Kolibri på MR-bilde

    ()

    sporsmal_grey_rgb
    Artikkel

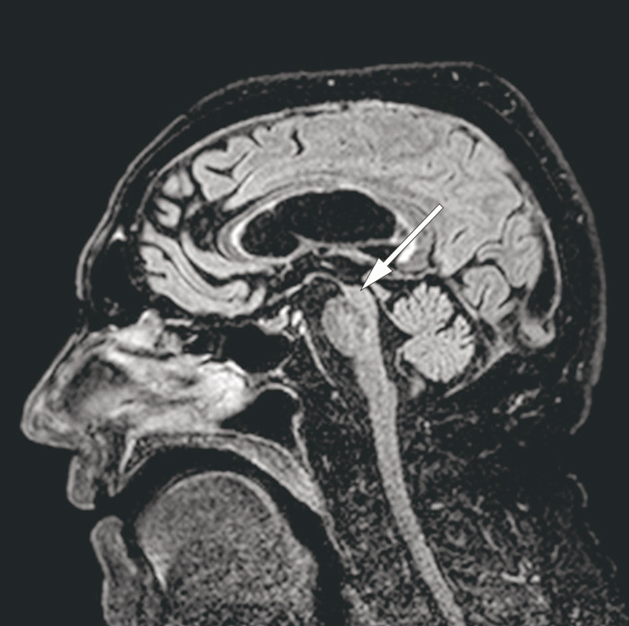
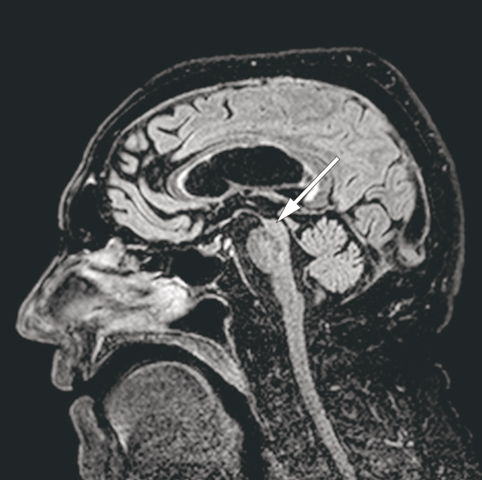
    En mann med antatt Parkinsons sykdom ble innlagt i slagavdelingen grunnet økende ustøhet. Foruten parkinsonistiske symptomer hadde han balanseproblemer, kognitiv svekkelse og vertikal blikkparese.

    MR-undersøkelse av hjernen viste en uttalt atrofi av mesencephalon som i sagittalsnitt får hjernestammen til å ligne en fugl i profil, gjerne omtalt som kolibritegn eller pingvintegn (pil). Dette er et typisk bildefunn ved den sjeldne nevrodegenerative tilstanden progredierende supranukleær parese (1).

    Tilstanden inngår i fellesbetegnelsen atypisk parkinsonisme, en gruppe sjeldne nevrodegenerative tilstander som bør vurderes dersom parkinsonisme opptrer med uvanlige trekk og/eller tilleggssymptomer. Flere av sykdommene har karakteristiske MR-funn som ofte er nøkkelen til at diagnosen stilles (2).

    Pasientens pårørende har gitt samtykke til at artikkelen blir publisert. Vi takker Torgil Vangberg for hjelp med bildebehandlingen.

    Kommentarer  ( 0 )
    PDF
    Skriv ut

    Anbefalte artikler