Mikrodisseksjon – et viktig redskap i molekylærbiologisk virksomhet

    ()

    sporsmal_grey_rgb
    Abstract

    Det foregår en meget rask cellebiologisk kunnskapsøking, forårsaket av teknologiske fremskritt innen molekylærbiologien. Ettersom patologiske prosesser alltid er satt sammen av en rekke ulike celletyper, er behovet for å vite nøyaktig hva man undersøker og i hvilke celler helt avgjørende for å komme videre i forståelsen av ulike sykdomsprosesser. Dette kan dels gjøres ved bruk av in situ-teknikker (immunhistokjemi, in situ-hybridisering, in situ-polymerasekjedereaksjon (PCR)) på både lysmikroskopisk og elektronmikroskopisk nivå, dels ved at man mikrodissekerer ut nøyaktig de celler/vev man ønsker analysert. Slik mikrodisseksjon kan gjøres manuelt eller ved hjelp av laser. Metodene kan brukes på fryst vev og på parafininnstøpt vev. Selv om DNA-materialet man får tak i på denne måten i utgangspunktet ikke alltid er optimalt for videre analyser, kan man med spesielle teknikker, som totalgenom-PCR, bedre denne situasjonen.

    Mikrodisseksjon av cellekloner tillater også at vi i langt større grad enn tidligere kan analysere interaksjon mellom ulike cellekloner (for eksempel mellom tumorceller og stromale celler). Mikrodisseksjon er bygd på et enkelt prinsipp og har vist seg å være svært viktig ved molekylærbiologiske undersøkelser av histologisk materiale.

    Abstract

    Our knowledge of cell biology is increasing rapidly through the introduction of new molecular biology techniques. Pathological processes always involve a number of cell types; obviously, there is a critical need to know exactly what is being examined. This can be achieved by applying in situ techniques (immunohistochemistry, in situ hybridization, and in situ PCR) on the light microscopical and electron microscopical levels.

    Microdissection of cells/tissues is an alternative approach. This can be done manually or with the help of a laser, which allows the dissection of single cells. The methods can be used on frozen tissues as well as on paraffin embedded material. Although the ensuing DNA material is not always optimal for further analysis, it is possible to apply special techniques to approve the situation, such as whole genome amplification PCR.

    Microdissection of cell clones allows us to analyse interactions between tumour cells and stromal cells. Microdissection is based on a simple principle and has proved to be very important in molecular biology analysis of histological material.

    Artikkel

    Patologer har, etter at lysmikroskopet ble tatt i bruk, beskrevet strukturelle forandringer som gjenkjennes ved spesifikke sykdomsprosesser, og definert mekanismer som gir skade på celle-, vevs- og organnivå. Med den grunnleggende visualisering av vev har man kunnet sette diagnoser, avgjøre behandlingsmetode og vurdere behandlingseffekt.

    Vi står nå overfor ”den nye biologien”. Med dette menes den enorme kunnskapsøkningen man de siste tiår har fått innen molekylærbiologi. Innen kort tid vil praktisk talt hele det humane genom være kartlagt, samtidig som kunnskapen om geners produkter og deres funksjon øker. I kjølvannet av dette dukker det opp et mangfold av molekylærbiologiske teknikker for analysering av gener og genprodukter fra celler og vev. Man har erfart et behov for å vite nøyaktig hva slags vev man undersøker. Kun på denne måten kan man få ny viten som kan sammenliknes med det tidligere erfaringer har vist.

    Heterogenitet i vev

    Heterogenitet i vev

    Avstanden mellom molekylærbiologiske analyser av arvemateriale og den konvensjonelle histopatologiske undersøkelsen er enorm. Både normalt og patologisk vev er sammensatt av en rekke celletyper. Normale celler fra samme person vil inneholde likt DNA, men ekspresjonen av de ulike gener vil variere mellom forskjellige celletyper, selv i samme vev. Ved en patologisk prosess kan celler ha DNA som har endringer, slik man ser hos kreftceller.

