere i forbindelse med fysisk aktivitet (2). Tidlig radiologisk diagnostikk med CT- eller MR-angiografi og behandling med platehemmer eller antikoagulasjonsmidler er viktig for å forebygge hjerneinfarkt. Det er ikke dokumentert at antikoagulasjonsmidler er bedre enn platehemmere (3).

    Pasienten har gitt samtykke til at artikkelen blir publisert.

    Kommentarer  ( 0 )
    PDF
    Skriv ut

    Anbefalte artikler