En mann i 50-årene med feber og anemi

    ()

    sporsmal_grey_rgb
    Artikkel

    Infeksjon med samtidig anemi er en vanlig problemstilling. Vi presenterer her en pasienthistorie der anemien viste seg å være en sjelden komplikasjon til en vanlig tilstand. Dette fikk vesentlig betydning for den videre behandlingen.

    En mann i slutten av 50-årene med levaxinsubstituert hypotyreose ble innlagt i indremedisinsk avdeling etter en måneds sykehistorie med nedsatt allmenntilstand, hoste og intermitterende feber. De siste dagene før innkomst var han blitt tiltagende slapp og hadde spist og drukket lite. Han bodde i en døgnbemannet omsorgsbolig. Innleggelsesdagen hadde personalet funnet ham liggende på baderomsgulvet. Han var da våken, men ute av stand til å reise seg på egen hånd. Da de forsøkte å hjelpe ham opp i stående stilling, besvimte han.

    Ved innkomst var han blek og slapp, men våken. Han kunne ikke gjøre rede for sin sykehistorie, og de rundt pasienten opplevde ham som klart endret sammenlignet med hans vanlige tilstand. Ved klinisk undersøkelse var blodtrykket 100/70 mm Hg, pulsen regelmessig på 85 slag/min, temperaturen målt i øret var 37,9 oC, respirasjonsfrekvensen 24/min og perifer oksygenmetning 95 % med 2 l oksygen på brillekateter. Det var ingen patologiske funn ved klinisk organstatus.

    Blodprøver viste C-reaktivt protein (CRP) 289 mg/l (< 6 mg/l), kreatinin 138 μmol/l (60–105 μmol/l), eGFR 45 ml/min/1,73 m2 (> 60 ml/min/1,73 m2), totalbilirubin 57 μmol/l (5–25 μmol/l), haptoglobin 0,1 g/l (0,5–2,1 g/l), laktatdehydrogenase (LD) 632 U/l (> 205 U/l) og transaminaser i referanseområdet.

    Hematologiske analyser ble ikke besvart grunnet agglutinasjon. Arteriell blodgass med 2 l oksygen på brillekateter viste lettgradig metabolsk alkalose med pH 7,49 (7,36–7,44), pCO2 5,24 kPa (4,7–6,0 kPa), pO2 9,85 kPa (11,3–14,0 kPa), HCO3 29,2 mmol/l (22,0–26,0 mmol/l), baseoverskudd 5,9 (-3,0–3,0). Hemoglobinnivå målt ved blodgassundersøkelsen var 6,5 g/100 ml (11,5–16,5 g/100 ml). En tilfeldig hemoglobinmåling tre måneder før innleggelsen hadde vist 14,5 g/100 ml. Røntgen thorax viste fortetning i tilslutning til hilus venstre side og høyre overlapp. Hemofec i avføring var negativ.

    Sykehistorie, forhøyede infeksjonsprøver og funn på røntgen thorax ga mistanke om pneumoni, men hemoglobinverdien var lavere enn ventet ved infeksjonsanemi. Pasienten var sirkulatorisk stabil, og man avventet svar på flere laboratorieprøver.

    Laboratoriet rapporterte om sterk kuldeagglutinering i EDTA-blod. Det ble tatt nye blodprøver på varme glass. Hemoglobinnivået var da 7,4 g/100 ml, leukocytter 24,9 · 109/l (3,5–11,0 · 109/l) og trombocytter 548 · 109/l (150–450 · 109/l).

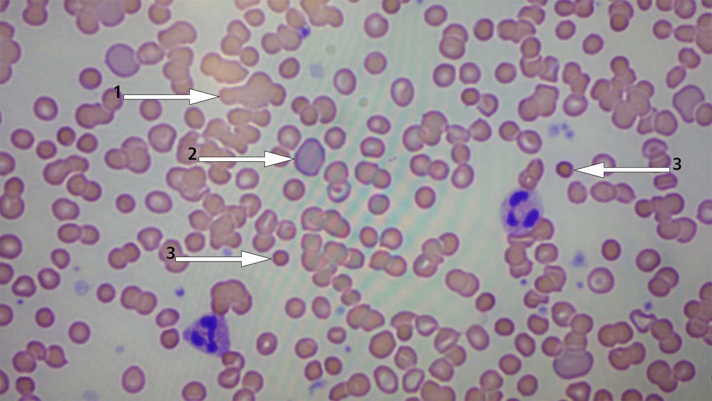
    Grunnet kraftig celleaggregasjon var det ikke mulig å undersøke erytrocyttindekser, retikulocytter eller gjøre differensialtelling av leukocytter. Mikroskopi av blodutstryk viste aggregerte erytrocytter, polykromasi, anisocytose, en del mikrosfærocytter og leukocytose, men ikke umodne celler (fig 1). Urinstiks ga utslag på blod og protein.

