Gravid kvinne med polyhydramnion og foster med tynntarmsatresi

    ()

    sporsmal_grey_rgb
    Abstract
    Artikkel

    En frisk gravid kvinne ble fulgt opp i svangerskapet grunnet polyhydramnion og mistanke om tynntarmsatresi. I uke 31 kom hun inn på fødeavdelingen med sammentrekninger og blodig utflod. Det viste seg at det forelå en alvorlig navlesnorkomplikasjon.

    Kvinnen i 30-årene hadde tidligere født to barn; en frisk jente og en gutt som ble født med isolert tynntarmsstenose. Hun ble derfor fulgt tett opp i det tredje svangerskapet, og ultralydundersøkelse ga mistanke om tynntarmsstenose/atresi med utvikling av polyhydramnion (fig 1). Svangerskapet forløp for øvrig ukomplisert frem til svangerskapsuke 31, da kvinnen tok telefonisk kontakt med fødeavdelingen på grunn av blodig utflod og sammentrekninger. Kvinnen kjente normalt med liv og var i god allmenntilstand, og hun ble anbefalt å se det litt an.

    Etter ca. halvannet døgn kontaktet hun avdelingen igjen, da sammentrekningene kom litt mer jevnlig. Ved ankomst var blodtrykket normalt (119/76) og abdomen bløt. Fremdeles hadde hun kjent normalt med fosterliv og var i god allmenntilstand. Kardiotokografi (CTG) viste normale funn i 20 minutter før fosterlyden ble langsom, ned mot 60 slag/min. CTG-registreringen ble samtidig teknisk dårlig og vanskelig å tolke (fig 2a). En ultralydundersøkelse kl 1018 bekreftet initialt bradykardi, men frekvensen normaliserte seg raskt. Det ble funnet polyhydramnion.

    Polyhydramnion kan føre til for tidlig fødsel. Når en gravid kvinne i tillegg har vaginal utflod og sammentrekninger er det nærliggende å tolke symptomene som uttrykk for begynnende fødsel. Kardiotokografi er en diagnostisk test med høy sensitivitet for å oppdage fosterstress. Er denne normal, er ikke fosteret utsatt for oksygenmangel.

    Kvinnen var tilkoblet CTG-registrering med måling av korttidsvariabilitet (slag-til-slag-variasjon i fosterpuls). Basalfrekvensen (fosterhjertets snittfrekvens) var 145/min, og det var enkelte akselerasjoner. Korttidsvariabiliteten var normal, med 6,9 ms (normalt > 3,5ms). Maternell symptomstatus var fortsatt fredelig. Cervix var umoden og lukket. Det ble gitt betametason (glukokortikoid) og tatt pretransfusjonsprøver i tilfelle behov for forløsning. Barnelege ble orientert, og det ble diskutert prognose for et barn med tynntarmsatresi og fødsel i uke 31+5 med behov for operasjon kun få dager etter fødsel.

    Akselerasjoner er kortvarige økninger i fosterpuls. Tilstedeværelse av akselerasjoner tyder på fravær av acidose hos fosteret og er dermed betryggende. I en situasjon med truende for tidlig fødsel og kjent polyhydramnion kan fostervannstapping redusere risikoen for at fødselen kommer i gang, men selve prosedyren kan også utløse fødsel (1). Behandling med betametason kan redusere barnets sykelighet og dødelighet i nyfødtperioden. Man valgte derfor å avvente tapping av fostervann til betametason kunne forventes å ha effekt (dvs. etter 12 timer).

    Ny ultralydundersøkelse kl 1115 viste at fosteret hadde normal hjerteaksjon, men det lå helt stille. Blodstrømsmålingene i navlesnorarterien og midtre hjernearterie ble tolket som normale. Klinisk var det ikke tegn til morkakeløsning. CTG-registreringen fortsatte og ble oppfattet som normal (fig 2b).

    Dopplerundersøkelse av navlearterie benyttes i overvåking av høyrisikosvangerskap og gir først og fremst informasjon om forhold ved morkaken. Undersøkelsen benyttes for eksempel ved langsom fostervekst og kombineres ofte med undersøkelse av andre føtale eller maternelle kar. Dopplerundersøkelse av midtre hjernearterie kan på samme måte gi informasjon om fosterets tilstand. Ved fosteranemi som for eksempel skyldes immuniseringstilstander vil man forvente høye blodstrømshastigheter i hjernen.

