DNA-analyser i diagnostisk patologi

    ()

    sporsmal_grey_rgb
    Abstract

    Fra primært å være et verktøy i molekylærbiologisk grunnforskning har polymerasekjedereaksjon (PCR) nå fått bred anvendelse i diagnostisk medisin. Denne artikkelen gir en oversikt over aktuelle applikasjonsområder i diagnostisk patologi, illustrert med noen kasuistikker der polymerasekjedereaksjon har økt den diagnostiske sikkerheten.

    PCR-analyser er nyttige i kreftdiagnostikken for påvisning av monoklonalitet og spesifikke translokasjoner eller mutasjoner som fører til aktivering av onkogener og inaktivering av tumorsuppressorgener. De kan dermed bidra til å bekrefte en malign diagnose, subklassifisere svulster, påvise kreft i preklinisk fase, resttumor eller tidlig tilbakefall av kreftsykdommen.

    Polymerasekjedereaksjon kan også være et raskt og nyttig hjelpemiddel for å påvise infeksiøse agenser, spesielt der det på forhånd ikke er sikret materiale for dyrking. I tilfeller der vevsprøver er forbyttet eller kontaminert, kan den brukes til vevstyping for å fastslå om materialet tilhører pasienten.

    Polymerasekjedereaksjon er vel etablert som en god diagnostisk test og har en selvsagt plass i et moderne patologilaboratorium. PCR-analysene må imidlertid ikke tolkes isolert, men vurderes sammen med morfologi, klinisk undersøkelse og andre tilleggsundersøkelser. Teknikkens sensitivitet er både dens styrke og dens svakhet. Nøyaktige laboratorierutiner er nødvendig for å unngå falskt positive og falskt negative resultater.

    Abstract

    Since the publication of the polymerase chain reaction (PCR) technique in 1985, there has been an explosion of reports on its use in medicine and science. In this overview the use and limitations of PCR in diagnostic pathology are discussed. As biopsies get smaller, molecular technology will play an ever greater role in improving diagnostic accuracy. PCR is useful in tumour characterisation by assessment of clonality and detection of specific chromosomal rearrangements. This way better targeting of therapeutic intervention is possible. The value of PCR in the diagnosis of cancer, HLA typing and the detection of microorganisms is illustrated by some case reports.

    Artikkel

    Polymerasekjedereaksjon (PCR) er en sentral teknikk i molekylærbiologisk forskning og diagnostikk. Teknikken har nå fått bred anvendelse i medisinsk genetikk, mikrobiologi, kreftdiagnostikk, rettsmedisin og slektskapsanalyser. Dette er en metode for å mangfoldiggjøre (amplifisere) vårt arvestoff. Prinsippet ble første gang beskrevet av nordmannen Kjell Kleppe i 1971 (1). Metoden ble senere oppdaget av Kay Mullis i 1983 og fikk sitt gjennombrudd med oppdagelsen av termostabil polymerase (2). Siden den første publikasjonen om polymerasekjedereaksjon i 1985 (3) er teknikken blitt et viktig hjelpemiddel i diagnostisk medisin. Tidsskriftet har tidligere publisert en serie artikler om basisteknikkene i molekylærbiologi (nr. 28 – 33/1989) og diagnostisk molekylærbiologi (nr. 11 – 16/1998).

    Denne artikkelen gir en kort gjennomgang av prinsippet for en polymerasekjedereaksjon. Teknikkens styrke og svakheter vil bli diskutert. Aktuelle applikasjonsområder i diagnostisk patologi vil bli belyst med noen kasuistikker der polymerasekjedereaksjon har bidratt til eller bekreftet den histologiske diagnosen.