    Laboratoriefunnene – lavt hemoglobinnivå, betydelig forhøyet laktatdehydrogenase og totalbilirubin samt patologisk lavt haptoglobin – ga sterk mistanke om hemolytisk anemi. Anisocytose, polykromasi og mikrosfærocytter i blodutstryket støttet mistanken ytterligere. Erytrocyttaggregater ved mikroskopi og makroskopisk agglutinering i blodprøven indikerte autoimmun hemolytisk anemi av kuldeantistofftype. Antistoffene som forårsaker agglutineringen kalles også kuldeagglutininer.

    Funn av «blod» (hemoglobin) på urinstiks betyr ikke nødvendigvis hematuri. Det kan skyldes hemoglobinuri, som kan ha foreligget hos denne pasienten på grunn av intravaskulær hemolyse. Differensialdiagnostikken kan avklares ved urinmikroskopi, noe som dessverre ikke ble gjort. Mulighet for lymfom ble vurdert, men sykehistorien kunne også være forenlig med infeksjon. CRP-nivå og røntgenfunn passet bedre med sistnevnte mulighet.

    Blodkulturer, nasopharynx- og urinprøve ble tatt på mistanke om pneumoni. Pasienten oppfylte tre av tre q-SOFA-kriterier (quick-Sepsis Related Organ Failure Assessment) med respirasjonsfrekvens > 22/min, endret bevissthetsnivå og systolisk blodtrykk ≤ 100 mm Hg. Det ble startet med cefotaksim grunnet lettgradig nyresvikt, men etter én dose ble det byttet til erytromycin, da man ble oppmerksom på assosiasjonen mellom kuldeagglutininassosiert hemolytisk anemi og Mycoplasma pneumoniae-pneumoni.

    Da pasienten klinisk var stabil, valgte man å vente med blodtransfusjon til dagtid. Hematolog vurderte pasienten dagen etter innkomst og støttet diagnosen sannsynlig infeksjonsutløst autoimmun hemolytisk anemi (AIHA) med kuldeagglutininer. Pasienten ble transfundert over to dager med fire enheter SAG-erytrocytter gitt på blodvarmer. Det resulterte i stigende hemoglobinnivå – fra 6,9 g/100 ml til 10,0 g/100 ml.

    Polymerasekjedereaksjonsundersøkelse (PCR) av nasopharynxsekret var positiv for M. pneumoniae-DNA. Serologiske analyser viste klart forhøyet antistofftiter mot M. pneumoniae, med IgG-antistoff på 595 enheter (positiv > 45 enheter) og IgM-antistoff på 4,56 signal/cut-off (S/CO)-ratio (positiv > 2,0 S/CO-ratio), forenlig med akutt infeksjon. Det ble påvist IgG-antistoff mot Chlamydophila pneumoniae, cytomegalovirus og Epstein-Barr-virus, men ikke IgM-antistoff. Det var ikke vekst i blodkultur. PCR-undersøkelser for C. pneumoniae, influensavirus, parainfluensavirus, adenovirus, RS-virus og humant metapneumovirus var negative.

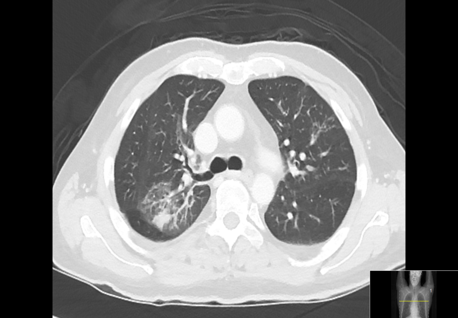
    Det ble utført direkte antiglobulintest (DAT, tidligere kalt direkte Coombs’ test). Polyspesifikk («enkel») direkte antiglobulintest var positiv. Monospesifikk («utvidet») direkte antiglobulintest var positiv på C3d og IgG. For å utelukke malignitet, for eksempel lymfom, ble det tatt CT collum, thorax, abdomen og bekken, som kun viste fortetninger i begge lunger, forenlig med infeksjon (fig 2).

