Nye diagnostiske metoder ved non-Hodgkins lymfom

    ()

    sporsmal_grey_rgb
    Abstract

    Vi beskriver fem pasienter med non-Hodgkins lymfom der immunhistokjemisk undersøkelse og polymerasekjedereaksjon (PCR) hadde betydning for diagnose og valg av behandling. En pasient fikk diagnosen follikulært non-Hodgkins lymfom etter at PCR viste t(14; 18) i nålebiopsi fra tumor i abdomen. To pasienter fikk diagnosen lavgradig non-Hodgkins lymfom av B-celletype i små og delvis traumatiserte biopsier etter at PCR viste monoklonalitet for B-lymfocytter og immunhistokjemisk undersøkelse viste B-lymfocytter med lav proliferasjonsrate. Biopsi fra en pasient viste positiv reaksjon for cyclin D1 ved immunhistokjemisk undersøkelse og t(11;14) ved PCR, forenlig med mantelcellelymfom. En annen pasient fikk diagnosen høygradig non-Hodgkins lymfom av T-celletype etter at immunhistokjemisk undersøkelse viste positiv reaksjon for T-lymfocytter og høy proliferasjonsrate, og PCR viste monoklonalitet for T-lymfocytter.

    Sykehistoriene demonstrerer at immunhistokjemisk undersøkelse og PCR ofte kan være verdifulle hjelpemidler i utredningen av pasienter med non-Hodgkins lymfom. De nye metodene gir økt diagnostisk sikkerhet og større presisjon i subklassifikasjon. Dessuten kan man i større grad basere diagnostikken på små biopsier og dermed spare pasienten for store kirurgiske inngrep for å få stilt en sikker diagnose.

    Abstract

    We describe five patients with non-Hodgkin’s lymphoma (NHL) in which immunohistochemical investigation (IH) and polymerase chain reaction (PCR) were important for diagnosis and choice of treatment. One patient got the diagnosis follicular NHL after PCR showed t(14;18) in a fine needle biopsy from a tumour in the abdomen. Two small and partly traumatized biopsies from two patients were diagnosed as lowgrade NHL of B-cell type after PCR showed monoclonality for B-lymphocytes and IH showed B-cell phenotype and low proliferation rate. Biopsy from another patient showed positive immunohistochemical reaction for cyclin D1 and t(11;14) by PCR compatible with mantel cell lymphoma. One patient was diagnosed with high grade NHL of T-cell type after IH showed positive reaction for T-cell markers and high proliferation rate, and PCR showed monoclonality for T-lymphocytes.

    These cases demonstrate that IH and PCR can often benefit patients with NHL. The new methods contribute to enhanced diagnostic security and precision in subclassification and make possible the use of small biopsies which save the patients from major surgery for diagnostic purposes.

    Artikkel

    Non-Hodgkins lymfom er et samlebegrep for en heterogen gruppe svulster. I diagnostikken har man forsøkt å finne egenskaper som kan skille ut subtyper med ulik prognose og behandlingsrespons. Økende kunnskap i immunologi og genetikk de siste 10 – 15 årene har gitt grunnlag for stadig utvikling av klassifikasjonen (1) og behandlingen av disse svulstene.

    Man har lenge kjent til at malignitetsgrad har stor betydning ved non-Hodgkins lymfom. Forenklet uttrykt er lavgradige non-Hodgkins lymfom oppbygd av modne lymfocytter med lavt vekstpotensial. Pasienten kan leve ubehandlet med sykdommen i lang tid, ofte flere år. Høygradige non-Hodgkins lymfom er oppbygd av blaster med høyt vekstpotensial. Ubehandlet vil sykdommen ofte være dødelig i løpet av få måneder. Subtypen lavgradig-høygradig kan i de fleste tilfeller diagnostiseres ved vanlig lysmikroskopisk undersøkelse av hematoksylin/eosin-fargede snitt.

    Etter at immunhistokjemisk undersøkelse ble vanlig har man også delt non-Hodgkins lymfom i B- og T-celletype (2), og etter hvert i flere subtyper innenfor disse hovedgruppene (1). Det utvikles stadig nye antistoffer mot lymfocyttantigener som kan benyttes på parafinsnitt. Noen av disse antistoffene reagerer med panantigener, dvs. antigener som sitter på alle leukocytter, eller f.eks. på alle B-lymfocytter. Andre antistoffer er svært spesifikke og reagerer kun med en subtype av B- eller T-lymfocytter. Disse antistoffene er viktige for presis subklassifikasjon.

