En ung traumepasient med fem frakturer og multiorgansvikt

    ()

    sporsmal_grey_rgb
    Artikkel

    En mann i slutten av tenårene kolliderte front mot front med et vogntog. Han var våken og orientert før, under og etter traumemottak. Det ble påvist femurfraktur og bilaterale tibia- og fibulafrakturer (crusfrakturer). Pasienten utviklet over få timer respirasjonssvikt, fall i bevissthetsnivå og hjertesvikt.

    En tidligere frisk ung mann var sjåfør i en personbil som kom opp i en front-mot-front-kollisjon med et vogntog. Han brukte bilbelte, og airbagen ble utløst. Han var ikke ruspåvirket. Han hadde en skår på 15 på Glasgow Coma Scale (GCS) da han ble funnet på skadestedet. Ambulanse kom til skadestedet etter 20 minutter, redningshelikopter kort tid etter det. Sjåføren var fastklemt og brannpersonell skar ham ut av bilen.

    Under transport til sykehuset pustet han selv og var våken og orientert. Ved traumemottak to timer etter at ulykken inntraff hadde han frie luftveier, en respirasjonsfrekvens på 25 per minutt og 100 % i oksygenmetning med 10 l/min oksygen på maske. Ved auskultasjon var det sidelike respirasjonslyder, og thorax ble vurdert som stabil, med normale respirasjonsbevegelser.

    Blodtrykket var 134/67 mm Hg, pulsen 116/min regelmessig og GCS-skåren 15. Ved klinisk undersøkelse fant man stabilt bekken, men åpen crusfraktur på høyre side, dislosert crusfraktur på venstre side samt venstresidig femurfraktur. Røntgen thorax og ultralydundersøkelse med Focused Assessment with Sonography in Trauma (FAST) var normale.

    Pasienten ble smertelindret med små doser fentanyl og ketalar i akuttmottaket. CT-undersøkelse viste skaftfraktur i femur på venstre side og bilaterale crusfrakturer (fig 1). CT caput, columna, abdomen og bekken var normale. CT thorax viste små kontusjonsforandringer anterobasalt i venstre lunge.

    Høyenergitraumer utløser traumealarm etter kriterier definert i nasjonal traumeplan (1) – for å stabilisere pasienten og for å avdekke åpenbare og skjulte skader, der blant annet ultralyd abdomen og omfattende CT-undersøkelser inngår.

    Utvikling av tromboembolisme, fettembolisme, akutt lungesvikt, infeksjon eller forsinket blødning kan manifestere seg først etter avsluttet traumemottak (2).

    Direkte etter traume-CT-undersøkelse ble høyre tibia åpent og venstre tibia og femur lukket reponert og eksternt fiksert på operasjonsstuen i generell anestesi. Pasienten var sirkulatorisk og respiratorisk stabil perioperativt. Han våknet etter normal tid, men trengte 4 l oksygen på brillekateter postoperativt og ble flyttet til intensivavdeling etter totalt 2,5 timers operasjonstid.

    Da var han våken og orientert, men hadde amnesi for ulykken.

    Siden pasienten hadde en GCS-skår på 15, normal respirasjon og sirkulasjon og – bortsett fra aktuelle frakturer og minimale kontusjonsforandringer i venstre lunge – normale CT-funn, regnet ikke vaktteamet med alvorlige komplikasjoner postoperativt. Overvåkning etter høyenergitraume er likevel tilrådelig (3), og pasienten ble lagt på høyeste overvåkningsnivå postoperativt.

    Tidlige komplikasjoner etter åpen bruddkirurgi og ekstern fiksasjon inkluderer blødning, dyp venetrombose og fettembolisering (4). Fettemboluser ses hyppigst hos unge mennesker med frakturer i bekken og lange rørknokler eller etter ortopedisk kirurgi (5, 6). Etter initial stabilisering og diagnostikk bør man sikre blødningskontroll, gjennomføre tertiærundersøkelse, gjenta relevante undersøkelser og overvåke pasienten (3).

    Fire timer postoperativt – 11 timer etter traumet – utviklet pasienten økende oksygenbehov og ble oppfattet som cerebralt uklar. Primærvakt intensiv/anestesi ble tilkalt. Respirasjonsfrekvensen var 22/min og oksygenmetningen 90 % på 15 l oksygen på maske med reservoar. Pasienten hadde siden innkomsten frem til dette fått 3,5 l Ringer-acetat intravenøst. Det var knatrelyder over begge lungeflater ved auskultasjon. Pasienten svarte på tiltale med enkeltord.

