Ovarialkarsinom i tidlig stadium – diagnostikk og behandling

    ()

    sporsmal_grey_rgb
    Abstract

    Pasienter med ovarial borderlinetumor eller fullt utviklet karsinom i stadium 1 har en meget god prognose. DNA-ploidi er den sterkeste prognostiske faktor både ved borderlinesvulster og ved karsinomer. Pasienter med diploide borderlinesvulster og høyt differensierte diploide karsinomer har en tilnærmet 100 % femårsoverlevelse. DNA-ploidianalyse med væskestrømscytometri og/eller bildeanalyse bør inkluderes i den diagnostiske utredning av pasienter med malign/semimalign ovarialtumor i tidlig stadium slik at pasientene kan tilbys den mest optimale og individuelle behandling.

    Abstract

    The prognosis of patients with early stage ovarian borderline tumour and carcinoma is good. In spite of this most patient management has been unnecessarily heavy. DNA ploidy is an indepent and the strongest prognostic predictor of survival with an excellent prognosis in patients with diploid tumours, it should be included in the routine evaluation of patients in order to achieve optimal and individual management. Image cytometry is superior to flow cytometry in predicting prognosis.

    Artikkel

    Diagnostisk kan det være vanskelig å skille borderline ovarialtumorer fra benignt cystadenom og høyt differensiert karsinom. Å velge riktig behandling for den enkelte pasient er heller ikke helt enkelt. Tidligere tiders overbehandling av kvinner med kreft i stadium 1 med borderlinetumor eller karsinom inkluderte bruk av kombinasjonsterapi (kirurgi etterfulgt av strålebehandling og/eller kjemoterapi). I dag anvendes DNA-analyse til å avgjøre om det er nødvendig med kjemoterapi i tillegg til kirurgisk inngrep. På denne måten spares de fleste av kvinnene med denne sykdommen for de plager gjennomføringen av et kjemoterapiregime medfølger. Den følgende kasuistikk illustrerer dagens bruk av ploidiundersøkelse i valg av behandlingsopplegg for den enkelte pasient.

    Pasienten . 37 år gammel kvinne, førstegangsgravid. Ultralydundersøkelse i 15 –16 uke viste en venstresidig ovarialcyste med papillære ekskresenser på cystens innside. Venstre ovarium ble fjernet. Frysesnittdiagnose viste en serøs papillær cyste med atypi (borderlinetumor). Bukskyllevæske viste acellulært materiale. Deretter ble resten av det venstre adneks, appendix og oment fjernet. Resten av buken ble nøye palpert uten at man fant patologiske forandringer. Pasienten var innstilt på å bevare graviditeten.

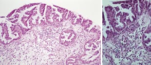
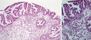
    Makroskopisk undersøkelse viste en 10 cm stor cystisk omdannet ovarialtumor med glatt overflate og papillære ekskresenser på innsiden. Mikroskopisk undersøkelse av nye snitt fra tumor bekreftet frysesnittdiagnosen (fig 1a). Ved revurdering av materialet på DNR, gjort på nye snitt tatt dypere i vevsblokkene fremkom det små områder med karsinomutvikling (fig 1b) og diagnosen ble endret til høyt differensiert serøst papillært cystadenokarsinom. Av de mest cellerike tumorområdene ble det skåret snitt til ploidiundersøkelse som viste et diploid histogram både ved væskestrømscytometri og bildeanalyse (fig 2, 3).

    Pasienten ble forløst ved sectio. Etter forløsningen ble det tatt multiple biopsier fra peritoneum. Det ble ikke funnet spredning fra ovarialkarsinom i noen av biopsiene. På bakgrunn av at pasienten hadde et diploid, høyt differensiert karsinom i stadium 1A har man valgt en konservativ linje uten ytterligere kirurgisk inngrep eller kjemoterapi, men med regelmessig klinisk kontroll. Eventuell radikaloperasjon vil bli vurdert på et senere tidspunkt når pasienten ikke lenger har ønske om ny graviditet.

    Diskusjon

    Diskusjon

    Maligne og borderlinemaligne epiteliale svulster utgått fra ovariene klassifiseres ifølge Verdens helseorganisasjon (WHO) og International Society of Gynecological Pathologists (ISGP) som serøse, mucinøse, endometrioide, klarcellede, overgangsepiteltype, plateepiteltype, blandet og udifferensierte(1). De serøse, mucinøse, endometrioide og blandede tumorer graderes som høyt, middels og lite differensierte (2). Udifferensierte karsinomer er per definisjon lite differensierte. Klarcellede karsinomer har et meget variert vekstmønster (papillært, tubulært, solid og cystisk) og graderes ikke. Den spesielt interesserte leser henvises til spesiallitteratur for hvilke kriterier som brukes for å diagnostisere de forskjellige histologiske typer, bestemme en tumors differensieringsgrad og skille mellom et karsinom og en borderlinetumor.