    De siste ti årene er også genteknologiske metoder blitt vanlige i lymfomdiagnostikk (1). Ved disse metodene kan man påvise rearrangering av gener og translokasjoner. Genene for immunglobulinene (3) og T-cellereseptor (4) brukes til undersøkelse av klonalitet.

    Ved vår avdeling benytter vi immunhistokjemisk undersøkelse og PCR-undersøkelse som faste tilleggsundersøkelser i diagnostikken av non-Hodgkins lymfom. I de fleste tilfeller bidrar disse undersøkelsene til å sikre kvalitet og presisjon i diagnostikken, og i en del tilfeller er disse undersøkelsene avgjørende for at en relevant diagnose i det hele tatt kan bli stilt. Vi presenterer her fem pasienter med malignt non-Hodgkins lymfom som viser nytten av immunhistokjemisk undersøkelse og PCR-undersøkelse.

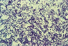
    Pasient 1. En 55 år gammel kvinne. Hun var tidligere frisk, men siste året var hun blitt trett og slapp og hadde hatt smerter i rygg og mage. Ved CT ble det påvist tumor medialt for høyre nyre med mulig infiltrasjon i nyren samt forstørrede retroperitoneale lymfeknuter. Ultralydveiledet nålebiopsi viste irregulært lymfoid vev, oppbygd av små lymfocytter uten bevart lymfeknutestruktur og med fokal sklerose. Immunhistokjemisk undersøkelse viste dominans av B-lymfocytter. Lavgradig non-Hodgkins lymfom av B-celletype ble vurdert som mulig diagnose, men inflammatoriske forandringer med fibrose kunne ikke utelukkes. PCR viste ikke monoklonalitet eller t(14;18). Beinmargsbiopsi viste et lite lymfocyttinfiltrat som gav mistanke om lavgradig non-Hodgkins lymfom, men for sparsomt til å være diagnostisk. Ny ultralydveiledet biopsi fra tumor viste samme lysmikroskopiske og immunhistokjemiske forandringer som tidligere. PCR viste nå t(14;18) (fig 1). Sammenholdt med de andre undersøkelsene passet dette med lavgradig non-Hodgkins lymfom av follikelsentertype. Det ble gjort eksplorativ laparotomi og tatt større biopsier. Disse biopsiene bekreftet diagnosen lavgradig non-Hodgkins lymfom av follikelsentertype. Lymfeknutesvulsten gikk tilbake etter behandling med prednisolon og klorambucil (Leukeran). Postoperativt fikk hun imidlertid problemer med hernie i operasjonsarret etter laparotomien.

    Pasient 2. En 66 år gammel mann. Han hadde fått radikal strålebehandling for adenokarsinom i prostata 64 år gammel. Siste månedene var det utviklet hevelse i den harde gane, ca. 4 cm i diameter. PSA 3,2. Punksjonscytologisk undersøkelse viste lymfoid hyperplasi. Biopsi viste diffus infiltrasjon av små lymfocytter. Infiltratet hadde et monomorft og tumorsuspekt preg. Immunhistokjemisk undersøkelse viste dominans av B-lymfocytter. Kun noen få celler viste positiv reaksjon for proliferasjonsmarkøren Ki-67 ( MIB-1). PCR-undersøkelse viste t(14;18) og monoklonal reaksjon ved undersøkelse av genet for tung immunglobulinkjede ( IgH ) (fig 1, 2), forenlig med non-Hodgkins lymfom av B-celletype. Han ble strålebehandlet med god effekt.

    Pasient 3. En 75 år gammel mann. Siste halvår hadde han hatt økende allmennsymptomer. Undersøkelse viste forstørret milt og forstørrede lymfeknuter i mediastinum, retroperitonealt, tarmkrøs, lille bekken og venstre lyske. Lysmikroskopisk undersøkelse viste non-Hodgkins lymfom, ikke nærmere klassifiserbart. Ved immunhistokjemisk undersøkelse utført ved Sentralsjukehuset i Møre og Romsdal, Ålesund, fant man positiv reaksjon for B-cellemarkører samt CD5 og cyclin D1 forenlig med mantelcellelymfom. Cristabiopsi viste beinmargsaffeksjon. Han ble henvist til Kreftavdelingen ved Regionsykehuset i Trondheim for behandling. Sybtypen mantelcellelymfom ble ytterligere bekreftet ved PCR som viste t(11;14) (fig 3). Han ble behandlet med CHOP-kur (cyklofosfamid, doxorubicin, vinkristin, prednisolon).