    Blodgass viste pH 7,36 (7,37–7,45), pCO2 5,8 kPa (4,7–6,0 kPa), pO2 7,4 kPa (>11 kPa), HCO3 24 mmol/l (22–27 mmol/l), baseoverskudd (BE) -1 mmol/l (-2–+3 mmol/l) og laktat 1,5 mmol/l (0,5–1,6 mmol/l). Blodgassen viste hypoksi. Blodgasser tatt tidligere i forløpet var normale.

    Nytt røntgen thorax viste hvite lunger bilateralt. Bevissthetsnivået falt, og det kom opp rødbrunt, skummende ekspektorat fra luftveiene. Ekspektoratet ble fjernet med sug, og pasienten ble støtteventilert på lærdalsbag med reservoar for preoksygenering før intubasjon. Oksygenmetningen falt likevel til 75 %. Primærvakten intuberte pasienten raskt, uten vanskeligheter. Det ble observert kortvarige ekstensjonsspasmer i overekstremitetene under intubering.

    Fall i oksygenmetning og røntgen thorax med «hvite lunger» etter høyenergitraume ga mistanke om utvikling av akutt lungesviktsyndrom (ARDS). Det ses blant annet etter traume, pneumoni eller sepsis (7).

    Behandling inkluderer lungeprotektiv ventilering med positivt endeekspiratorisk trykk, kortikosteroider og eventuelt nitrogenmonoksid og ekstrakorporeal membranoksygenering (ECMO). Differensialdiagnoser er lungeblødning, akutt eosinofil pneumoni, lungeødem og fettembolismesyndrom.

    Pasienten ble lagt i narkose med midazolam og fentanyl og respiratorbehandlet. Etter intubasjon var pupillstørrelsen upåfallende. Det var fortsatt knatrelyder over lungeflatene, men mindre enn før intubasjonen. Blodtrykket var 101/56 mm Hg og pulsen 115/min. Pasienten var hele tiden afebril og hadde ikke petekkier.

    Hemoglobinnivået var 14,5 g/100 ml (13,4–17 g/100 ml), leukocytter 23,8 · 109/l (3,5–11,0 · 109/l), trombocytter 292 · 109/l (130–400 · 109/l), INR 1,5 (< 1,2), APTT (aktivert partiell tromboplastintid) 45 s (30–42 s), CRP 39 mg/l (< 5 mg/l), ALAT 69 U/l (< 70 U/l), ASAT 86 U/l (< 45 U/l), LD (laktatdehydrogenase) 454 U/l (< 205 U/l), troponin I 771 ng/l (< 40 ng/l), kreatinin 67 μmol/l (60–105 μmol/l), myoglobin 1 440 μg/l (< 70 μg/l) og kreatinkinase (CK) 2 839 U/l (50–400 U/l). Fibrinogen var ikke tatt etter forverringen.

    Det ble startet behandling med cefuroksim og metronidazol mot en eventuell aspirasjonspneumoni. To timer etter intubasjonen – 13 timer etter traumet – ble det tatt ny CT caput, som var normal, mens CT thorax viste forandringer forenlig med akutt lungesviktsyndrom. I de følgende timene måtte respiratorinnstillingene økes med økt trykkstøtte, høye endeeksporatoriske trykk og 75 % oksygen for å oppnå tilfredsstillende oksygenering. Det kom opp skummende, lyserødt ekspektorat på tuben.

    Pasienten ble muskelrelaksert på grunn av mye diafragmabevegelse og problemer med å oppnå tilfredsstillende ventilasjon. Fire timer etter intubasjonen ble han hypotensiv, med blodtrykk 90/50 mm hg og puls 110/min. EKG viste sinustakykardi. Kreatininnivået steg til 115 μmol/l, og timediuresen avtok fra 60 ml/t til 10 ml/t.