    PCR-teknikken

    PCR-teknikken

    Før en polymerasekjedereaksjon kan settes opp, må DNA (eller RNA) isoleres fra det prøvematerialet man ønsker å undersøke. Dette gjøres ved koking, enzymatisk behandling (proteinase-K) eller ved bruk av organiske løsemidler (fenol, kloroform). Til diagnostiske formål er det nå vanlig å bruke kommersielle analysesett. Både ferskt, fryst og formalinfiksert, parafininnstøpt materiale kan brukes. Svært lite materiale er nødvendig; i prinsippet er en enkelt celle tilstrekkelig. DNA kan også isoleres fra fargede celleutstryk og vevssnitt. Dette gjør teknikken meget anvendelig i diagnostisk patologi.

    Når DNA er isolert, kan reaksjonsblandingen settes opp. Denne må inneholde templat (prøve-DNA), buffer, to primere og deoksyribonukleotidtrifosfater, som er byggesteiner for DNA-polymerasen. DNA-polymerase er et enzym som syntetiserer en ny DNA-tråd når de andre komponentene i reaksjonsblandingen er til stede. Nå brukes varmestabil Tac-polymerase som tåler temperaturer opp mot kokepunktet, slik at den ikke må tilsettes etter hvert denatureringstrinn.

    Når reaksjonsblandingen er ferdig laget, kan PCR-analysen settes i gang. De ulike trinnene i en polymerasekjedereaksjon er illustrert i figur 1. Flankesekvensene til den DNA-biten som ønskes oppformert, må være kjent. Primere er syntetiske oligonukleotider som er 18 – 28 basepar lange. De fungerer som en startsekvens for DNA-polymerasen, og er komplementære til flankesekvensene til hver sin DNA-tråd. Primervalg er svært viktig og bestemmer reaksjonens sensitivitet og spesifisitet.

    Etter at PCR-analysen er kjørt, er det nødvendig å kontrollere resultatet. Dette kan gjøres på ulike måter. Gelelektroforese av PCR-produktet er vanlig, og vil bli vist i de kasuistikkene som presenteres i denne artikkelen. PCR-produktene kan også kontrolleres med restriksjonsfragmentlengdepolymorfisme (RFLP), Dot blot eller Southern blot med hybridisering med spesifikke prober og sekvensering.

    Teknikkens styrke er dens høye sensitivitet, men dette kan også være en ulempe. Kontaminasjon i laboratoriet, mangel på gode kontroller og uspesifikke primerreaksjoner kan gi falskt positive resultater. De negative kontroller bør bestå både av en blindprøve og en kontaminasjonskontroll. Blindprøven, som ikke inneholder prøve-DNA, kontrollerer for forurensning under tillaging av reaksjonsblandingen. Kontaminasjonskontrollen, som er fra en tom parafinblokk eller fra et vev som ikke inneholder det agens eller det kromosomavvik man leter etter, kontrollerer for forurensning under DNA-ekstraksjonen.

    Falskt negative resultater kan skyldes primerseleksjon. Den rearrangeringen man ønsker å påvise, kan for eksempel sitte utenfor det området hvor primerne fester seg. Basesammensetningen er viktig for at primerne skal sitte godt på templatet. De to primerne må ha samme smeltepunkt, og 3’-enden må hybridisere stabilt til templatet. Det er også viktig at det ikke er homologi mellom de to primerne, ellers vil de hybridisere til hverandre istedenfor til templatet.

    DNA-kvalitet er svært viktig for å få til en vellykket polymerasekjedereaksjon. For lite DNA kan gi falskt negative resultater. Ekstraksjon av DNA fra formalinfiksert, parafininnstøpt materiale kan gi svært degradert og kuttet DNA. Det er da viktig å velge primere som gir et kort PCR-produkt; helst< 250 basepar, for å unngå falskt negative resultater (4, 5).

    Falskt negative resultater kan også forårsakes av metodologiske faktorer. Man kan for eksempel ha glemt å tilsette en av komponentene i reaksjonsblandingen, det kan være feil temperaturkontroll i PCR-maskinen eller feil MgCl2-konsentrasjon i reaksjonsbufferen. For å unngå falskt positive og falskt negative resultater er det svært viktig å jobbe sterilt, med atskilte laboratorier og en DNA-fri sone. PCR-resultatene er ikke pålitelige uten godkjente positive og negative kontroller.