    Positiv polyspesifikk direkte antiglobulintest bekreftet at hemolysen var autoimmunt betinget. Mønsteret ved monospesifikk direkte antiglobulintest med sterk positivitet på komplementprotein C3d styrket mistanken om at den autoimmune hemolytiske anemien var komplementmediert og mest sannsynlig aktivert av IgM-antistoff. Det typiske DAT-mønsteret ved kuldeantistofftypen er positivitet for bare C3d (1–3). Laboratoriet anførte imidlertid mulig falskt positiv reaksjon for IgG på grunn av sterk kuldeantistoffreaksjon.

    I en studie med pasienter med kuldeagglutininsykdom ble det funnet positivitet også for IgG hos inntil 20 % (2). En nyttig bekreftende undersøkelse ville ha vært bestemmelse av kuldeagglutinintiter, men det ble ikke utført på dette tidspunktet. De infeksjonsmedisinske undersøkelsene sannsynliggjorde at den kuldeagglutininmedierte hemolytiske anemien var sekundær til en M. pneumoniae-pneumoni.

    Pasienten fikk totalt 12 dager intravenøs behandling med erytromycin, initialt med fin CRP-respons. CRP-nivået steg på nytt åttende dag etter innkomst.

    Pasienten var vedvarende slapp og hadde spisevegring. Han fikk derfor 15 dager cefotaksimbehandling grunnet mistanke om nosokomial infeksjon, og man var engstelig for at en superinfeksjon kunne forverre en autoimmun hemolytisk anemi.

    Retrospektivt kan man diskutere hvorvidt det var nødvendig med langvarig behandling med bredspektret antibiotikum på dette grunnlaget. Pasienten hadde ikke nye infeksjonssymptomer eller klinisk forverring.

    Det ble ikke sikret nye dyrkningsprøver eller utført ny bildediagnostikk. Mistanken om nosokomial infeksjon ble således ikke bekreftet.

    Grunnet slapphet og spisevegring som tilleggsmoment fikk pasienten ytterligere to enheter SAG-erytrocytter ni dager etter innkomst, på tross av hemoglobinstigning til 8,0 g/100 ml. Hemoglobinverdien steg til 11,4 g/100 ml etter transfusjonen.

    Fra tiende dag av sykehusoppholdet var haptoglobinnivået igjen målbart og totalbilirubinnivået i normalområdet. Laktatdehydrogenase var vedvarende forhøyet, men fallende. Etter dette steg hemoglobinnivået spontant uten ytterligere transfusjoner. I løpet av den tre uker lange sykehusinnleggelsen fikk pasienten altså totalt seks enheter SAG-erytrocytter.

    Fravær av klinisk transfusjonsreaksjon og god hemoglobinstigning viste at pasienten tolererte og nyttiggjorde seg av transfusjonene. Ved transfusjon til pasienter med autoimmun hemolytisk anemi må det utvises varsomhet. Det kreves klinisk erfaring med problemstillingen, godt samarbeid med blodbank og sykepleiere og at man følger spesifikke forholdsregler (4).

    Ved autoimmun hemolytisk anemi av kuldeantistofftype er disse forholdsreglene annerledes enn ved varmeantistofftypen. Ved kuldeantistofftypen er det ofte nødvendig å utføre pretransfusjonsscreening og forlikelighetstest ved 37 oC, slik som hos vår pasient. Det er også viktig å holde pasienten varm under transfusjonen, man må bruke blodvarmer og unngå infusjon i kald ekstremitet (1, 4).

    Ved utskrivning 21 dager etter innkomst var hemoglobinnivået 13,2 g/100 ml. Nivået av haptoglobin, laktatdehydrogenase og totalbilirubin var normalisert. Kontrollserologisk undersøkelse en uke etter utskrivning viste uendrede titre mot M. pneumoniae.