    Korttidsvariabiliteten på CTG-undersøkelsen falt fra 9,7 ms kl 1257 til 3,0 ms kl 1427. Det var ingen akselerasjoner. Dette ble tolket som forverring av tilstanden og førte til ny ultralydundersøkelse. Denne var uendret fra den forrige. Kardiotokografi ble koblet til igjen kl 1520, basalfrekvensen var sunket til 120 slag/min, men korttidsvariabiliteten var steget til 7,9 ms. Vakthavende overlege ble varslet. Bedring av korttidsvariabiliteten ble vektlagt. Siden kombinasjonen av tarmatresi og prematuritet var forventet å være uheldig for barnet, valgte man å avvente forløsning. Fosterets hjertefrekvens sank til 100 slag/min kl 1542 (fig 2c). Etter kl 1543 var det vanskelig å registrere fosterets hjertelyd. Ved polyhydramnion kan det være vanskelig å få inn hjertelyd dersom fosteret endrer stilling. Man valgte å flytte kvinnen til et annet rom med ultralydmaskin for å se om fosteret hadde flyttet på seg, og man ville kontrollere hjertefrekvensen. Det oppsto tekniske problemer før kvinnen ble undersøkt på ny kl 1603. Undersøkelsen viste vedvarende bradykardi på 60 slag/min. Man mistenkte morkakeløsning, og det ble besluttet akutt keisersnitt. Operasjonen startet kl. 1620.

    Kardiotokografi før termin kan være vanskelig å tolke. Manglende akselerasjoner over lengre tid kan gi mistanke om sykdom, spesielt når kvinnen ikke er i fødsel. Anemi og hypovolemi kan gi karakteriske endringer i hjertefrekvens med periodisk, sinusbølgelignende utseende (sinusoidal kardiotokografi) (fig 2b), men gjenkjennelse av et slikt mønster er lettere når man mistenker tilstanden. Vedvarende fall i fosterets hjertefrekvens, selv om den til å begynne med lå innfor normalområdet, er uttrykk for sirkulasjonssvikt hos fosteret (fig 2c).

    Barnet, en jente, fikk apgarskår 1/1/1. Fødselsvekt var 1 820 g. Det var ikke mulig å få syre-base-prøve fra navlesnoren. Det tømte seg rikelig, blodig fostervann. Man fikk ikke oversikt over om det var koagler mellom fosterhinnene.

    Blodig fostervann kan være et tegn på morkakeløsning eller føtal blødning, hvorav morkakeløsning er det vanligste. Ved denne tilstanden ses ofte koagler på morkakens maternelle overflate. Her så man ikke koagler. Barnet var blekt og navlesnoren var uten blod, hvilket kunne tyde på føtal blødning.

    Barnelege startet umiddelbart hjerte- og lungeredning. I løpet av 25 minutter etter fødselen ble det gitt til sammen 16 ml/kg natriumklorid 9 mg/ml og 11 ml/kg nødblod samt 0,3 ml adrenalin 0,1 mg/ml intravenøst. Barnet ble intubert og fikk stabil hjerteaksjon etter 24 minutter. Hypotermibehandling ble vurdert, men er kontraindisert ved prematuritet. Ved innleggelsen i nyfødtintensivavdelingen reagerte barnet svært lite. Det hadde behov for respiratorbehandling. Middelarterieblodtrykket var 15 mm Hg. Blodprøvene viste metabolsk acidose med baseunderskudd på 12,4 mmol/l (normalt < 5 mmol/l etter keisersnitt), laktat 11,1 mmol/l (normalt < 4 mmol/l etter keisersnitt), og hemoglobin var 11,1 g/dl etter transfusjon.

    På grunn av vedvarende hypotensjon ble det startet dopamininfusjon. Blodtrykket var labilt, og barnet hadde minimal diurese. Det ble gitt ytterligere en blodtransfusjon og parenteral ernæring med glukose, aminosyrer og fett. Røntgenoversikt av abdomen viste luft i ventrikkel og tolvfingertarm, men ingen luft distalt for dette, forenlig med atresi/stenose. Funnet ble vurdert ikke å ha betydning for barnets akutte tilstand. Vedvarende lav Hb på tross av tre blodtransfusjoner passet med alvorlig blødning.

    Føtal blødning er en sjelden årsak til akutt hypovolemi med hypoksisk skade som følge. Den vanligste formen for føtal blødning er føtomaternell blødning, der fosteret mister blod over placentabarrieren til maternell sirkulasjon. Væskestrømscytometri kan påvise føtale røde blodceller i morens blod. Føtomaternell blødning ble utelukket ved negativ væskestrømscytometri tatt rett før keisersnittforløsningen. Andre tilstander som kan gi føtal hypovolemi er avrivning/perforasjon av føtale kar i hinnene i forbindelse med ruptur, eller deponering av føtalt blod i morkaken (f.eks. store cyster eller chorangiomer). Blødning i barnets indre organer (f.eks. lever, mage/tarm) kan også opptre.