    Tumor består ikke bare av cancerceller, men også av normalparenkym, blodkar, bindevev, muskulatur og ulike former for epitel eller lymfoide celler. Disse cellene inneholder ikke de samme genetiske forandringer som cancercellene. I preparater hvor andelen normalceller godt og vel overstiger de maligne, vil genetiske analyser lett kunne bli mangelfulle og eventuelt misvisende (1).

    Samtidig ser man at ikke alle forandringene nødvendigvis er de samme gjennom hele tumor. En malign tumor regnes å utgå fra en morcelle. Men den onkogene prosess innebærer en stadig endring av dattercellenes genom og dermed utvikling av subkloner innad i tumoren. Noen subkloner kan ha endrede egenskaper slik at de er mer egnet for videre vekst, residivering og metastasering. Leter man etter slike spesifikke forandringer som bare finnes i en liten, men viktig del av tumoren, kan de lett drukne i informasjonen fra resten av cancercellene.

    Det er også viktig å vite hvor i en celle et genprodukt er lokalisert. β -cateninlokalisering langs cellemembranen indikerer en funksjon, celleadhesjon, sammen med α -catenin og E-cadherin, mens lokalisering av det samme produktet ( β -catenin) i en cellekjerne indikerer dets rolle som transkripsjonsfaktor.

    Molekylærbiologiske metoder er utviklet med tanke på å gi sensitive svar om en spesifikk struktur, alt fra en enkelt baseendring i ett gitt gen til forandringer av et protein (genproduktet). Ved å bruke molekylærbiologiske metoder for å analysere komplekse vev, slik som en malign tumor, vil det være vanskelig å påvise spesifikke endringer, da disse kan drukne i informasjonen fra normale celler. Påviser man en endring, kan man ikke uten videre vite hvilke celler som har denne. Samspill mellom cancerceller og stromale celler er et velkjent fenomen. Karsinomceller kan indusere stromale celler til å produsere proteolytiske enzymer, noe som igjen vil bidra til å fremme tumorcelleinfiltrasjon i stroma (2).

    Parallelt med molekylærbiologiens utvikling har man prøvd å ta hensyn til disse problemene. Flere metoder er utviklet for å integrere informasjon fra et histopatologisk snitt og molekylærbiologiske undersøkelser fra samme vev. Noen molekylærbiologiske teknikker kan anvendes direkte på et histologisk snitt. Dermed får man en visualisering av hvilke celler i vevet og hvor i cellen den aktuelle genetiske endringen har skjedd. Man kan påvise proteiner som kreftsvulsten produserer for mye eller for lite av eller som er modifiserte, ved hjelp av immunhistokjemi. In situ-teknikker kan påvise endringer både på protein-, mRNA- og DNA-nivå i celler, og kan gjøres både fluorescerende og tilføres fargepigmenter slik at en direkte sammenlikning med morfologi kan gjøres.

    Mikrodisseksjon

    Mikrodisseksjon

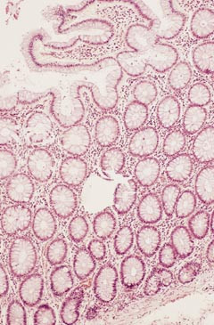
    Mange molekylærbiologiske metoder krever bruk av vevsbiter. Man har da ikke tatt hensyn til den heterogene sammensetningen vevet kan ha, men ekstrahert ut arvestoff fra samtlige celler og analysert dette. For å kunne analysere spesifikke områder og cellegrupper fra vev begynte man å skjære ut spesielle vevsområder fra omkringliggende vev med skalpell. Ved utvikling av bedre og mer sensitive analysemetoder kunne man etter hvert redusere mengden celler. Begrepet mikrodisseksjon ble så brukt om prosedyrer hvor man skar ut vevsområder fra et histologisk snitt (3, 4). Man tok tykke snitt, ofte mange etter hverandre, og ved å bruke et stereomikroskop kunne man løsne opp de vevsområdene man var interessert i (fig 1). Disse ble puttet opp i en buffer slik at man fikk frigjort DNA (ev. RNA), og det frigitte DNA kunne analyseres med flere standardteknikker. Analysemulighetene ble bedre ved utviklingen av polymerasekjedereaksjonen (PCR) (5, 6). Ved hjelp av denne teknikken kunne man mangfoldiggjøre spesifikke områder av cellenes genom, som igjen kunne studeres nærmere. Etter hvert har man begynt å bruke tynne snitt. Dette gir god morfologi, man kan løsne små cellegrupper på 50 celler eller mer med ekstremt tynne glasskniver (7 – 9) (fig 2, fig 3).

