En kvinne i 60-årene med diaré og leddsmerter

    ()

    sporsmal_grey_rgb
    Artikkel

    Vi beskriver her en pasient som i mange år var blitt behandlet med immunsuppressiver for antatt seronegativ revmatoid artritt, uten tilfredsstillende sykdomskontroll. Fravær av leddestruksjon kombinert med klinisk forverring under pågående immunsuppresjon og spesifikke ekstraartikulære symptomer ledet mistanken mot en sjelden, men viktig differensialdiagnose.

    En kvinne i 60-årene med antatt seronegativ, ikke-destruktiv revmatoid artritt ble innlagt for øyeblikkelig hjelp i nevrologisk avdeling etter ett døgns sykehistorie med synsfeltutfall og nedsatt motorikk i venstre kroppshalvdel. Ved innkomst var hun våken og klar. Klinisk undersøkelse viste venstresidig homonym hemianopsi samt venstresidig hemiataksi med intakt kraft og sensibilitet. Ved øvrig organundersøkelse var det upåfallende funn. CT caput viste et subakutt infarkt i forsyningsområdet til høyre arteria cerebri posterior, godt forenlig med pasientens nevrologiske utfall. Grunnet symptomvarighet over 4,5 timer var hun ikke kandidat for trombolytisk behandling.

    De vanligste årsakene til iskemiske hjerneslag er aterosklerose og emboliske hendelser. Sistnevnte skyldes oftest arytmibetinget kardioemboli. Kronisk hypertensjon er assosiert med subkortikale (lakunære) infarkter. Andre årsaker til iskemiske hjerneslag inkluderer sirkulasjonssvikt med cerebral hypoperfusjon, arteriedisseksjon, fibromuskulær dysplasi, venetrombose, vasospasme og vaskulitt.

    Utredning under innleggelsen avdekket ikke bakenforliggende årsak til pasientens hjerneinfarkt. Ultralyd av precerebrale arterier viste ingen signifikante stenoser. Transtorakal ekkokardiografi viste upåfallende hjerteaksjon uten intrakardiale trombemasser eller valvulære vegetasjoner. EKG og 24-timers Holter-monitorering viste normofrekvent sinusrytme, og anamnestisk forelå ingen palpitasjoner, svimmelhet eller anstrengelsesintoleranse som pekte i retning av paroksysmal arytmi. Trombofiliutredning, inkludert antikardiolipin- og anti-β2-glykoprotein antistoffer, var negativ. Rutineblodprøver viste leukocytter 17,1 (3,9–10,4 · 109/l), CRP 102 (< 7 mg/l) og senkningsreaksjon 49 (< 30 mm/t), som ble antatt å være forårsaket av hennes revmatoide artritt.

    Under innleggelsen ble det startet rehabilitering med ergo- og fysioterapi. Pasienten viste tilfredsstillende bedring og hadde ingen sekveler bortsett fra venstresidig homonym hemianopsi. Ved utskrivning ble det startet sekundærprofylakse i form av dipyridamol, acetylsalisylsyre og simvastatin.

    To uker senere ble hun igjen innlagt for øyeblikkelig hjelp i nevrologisk avdeling grunnet forbigående høyresidige synsforstyrrelser. Ved innkomst var pasientens tilstand upåfallende, og nevrologisk undersøkelse avdekket ingen nytilkomne fokalnevrologiske utfall. Det ble gjennomført diffusjonsvektet MR cerebri som viste et ferskt infarkt i venstre oksipitallapp. Cerebral angiografi viste åpne kar. Hennes nylige iskemiske infarkt i kontralaterale hemisfære var en kontraindikasjon for trombolysebehandling, og pasienten ble innlagt for observasjon.

    Pasienten hadde altså iskemiske hjerneinfarkter i to forskjellige cerebrovaskulære forsyningsområder, hvorav det siste oppsto under adekvat sekundærprofylakse. I lys av hennes bakenforliggende, noe uklare inflammatoriske sykdom og manglende forklaring på cerebrale hendelser ble pasienten henvist til Seksjon for klinisk immunologi med spørsmål om vaskulitt med cerebrovaskulær affeksjon.