    EEG gjort første levedøgn var tilnærmet isoelektrisk. Undersøkelsen ble gjentatt andre levedag og viste uendrede funn. Cerebral MR-undersøkelse med diffusjonsserier viste utbredte iskemiske forandringer i store deler av storhjernen.

    Funnene indikerte en svært alvorlig cerebral skade, og på bakgrunn av dette ble aktiv behandling avsluttet to dager etter fødselen. Barnet døde få minutter etter at respirator ble koblet fra. Pårørende ble informert om obduksjon og samtykket til dette.

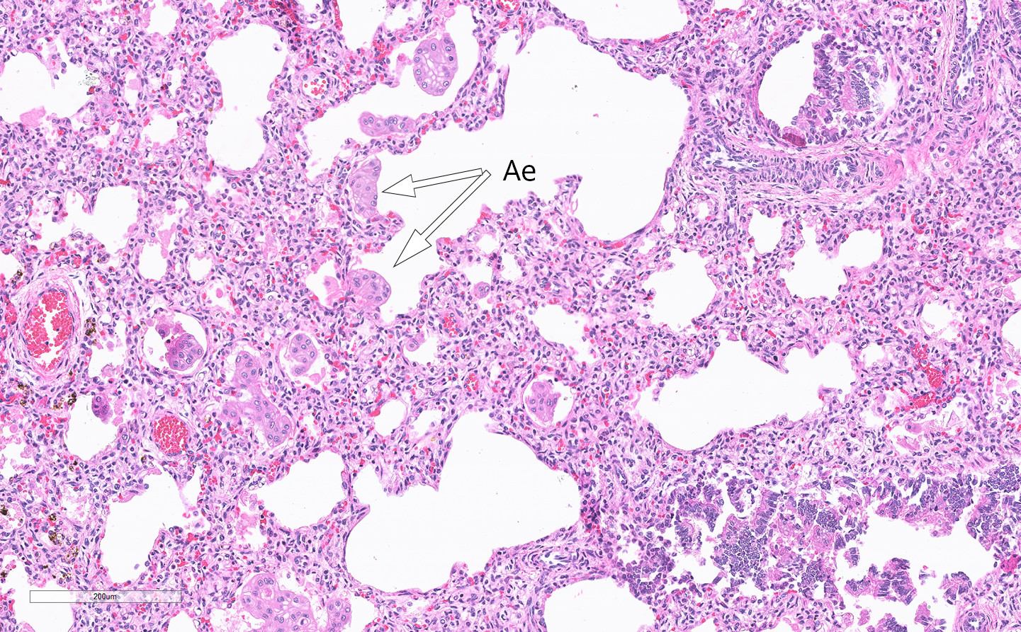
    Mikroskopi fra lungene viste flak med amnionepitel som var blitt aspirert intrauterint (fig 3). Magesekken var dilatert med rikelig innhold. Pylorusområdet var fortykket. Det lot seg ikke gjøre å sondere ned til tolvfingertarmen. Miltprøve viste at det ikke forelå trisomi 13,18 eller 21.

    Morkaken var hel, med vekt svarende til 50-prosentilen. Maternell (basal)- platen var upåfallende uten tegn til løsning. Føtal (chorion)-platen var også normal. Morkaken hadde vanlig snittflate, og mikroskopisk undersøkelse viste normale forhold. Navlesnoren var tilsynelatende normal med eksentrisk feste, men ved nærmere undersøkelse viste det seg at kar lå blottet og manglet beskyttelse av Whartons gelé, den gelatinøse substansen som vanligvis beskytter karene (fig 4a). I enden av snoren mot morkaken ble det sett koagulert blod, men ingen synlig rift. Mikroskopisk undersøkelse viste at snoren hadde to arterier og en vene, men de perifere delene av arterieveggene var svært tynne, og farging mot muskulatur (desmin) viste destruert muskellag (fig 4b). Spredt omkring ble det sett løsrevne glatte muskelceller. Snorens amnionepitelkledning var også delvis destruert. Det ble ikke funnet opphopning av kjerneholdige røde celler i føtale blodkar. Hemosiderinfarging var negativ. Det var ingen økt forekomst av inflammatoriske celler, men mange makrofager i Whartons gelé.

    Undersøkelse av morkaken ga ingen holdepunkter for løsning. Manglende forekomst av kjerneholdige røde blodlegemer passet med at barnets alvorlige anemi skyldtes en akutt innsettende katastrofe, en føtal blødning fra skadet navlesnorarterie. Vi tolket bildet slik at tynntarmsatresien hadde resultert i refluks av mageinnhold inn i fostervannet, noe som hadde ført til nekrose av snoren med Whartons gelé og destruksjon av nesten hele den muskulære delen av arteriene. Dette resulterte i en katastrofal føtal blødning. Tilstedeværelse av aspirert amnionepitel i barnets lunger støtter dette (fig 3). Snorens amnionepitelkledning var revet av, blitt aspirert og kunne derfor gjenfinnes i lungenes alveolære hulrom.