    Fire uker etter utskrivning ble det utført kuldeagglutinintitrering, som viste titer på 64 (referanseområde 0–32). Pasienten var da i god allmenntilstand, hemoglobinnivået var 13,2 g/100 ml og hemolyseprøvene var fortsatt normale, med laktatdehydrogenase 201 U/l, totalbilirubin 5 μmol/ og haptoglobin 1,6 g/l.

    Diskusjon

    Diskusjon

    Denne kasuistikken beskriver en sjelden komplikasjon til M. pneumoniae-infeksjon. Når man påviser anemi, skal man alltid lete etter årsaken. I dette tilfellet dreide det seg om autoimmun hemolytisk anemi, hvor autoantistoffer av kuldeantistofftypen binder seg til erytrocyttenes overflate og forårsaker hemolyse. Autoimmun hemolytisk anemi kan klassifiseres som vist i ramme 1 (1)

    Ramme 1 Klassifisering av autoimmun hemolytisk anemi (1)

    Varmeantistofftype

    Primær

    Sekundær

    Kuldeantistofftype

    Primær kronisk kuldeagglutininsykdom

    Sekundært kuldeagglutininsyndrom

    – Assosiert med malign sykdom

    – Akutt infeksjon

    Paroksysmal kuldehemoglobinuri

    Blandet type

    Vår kasuistikk er et eksempel på kuldeantistofftypen, som utgjør ca. 25 % av alle typene av autoimmun hemolytisk anemi (1, 3). Kuldeagglutininer fører til agglutinering av erytrocytter ved lav temperatur (temperaturoptimum 3–4 oC), men det kan også skje ved høyere temperaturer, avhengig av den termale amplituden. Denne defineres som den høyeste temperaturen der antigen-antistoff-reaksjonen kan finne sted. Kuldeagglutininer er nesten alltid IgM-antistoffer, men en svært sjelden gang av IgG- eller IgA-klasse (2).

    Kuldeagglutininer kan forekomme hos friske mennesker (1, 2). Slike kuldeagglutininer har lav termal amplitude og forårsaker ikke hemolyse (5, 6). Dersom den termale amplituden er høy nok, kan antigen-antistoff-reaksjonen inntre ved fysiologisk kroppstemperatur eller normal avkjøling av blodet i perifere kroppsdeler – kuldeagglutininene er da patogene (1, 4).

    Kuldeagglutininene binder seg oftest til antigener innen I/i-blodgruppesystemet, som finnes på erytrocyttenes overflate hos nesten alle mennesker. Bindingen skjer i perifer sirkulasjon, hvor temperaturen er tilstrekkelig lav til å initiere agglutinering. Hemolysen er komplementmediert.

    Antigen-antistoff-komplekset (IgM bundet til I eller i) binder komplementproteinkompleks C1 på erytrocyttoverflaten. Via aktivering av den klassiske komplementreaksjonsveien dannes store mengder komplementprotein C3b på celleroverflaten. Den påfølgende hemolysen skjer først og fremst via fagocytose av C3b-opsoniserte erytrocytter i det mononukleære fagocyttsystem (tidligere kalt retikuloendoteliale system) i leveren (ekstravasal hemolyse). I mindre utstrekning kan erytrocytter også hemolyseres intravasalt via terminal komplementaktivering (1, 4).

    Ved funn av hemolytisk anemi bør man kartlegge om denne er av autoimmun genese ved hjelp av direkte antiglobulintest. Ofte bruker man først et polyspesifikt reagens, deretter går man videre med monospesifikke reagenser for bestemmelse av immunglobulinklasse og/eller komplementprotein på erytrocyttenes overflate.