    Pasientens seronegative revmatoide artritt var diagnostisert og behandlet ved et annet sykehus. I over ti år hadde hun forsøkt en rekke sykdomsmodifiserende medikamenter, inkludert metotreksat, leflunomid, sulfasalazin, etanercept og certolizumab. Alle hadde blitt seponert grunnet bivirkninger eller forverring av leddsmerter og allmenntilstand. Ved henvisningstidspunktet brukte hun prednisolon samt slagprofylakse forskrevet av nevrolog.

    Ved ankomst Seksjon for klinisk immunologi var pasienten afebril, avmagret og i nedsatt allmenntilstand. Hun beskrev migrerende leddsmerter gjennom flere år, men hadde ikke bemerket hevelse eller varme over leddene. Derimot var hun plaget av betydelig sykdomsfølelse, utmattelse og diffuse muskelsmerter i proksimale og distale muskelgrupper. De siste fire årene var det av fastlege og revmatolog bemerket vedvarende forhøyede verdier av CRP (> 100 mg/dl) og senkningsreaksjon (> 40 mm/t), selv i perioder med subjektivt beskjedne symptomer. Dette var blitt tilskrevet aktivitet i hennes leddsykdom. Blodprøver ved innkomst viste hemoglobin 9,1 (11,6–15,5 g/dl) og albumin 21,0 (36–45 g/l), med vesentlig uendrede verdier for leukocytter, CRP og senkningsreaksjon. Nyre- og leverprøver var normale. Serum-proteinelektroforese viste et mønster som ved en aktiv inflammatorisk prosess. Immunglobuliner var i normalområdet. Ved undersøkelse fant man ingen artritter eller synovitter i aktuelle ledd. Røntgen av hender og føtter viste ingen bruskødeleggelse eller benerosjon. Det var ingen vaskulittsuspekte hudlesjoner som petekkier eller nekrotiserende sår. Hun var ikke palpasjonsøm over temporalisarteriene og beskrev ingen hodepine eller kjeveclaudicatio. Ultralyd og biopsi av temporalisarteriene ga ikke holdepunkt for kjempecellearteritt. Antistoff mot proteinase 3 (PR3) og myeloperoksidase (MPO), som kan være forhøyet ved enkelte alvorlige former for vaskulitt, var i normalområdet. CT av totalaorta med intravenøs kontrast ga ikke holdepunkt for storkarsvaskulitt, men som bifunn ble det bemerket multiple, bilaterale perifere lungeembolier samt forstørrede mesenteriale lymfeknuter.

    Mesenterial lymfadenopati kan skyldes infeksjon, lymfoproliferativ sykdom, malignitet eller inflammatoriske tilstander som pannikulitt, inflammatorisk tarmsykdom, systemisk lupus erythematosus og vaskulitt. Lymfeknutene lå ikke tilgjengelig for ultralydveiledet biopsi.

    For å utelukke infeksiøs eller inflammatorisk tarmsykdom ble det rekvirert avføringsprøver. Det var ingen funn av tarmpatogene bakterier, egg eller parasitter. Fekal kalprotektin-verdien var i normalområdet, noe som talte imot inflammatorisk tarmsykdom.

    Utredningen hadde så langt vist iskemiske hjerneinfarkter, lungeembolier og mesenterial lymfadenopati, og det forelå biokjemiske holdepunkter for uttalt inflammasjon. Det var for øvrig ingen sikre radiologiske, histologiske eller immunserologiske holdepunkter for vaskulitt. Ved mistanke om vaskulitt kan utredningen suppleres med positronemisjonstomografi (PET)-undersøkelse. Denne undersøkelsen var ikke tilgjengelig ved vårt sykehus på dette tidspunktet, og pasienten ble derfor henvist med høy prioritet til et annet helseforetak for helkropps PET-undersøkelse. Grunnet lungeembolier startet man antikoagulasjonsbehandling med warfarin.

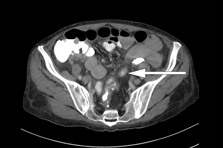
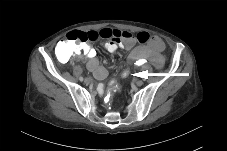
    Én uke senere, i påvente av PET-undersøkelsen, ble pasienten reinnlagt grunnet diaré. Hun beskrev 6–8 vanntynne tømminger daglig uten synlig slim eller blod. Diareen var ledsaget av kvalme, men ikke oppkast eller magesmerter. Det var ingen relevant reise- eller medikamentanamnese, og ingen i omgivelsene hadde tilsvarende symptomer. Regranskning av CT-undersøkelsen fra forrige innleggelse viste, foruten mesenterial lymfadenopati, veggfortykkede tynntarmssegmenter (fig 1). Ved nærmere anamnese beskrev pasienten periodevis vanntynn/grøtaktig diaré de siste tre månedene samt 8 kg vekttap. Blodprøver viste INR 6,6 og reduksjon i serumalbumin fra 21,0 g/dl til 14,0 g/dl.