    Applikasjonsområder i diagnostisk patologi

    Applikasjonsområder i diagnostisk patologi

    Tabell 1  

    Spesifikke translokasjoner i lymfomer

    Svulst

    Translokasjon

    Involvert gen

    Follikulært lymfom

    t(14;18)

    IGH-BCL2

    Diffust storcellet B-lymfom

    Follikulært lymfom

    t(3;14)

    BCL6-IGH

    Diffust storcellet B-lymfom

    Mantelcellelymfom

    t(11;14)

    BCL1-IGH

    Burkitts lymfom

    • t(2;8)

    • t(8;14)

    • t(8;22)

    • IGK-MYC

    • MYC-IGH

    • MYC-IGL

    Anaplastisk storcellet lymfom (T/0)

    t(2;5)

    ALK-NPM

    Tabell 2  

    Spesifikke translokasjoner i sarkomer

    Svulst

    Translokasjon

    Involvert gen

    Ewings sarkom

    • t(11;22)(q24;q12)

    • t(21;22)(q22;q12)

    • t(7;22)(p22;q12)

    • FLI1-EWS

    • ERG-EWS

    • ETV1-EWS

    Synovialt sarkom

    t(X;18)(p11;q11)

    SSX-SYT

    Desmoplastisk småcellet sarkom

    t(11;22)(q13;q12)

    WT1-EWS

    Alveolært rabdomyosarkom

    t(2;13)(q35;q14)t(1;13)(p36;q14)

    PAX3-FKHRPAX7-FKHR

    Klarcellet sarkom

    t(12;22)(q13;q12)

    ATF1-EWS

    Myksoid og rundcellet liposarkom

    t(12;16)(q13;p11)

    CHOP-TLS

    Ekstraskeletalt myksoid kondrosarkom

    t(9;22)(q22;q12)

    CHN-EWS

    Lymfomdiagnostikk

    Lymfomdiagnostikk

    PCR-analyser hører med i moderne lymfomdiagnostikk, de er viktige for bestemmelse av klonalitet og for påvisning av spesifikke translokasjoner (6, 7). Lymfomer vil ofte kunne klassifiseres med rutinehistologi og immunhistokjemi, men der det er tvil om en prosess er neoplastisk eller reaktiv, eller der materialet ikke tillater noen sikker morfologisk diagnose, kan polymerasekjedereaksjon være avgjørende for diagnosen. Metoden er gullstandard for påvisning av klonalitet og kan brukes der dette ikke kan bestemmes ved immunhistokjemi eller væskestrømscytometri. I maligne lymfomer er genene for B- og T-cellereseptorer rearrangert slik at det kun dannes én klon (monoklonal populasjon) istedenfor mange forskjellige kloner (polyklonal populasjon) som i normalt lymfoid vev og i reaktivt lymfoid vev. Dermed kan vi også påvise linjetilhørighet, det vil si om et lymfom er av T- eller B-celletype. Flere av non-Hodgkins-lymfomene har spesifikke translokasjoner som fører til rekombinasjoner mellom onkogener og immunglobulingener (tab 1). Dette fører til en deregulering med overproduksjon av normalt onkoprotein. Såfremt de involverte genene er klonet og sekvensert, kan disse spesifikke translokasjonene påvises med polymerasekjedereaksjon og øke den diagnostiske sikkerhet.