    I tillegg til pågående infusjon med Ringer-acetat 150 ml/t ble det startet noradrenalininfusjon på grunn av hypotensjon. Det ble gitt 60 mg metylprednisolon mot akutt lungesviktsyndrom. Pasienten utviklet til tross for dette progredierende respirasjonssvikt. Ny blodgass viste pH 7,30 (7,37–7,45), pCO2 6,0 kPa (4,7–6,0 kPa), pO2 8,1 kPa (> 11 kPa), HCO3 23 mmol/l (22–27 mmol/l), BE -4 mmol/l (-2–+3 mmol/l) og laktat 2,4 mmol/l (0,5–1,6 mmol/l), forenlig med metabolsk acidose.

    Behandlende intensivteam mistenkte på dette tidspunktet hjertesvikt på grunn av kontusjon av hjertet med troponinutslipp etter høyenergitraume hos en tidligere hjertefrisk pasient. Man vurderte også om akutt lungesvikt kunne gi høyresidig hjertesvikt.

    Kardiolog ble tilkalt for ekkokardiografi, som viste nedsatt kontraktilitet i venstre ventrikkel med en ejeksjonsfraksjon på 35 % samt lett dilatert og svekket høyre ventrikkel. Det var ikke atrieseptumdefekter eller perikardvæske. Kardiolog beskrev svekket venstre ventrikkel som hovedfunn. Det var usikkert om årsaken var kontusjon av hjertet eller systemisk inflammatorisk reaksjon. Noradrenalininfusjonen ble økt til 0,5 μg/kg/min og dobutamin 2,5 μg/kg/min lagt til. Hypotensjon, hjertesvikt og nyresvikt ble tolket som forårsaket av kontusjonen av hjertet.

    På grunn av samtidig hjerte- og lungesvikt i forverring besluttet man å forberede overflytting av pasienten til universitetssykehus, blant annet for å kunne gi ekstrakorporeal membranoksygenering. Ny klinisk undersøkelse viste sidelike pupiller på 2 mm i diameter og normal lysreaksjon. Det var da gått 17 timer siden traumet.

    Når man til tross for medikamentell behandling og optimalisert respiratorbehandling ikke oppnår adekvat oksygenering, kan ekstrakorporeal membranoksygenering være indisert i behandlingen av akutt lungesviktsyndrom (7). Syndromet i seg selv og samtidig høyt intratorakalt trykk på grunn av respiratorbehandling gir økt risiko for akutt hjertesvikt (8).

    Akutt hjertesvikt etter traume kan skyldes kontusjon av myokard eller (sjeldnere) hjerteinfarkt på grunn av skade på koronarkar eller hjertesvikt sekundært til lungeskader (9–11). Her vurderte man at hjertesvikten skyldtes kontusjon av myokard. Man vurderte infarktutvikling som lite sannsynlig på grunn av pasientens unge alder.

    Kort tid etter at overflytting til universitetssykehus var bestemt – 18 timer etter traumet – oppdaget man ved ny klinisk undersøkelse at pasienten hadde utviklet lysstive, dilaterte pupiller. CT caput ble utført for tredje gang i forløpet og viste nå uttalt hjerneødem. Kirurgisk mellomvakt kontaktet nevrokirurg ved universitetssykehuset, og intensivlegene begynte behandling med hypertont saltvann og mannitol i et forsøk på å begrense utviklingen av hjerneødem. CT caput med angiografi viste imidlertid opphørt sirkulasjon i hjernen. Familien samtykket til organdonasjon.

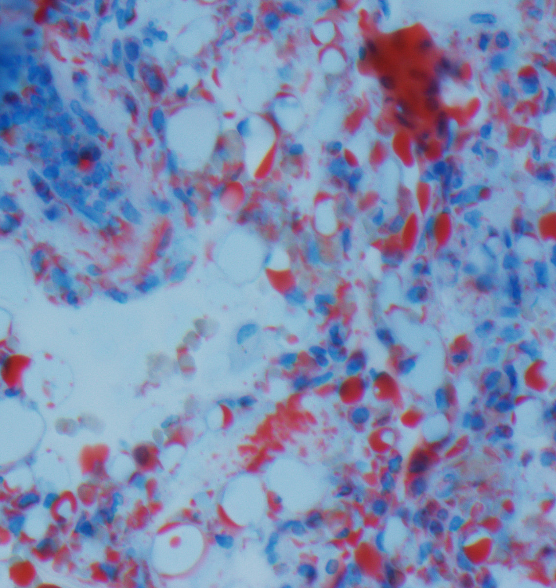
    Transplantasjonsteamet fant makroskopiske infarkter i hjertet og tett foramen ovale. Nyrer, lever, pancreas og blodkar ble benyttet. Rettsmedisinsk obduksjon med histopatologisk spesialfarging viste utbredte fettemboluser i lungene og hjernen (fig 2). Fettembolismesyndrom ble oppgitt som sannsynlig dødsårsak.