    Diskusjon

    Diskusjon

    Vår pasient ble forløst med akutt keisersnitt prematurt på grunn av mistanke om placentaløsning. Undersøkelser av morkaken og navlesnoren etterpå viste at det hadde oppstått en fatal blødning fra navlesnoren.

    Tynntarmsatresi, som påvises hos ca. 1 av 5 000 – 10 000 fødte, er den vanligste formen for medfødt intestinal obstruksjon og kan foreligge med eller uten andre anomalier (2). Tynntarmsatresi i kombinasjon med andre anomalier er assosiert med flere komplikasjoner og mer alvorlig prognose. Svangerskapsalder ved fødsel har også prognostisk betydning. Enkeltstående, sporadisk forekomst av isolert tynntarmsatresi er vanligst, men familiære tilfeller er også rapportert, både med og uten kjent slektskap. Det er beskrevet familiære tilfeller forenlig med autosomal dominant arv og noen familier der autosomalt recessivt arvemønster synes å foreligge (3, 4). Populasjonsstudier viser høy heritabilitet, men en genetisk hovedårsak er ikke funnet, og multifaktoriell arv er sannsynlig (5). Gjentagelsesrisiko må derfor vurderes i den enkelte familie basert på familiehistorie. I denne familien vil gjentagelsesrisiko være rundt 25 %, noe høyere dersom man tar hensyn til mulig autosomalt dominant arvemønster.

    Selv om assosiasjon mellom ulcerasjon av navlesnor og føtal intestinal atresi er kjent (6), foreligger det lite litteratur på området (6–10). Hyppigheten av ulcerasjon av navlesnor ved intestinal atresi er blitt rapportert å ligge mellom 6,5 % (10) og 13,6 % (6). Flere hypoteser finnes om årsakssammenhengen (11). I nyere litteratur hevder man at det er relatert til gastrointestinal refluks av mageinnhold til fostervannet, som fører til en kjemisk påvirkning av amnionepitel og Whartons gelé, med påfølgende ulcerasjon av navlesnor som resultat (7, 10). Det er kjent at tykk mekonium kan resultere i snornekrose (12), noe som støtter hypotesen om at årsaken er en kjemisk prosess hvor substanser i amnionvæsken destruerer snoren. Ulcerasjonsgrad ser ikke ut å være avhengig av om tarmobstruksjonen er på oral eller anal side av tynntarmspapillen (7). Hemodynamiske endringer i forbindelse med fødsel kan øke risikoen for ulcerasjon (13).

    I en norsk studie er det vist økt risiko for plutselig, uforklarlig død hos fostre med tynntarmsobstruksjon (14). Bradykardiepisoder ble registrert før fosterets død og tolket å være resultat av vagal overaktivitet i forbindelse med distensjon av mage-tarm-kanalen. I denne studien fremgår det ikke om navlesnor og morkake ble undersøkt.

    I vårt tilfelle antas fosterbradykardi å være resultat av en reflektorisk respons på akutt hypovolemi, noe som går igjen som et funn ved snorruptur (9, 10, 15, 16). I denne sammenheng kan ikke de symptomfattige kliniske funnene som manglende abdominalsmerter og fravær av vaginal blødning tolkes som beroligende (16).

    Snorulcerasjon i forbindelse med intestinal atresi er en livstruende tilstand med høy risiko for død eller alvorlige sekveler, ikke minst fordi fosterets forsvar mot akutt hypovolemi er svært begrenset (17). Å oppdage selve blødningen er vanskelig. Diagnosen må stilles i en klinisk kontekst der det foreligger mistanke om tynntarmsatresi hos fosteret kombinert med unormale funn ved kardiotokografi og fravær av maternelle symptomer på morkakeløsning. Ved dopplerundersøkelse av fosterets sirkulasjon vil høy blodstrømshastighet i midtre hjernearterie tyde på anemi, men den fysiologiske responsen et foster kan ha ved stort blodtap (hypovolemi) er blant annet avhengig av fosterets alder. Det er ikke fullstendig kartlagt hvordan et foster kan respondere på et stort blodtap over kort tid. Rask forløsning med neonatologisk beredskap og umiddelbar blod- og volumsubstitusjon etter fødsel kan være livreddende ved en slik tilstand.

    Takk til overlege og genetiker Gyri Gradek som har bidratt med den genetiske delen av manuset. Både kvinnen og barnets far har gitt samtykke til at artikkelen blir publisert.

    Kommentarer  ( 0 )
    PDF
    Skriv ut

    Anbefalte artikler