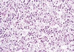
    Pasient 1. En 69 år gammel mann fikk påvist forstørrede lymfeknuter på halsen og multiple polypper i ventrikkel, duodenum og colon. Histologi viste lavgradig malignt non-Hodgkins-lymfom av B-celletype, sannsynlig mantelcellelymfom. I små tarmbiopsier kan det være vanskelig å skille mantelcellelymfom og MALT-lymfom, som begge er lavgradige maligne non-Hodgkins-lymfomer av B-celletype (fig 2). Det er viktig å stille riktig diagnose fordi klinisk utvikling og prognose er helt forskjellig. MALT-lymfom, som kan forbli lokalisert i flere år, har relativt god prognose. Mantelcellelymfomene som utgjør 5 – 10 % av non-Hodgkins-lymfomene, er mer aggressive og har ofte spredt seg ved diagnosetidspunktet. I 70 % av mantelcellelymfomene sees det en t(11; 14)(q13; q32)-translokasjon som kan påvises med PCR (8). I dette tilfellet fikk man bekreftet diagnosen mantelcellelymfom med PCR-teknikk da den spesifikke t(11;14)-translokasjonen ble påvist i biopsiene fra både tarmpolyppene og lymfeknuten på halsen (fig 3).

    Pasient 2. En åtte år gammel jente fikk påvist forstørrede lymfeknuter på halsen. Hun var symtomfri og virusserologi var negativ da lymfeknutene ble fjernet for histologisk undersøkelse. Det var spørsmål om dette kunne være en reaktiv eller neoplastisk prosess. Histologisk undersøkelse viste forstørrede lymfeknuter, strukturen i områder var utvisket og inntatt av mange atypisk utseende lymfocytter med økt antall mitoser, tilblandet en del plasmaceller og granulocytter (fig 4). De atypisk utseende lymfocyttene var positive for B-cellemarkører. Immunhistokjemi og PCR viste monoklonalitet (fig 5) (9, 10). Det var ikke tilgjengelig ferskt materiale for væskestrømscytometrisk verifikasjon av monoklonalitet. Histologien ble også vurdert uavhengig av patologer i Lübeck og ved Mayo-klinikken, og endelig diagnose ble diffust storcellet B-lymfom. Klinikerne valgte imidlertid å la være å behandle, da jenta var frisk og manglet andre organ- og glandelmanifestasjoner. Hun går til kontroll hver tredje måned og er fremdeles frisk etter mer enn to års oppfølging. Dette illustrerer betydningen av at PCR-analyser ikke må vurderes isolert, men sammen med de kliniske og morfologiske funn og ev. andre tilleggsundersøkelser som er gjort. Monoklonalitet er ikke alltid ensbetydende med malignitet. Det kan tenkes at infeksjoner kan gi klonale populasjoner som dominerer og som vil fremstå som monoklonale bånd i gelen.

    Sarkomdiagnostikk

    Sarkomdiagnostikk

    Sarkomer er sjeldne maligne svulster som utgår fra kroppens bindevev og støttevev. De utgjør bare 1 – 2 % av alle kreftsvulster, og i Norge diagnostiseres det ca. 200 nye tilfeller hvert år. Disse svulstene skal ikke fjernes før man har en sikker diagnose. Morfologisk klassifikasjon baseres på finnålsaspirasjonscytologi eller grovnålsbiopsi og kan være svært vanskelig. Riktig diagnose er viktig fordi behandlingsoppleggene er forskjellige. Tilleggsundersøkelser som cytogenetiske undersøkelser og polymerasekjedereaksjon er ofte nødvendig, og vil kunne bidra til riktig diagnose og behandling (6, 11, 12). Det er nå kartlagt en rekke spesifikke translokasjoner i sarkomer som kan påvises ved polymerasekjedereaksjon (tab 2). Rundt 85 % av svulstene i gruppen Ewing/primitiv nevroektodermal tumor (PNET) har en t(11;22)(q24;q12)-translokasjon (13), mens opptil 95 % av de synoviale sarkomene har en spesifikk t(X;18)(p11;q11)-translokasjon (14, 15). De involverte genene koder for proteiner med ukjent funksjon.

