Pseudo-Meigs" syndrom

    ()

    sporsmal_grey_rgb
    Abstract

    Det er viktig å diagnostisere maligne celler i væsker fordi dette tyder på en metastaserende prosess. På den annen side vil benigne væsker ikke ha noen innvirkning på stadium eller prognose til en malign tilstand. Pasienter med ascites, pleuravæske og ovarialtumor kan representere Meigs" eller pseudo-Meigs" syndrom og vil således ha god prognose. Morfologisk er det ofte vanskelig å skille mellom reaktive mesotelceller og maligne celler i væsker.

    Cytologisk undersøkelse er gjort på ferske, lufttørkede giemsafargede utstryk fra pleuravæske og ascites. Immuncytokjemisk undersøkelse med antistoffene BerEP4, B72.3, CA 125, CD15, CEA, E-kadherin og kalretinin er gjort på formalinfiksert og parafininnstøpt cellemateriale etter sentrifugering. Det samme antistoffpanelet er benyttet på formalinfiksert operasjonspreparat av pasientens ovarietumor.

    I ascites og pleuravæske ble det ikke påvist epiteliale celler, og diagnosen reaktivt mesotel ble gitt. Histologisk undersøkelse av en 30 30 18 cm stor ovarietumor viste atypisk mucinøst cystadenom (borderlinetumor). Pasienten ble utskrevet i god form, og kontroll seks måneder etter behandling har ikke vist tilbakefall av ascites eller hydrothorax.

    Immuncytokjemisk tilleggsundersøkelse kan være et viktig hjelpemiddel til å diagnostisere en metastaserende sykdom i serøse væsker.

    Abstract

    Cytologic examination of the body cavity effusions in patients with ovarian tumours is performed to differentiate between reactive processes and tumour spread. While detection of malignant cells is a marker of metastatic disease and a sign of bad prognosis, benign effusions affect neither disease stage nor the patient"s prognosis. Determination of the presence or absence of tumour spread is based primarily on cellular morphology. As distinction between reactive mesothelial and cancer cells can be difficult, immunocytochemistry may be employed in equivocal cases.

    The case of a 42-year-old woman who presented with a large pelvic mass accompanied by ascites and hydrothorax is described. Cytomorphology of preoperative pleural fluid specimen was inconclusive. Immunocytochemical examination of cell block sections using: BerEP4, B72.3, CA 125, CD15, CEA, E-cadherin and calretinin was done. No epithelial cells were detected and diagnosis of reactive mesothelial cells was made. Laparotomy was performed and adnexal tumour removed. Borderline mucinous tumour of the ovary was diagnosed. There was no recurrence of the ascites or hydrothorax. The clinicopathologic features and terminology of pseudo-Meigs" syndrome are briefly reviewed. The role of ancillary studies in diagnosis of body cavity effusions is emphasized.

    Artikkel

    Pleuravæske hos en kvinne med antatt ovarietumor og ascites er som regel et dårlig prognostisk tegn. Funn av maligne celler i pleuravæske indikerer fjernspredning, og femårsoverlevelsen av maligne epiteliale ovariesvulster er mindre enn 10 % (1). Pleuravæske kan imidlertid også forekomme hos pasienter med godartet ovarietumor, som ledd i Meigs" syndrom (2, 3). I disse tilfeller vil cytologisk undersøkelse av ascites og pleuravæske ha stor klinisk verdi fordi reaktiv/godartet mesotelproliferasjon, som sees ved Meigs" syndrom, taler imot utbredt kreftsykdom. Etter kirurgisk fjerning av ovariesvulsten vil ascites og pleuravæske ikke residivere, og pasienten kan betraktes som helbredet. Hos en yngre kvinne er det derfor viktig å utelukke en langtkommen kreftsykdom i ovariene, fordi både prognose og behandling av de to tilstandene er vesentlig forskjellig. Cytologisk er det ofte vanskelig å skille mellom reaktivt mesotel og kreftspredning. Vi presenterer en middelaldrende kvinne med pseudo-Meigs" syndrom som ble innlagt i sykehus med en monstrøs cystisk høyresidig ovarietumor, ascites og høyresidig pleuravæske.

