En ung mann med luftveisinfeksjon og ansiktsutslett

    ()

    sporsmal_grey_rgb
    Artikkel

    En yngre mann ble innlagt med venstresidige respirasjonsavhengige brystsmerter. Han hadde lett nedsatt allmenntilstand og feber. Det skulle bli et lengre sykehusopphold, der man diagnostiserte en uvanlig årsak til lungeaffeksjon.

    En tidligere frisk mann i slutten av tenårene ble via legevakt innlagt i sykehus etter ett døgn med venstresidige, respirasjonsavhengige smerter.

    Ved innkomst hadde han temperatur 37,6 °C, puls 117 slag/min, blodtrykk 104/57 mm Hg, respirasjonsfrekvens 24/min og perifer O2-metning på 94 % uten ekstra oksygentilførsel, og normale forhold ved klinisk undersøkelse. Blodprøver viste normalt antall leukocytter uten nøytrofili, og C-reaktivt protein (CRP) var 85 mg/l (< 5 mg/l). Det forelå lettgradig nyresvikt med kreatinin på 106 umol/l (60–105) og glomerulær filtrasjonsrate (GFR) på 88 ml/min/1,73 m2 (92–146). Øvrige blodprøver var upåfallende. Arteriell blodgass ble ikke tatt ved innkomst. Røntgen av lungene viste en konsolidert fortetning basomedialt på venstre lunge, i tillegg til flekkvise fortetninger i underlappen. Høyre lunge var upåfallende, og det forelå frie sinus. Grunnet mistanke om bakteriell pneumoni ble det startet opp med penicillin 1,2 g x 4 intravenøst. De første timene etter første dose penicillin utviklet pasienten et eksantem i ansiktet. Man mistenkte penicillinallergi og skiftet til cefotaksim 2 g x 3 intravenøst. Dagen etter innleggelse tilkom oppvekst av meningokokker (Neisseria meningitidis) serogruppe Y i to av fire blodkulturflasker og i nasofarynkssekret.

    Kunne utslettet pasienten utviklet etter første penicillindose være tegn på disseminert meningokokksykdom i stedet for allergisk reaksjon? Det var ikke petekkialt, så ut som et legemiddeleksantem og forsvant da man skiftet antibiotikum. I tre studier av til sammen 862 pasienter med meningokokkinfeksjon utviklet 37–49 % meningitt uten sjokk, 10–18 % sjokk uten meningitt, 7–12 % sjokk og meningitt og 18–33 % mild meningokokkemi uten sjokk eller meningitt (1).

    Pasienten var fortsatt klinisk kjekk, ikke nakkestiv eller mentalt påvirket, men han hadde vedvarende smerter i venstre hemithorax, leukocyttstigning til 9,4 109/l (3,5–8,8) og CRP-stigning til 320 mg/l. Antibiotikabehandling i form av cefotaksim intravenøst ble kontinuert etter resistensbestemmelse. Medlemmer av pasientens husstand, og to personer han hadde kysset i ukene før innleggelse, fikk eradikasjonsterapi i form av en engangsdose med 500 mg ciprofloksacin peroralt.

    I husholdninger med et tilfelle av meningokokksykdom er risikoen for invasiv sykdom hos familiemedlemmer økt med en faktor på 400–800 (2). Risikoen for sykdom er størst de første dagene, og antibiotikaprofylakse bør gis så snart diagnose er etablert. I Folkehelseinstituttets retningslinjer anbefaler man eradikasjonsterapi i form av engangsdose med ciprofloksacin tabletter à 500 mg til individer i pasientens husstand. Dette innebærer også kjærester og nære venner (3). Ingen av pasientens nærkontakter utviklet meningokokksykdom.

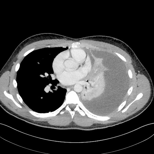
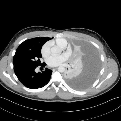
    En uke senere var allmenntilstanden fortsatt god, men han ble økende hypoksisk med oksygenmetning ned mot 90 %. Til tross for behandling med cefotaksim intravenøst i syv døgn, var CRP 199 mg/l. CT thorax viste at nær hele venstre thoraxhule var fylt med ekspansivt preget pleuravæske og funn forenlig med pneumoni i tilliggende atelektatisk venstre underlapp (fig 1).

    Etter ultralydveiledet drenasje av pleurahulen tappet man 1 750 ml klar pleuravæske i løpet av to døgn. Pleuravæskeanalyser viste lav pH-verdi på 7,18 (≥ 7,35), lavt glukosenivå på 2,8 mmol/l (≥ 3,3 mmol/l), høy laktatdehydrogenase (LDH) på 952 U/l (< 200 U/l) og høyt totalprotein på 42 g/l (< 30 g/l), forenlig med eksudat. Nytt røntgen thorax etter tapping viste fortsatt betydelige mengder restvæske og sløring av halve basale lungefelt på venstre side. Ultralyd av thorax viste multiple lokulamenter og septering.