    I de senere år er det blitt mulig å utføre mikrodisseksjon helt ned på enkeltcellenivå ved hjelp av et lasermikroskop. Flere ulike metoder er utviklet, slik som ”selective ultra violet radiation fractioning” (10), ”laser capture microdissection” (LCM) (11) og ”microbeam MOMeNT” (12). Teknikken varierer noe, men alle metodene har det til felles at histologien på vevet bevares, og det er lav risiko for kontaminering med uønskede celletyper. De to sistnevnte metodene er mest brukt. Ved disse skjer mikrodisseksjonen helt mekanisk, og laserstrålen som skjærer, styres ved hjelp av en datamaskin. Ved LCM festes den eller de ønskede cellene direkte på en membran ved hjelp av varmeutviklingen fra laseren, og membranen med cellene overføres til et rør. ”Microbeam MOMeNT” fjerner ved hjelp av laser et minimalt vevsområde rundt de ønskede cellene, disse klistres til en membran som på en liknende måte som ved LCM overføres til et rør. Her lyseres cellene slik at DNA eller RNA frigjøres.

    Til nå er dette de metodene som gjør det mulig å preservere morfologien både i dissekerte celler og i gjenværende vev, noe som er viktig ved senere kontroller eller nye analyser på snitt fra samme vev. Metodene muliggjør også dokumentering ved hjelp av fotografering. Man kan med den største grad av morfologisk sikkerhet plukke ut selv enkeltceller og frigjøre DNA til molekylærbiologiske undersøkelser.

    Molekylærbiologiske analyser av mikrodissekert vev

    Molekylærbiologiske analyser av mikrodissekert vev

    Mikrodisseksjon er i økende grad i bruk ved molekylærbiologiske studier. Molekylærbiologiske analyser som baserer seg på bruk av vev, er avhengig av fersktfryste eller formalinfikserte, parafininnstøpte vevsbiter.

    De fleste patologiske avdelinger har store arkiver som består av vevsbiter fra diagnostikk og obduksjoner, samt snitt fra cytologiske prøver, biopsier og frysesnitt. Vevsbitene vil for det meste være behandlet med formalin og deretter innstøpt i parafin for at morfologien i de histologiske snittene skal bli best mulig. For preservering av DNA og RNA er ikke dette optimalt, men de siste tiår er det utviklet spesielle rensemetoder der man får DNA av en slik kvalitet at man kan gjøre fragmentanalyser eller mutasjonsanalyser. Resultatene er stort sett begrenset av at formalinet har en tendens til å stykke opp DNA-trådene slik at man bare kan analysere korte områder i genomet om gangen.

    I de senere år er det kommet en rekke nye metoder som har gjort problemene mindre. I tillegg til polymerasekjedereaksjon har man fått mer sensitive metoder på flere trinn i prosessen slik at vevsmengden kan reduseres. Det har også vært utviklet anrikningsmetoder, f.eks. at man mangfoldiggjør genomet flere ganger ved hjelp av totalgenom-PCR forut for polymerasekjedereaksjon på det ønskede DNA-området (13). Analyser som baserer seg på mikrodissekert materiale, har stort sett vært avhengige av polymerasekjedereaksjon, og metodene som tidligere var mest brukt, er fragmentanalyser og mutasjonsanalyser. Ved fragmentanalyser påviser man tilstedeværelse av bestemte mikrosatellitter som er spredt i genomet (14). Endringer av disse indikerer muligheten for endring av sentrale gener i nærheten. Ved å bruke mikrodisseksjon for å få rene cellepopulasjoner erfarte vi en markant økning av informasjon (15). Metodens begrensning lå i fragmentlengden, som ikke måtte være over 150 basepar. Fragmentanalyser har vært brukt for å se sammenheng mellom ulike stadier av brystkreft. Man har gjenfunnet de samme tap av DNA-områder i in situ-komponenter som i invasivt karsinom-komponenter (16) samt i atypiske duktale hyperplasier (17). Liknende studier er også utført for andre krefttyper, hvor man forsøker å ”tidfeste” ulike genetiske hendelser i forhold til den morfologiske tumorutviklingen.