    Ca. 450 nye tilfeller av ovarialcancer meldes hvert år til Kreftregisteret (3). Av disse er ca. 25 % i stadium 1, dvs. tumor lokalisert til ett eller begge ovarier. Prognosen for denne pasientgruppen er relativt god med en fem års rapportert overlevelse på 70 – 85 % (4 – 9). Ca. 15 % av tilfeller av ovarialcancer i stadium 1 er av borderlinetype (10, 11). Dette er svulster med en meget god prognose. Fem års sykdomsfri overlevelse er ca. 95 % (12). Til tross for den relativt gode prognose er disse pasientene i Norge inntil for få år siden tradisjonelt blitt radikalt kirurgisk operert med fjerning av uterus, begge ovarier, tuber og oment etterfulgt av enten stråle- eller cytostatikabehandling.

    Fra 1982 – 88 inngikk 340 pasienter med ovarialkarsinom i stadium 1 – 3 i en randomisert studie der 32P inngikk i den ene armen og cisplatin i den andre (7). Alle pasientene var på forhånd radikalt operert. Det var ingen prognostisk forskjell i de to behandlingsgruppene, men det var langt flere pasienter med sene tarmkomplikasjoner i stråleterapiarmen. Femårs overlevelse hos pasienter i stadium 1 med høyt differensierte karsinomer og borderlinesvulster var 95 % i denne studien. Liknende god overlevelse er også påvist i andre undersøkelser uten at pasientene har fått noen form for tilleggsbehandling (4). Det er altså åpenbart at en rekke pasienter er blitt overbehandlet, mens andre har fått tumorresidiv til tross for aggressiv behandling.

    Det ble derfor lett etter prognostiske faktorer hos 290 pasienter med ovarialkarsinom i stadium 1 som kunne identifisere dem med god, middels og dårlig prognose for å kunne tilby den enkelte pasient adekvat behandling (8). Multivariat analyse viste at tumors differensieringsgrad (i serøse, mucinøse og endometrioide svulster) er den viktigste prognostiske faktor etterfulgt av DNA-ploiditet og FIGO-substadium (International Federation of Gynecological Oncology (FIGO)). I gruppen med høyt differensierte, diploide svulster fikk ingen pasienter residiv, mens 41 % av pasientene med lite differensiert, aneuploid tumor fikk residiv og 30 % av klarcellede svulster residiverte. Pasienter som tilhører førstnevnte gruppe får i dag ingen etterbehandling utover radikal kirurgi.

    På ovennevnte materiale er det også gjort bildeanalyse av 246 svulster (13). Denne metoden predikerer sykdomsfri overlevelse bedre enn væskestrømscytometri og er den sterkeste prognostiske faktor i multivariat analyse, fulgt av differensieringsgrad og substadium. Basert på denne metoden kan pasientene deles inn i lav- og høyrisikogrupper med en estimert overlevelse på 93 % og 43 %. Som følge av vår erfaring i at bildeanalytisk undersøkelse fanger opp flere aneuploide svulster, har vi sluttet å gjøre væskestrømscytometri på gynekologiske svulster.

    Fra 1992 til 1997 ble pasienter med ovarialkarsinom i stadium 1 med estimert høy og mellomstor risiko (aneuploide, middels og lite differensiert serøs papillære og klarcellet karsinom) i regi av Nordisk gynekologisk selskap randomisert prospektivt mellom adjuvant karboplatinkjemoterapi eller ingen adjuvant behandling for å finne ut om kjemoterapi gav signifikant bedre residivfri overlevelse (14). Det var ingen forskjell verken med hensyn til sykdomsfri eller korrigert overlevelse mellom behandlingsgruppene. DNA-ploiditet gav tilleggsinformasjon som prognostisk faktor. Dette er den eneste studien der man har undersøkt den prognostiske betydning av DNA-ploiditet ved ovarialkarsinom i stadium 1 prospektivt. Studien viste at både når det gjelder sykdomsfri og korrigert overlevelse var de eneste prognostiske faktorer FIGO-substadium, DNA-ploiditet og histologisk differensiering.

    Som anført ovenfor er prognosen ved ovariale borderlinesvulster meget god, men også innen denne gruppen får enkelte pasienter residiv, ofte etter mange år (12). Kærn og medarbeidere publiserte i 1993 en undersøkelse av prognostiske faktorer hos 321 pasienter med borderlinesvulster (alle stadier) behandlet ved Det Norske Radiumhospital i tiden 1970 – 82 (15). DNA-ploiditet var den viktigste prognostiske faktor i multivariatanalyse. Nesten alle pasienter (98,3 %) med kreft i stadium 1A med diploid tumor overlevde, mens 53 % av pasientene i samme stadium, men med aneuploid tumor fikk tumorresidiv og døde. Postoperativ behandling syntes ikke å ha noen betydning for prognosen. Standardbehandling for diploide borderlinesvulster er i dag radikal kirurgi (fjerning av uterus, begge adnekser og oment). Hvis pasienten er ung og har ønske om å få barn, behandles hun så konservativt som mulig til ønskede graviditeter er fullført og eventuell radikal kirurgi blir deretter vurdert.

    Konklusjon

    Konklusjon

    I tillegg til vanlig histopatologisk typing og gradering bør alle maligne og borderlinemaligne ovarialsvulster i stadium 1 også undersøkes med hensyn til DNA-ploiditet for at den enkelte pasient kan tilbys den best mulige og mest skånsomme behandling.

    Kommentarer  ( 0 )

    Anbefalte artikler