    Cytologisk undersøkelse

    Cytologisk undersøkelse

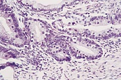
    Lufttørket og giemsafarget utstryk av ascites og pleuravæske viste reaktive mesotelceller samt noen få nøytrofile granulocytter. I pleuravæsken forelå det videre flere irregulære celler som kunne representere maligne celler av type adenokarsinom (fig 1a). For å karakterisere disse nærmere, ble det laget celleblokk som ble innstøpt i parafin, hvoretter 5 ßccm tykke snitt ble fremført for rutinemessig hematoksylin-eosin (HE)-farging samt for immuncytokjemisk undersøkelse med epiteliale og mesoteliale malignitetsmarkører (fig 1b). Antistoffargingen (tab 1) viste positivet for CA 125, fokal positivitet for kalretinin (fig 2) og negativitet for B72.3, BerEP4, CD15 og CEA og E-kadherin. Undersøkelsen bekreftet det morfologiske bildet av reaktiv mesotelproliferasjon, og det ble ikke påvist karsinomceller.

    Histologisk undersøkelse

    Histologisk undersøkelse

    Høyre ovarium var inntatt av en multicystisk tumor som veide 8,2 kg og hadde største diameter på 30 cm. En rekke snitt ble fremført for histologisk undersøkelse. De viste alle mucinøse cyster kledd av atypisk epitel som vokste både kribriformt og papillært (fig 3). Infiltrerende vekst eller kapselgjennombrudd ble ikke sett, og den histologiske diagnosen var atypisk mucinøst cystadenom (borderlinetumor). DNA-måling med væskestrømscytometri og bildeanalyseteknikk viste at svulsten var diploid. Det ble ikke påvist sykelige forandringer i venstre ovarium, uterus, lymfekjertler eller oment. Immunhistokjemisk undersøkelse viste positivitet for B72.3, membranpositivitet for CEA, svak positivitet for E-kadherin, fokal positivitet for BerEP4 og negativitet for CA 125 (tab 1).

    Tabell 1

    Resultat fra immunkarakterisering av pleuravæske (cytoblokk) og ovarietumor

    Antistoff

    Pleuravæske (cytoblokk)

    Ovarialtumor

    B72.3

    -

    +

    BerEP4

    -

    + 1

    CA-125

    +

    -

    CD15

    -

    +

    CEA

    -

    +

    E-kadherin

    -

    + 2

    Kalretinin

    + 1

    Ikke utført

    1 Fokal positivitet

    2 Svak positivitet

    Diskusjon

    Diskusjon

    Allerede i 1887 rapporterte franskmannen A. Demons at ni av 50 pasienter med ovariecyste ble kvitt ascites og pleuravæske etter at cysten ble fjernet. Syndromet ble senere oppkalt etter Meigs, som sammen med Cass i 1937 rapporterte sju tilsvarende tilfeller i kombinasjon med ovarialt fibrom. Rapporten hadde vesentlige behandlingsmessige konsekvenser for denne pasientgruppen, som tidligere ofte ble oppfattet som inoperable på grunn av klinisk mistanke om malign ovarietumor med metastaser til pleura og hydrothorax.

    I 1954 foreslo Meigs at syndromet, som han selv foretrakk å kalle Demons-Meigs" syndrom, kun skulle omfatte benigne og solide ovariale tumorer med utseende som fibrom i kombinasjon med ascites og pleuravæske. En forutsetning var at pasienten ble helbredet etter at tumoren ble fjernet (3).

    Ascites og pleuravæske er oftest serøs eller hemoragisk av utseende, med fravær av neoplastiske celler eller mikroorganismer. Etiologien for hydrothorax og ascites ved Meigs" syndrom er omdiskutert. Forhold som tumorens kompresjon av lymfekar og lokal hormonindusert ekstravasering av væske fra kapillærkar er blitt foreslått som mulige årsaker til ascites (4).

    Vår pasient hadde det noe mindre kjente pseudo-Meigs" syndrom, som er assosiert med ovariale tumorer, der Brenners tumor, dysgerminomer, teratomer, serøse og mucinøse tumorer, endometroide adenofibromer, uterine leiomyomer og til og med lymfomer er blitt rapportert (4 – 8). Skillet mellom Meigs" og pseudo-Meigs" syndrom har ikke vesentlig klinisk betydning og er i dag hovedsakelig av akademisk art.