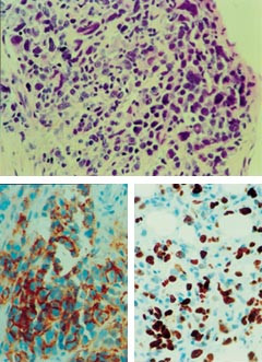
    Pasient 4. En 76 år gammel mann. Ti år tidligere hadde han fått utført transurethral reseksjon av prostata pga. prostatisme. Histologisk undersøkelse viste små foci med høyt differensiert adenokarsinom. Siste halvår hadde han hatt iskialgiforme smerter i venstre side og allmennsymptomer med redusert matlyst, vekttap og nattesvette. PSA 1,9. CT av abdomen og bekken viste tumor i venstre side av bekkenet med avklemming av venstre ureter. Nålebiopsi fra tumor viste udifferensiert malignt tumorvev (fig 4a). Immunhistokjemisk undersøkelse med panel av antistoffer for utredning av udifferensiert malign tumor viste svak positiv reaksjon for ”leucocyte common antigen” og negativ reaksjon for flere antistoffer rettet mot andre tumortyper. Utvidet immunhistokjemisk undersøkelse viste utbredt positiv reaksjon for T-cellemarkøren CD45RO (UCHL-1) og fokal positiv reaksjon for CD3 (fig 4b). Ved PCR fant man monoklonal reaksjon for genet for T-cellereseptor gamma (TCR- γ ). Proliferasjonsmarkøren Ki-67 (MIB-1) viste utbredt positivitet forenlig med høy malignitetsgrad (fig 4c). Resultatene av immunhistokjemisk undersøkelse og PCR-undersøkelse passet med høygradig malignt non-Hodgkins lymfom av T-celletype. God behandlingsrespons på CHOP-kur.

    Pasient 5. En 60 år gammel mann. Det var blitt påvist non-Hodgkins lymfom i abdomen tre år tidligere, behandlet med cellegift og stråling. Nå hadde han fått hevelse på venstre side av halsen og venstresidig nesetetthet pga. tumor i epipharynx og choanae. En liten biopsi viste lymfoid vev oppbygd av små B- og T-lymfocytter. Materialet var traumatisert og gav ikke mulighet for å bekrefte lymfommistanken (fig 5). PCR-undersøkelse av tidligere og ny biopsi viste positiv reaksjon for t(14;18) og monoklonalitet ved undersøkelse av genet for tung immunglobulinkjede (IgH) (fig 1, 2). PCR-produktene fra de to biopsiene var av samme størrelse, forenlig med residiv.

    Immunhistokjemisk undersøkelse

    Immunhistokjemisk undersøkelse

    Vi utfører immunhistokjemisk undersøkelse på parafinsnitt som farges i DAKOs automatiserte immunhistokjemiske fargemaskin (TechMate 500) med standard avidin-biotin-teknikk. Snittene forbehandles i mikrobølgeovn eller med trypsin for demaskering av antigener etter formalinfiksering. Til subtyping av non-Hodgkins lymfom brukes følgende antistoffer (tab 1): CD3 (DAKO) og CD45RO (DAKO UCHL-1) for T-lymfocytter, CD20 (DAKO L26) og CD79 α (DAKO) for B-lymfocytter, cyclin D1 (DAKO) for mantelcellelymfom, CD30 (DAKO) for storcellet anaplastisk lymfom og bcl-2 (DAKO) for follikulære lymfomer. T-lymfocyttmarkørene CD5 (DAKO) og CD43 (DAKO) benyttes for påvisning av abberant fenotype i lymfocytært lymfom og mantelcellelymfom (begge B-cellelymfomer). Ki-67 (Immunotech MIB1) brukes som proliferasjonsmarkør.