    Pasient 3. En 37 år gammel mann fikk påvist en smertefull tumor i høyre knehase. Finnålsaspirasjonscytologi og grovnålsbiopsi viste en småcellet malign tumor sannsynlig i Ewing/PNET-gruppen. Immunhistokjemisk undersøkelse viste positiv membranfargning for vimentin og O13 (fig 6). Pasienten fikk cytostatikabehandling etter Ewing-regime, men behandlingsresponsen var dårlig. Ved Ewings sarkom går ofte tumor i total regress etter preoperativ kjemoterapibehandling. Pasienten ble operert, og den histologiske undersøkelsen viste synovialt sarkom av overveiende monofasisk type. Diagnosen ble bekreftet med cytogenetisk analyse, som påviste den spesifikke t(X;18)-translokasjonen. Retrospektivt ble nedfryst materiale fra finnålsaspiratet og grovnålsbiopsien undersøkt med revers transkriptase-PCR (fig 7). mRNA fra grovnålsbiopsien ble vellykket ekstrahert, og ved revers transkriptase-PCR-teknikk klarte man å påvise fusjonsproduktet SSX-SYT av den spesifikke translokasjonen. Med denne teknikken får man ikke bare påvist at bestemte gensekvenser er til stede, men også om de er aktive. I dette tilfellet kunne altså PCR-teknikken ha bidratt til riktig diagnose primært, og pasienten kunne ha unngått preoperativ kjemoterapi.

    Påvisning av infeksiøse agenser

    Påvisning av infeksiøse agenser

    Polymerasekjedereaksjon er velegnet for påvisning av bakterielle og virale infeksjoner, spesielt der det på forhånd ikke er sikret materiale for dyrking. Latente infeksjoner må påvises med molekylærbiologiske teknikker, og av disse er polymerasekjedereaksjon mest sensitiv. Enkelte virus, slik som humant papillomavirus (HPV), kan ikke dyrkes i konvensjonelle medier, men må påvises ved antistoffstigning i serum eller genotyping i vev.

    Pasient 4. En tre år gammel jente ble laserbehandlet for perianale vorter som ble oppfattet som kondylomer. Histologisk undersøkelse viste papillomatøs plateepitelhyperplasi med hyperkeratose (fig 8). Lysmikroskopisk var det ikke mulig å påvise noen HPV-forandringer. Eldre kondylomer kan mangle koilocytose og flerkjernede celler, som er typiske for en HPV-infeksjon. Biopsimaterialet ble derfor undersøkt med PCR med både konsensusprimere (16) og typespesifikke primere (17). HPV-DNA-type 6 ble påvist (fig 9). HPV 6 hører til de ikke-onkogene HPV-typer og finnes i kondylomer og lavgradige intraepiteliale neoplasier. Med PCR-teknikk fikk man bekreftet den kliniske diagnosen og at barnet var blitt adekvat behandlet.

    Figur 8   Lysmikroskopisk bilde av perianal polypp fra pasient 4. Papillomatøs plateepitelhyperplasi med hyperkeratose. HPV-forandringer mangler

    Forbytting eller kontaminasjon av vevsprøver

    Forbytting eller kontaminasjon av vevsprøver

    Heldigvis er det sjelden vi ikke får oppklart tilfeller av forbytting eller kontaminasjon av prøvemateriale i eller utenfor laboratoriet. Når ulykken først har skjedd, kan vi bruke polymerasekjedereaksjon til vevstyping av det materialet som vi antar er forbyttet eller kontaminert og sammenlikne det med pasientens vevstype.

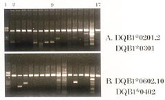
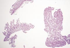
    Pasient 5. En 29 år gammel kvinne med diaré ble gastroduodenoskopert, og det ble tatt tre biopsier fra tynntarm. Histologisk undersøkelse viste fragment av adenokarsinom av intestinal type og normal tynntarmsslimhinne (fig 10). DNA ble ekstrahert fra adenokarsinomet og tynntarmsslimhinnen separat og vevstypet med allelspesifikk PCR for HLA-DQB1-gener med kommersielle analysesett som består av 16 PCR-reaksjoner (Dynal, Oslo, Cat.no. 553.01). Det ble påvist forskjellig vevstype i adenokarsinomet og tynntarmsslimhinnen (fig 11). Med PCR-teknikk ble dermed mistanken om kontaminasjon bekreftet – adenokarsinomet kunne ikke stamme fra pasienten.