    Årsaker til hypoalbuminemi inkluderer underernæring, nedsatt albuminproduksjon (leversvikt, systemisk inflammasjon) eller økt albuminutskilling (proteinuri, proteintapende enteropati). Pasienten hadde et adekvat proteininntak, normale leverprøver og normal albumin/kreatininratio i urinen. Til tross for at pasienten hadde betydelig og langvarig systemisk inflammasjon kunne man ikke utelukke at det i tillegg forelå økt albuminutskilling fra tarmen. Mistanken om malabsorpsjon ble støttet av supraterapeutisk INR som kunne reflektere vitamin K-mangel.

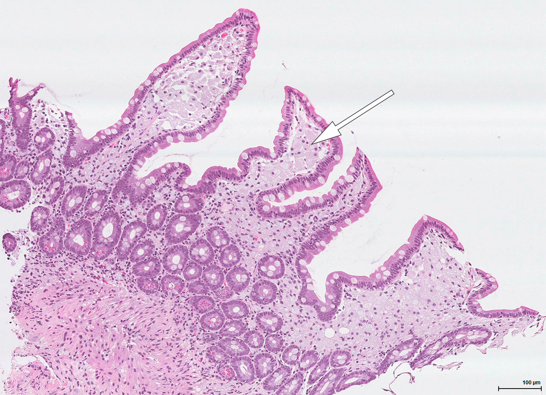
    Konstellasjonen av migrerende leddsmerter og synovitter over flere år uten utvikling av radiologiske artrittforandringer, kombinert med intermitterende diaré og proteintapende enteropati gjorde at vi mistenkte Whipples sykdom, en sjelden infeksjonssykdom forårsaket av den grampositive bakterien Tropheryma whipplei. Pasienten ble henvist til gastroskopi og kapselendoskopi av tynntarm som viste betydelig inflammasjon med erosjoner, hemoragiske slimhinner og diffus lymfangiektasi (fig 2) (fig 3). Duodenalbiopsier viste breddeøkte totter og akkumulering av skummakrofager med periodisk syre-Schiff (PAS) diastasepositive granulære inklusjoner i cytoplasma (fig 4) (fig 5). Både de makroskopiske og histopatologiske funnene var godt forenlig med Whipples sykdom. PCR utført etter DNA-ekstraksjon fra parafininnstøpt tarmbiopsi var positiv for T. whipplei for to separate målgener (varmesjokkprotein og 16S rRNA). Sekvensering av 16S rDNA PCR-produktet bekreftet T. whipplei. Pasientens ikke-destruktive seronegative artritt, diaré, malabsorpsjon og utmattelse ble antatt å representere manifestasjoner av Whipples sykdom. Iskemiske slag og lungeembolier er beskrevet hos pasienter med Whipples sykdom, og sykdommen representerte en plausibel årsak til pasientens hittil uforklarlige trombosetendens (1),( 2).

    Pasienten ble behandlet med 14 dagers intravenøs ceftriakson med overgang til peroral trimetoprim-sulfametoksasol med 12 måneders planlagt behandlingstid. Pasienten rapporterte en rask og betydelig klinisk respons med bedring av utmattelse og myalgi, og hun var i god allmenntilstand da hun ble skrevet ut. Ved ni måneders kontroll hadde pasienten en tilfredsstillende vektøkning og normaliserte verdier av hemoglobin og inflammasjonsmarkører.

    Diskusjon

    Diskusjon

    Revmatoid artritt er en kronisk inflammatorisk leddsykdom som kjennetegnes av symmetrisk perifer polyartritt med varierende grad av leddestruksjon. De fleste pasientene har forhøyede nivåer av revmatoid faktor og antisyklisk citrullinert peptid-antistoff (ACPA). Revmatoid artritt uten forhøyelse av disse autoantistoffene omtales som seronegativ.