    Tabell 1  

    Antistoffer brukt til subtyping av non-Hodgkins lymfom ved Avdeling for patologi, Regionsykehuset i Trondheim

    Antistoff

    Spesifisitet

    Kommentar

    Bcl-2 (DAKO)

    Bcl-2-antigen

    Positiv i celler med blokkert apoptose. Positiv i follikler i follikulært lymfom

    CD3 (DAKO)

    T-lymfocytter

    Mest brukte T-cellemarkør. Høy spesifisitet

    CD5 (DAKO)

    T-lymfocytter

    Abberant ekspresjon i B-lymfocytter i lymfocytært lymfom og mantelcellelymfom

    CD20 (DAKO L26)

    B-lymfocytter

    Mest brukte B-cellemarkør

    CD30 (DAKO Ber-H2)

    Aktiveringsantigen

    Storcellet anaplastisk lymfom, men også positiv i andre blaster

    CD43 (DAKO)

    T-lymfocytter

    Som for CD5, men mindre spesifikk

    CD45RO (DAKO UCHL-1)

    T-lymfocytter

    Mye brukt T-cellemarkør. Lavere spesifisitet enn CD3

    CD79 α (DAKO)

    B-lymfocytter

    Høy spesifisitet

    Cyclin D1 (DAKO)

    Cyclin D1 antigen

    Mantelcellelymfom

    Immunglobuliner; lette

    og tunge kjeder (DAKO)

    Immunglobuliner

    Klonalitet i plasmaceller og lymfoplasmocytoide celler

    Ki-67 (Immunotech MIB-1)

    Kjerneantigen

    Positiv i celler i delingsfase. God korrelasjon til malignitetsgrad

    TdT (DAKO)

    Terminal deoksynukleotidyl

    transferase

    Positiv i lymfoblaster (B- og T-lymfocytter før rearrangering av immunglobulingenene og T-cellereseptorgenene)

    Polymerasekjedereaksjon

    Polymerasekjedereaksjon

    Ved polymerasekjedereaksjon kan man påvise monoklonalitet i et lymfocyttinfiltrat ved å bruke primere mot to regioner (V- og J-regionene) i genene for tung immunglobulinkjede (IgH) for B-lymfocytter (3) og T-cellereseptor (TCR) for T-lymfocytter (4) (tab 2). DNA isoleres fra ferskt vev eller parafininnstøpt materiale (5). PCR-produktet visualiseres ved hjelp av ulike typer gel-elektroforese. PCR-produktet fra monoklonale lymfocytter viser et skarpt bånd i gelen, mens PCR-produkter fra polyklonale lymfocytter viser et bredt uskarpt bånd.

    Tabell 2  

    PCR-undersøkelser brukt i lymfomdiagnostikk ved Avdeling for patologi, Regionsykehuset i Trondheim

    PCR-undersøkelse

    Gen/kromosom

    Kommentar

    IgH (Tung immunglobulinkjede)

    IgH/kromosom 14

    Klonalitet i B-lymfocytter

    TCR γ (T-cellereseptor gamma)

    TCR γ /kromosom 7

    Klonalitet i T-lymfocytter

    T(11;14)

    Cyclin D1/kromosom 11 og IgH/ kromosom 14

    Hyppig translokasjon i mantelcellelymfomer

    T(14;18)

    IgH/kromsom 14 og Bcl-2/ kromosom 18

    Hyppig translokasjon i follikulære lymfomer

    Ved translokasjoner bytter deler av to kromosomer plass. Dersom man kjenner baserekkefølgen til siden for bruddstedene, kan man lage primere som fester seg på hver side av fusjonsstedet i det nye kromosomet. Dette primerparet vil kun gi et PCR-produkt dersom translokasjonen har funnet sted. Resultatet kan ytterligere verifiseres ved å hybridisere PCR-produktet med spesifikk probe (fig 1).

    Translokasjon(14;18) er den hyppigst forekommende gendefekt i maligne lymfomer og kan påvises i opptil 90 % av follikulære lymfomer (6). Ved denne translokasjonen spleises deler av genet for onkoprotein bcl-2 på kromosom 18 til genet for tung immunglobulinkjede på kromosom 14. Denne rearrangeringen fører som regel til økt ekspresjon av bcl-2-protein. Bcl-2-proteinet har normalt en funksjon i regulering av apoptose (7). Økt ekspresjon fører til økt overlevelse av cellene og kan derved bidra til kreftutvikling. Påvisning av denne translokasjonen er ikke diagnostisk for follikulært lymfom, men taler sterkt for denne subtypen hvis undersøkelsene for øvrig viser lavgradig lymfom (8).

    Translokasjon(11;14) sees ved mantelcellelymfomer. Ved denne translokasjonen spleises genet for cyclin D1 (PRAD1) på kromosom 11 til genet for tung immunglobulinkjede på kromosom 14 (9, 10). Dette fører til økt ekspresjon av cellesyklusproteinet cyclin D1. Dette proteinet kan vanligvis ikke påvises i lymfocytter. Den økte ekspresjonen kan påvises ved immunhistokjemisk undersøkelse (11).