    Påvisning av forhøyede verdier for karbohydratantigenet CA 125 i serum, spesielt hos postmenopausale kvinner, forekommer vanligvis ved maligne ovariale tumorer av epitelial type, men er også rapportert ved adenokarsinomer i cervix og ved endometroide tumorer. På den annen side kan en slik konsentrasjonsøkning av CA 125 i serum også sees ved Meigs" og pseudo-Meigs" syndrom (7, 9). Karbohydratantigenet synes da å ha en annen opprinnelse, nemlig fra mesotelceller istedenfor fra primærtumor. Dette er i tråd med resultatene av vår immunfarging, som her viste at de irregulære cellene i pleuraeksudatet var CA 125-positive, mens tumoren var negativ for dette antigenet.

    Cytologisk undersøkelse av pleuraeksudatet kunne ikke alene avgjøre hvorvidt de irregulære cellene representerte malignitet. Endelig diagnose kunne derfor ikke gis uten supplerende immuncytokjemisk karakterisering. Det foreligger i dag flere kommersielt tilgjengelige epiteliale antistoffmarkører, men kun få mesotelmarkører. Sistnevnte antistoffer er dessverre ikke egnet til å skille mellom reaktivt mesotel og malignt mesoteliom. Vi har benyttet oss av et bredt panel av epiteliale antistoffer B72.3, BerEP4, CD15, CEA og E-kadherin samt mesotelmarkøren kalretinin (10 – 13), som inngår i vår daglige rutinediagnostikk ved Radiumhospitalet. Resultatene bekreftet det morfologiske bildet av godartet mesotelproliferasjon, og malign epitelial årsak ble avkreftet. Dette ble også bekreftet av den histologiske undersøkelsen av tumoren, som konkluderte med at det forelå et atypisk mucinøst cystadenom (borderline- tumor). Dette representerer en premalign tilstand. Supplerende immunhistokjemisk undersøkelse av snitt fra tumoren var i overensstemmelse med dette.

    Konklusjon

    Konklusjon

    Morfologisk er det ofte vanskelig å skille mellom reaktive mesotelceller, malignt mesoteliom og metastaserende adenokarsinom i pleurale effusjoner. Det finnes i dag en rekke antistoffer som i kombinasjon med den morfologiske vurdering av cytologiske utstryk gjør det mulig å skille mellom reaktivt mesotel og adenokarsinom. Derimot finnes det ikke tilgjengelige antistoffer som kan skille malignt mesoteliom fra reaktivt mesotel.

    Denne pasienthistorien illustrerer immuncytokjemiens viktige rolle som diagnostisk hjelpemiddel i å skille mellom reaktivt mesotel og metastase fra adenokarsinom i serøse effusjoner.

    Pasienten. En 42 år gammel tidligere frisk kvinne som har født to friske barn. Høsten 1998 fikk hun økende abdominalomfang og ble også behandlet for urinveisinfeksjon. Hun ble innlagt til utredning i Medisinsk avdeling, Gjøvik fylkessykehus, i slutten av februar 1999. Røntgen thorax viste rikelig pleuravæske på høyre side og basal atelektase av høyre lunge. Ultralydundersøkelse av abdomen viste en stor multicystisk ekspansjon som sannsynligvis utgikk fra bekkenet og strakte seg helt opp til epigastriet. Dette ble bekreftet ved CT abdomen, som også påviste ascites og enkelte forstørrede lymfeknuter i peritoneum mellom aorta og v. cava. Tumorens utgangspunkt var usikker, selv om man trodde det kunne være det ene eller begge ovariene. Hun ble søkt innlagt i Det Norske Radiumhospital for utredning. Ved innleggelsen i begynnelsen av mars hadde hun bukomfang svarende til tvillinggraviditet ved termin. CA 125-nivået var moderat forhøyet (550 kU/l). Det var svekket respirasjonslyd over høyre lunge og det ble funnet væskeansamling i abdomen. Pasienten ble tappet for ascites og pleuravæske. Cytologisk undersøkelse av begge prøvene viste reaktiv mesotelcelleproliferasjon, men i pleuravæsken forelå det også irregulære mesotelceller som kunne representere malignitet. Under påfølgende laparotomi ble uterus med høyre og venstre tube og ovarium, samt oment og lymfeknuter i bekkenet fjernet. Høyre ovarium var inntatt av en multicystisk tumor som veide 8,2 kg og hadde største diameter på 30 cm, mens uterus, tuber og venstre ovarium hadde normal størrelse. Det postoperative forløp var ukomplisert og pasienten ble utskrevet i god form. Ved senere poliklinisk kontroll ved Gjøvik fylkessykehus, seks måneder etter behandling, var det ikke residiv av ascites, hydrothorax eller abdominaltumor.

    Kommentarer  ( 0 )

    Anbefalte artikler