Pneumoparotitt

    ()

    sporsmal_grey_rgb
    Artikkel

    En jente i grunnskolealder ble innlagt i sykehus med mistanke om akutt bløtvevsinfeksjon i venstre ansiktshalvdel. Hun hadde stort sett vært frisk tidligere.

    Ved innkomst fant man hevelse, palpasjonssmerte, rødhet i huden i venstre parotisregion og rundt venstre øye. Det ble gjort ultralydundersøkelse for å vurdere abscessdanning. Den viste artefakter forenlig med luft. Pasienten var i god allmenntilstand og afebril. CRP og leukocytter var negative, men det ble allikevel startet antibiotikabehandling på grunn av muligheten for alvorlig lokal bløtvevsinfeksjon.

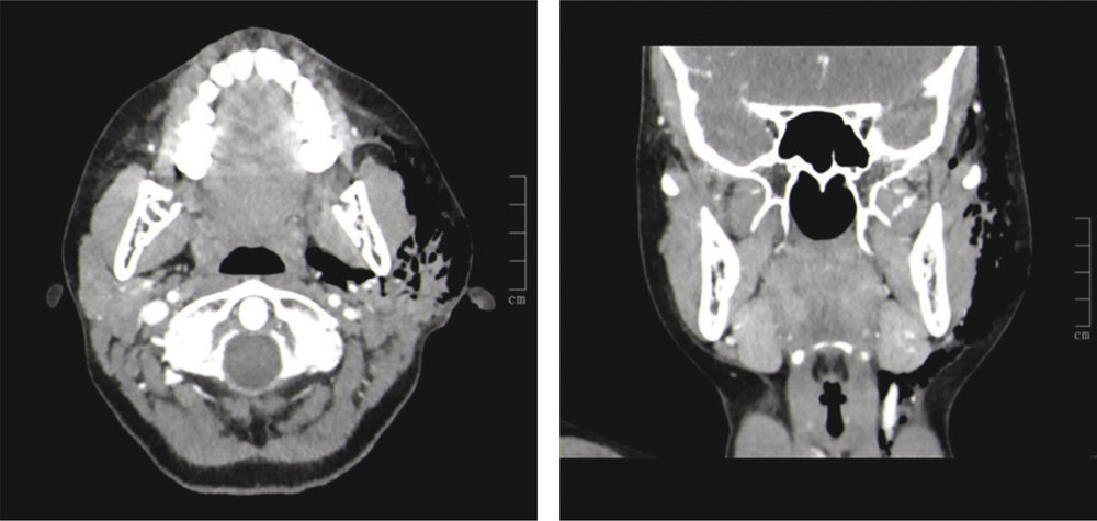
    CT-undersøkelse med intravenøs kontrast ble gjort siden man mistenkte raskt utviklende nekrotiserende fasciitt på grunn av ultralydfunnet. Den viste uttalt emfysem i hele venstre ansiktshalvdel, men ingen tegn til inflammasjon eller abscessdanning (bildene – aksialt og koronalt plan, luften ses i sort). Pasienten hadde økende smerte, hevelse og rødme neste døgn og ble undersøkt i narkose med punksjon, aspirasjon og sondering av ductus parotideus, uten funn av noe patologisk utover luft. Denne lot seg lett aspirere, og da gikk hevelsen tilbake. Jenta ble neste dag spontant bedre og antibiotikabehandlingen seponert. Tilstanden ble betraktet som pneumoparotitt. Hun har i etterkant hatt flere residiv, som er blitt spontant bedre.

    Pneumoparotitt oppstår ofte spontant, og er en residiverende og selvbegrensende tilstand som typisk ses hos glassblåsere og hos barn med psykiske lidelser (1). Teorien er at pasienten overvinner trykkgradienten til ductus parotideus, luft fanges i glandula parotis og diffunderer ut i subkutant vev (2). Vår pasient hadde få dager før det aktuelle blåst mye i en papirtrompet og sugde mye på vannflasker. Residivene hadde ingen sikker utløsende årsak. Tilstanden er godartet, men kan predisponere for sialektase, parotitter og emfysem. Behandlingen er eliminering av utløsende årsak. Siste utvei vil være å lukke ductus parotideus kirurgisk for å hindre tilbakefall (2).

    Det er gitt samtykke til at artikkelen blir publisert.

    Kommentarer  ( 0 )
    PDF
    Skriv ut

    Anbefalte artikler