    For å løse opp antatte vœskelokulamenter ble det satt én enkeltdose med alteplase og rhDNase intrapleuralt, og 12. liggedøgn hadde det kommet totalt 4 620 ml via drenet. Samme dag fikk pasienten høy feber, og allmenntilstanden ble verre, med tredobling av CRP-verdien fra 96 mg/l dagen før til 314 mg/l. Ny CT thorax viste betydelig reduksjon i venstresidig pleuravæske med gjenværende ikke-ekspansivt preget pleuravæske nedad. Dagen etter ble det lagt inn ytterligere et pleuradren. I forbindelse med prosedyren ble det aspirert tyktflytende, purulent materiale fra pleurahulen.

    Ved lungebetennelse oppstår økt permeabilitet i lungekapillærene, dette tillater væske å sive ut i pleurahulen. Pleuravæske dannes når lekkasjevolum overskrider resorpsjonskapasiteten til lymfesystemet i pleurahulen. Nøytrofile granulocytter og bakterier går over i væsken, de forbrenner glukose anaerobt, noe som resulterer i lav pH-verdi og lavt glukosenivå i eksudatet. Vedvarende inflammasjon kan medføre fibrinavleiringer og dermed multiple væskelokulamenter (4), slik ultralyd viste hos vår pasient.

    En komplisert parapneumonisk effusjon defineres ved at invasiv prosedyre er nødvendig for å få bukt med problemet. Empyem innebærer at det foreligger en pussansamling i pleurahulen (4, 5). Siden det ble aspirert tyktflytende, purulent materiale ved thorakocentese vurderte man at det forelå empyemutvikling. På grunn av oppveksten av meningokokker i blodkulturer antok man at empyemet skyldtes meningokokkinfeksjon. Direkte mikroskopi og dyrking av materialet var negativ.

    Grunnet manglende produksjon på begge dren fikk pasienten på ny satt inn alteplase og rhDNase intrapleuralt, denne gangen to ganger daglig i tre suksessive døgn. Dette resulterte i ytterligere 1040 ml væske via dren. Da væskeproduksjonen på de to drenene stagnerte, og det fortsatt var radiologiske holdepunkter for restvæske, ble det sist innlagte drenet skiftet ut med et dren med større diameter (fra 10 til 16 french). Dette resulterte i sterke smerter hos pasienten, men ikke ytterligere produksjon via dren. Begge drenene ble derfor seponert påfølgende dag.

    Ifølge British Thoracic Societies guidelines fra 2010 foreligger indikasjon for drenasje av pleurahulen dersom det er klinisk holdepunkt for infeksjon og samtidig pleuravæske som er makroskopisk purulent, er positiv ved dyrking, gramfarging eller har pH-nivå < 7,2 (6). Godt kunnskapsgrunnlag for valg av riktig tubediameter foreligger ikke (6).

    I en prospektiv, ikke-randomisert studie, hvor inklusjonskriteriet sammenfalt med ovennevnte indikasjon for drenasje av pleuraeffusjon, sammenlignet man drenasje av pleurahulen med dren på henholdsvis < 10F, 10–14F, 15–20F og > 20F. Man fant her ingen forskjell mellom gruppene (7). Heller ikke hos vår pasient var innsetting av større dren effektivt, men kanskje heller mer til plage enn gagn.

    Pasientens tilstand bedret seg, og pleuradren ble seponert etter 16 døgn i sykehus. Etter en lett clostridiumassosiert, metronidazolbehandlet kolitt og 19 døgn i sykehus kunne han reise hjem, afebril og i klinisk bedring. Cefotaksim ble erstattet med ciprofloksacin tabletter 500 mg x 2 slik at total behandlingslengde ble fire uker. Ved kontroll på infeksjonsmedisinsk poliklinikk tre uker etter utreise var han klinisk kjekk med normale infeksjonsprøver og tilnærmet normalisert lungerøntgen.

    Diskusjon

    Diskusjon

    Det er uklart hvorfor en ung, tidligere frisk mann utviklet disseminert meningokokkinfeksjon med atypisk manifestasjon med empyem. Han hadde normale immunglobuliner og ingen andre åpenbare årsaker til å utvikle slik sykdom.

    Han hadde Neisseria meningitidis i blodkulturer og nasofarynks. N. meningitidis er en gramnegativ aerob diplokokk, som påvises i normalfloraen i nasofarynks hos om lag 10 % av friske individer (8).

    Punktprevalensen er aldersavhengig, og asymptomatisk bærerskap er vanligere hos unge mennesker. I en studie av nasofarynksprøver fra ca. 14 000 britiske tenåringer i alderen 15–19 år fant man en høyere risiko for bærerskap av meningokokker hos dem som gikk mye på nattklubb/pub, røykere og dem som hadde kysset mange personer. Bærerskap forekom hos rundt 33 % av tenåringene med alle tre risikofaktorene, sammenlignet med 8 % hos dem uten risikofaktorer (9).