    Diskusjon

    Diskusjon

    Vanlig lysmikroskopisk undersøkelse av hematoksylin/eosin-fargede snitt er stadig basis i lymfomdiagnostikk. Ved de fleste laboratorier i Norge benyttes i tillegg immunhistokjemisk undersøkelse i større og mindre grad, og ved noen av de større sykehusene inngår også PCR-undersøkelse som en del av rutinen.

    Pasientene som er referert ovenfor er valgt ut fordi de illustrerer nytten av nye metoder i diagnostikken. Fire av pasientene er fra siste halvåret, noe som viser at man relativt ofte kan bedre diagnostikken og behandlingen ved hjelp av nye metoder.

    Pasient 1 illustrerer nytten av PCR. Man påviste t(14;18) i en liten nålebiopsi der lysmikroskopisk og immunhistokjemisk undersøkelse ikke gav grunnlag for annen diagnose enn irregulær lymfoid infiltrasjon. T(14;18) har vært påvist hos friske uten tegn til non-Hodgkins lymfom (12), men den PCR-undersøkelsen vi benytter, detekterer ikke t(14;18) i reaktiv lymfoid hyperplasi (13). PCR gav i dette tilfellet diagnosen follikulært lymfom. Dette var første gang vi opplevde at påvisning av t(14;18) ved polymerasekjedereaksjon var avgjørende for malignitetsdiagnosen. For å være på den sikre side valgte man å gjøre laparotomi og ta større biopsier som bekreftet diagnosen lysmikroskopisk. Med den erfaring vi nå har, ville vi sannsynligvis basere diagnosen på PCR-funnet sammenholdt med klinisk, røntgenologisk, lysmikroskopisk og immunhistokjemisk undersøkelse og spare pasienten for laparotomi.

    Pasient 2 presenterte seg med tumor i ganen. Fra før hadde han fått påvist adenokarsinom i prostata. Lysmikroskopisk undersøkelse utelukket metastase fra adenokarsinom og gav mistanke om non-Hodgkins lymfom. Immunhistokjemisk undersøkelse styrket mistanken om slikt lymfom, sannsynligvis lavgradig av B-celletype. Biopsien var imidlertid liten og diagnosen derfor usikker. PCR viste t(14;18) og monoklonalitet for genet for tung immunglobulinkjede, forenlig med non-Hodgkins lymfom av B-celletype. Monoklonalitet er ikke alene diagnostisk for non-Hodgkins lymfom. Det er beskrevet flere tilfeller av monoklonalitet uten at det foreligger non-Hodgkins lymfom (14). Det er derfor viktig å sammenholde resultatet av PCR-undersøkelsen med klinisk, lysmikroskopisk og immunhistokjemisk undersøkelse.

    Mantelcellelymfomer utgjør en relativt liten gruppe av non-Hodgkins lymfomer av B-celletype (1). Vanligvis viser lysmikroskopisk og immunhistokjemisk undersøkelse utseende som lavgradig non-Hodgkins lymfom av B-celletype. Mantelcellelymfom viser imidlertid dårligere behandlingsrespons og prognose enn andre lavgradige non-Hodgkins lymfomer av B-celletype. Det er derfor viktig å stille diagnosen slik at pasientene kan få et riktig behandlingstilbud. Immunhistokjemisk undersøkelse kan bekrefte diagnosen ved å påvise cyclin D1 i tumorcellene, og ved PCR kan man påvise t(11;14). Pasient 3 fikk stilt diagnosen mantelcellelymfom ved immunhistokjemisk undersøkelse som viste positiv reaksjon for cyclin D1, og PCR som viste t(11;14).

    Utredning av udifferensiert malign tumor er en av de største diagnostiske utfordringer patologen står overfor. Etter at man ved lysmikroskopisk undersøkelse har påvist udifferensiert tumorvev, utfører man en screeningundersøkelse med et panel av antistoffer mot ulike vevstyper; epiteliale, mesenkymale, nevrogene, lymfoide osv. Et slikt panel omfatter ofte 10 – 20 antistoffer. Hos pasient 4 fikk man positiv reaksjon for ”leucocyte common antigen”, og man gikk så videre med antistoffer for subtyping av lymfomer og PCR. Immunhistokjemisk undersøkelse viste postiv reaksjon for T-cellemarkørene CD3 og CD45RO. Ved PCR fant man monoklonalitet for genet for T-cellereseptor gamma (TCR- γ ). Resultatet av immunhistokjemisk undersøkelse og PCR var forenlig med non-Hodgkins lymfom av T-celletype. Proliferasjonsmarkøren Ki-67 viste mange positive tumorceller forenlig med høy malignitetsgrad.