    Diskusjon

    Diskusjon

    Fettembolismesyndrom gir respirasjonssvikt, petekkier, bevissthetsforstyrrelser og blodtrykksfall, og inflammasjon sekundært til fettembolisering har stor patofysiologisk betydning (12–15). Fettemboluser får tilgang til venesystemet ved brudd eller under kirurgi. Derfra går de via høyre hjertehalvdel til lungekarsengen. Der aktiveres en mer eller mindre kraftig immunrespons. Noen fettemboluser vil shuntes over til systemisk sirkulasjon via anatomiske shunter. Åpent foramen ovale er ikke nødvendig (16–20).

    Fettembolismesyndrom ses oftest etter frakturer i bekkenet eller de lange rørknoklene og etter ortopedisk kirurgi (5, 6), men også etter fettsuging (21–23). I en studie med 50 pasienter hadde ni av ti traumepasienter fettemboluser i lungekretsløpet postmortalt (12). Siden bare de som døde av traumet ble undersøkt for fettemboluser, kan dette være en overrapportering. Insidenstall basert på kliniske kriterier for fettembolismesyndrom varierer fra 1 % til 30 % (13–16), (24).

    Fettembolusene kan også føre til hjerteinfarkt. Under ortopedisk kirurgi kan de visualiseres med transøsofageal ekkokardiografi, men visualiserte fettemboluser korrelerer i liten grad med utvikling av kliniske symptomer (16, 25).

    Cerebrale fettemboluser gir et inflammatorisk hjerneødem (26). CT caput er oftest normal, mens MR-undersøkelse viser hyperintense lesjoner i «stjernemønster» (27). Intrakranial trykkmonitorering og dekompresjon har reddet noen (26), men ved alvorlig fettembolismesyndrom dør 5–15 % (28–30). I påvente av transport til nevrokirurgisk avdeling kan ultralydbestemmelse av n. opticus’ diameter trolig vise om det intrakraniale trykket er økt, det kan styre behandlingen og stille indikasjon for rask overflytting til universitetssykehus (31).

    Fettembolismesyndrom kan gi milde symptomer, som lett forvirring, forbigående respirasjonssvikt og kortvarig endret hemodynamikk, eller mer alvorlige symptomer, som dem som er nevnt over (12–15). De fleste pasienter med fettemboluser etter brudd i de lange rørknoklene er trolig asymptomatiske (15, 27). Ved milde symptomer er det sannsynlig at disse tilskrives mer vanlige eller mer kjente tilstander, og at fettembolismesyndrom er underdiagnostisert.

    Symptomene ved fettembolismesyndrom kan også forveksles med allergi, anafylaksi, lungekontusjon, lungeødem og hjernerystelse. Å påvise syndromet krever at man aktivt tenker på tilstanden som en komplikasjon og ved mistanke utfører MR caput. Behandlingsalternativene ved alvorlig fettembolismesyndrom er få, men organstøttende behandling og mulighet for nevrokirurgisk overvåkning og avlastning kan være livreddende (26).

    Konklusjon

    Konklusjon

    Fettembolisering hos traumepasienter er vanlig, men nevrologiske symptomer er sjeldnere. Unge mennesker med brudd i de store rørknoklene er spesielt utsatt. Det er grunn til å tro at ikke alle som har sirkulerende fettemboluser utvikler symptomer eller kliniske tegn.

    Bevissthetsreduksjon hos en initialt klar og våken pasient bør imidlertid høyne mistanken om cerebralt fettembolismesyndrom. Idet fettembolusene når venstre ventrikkel, kan embolisering og påfølgende inflammasjon gi hjerteinfarkt og hjerneødem. Dersom intubasjon og sedering er påkrevd, bør nevrokirurgisk overvåkning vurderes. MR caput er eneste modalitet som kan påvise embolusene.

    Pasientens pårørende har samtykket til at artikkelen blir publisert.

    Vi takker bildediagnostisk avdeling for tillatelse til bruk av tredimensjonalt CT-bilde.

    Kommentarer  ( 0 )
    PDF
    Skriv ut

    Anbefalte artikler