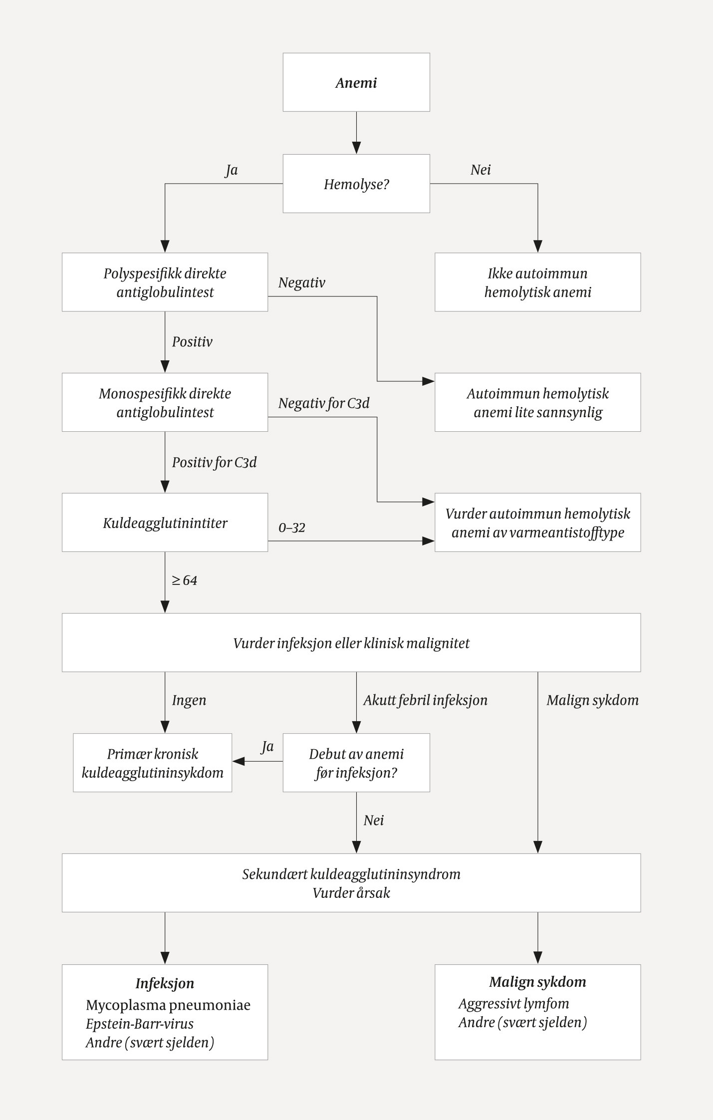
    Ved kuldeantistofftypen er monospesifikk direkte antiglobulintest positiv for C3d, som er et produkt av aktivering av den klassiske komplementreaksjonsveien (1, 4). Ved autoimmun hemolytisk anemi forårsaket av kuldeagglutininer er kuldeagglutinintiteret minst 64, men som oftest mye høyere (1–3). Anamnese, kliniske funn og enkle supplerende undersøkelser er som regel tilstrekkelig for å skille mellom primær kuldeagglutininsykdom og sekundære kuldeagglutininsyndromer (1).

    Det foreligger ingen norske eller internasjonale retningslinjer for utredning av autoimmun hemolytisk anemi, men en oversiktsartikkel som tidligere er publisert i Tidsskriftet, gir god veiledning (4). En diagnostisk algoritme for kuldeantistofftypen er vist i figur 3 (1).

    Primært kronisk kuldeagglutininsykdom skiller seg fra sekundære kuldeagglutininsyndromer ved at det er en klonal, lymfoproliferativ benmargssykdom, der kuldeagglutininene er monoklonale og har spesifisitet for I-antigenet (1). Denne sykdommen omtales ikke nærmere her.

    Sekundært kuldeagglutininsyndrom forekommer sjeldnere enn den primære sykdommen og oppstår som følge av malignitet (særlig aggressive lymfomer) eller spesifikke infeksjoner, oftest M. pneumoniae- eller Epstein-Barr-virusinfeksjoner, i sjeldne tilfeller andre infeksjoner. Ved M. pneumoniae-infeksjon er kuldeagglutininet polyklonalt og har spesifisitet mot I-antigenet, mens man ved Epstein-Barr-virusinfeksjon finner polyklonalt kuldeagglutinin med spesifisitet mot i-antigenet (3, 4).

    M. pneumoniae-infeksjoner er vanligst i vinterhalvåret, med epidemier hvert 4. –6. år i Norge (7). Inkubasjonstiden er 1–3 uker og forløpet ofte langtrukkent, 3–4 uker. Asymptomatiske infeksjoner forekommer, men eldre og immunsupprimerte kan utvikle alvorlig sykdom. M. pneumoniae gir vanligvis et mildt sykdomsforløp, med influensalignende symptomer, feber, sår hals, heshet, hodepine og langvarig tørrhoste, og rundt 10 % av pasientene utvikler pneumoni (7).

