Fahrs sykdom eller primær familiær hjerneforkalkning?

    ()

    sporsmal_grey_rgb
    Artikkel

    Sykdomsbetegnelser basert på egennavn er på vei ut. I tråd med internasjonal fagterminologi bør tilstanden kjent som Fahrs sykdom heller omtales som primær familiær hjerneforkalkning på norsk.

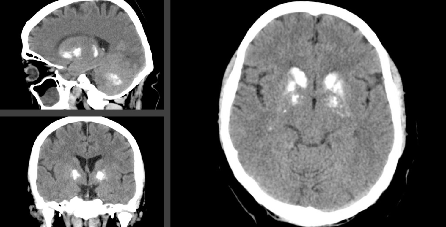
    Fahrs sykdom er en genetisk tilstand kjennetegnet av dystoni, ataksi, parkinsonisme og ulike nevropsykiatriske symptomer som følge av symmetriske forkalkninger i hjernen (figur 1). Symptomer og kliniske funn kan variere fra det minimale til det livstruende (1). Det finnes per i dag ingen effektiv behandling for denne progressive sykdommen, men den nyeste forskningen viser flere medikamentelle muligheter (2). Noen studier tyder også på at tilstanden kan være mer utbredt enn tidligere antatt (3, 4). Dette aktualiserer noen refleksjoner rundt hva sykdommen bør kalles på norsk.

    Aktuelle sykdomsbetegnelser

    Aktuelle sykdomsbetegnelser

    Det første kjente tilfellet av denne sykdommen ble beskrevet av en fransk lege med navn A. Delacour i 1850, dvs. 80 år før den tyske legen Karl Theodor Fahr (1877–1945) publiserte sin kasuistikk i 1930 (1, 5). Med dagens kunnskap synes imidlertid Fahrs kasuistikk å være en sekundær manifestasjon av hypoparatyreoidisme (6), altså ikke en primær form for hjerneforkalkning.

    Eponymer kan ha en kulturell verdi, men fra et faglig perspektiv er det mer nyttig at sykdomsnavn formidler patofysiologiske sykdomsmekanismer. I dette tilfellet er det også nyttig at sykdomsnavnet skiller sykdommen fra sekundære hjerneforkalkninger som følge av infeksjon, metabolske forstyrrelser eller som ledd i normal aldring (7).

    Fahrs sykdom har vært mye omtalt som idiopathic basal ganglia calcification, dvs. basalganglieforkalkninger uten kjent årsak. Denne betegnelsen gir en god beskrivelse av den anatomiske lokalisasjonen av forkalkningene, men ordet idiopatisk er ikke lenger dekkende, ettersom tilstanden nå er vist å ha en genetisk årsak. Dessuten kan forkalkningene også forekomme i andre områder av hjernen, slik som subkortikal hvit substans, talamus og lillehjernen (8).

    De senere årene synes betegnelsen primary familial brain calcification (på norsk primær familiær hjerneforkalkning) å være mest brukt i internasjonal faglitteratur. En fordel med denne betegnelsen er at den tydelig refererer til hjerneforkalkninger av genetisk opprinnelse. En ulempe er at betegnelsen ekskluderer tilfeller som har oppstått av spontane mutasjoner. Slike tilfeller kan omtales som primær bilateral hjerneforkalkning (5).

    Nyere forskningsfunn

    Nyere forskningsfunn

    Vi vet lite om konsekvensene av forkalkninger i hjernen. Nyere forskning, blant annet fra Norge, har vist at tilstanden kan være forårsaket av patogene varianter i flere ulike gener (8–11). Det er foreslått at de ulike genetiske undertypene kan betegnes med den aktuelle genvarianten som prefiks (12), slik som NAA60-PFBC, SLC20A2-PFBC, osv.

    Slik presiserende nomenklatur vil kunne bidra til mer presise diagnoser og sykdomsforklaringer, noe som i fremtiden kan få betydning for valg av behandling. Omtrent halvparten av tilfellene har imidlertid ikke fått en genetisk forklaring, og det er sannsynlig at ytterligere genvarianter vil bli identifisert. Disse bør da fortløpende inkluderes i screeningpanelet for å fremme god diagnostikk.

    Hva skal tilstanden hete på norsk?

    Hva skal tilstanden hete på norsk?

    I Norge omtales tilstanden fortsatt som Fahrs sykdom bl.a. på nettsidene til Norsk helseinformatikk (13) og inntil nylig også på Frambu kompetansesenter for sjeldne sykdommer (14). Norske forskere har de siste ti årene benyttet betegnelsen primary familial brain calcification i engelskspråklige vitenskapelige tidsskrifter (9–11).

    Vi mener at tilstanden bør omtales som primær familiær hjerneforkalkning på norsk, bl.a. da det vil fremme kunnskap og translasjonelt forskningssamarbeid. Det kan være vanskelig å endre veletablerte sykdomsnavn, men denne sykdommen er sjelden og lite kjent i befolkningen. Forkalkning er et kjent begrep, og hjerneforkalkning må også antas å være forståelig for de fleste. I møter med pasienter kan man for eksempel omtale sykdommen som en arvelig form for hjerneforkalkning.

    Kommentarer  ( 0 )
    PDF
    Skriv ut
    Kommenter artikkel

    Anbefalte artikler