    Når det gjelder mutasjonsanalyser, har man brukt mange ulike teknikker, både direkte sekvensering, ”single-strand conformation polymorphism” (SSCP), ”constant denaturant gel electrophoresis” (CDGE) og andre for å påvise enkeltbaseendringer. En svensk gruppe har arbeidet mye med mutasjonsanalyser av genet TP53. Gruppen var blant de første som benyttet mikrodisseksjon og mutasjonsanalyser sammen med immunhistokjemi for å kartlegge lokalisering av genetiske forandringer innad i tumoren (18, 19). Man fant at både invasiv og ikke invasiv cancer viste heterogenitet innad i tumoren. I den senere tid er det også publisert resultater som indikerer at fiksering i formalin kan indusere mutasjoner, slik at arkivmateriale overhodet ikke egner seg til mutasjonsanalyser (20). Dette gjenstår det å få bekreftet eller avkreftet.

    Man har nå flere metoder for å screene større områder av genomet. En av disse er ”comparative genomic hybridisation” (CGH). Denne metoden har det også vært mulig å benytte på mikrodissekert materiale (21).

    Analyser av enkeltceller kan være verdifullt, særlig innen hematopatologien, hvor det kan være vanskelig å avgjøre celletype og klonalitet. Man har gjort mikrodisseksjon av celler fra snitt som det på forhånd var utført immunhistokjemi eller in situ-hybridisering på (22). Dette gir informasjon på flere nivåer om en enkelt celle, både om genforandringer og proteinendringer, og kan gjøre diagnostikk lettere.

    Hvilke gener som den aktuelle cellen faktisk uttrykker, kan analyseres ved ulike teknikker. På cDNA-nivå har man utviklet ”microarrays” som muliggjør analyser av tusenvis av cDNA-kloner på én gang (23). Mikrodissekert materiale har foreløpig ikke vært mye brukt, da metodene har krevd mye vev for å gi optimalt resultat. Dette har til dels vært løst ved bruk av fersktfryst vev (24).

    Analyser på proteinnivå har også vært avhengig av store mengder vev, slik at mikrodisseksjon for å få rene tumorcellepopulasjoner har vært lite brukt. Todimensjonal fremstilling av alle proteiner i en prøve, ”two-dimensjonal polyacrylamide gel electrophoresis” (2D-PAGE), viser ikke bare mengden av de forskjellige proteinene, men også eventuelle modifikasjoner. Nylig har man klart å analysere mikrodissekerte celler også med denne metoden (25).

    Konklusjon

    Konklusjon

    Mikrodisseksjon av histologiske snitt er med på å muliggjøre analysering av spesifikke celler både på genom-, ekspresjons- og proteinnivå. Dette vil gi bedre inntrykk av det komplekse genetiske samspillet som medfører sykdom. Tidligere var slike studier langvarige og tidkrevende, men nye og forbedrede molekylærbiologiske metoder sammen med mikrodisseksjon gir løfte om mye informasjon fra få analyser på lite vev. Patologiarkiver er velegnet for store screeningundersøkelser. Her finnes store pasientgrupper, det er forholdsvis enkelt å gjøre retrograde studier, og det er ofte flere typer vev fra en og samme pasient, for eksempel primærtumor, residiv og metastaser.

    Mikrodisseksjon har utviklet seg til å bli en enkel og tilgjengelig metode som man bør tilstrebe å benytte dersom man ønsker å utføre analyser på spesifikke celletyper.

    I nær fremtid vil molekylærbiologiske undersøkelser som supplement ha stor betydning både for den kliniske og den vitenskapelige virksomheten innen histopatologi. Dette vil imidlertid kreve et tett samarbeid mellom patologer og molekylærbiologer, og patologer blir nødt til å tilegne seg molekylærbiologisk kunnskap.

    Kommentarer  ( 0 )

    Anbefalte artikler