    I to norske studier fant man at henholdsvis 2 % og 4 % av samfunnservervede pneumonier som krevde sykehusinnleggelse skyldtes M. pneumoniae (8, 9). M. pneumoniae-infeksjon kan i sjeldne tilfeller i tillegg til autoimmun hemolytisk anemi gi nevrologiske komplikasjoner som encefalitt, myelitt, Guillain-Barrés/Miller-Fishers syndrom og kan ha kardiologiske manifestasjoner som perimyokarditt samt hudmanifestasjoner (10, 11).

    Ved en sykehistorie på under fire uker kan diagnosen stilles ved PCR-undersøkelse av nasopharynxsekret eller halsprøve, mens antistoff kan påvises omtrent to uker etter symptomdebut. Det kan være nødvendig med serumpar tatt med to ukers mellomrom for å påvise serokonversjon eller signifikant stigning i antistoffnivå, men kontrollprøve gir ikke tilleggsinformasjon dersom den tas mer enn fire uker etter sykdomsdebut (7)(12).

    Det ble hos vår pasient tatt kontrollserologisk undersøkelse med antistofftiter mot M. pneumoniae fire uker etter innleggelsen. Dette ga i så måte ikke tilleggsinformasjon. Infeksjoner med M. pneumoniae har ofte et mildt forløp og krever ikke antibiotikabehandling. Ved pneumoni eller andre behandlingstrengende manifestasjoner anbefales erytromycin eller doksysyklin i 7–10 dager (7, 13).

    Kuldeagglutinin ved atypisk pneumoni ble først beskrevet av Peterson og medarbeidere i 1943 (14) og er trolig en del av den fysiologiske immunresponsen ved M. pneumoniae-infeksjon. Før spesifikk diagnostikk var tilgjengelig ble påvisning av kuldeagglutininer brukt som en diagnostisk test, men spesifisiteten var lav.

    Ved M. pneumoniae-pneumoni vil kuldeagglutininet vanligvis ikke gi signifikant hemolyse, men av og til kan man se alvorlig, transfusjonskrevende hemolytisk anemi, som hos vår pasient (1). I en studie med 295 pasienter med autoimmun hemolytisk anemi ble M. pneumoniae eller atypisk pneumoni vurdert som årsak hos 8 % (5).

    Behandling ved sekundært kuldeagglutininsyndrom forårsaket av M. pneumoniae-infeksjon er først og fremst adekvat håndtering av infeksjonen (1). Transfusjon kan gis dersom det er indisert, forutsatt at man følger nødvendige forsiktighetsregler for transfusjon til pasienter med kuldeagglutininmediert hemolytisk anemi, som referert i pasientbeskrivelsen (1, 4).

    Behandling med kortikosteroider er beskrevet i kasuistikker og oversiktsartikler, men det foreligger ingen prospektive studier (1, 15). Kasuistisk dokumentasjon er usikker, siden den hemolytiske anemien likevel helbredes spontant, ofte i løpet av 4–6 uker (1). Medikamentell hemming av den klassiske komplementaktiveringsveien er teoretisk sett lovende og har dokumentert effekt ved primær kronisk kuldeagglutininsykdom, men er foreløpig ikke undersøkt ved sekundært kuldeagglutininsyndrom (16).

    M. pneumoniae-infeksjoner gir vanligvis milde sykdomsforløp, men der sykehusinnleggelse er nødvendig, kan pasienten ha et mer alvorlig sykdomsbilde, slik som vår pasient. Ved uforklart anemi hos slike pasienter bør man umiddelbart vurdere muligheten for kuldeagglutininmediert autoimmun hemolytisk anemi.

    Pasientens verge har gitt samtykke til at artikkelen blir publisert. Vi takker Jetmund Ringstad, avdelingsleder ved Infeksjonsmedisinsk avdeling ved Sykehuset Østfold, for hjelp med manuskriptet.

    Kommentarer  ( 0 )
    PDF
    Skriv ut

    Anbefalte artikler