    Polymerasekjedereaksjon er en svært sentral teknikk i molekylærbiologisk forskning og diagnostikk, og har i økende grad overtatt etter andre mer tidkrevende og kostbare molekylærbiologiske teknikker som Southern blot og in situ-hybridisering. Den tilfredsstiller alle krav til en god diagnostisk test. Den er enkel å utføre, rask, relativt rimelig og har bred anvendelse. Teknikken er nyttig for å påvise sykdomsgener og infeksiøse agenser. Applikasjonsområdene vil øke etter som stadig nye gener blir klonet og sekvensert. I diagnostisk patologi har polymerasekjedereaksjon størst betydning i cancerdiagnostikken. Disse analysene kan gi både diagnostisk og prognostisk informasjon. I tilfeller der cytologi- eller histologimaterialet er sparsomt eller av for dårlig kvalitet for en sikker morfologisk diagnose, kan polymerasekjedereaksjon bekrefte om en tumor er malign og bidra til å subklassifisere svulsten. Teknikken kan også brukes til å påvise kreft i tidlig fase, evaluere kirurgiske reseksjonsrender, påvise resttumor eller tidlig tilbakefall av tumorsykdom (minimal residual disease). Den diagnostiske nytten er først og fremst knyttet til maligne svulster som har spesifikke translokasjoner, slik som lymfomer og sarkomer (tab 1, tab 2). Karsinomer har mer komplekse karyotyper og er derfor ikke egnet for molekylærbiologisk diagnostikk. Før PCR-analysene rekvireres, må man altså ha en formening om hvilke kromosomavvik man skal lete etter. Polymerasekjedereaksjon er ikke egnet til screening, fordi bare små områder av det humane genomet undersøkes. Ved cytogenetiske undersøkelser blir derimot hele karyotypen kartlagt. Ved PCR-analyser må man velge primere for hvert enkelt kromosomrearrangement som sk

    al påvises. Cytogenetiske analyser er imidlertid mer tidkrevende enn polymerasekjedereaksjon, svar kan ikke foreligge før etter 2 – 3 uker. Det trengs relativt mer vev og kun ferskt materiale kan analyseres. Resultatet av en PCR-undersøkelse kan foreligge i løpet av 1 – 2 dager. PCR-teknikken er langt mer anvendelig i diagnostisk patologi. Både ferskt, fryst, formalinfiksert og parafininnstøpt materiale og fargede vevssnitt og celleutstryk kan analyseres. I prinsippet er det nok med en enkelt celle, fordi det ved en polymerasekjedereaksjon blir kopiert opp mange millioner nye kopier slik at avviket lett kan påvises.

    Konklusjon

    Konklusjon

    Polymerasekjedereaksjon er en vel etablert diagnostisk test. Den er enkel å utføre, rask og rimelig og har bred anvendelse. Den hører derfor hjemme i et moderne patologilaboratorium. Teknikkens høye sensitivitet er ikke alltid en fordel. Nøyaktige laboratorierutiner er nødvendig for å unngå kontaminasjon og falskt positive og falskt negative resultater. PCR-analyser vil få økende betydning, spesielt innen kreftdiagnostikk, ettersom kravene til presisjon i våre diagnoser øker, mens biopsimaterialet som vi får til evaluering blir stadig mindre. Det er viktig at PCR-analysene ikke tolkes isolert, men vurderes sammen med morfologiske, kliniske og andre tilleggsundersøkelser før behandlingsstrategier velges.

    Omarbeidet prøveforelesning for den medisinske doktorgrad, Norges teknisk-naturvitenskapelige universitet, 18.6. 1999. Pasienthistorie 1 og 5 er fra Regionsykehuset i Trondheim og 2, 3 og 4 fra Det Norske Radiumhospital. Takk til Sølvi Skarsvåg og Bodil Bjerkhagen for hjelp til innsamling av kasuistikkene.

    Kommentarer  ( 0 )

    Anbefalte artikler