    Ved mistanke om revmatoid artritt bør pasienten henvises til spesialist. I utredningen er det avgjørende å utelukke andre årsaker til symmetrisk perifer polyartritt. Dette inkluderer blant annet viral polyartritt (som kan ses ved blant annet parvovirus B19- eller hepatitt B-virusinfeksjon), systemiske immunopatier (som systemisk lupus erythematosus og primært Sjögrens syndrom), seronegative spondyloartropatier (som psoriasisartritt og tarmassosiert artritt), polymyalgia rheumatica og remitterende seronegativ symmetrisk synovitt med pittingødem (RS3PE). Revmatoid artritt behandles med sykdomsmodifiserende medikamenter med immunsuppressiv eller immunmodulerende effekt, som metotreksat, leflunomid og sulfasalazin, og ved utilfredsstillende effekt supplert med biologiske medikamenter.

    Da denne pasienten ble diagnostisert med seronegativ revmatoid artritt, hadde hun symmetrisk perifer polyartritt. Revmatoid faktor og antisyklisk citrullinert peptid-antistoff var negative, og det var ingen sikre holdepunkter for nevnte differensialdiagnoser.

    Whipples sykdom, en sjelden infeksjonssykdom forårsaket av T. whipplei, er en uvanlig, men viktig differensialdiagnose hos pasienter med inflammatorisk seronegativ artropati. Tilstanden er oppkalt etter George Whipple, som i 1907 beskrev det første kjente tilfellet: en pasient med artritt, diaré og vekttap, hvor man ved obduksjon fant lipidansamlinger i tynntarmsslimhinnen og i mesenteriale lymfeknuter. Whipples sykdom har en anslått insidens på 0,4 per million per år (3). Det har kun blitt beskrevet om lag 1 000 tilfeller på verdensbasis, hvorav de fleste er menn av europeisk opphav (4). Gjennomsnittsalderen ved diagnosetidspunktet er 55 år (5). Tilstanden er tidligere beskrevet i Tidsskriftet (3).

    T. whipplei er en hyppig forekommende, intracellulær grampositiv aktinobakterie. Den finnes i jord, kloakk og kontaminert drikkevann og smitter sannsynligvis oralt. De fleste individer som eksponeres for T. whipplei utvikler ikke sykdom, da de har en potent immunrespons som effektivt eradikerer bakterien. Denne immunresponsen innebærer et samarbeid mellom makrofager og T-hjelpeceller av Th1-subtypen (Th1-celler), celletypene som er best egnet til å bekjempe intracellulære bakterier slik som T. whipplei. Makrofagene produserer cytokinet IL-12, som stimulerer Th1-cellene, som i sin tur skiller ut cytokinet IFN-γ som aktiverer makrofagene. Resultatet er en positiv tilbakekoblingsmekanisme som fører til oppregulering av begge celletypene og fremmer destruksjon av intracellulære bakterier i makrofagene.

    Én hypotese er at klassisk Whipples sykdom oppstår hos pasienter som har en eller flere immundefekter som påvirker kommunikasjonen mellom og/eller funksjonen til disse to celletypene (4),(5). Det er observert flere elementer assosiert med en suboptimal immunrespons hos pasienter med klassisk Whipples sykdom, inkludert redusert antall T-hjelpeceller med polarisering mot Th2-subtype (fremfor en mer adekvat Th1-respons), samt lave nivåer av både IFN-γ og IL-12 (4). Makrofagene differensieres til en alternativ fenotype (M2) som produserer IL-10. Denne virker antiinflammatorisk og forsterker Th2-polariseringen (5),(6).

    Konsekvensen av immundefekten er at makrofagene har bevart evne til fagocytose, men de klarer ikke å bryte ned bakterien i fagolysosomene. Som et resultat replikerer T. whipplei inne i makrofagene, noe som fører til intracellulær opphopning av bakterieprodukter i makrofagene (5). Påfølgende apoptose gjør at bakterien så spres til nærliggende makrofager. På denne måten etableres infeksjonen i duodenalmucosa, hvor man finner store ansamlinger av bakterieholdige makrofager. Den dysfunksjonelle immunresponsen reduserer makrofagenes evne til å tilkalle andre typer immunceller, og det ses derfor påfallende få lymfocytter i affisert vev (6).

