10.02.2000:
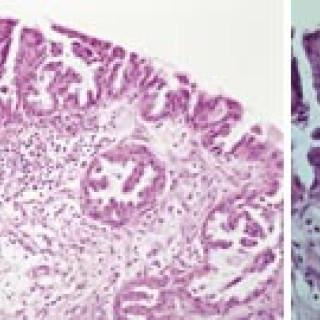
Pleuravæske hos en kvinne med antatt ovarietumor og ascites er som regel et dårlig prognostisk tegn. Funn av maligne celler i pleuravæske indikerer fjernspredning, og femårsoverlevelsen av maligne epiteliale ovariesvulster er mindre enn 10 % (1). Pleuravæske kan imidlertid også forekomme hos pasienter med godartet ovarietumor, som ledd i Meigs" syndrom (2, 3). I disse tilfeller vil cytologisk undersøkelse av ascites og pleuravæske ha stor klinisk verdi fordi reaktiv/godartet mesotelproliferasjon, som sees ved Meigs" syndrom, taler imot utbredt kreftsykdom. Etter kirurgisk fjerning av...