    Ifølge Folkehelseinstituttet kan kombinasjonen av tett samvær med andre, festing med høyt alkoholforbruk og lite søvn gjøre at ungdom blir mer mottakelig for å utvikle invasiv meningokokksykdom i russetiden (3). Vår pasient var ikke-røyker, hadde deltatt på flere fester i forbindelse med planlagt russefeiring og vært utsatt for økt smitteeksponering, da han hadde kysset flere jenter i ukene før sykehusinnleggelsen.

    Vaksine mot meningokokker er tilgjengelig, men inngår ikke i det generelle vaksinasjonsprogrammet. Folkehelseinstituttet anbefaler at ungdom i alderen 16–19 år vurderer konjugatvaksine A+C+W+Y mot meningokksykdom, men kommer ikke med konkrete anbefalinger om hvem som bør og ikke bør ta vaksinen (10). Pasienten vår hadde ikke vaksinert seg mot meningokokksykdom.

    Ifølge populasjonsbaserte retrospektive studier av overvåkningsdata av meningokokksykdom, der N. meningitidis er isolert fra blod og/eller cerebrospinalvæske (CSF), får 6–15 % av pasienter med invasiv meningokokksykdom pneumoni (11, 12).

    Lav insidens av meningokokkpneumoni og høy prevalens av asymptomatisk bærerskap i normalbefolkningen kompliserer diagnostikken, og det er mulig at bakterien egentlig er en vanligere årsak til lungebetennelse enn det man tidligere har trodd.

    I dette tilfellet forelå meningokokker av serogruppe Y. I flere studier anslår man at dette er serogruppen som hyppigst er assosiert med pneumoni (12, ). Pasientene infisert med serogruppe Y er oftere eldre og med komorbide lidelser (11, 12), i motsetning til vår pasient som var en ung og tidligere frisk mann.

    Om lag 1 % av alle pasienter som innlegges i sykehus med samfunnservervet pneumoni, utvikler empyem, men tallene er noe varierende (4, 5). Tidligere studier viser at meningokokker er en svært sjelden årsak til empyem, også hos pasienter med meningokokkpneumoni (14). I en spansk studie med 4 751 pasienter som ble innlagt med samfunnservervet pneumoni, utviklet 6 % komplisert parapneumonisk effusjon eller empyem. Mikrobe var kjent hos 72 % av pasientene. Ingen av dem hadde infeksjon med N. meningitidis (15).

    Da det hos vår pasient forelå oppvekst av meningokokker i to av fire blodkulturflasker, ble mikroben tolket som årsak til lungebetennelse med påfølgende danning av empyem. Koinfeksjon med en annen type bakterie i lungen er en differensialdiagnostisk mulighet siden direkte mikroskopi og dyrking av pleuravæsken var negativ.

    Vi finner ikke klare internasjonale eller norske oppdaterte retningslinjer med tanke på bruk av intrapleural fibrinolyse av pleurahulen, og vi har inntrykk av at behandlingen er omdiskutert både i Norge og internasjonalt.

    I en større studie hvor man sammenlignet intrapleural fibrinolyse med placebo kunne man ikke vise reduksjon av antall pasienter som ble henvist til kirurgi etter tre måneder (16). I 2011 ble imidlertid samtidig behandling med alteplase og rhDNase (intrapleuralt) sammenlignet med placebo. Her fant man signifikant bedring målt som reduksjon av lungefortetning ved røntgen thorax. Videre fant man reduksjon etter tre måneder av antall pasienter som trengte kirurgisk intervensjon – 2/48 (4 %) versus 8/51 pasienter (16 %) (17).

    Denne studien er årsaken til at vi i vårt sykehus tenderer til å velge slik behandling hos pasienter hvor man ikke kommer i mål med konvensjonell drenasje av pleurahulen ved hjelp av pleuradren. Likevel, vi mangler klare retningslinjer og flere større randomiserte studier om slik behandling.

    Konklusjon

    Konklusjon

    Ved langsom klinisk respons, vedvarende forhøyede inflammasjonsmarkører, feber og/eller hypoksi hos en pasient som behandles for lungebetennelse, bør man tenke på mulighet for pleuraeffusjon og empyemutvikling.

    Det er mulig at meningokokkpneumoni uten sepsis og meningitt er vanligere enn antatt, siden det er en vanskelig diagnose på grunn av lav insidens av invasiv sykdom og høy prevalens av asymptomatisk bærerskap.

    Pasienten har gitt samtykke til at artikkelen blir publisert.

    Kommentarer  ( 3 )
    PDF
    Skriv ut

    Anbefalte artikler