03.10.2024:
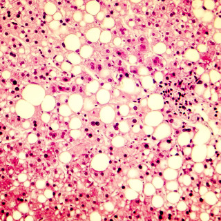
Du våkner med tørr munn og verkende hodepine. Du svetter, er irritabel og har angstsymptomer. I ditt indre roterer en maltrakterende og illevarslende kjøttkvern, som raskt spinner ut av kontroll og fremprovoserer oppkast. Du spør deg selv: «Hva skjedde?» Fyllesyke, hangover, tømmermenn, kuppelhue og veisalgi; fenomenet er kjent under mange navn (1), og skyldes at inntaket av etanol dagen før ble for høyt. Fyllesyke er en kompleks tilstand, og den kan betraktes fra ulike synsvinkler. Som annen sykdom utgjør den ikke bare et sett med patologiske mekanismer, men må ses i kontekst av pasientens...