    Når biopsimaterialet er traumatisert, kan det vanligvis ikke benyttes til lysmikroskopisk og immunhistokjemisk undersøkelse. For PCR er mekanisk traumatisering uten betydning. Pasient 5 illustrerer dette poenget. Man mistenkte residiv av non-Hodgkins lymfom i nesen og på halsen. Det ble tatt en liten slimhinnebiopsi fra nesen. Biopsien viste imidlertid utbredte klemmingsartefakter. Man kunne ikke bekrefte lymfomdiagnosen ved lysmikroskopisk og immunhistokjemisk undersøkelse. PCR viste t(14;18) og monoklonalitet for genet for tung immunglobulinkjede forenlig med non-Hodgkins lymfom av follikulær type. Undersøkelse av tidligere biopsi fra non-Hodgkins lymfom viste identiske PCR-produkter. På denne måten kunne man bekrefte residiv.

    Polymerasekjedereaksjon har også vist seg å være til stor hjelp i diagnostikken av mycosis fungoides i tidlig stadium (15, 16). Ved lysmikroskopisk og immunhistokjemisk undersøkelse er det ofte ikke mulig å bekrefte denne diagnosen. Hos pasienter med mycosis fungoides undersøker vi også blodprøver, og i en del tilfeller kan vi påvise samme klon av T-lymfocytter i blod som i hud forenlig med overgang til Sézarys syndrom.

    Virusinfeksjoner kan gi lymfeknuteforandringer som kan forveksles med non-Hodgkins lymfom (17). Dette gjelder særlig herpesvirusgruppen. Immunhistokjemisk undersøkelse og PCR kan ofte påvise virus og dermed avklare tilstanden (18). De nye metodene er basert på høy teknologi. Antistoffene som benyttes til immunhistokjemisk undersøkelse er kommersielt tilgjengelige og er vanligvis av god kvalitet. Det er imidlertid en rekke metodeproblemer med immunhistokjemisk undersøkelse som både bioingeniører og leger må kjenne til for at undersøkelsen skal bli optimal. Det er viktig med positive kontroller. En negativ undersøkelse har isolert liten verdi, men sammen med et panel av andre antistoffer kan man få frem en immunhistokjemisk profil som kan være diagnostisk. Kryssreaksjon mellom antigener kan gi falskt positiv reaksjon. Dette er beskrevet for de fleste antistoffer.

    Polymerasekjedereaksjon har også metodeproblemer. Best kjent er den ekstreme sensitiviteten, og det er derfor viktig å ha gode rutiner slik at man unngår falskt positiv reaksjon pga. kontaminasjon. Positive og negative kontroller må alltid kjøres sammen med prøvene.

    PCR-resultatene bør sammenholdes med klinisk, lysmikroskopisk og immunhistokjemisk undersøkelse, særlig ved påvisning av monoklonalitet. Det er beskrevet flere benigne tilstander som viser monoklonalitet ved PCR (14).

    Genteknologien gir oss svar på en del av våre gamle problemstillinger, men reiser samtidig flere nye. Her er noen eksempler: Hvordan skal man stadieinndele non-Hodgkins lymfom når PCR viser monoklonalitet i beinmarg mens lysmikroskopisk og immunhistokjemisk undersøkelse er negativ? Translokasjon(14;18) kan påvises i blodprøver fra friske (12), har disse noen økt risiko for utvikling av follikulært non-Hodgkins lymfom? Skal de kontrolleres? Hva betyr påvisning av monoklonalitet i ventrikkelbiopsier ved Helicobacter pylori-positiv gastritt? Noen pasienter med cøliaki viser monoklonalitet for T-lymfocytter; har disse pasientene større risiko for utvikling av non-Hodgkins lymfom av T-celletype? Skal de kontrolleres oftere enn andre med cøliaki? Noen tilfeller av purpura i hud (lichen aureus) viser monoklonalitet for T-lymfocytter og litt hyppigere forekomst av kutant T-cellelymfom. Hvordan skal en slik tilstand klassifiseres og behandles? Listen kan gjøres mye lengre. De nye metodene løser en del av våre problemer, men gir oss også mange spennende utfordringer å ta fatt i.

    Kommentarer  ( 0 )

    Anbefalte artikler