    En mulig immundefekt kan forklare diskrepansen mellom den høye forekomsten av T. whipplei og den lave insidensen av Whipples sykdom (5, 6). En slik defekt kan tenkes å være spesifikk for T. whipplei, og pasientene har derfor som regel ikke økt forekomst av, eller risiko for, andre infeksjoner (6). Det er usikkert om immundefekten er medfødt eller ervervet. Genetiske assosiasjoner inkluderer HLA-allelene DRB1*13 og DQB1*06, som kan redusere en optimal antigenpresentasjon, og IL-16-polymorfismer som bidrar til Th2-polarisering og makrofagdysfunksjon (5),(6). Hivinfeksjon og medikamentell immunsuppresjon er også assosiert med Whipples sykdom (5),( 6). Siden T. whipplei må regnes som en opportunistisk bakterie, virker det plausibelt at immunsupprimerte pasienter både kan bli infisert og oppleve forverringer av Whipples sykdom ved økt immunsuppresjon.

    Klassisk Whipples sykdom kjennetegnes av artropati og gastrointestinale symptomer. Pasientene har som regel en prodromalfase med migrerende, ikke-destruktiv perifer polyartritt eller artralgi før de utvikler diaré, malabsorpsjon og vekttap (4). Pasientene kan ha magesmerter og mesenterial lymfadenopati (5). Den prodromale fasen varer gjerne i flere år (4) og kan feiltolkes som seronegativ revmatoid artritt.

    Gastrointestinale symptomer kan debutere tidligere hos immunsupprimerte pasienter (6), og det er beskrevet tilfeller av raskt innsettende diaré etter oppstart av sykdomsmodifiserende medikamenter for antatt seronegativ revmatoid artritt hos pasienter med Whipples sykdom. Det er argumentert for at Whipples sykdom bør inkluderes i listen over tilstander som skal utelukkes før pasienter får diagnosen seronegativ revmatoid artritt. Likeledes bør pasienter med seronegativ artritt som ikke responderer (eller blir verre) under immunsuppresjon, utredes for Whipples sykdom (6).

    Whipples sykdom kan gi en rekke forskjellige manifestasjoner (tab 1) (3),( 5). Affeksjon av sentralnervesystemet ses hos 15 %, med kognitiv dysfunksjon som det vanligste symptomet. Iskemiske slag er beskrevet i kasuistikker og er antatt å være forårsaket enten av dyrkningsnegativ endokarditt med cerebrale embolier eller cerebrovaskulær inflammasjon med arteriell fibrose (2). Etiologien bak vår pasients iskemiske slag forble ukjent, men man kan ikke utelukke en relasjon til Whipples sykdom. I retrospektivt lys kunne pasienten med fordel ha blitt spinalpunktert som ledd i utredningen av hjerneslag og forhøyede inflammasjonsmarkører, men dette ble ikke gjennomført. Etter diagnosetidspunktet ble det vurdert spinalpunksjon for å vurdere affeksjon av sentralnervesystemet, men man valgte å avstå fra dette, da det ikke ville fått behandlingsmessig konsekvens. Den planlagte PET-undersøkelsen ble avbestilt, da man hadde funnet en plausibel årsak til pasientens symptomer.

    Tabell 1

    De vanligste symptomer og funn ved Whipples sykdom. Hentet fra Eriksen og medarbeidere (3)

    Symptomer

    Prosent

    Hovedsymptomer

    Vekttap

    90

    Artralgi

    85

    Diaré

    75

    Magesmerter

    60

    Andre symptomer og funn

    Anemi

    75–90

    Artritt

    70–90

    Feber og nattesvette

    45

    Lymfadenopati

    40–50

    Hyperpigmentering

    40–60

    Kardiale manifestasjoner

    35–65

    Lungeaffeksjon

    35–60

    Affeksjon av sentralnervesystemet

    20–30

    Øyeaffeksjon

    5–15

    Splenomegali

    5–10

    Klassisk Whipples sykdom diagnostiseres på bakgrunn av øvre endoskopi, duodenalbiopsier og PCR-undersøkelse. Gastroskopi kan vise ødematøse slimhinner med erosjoner og lymfangiektasi. Lymfangiektasien skyldes akkumulering av makrofager i lymfekarene, med resulterende lymfestase. Allikevel er det viktig å være klar over at de fleste pasientene har makroskopisk normal tynntarmsslimhinne, så biopsier anbefales selv ved upåfallende gastroskopi (5). Multiple biopsier øker sensitiviteten (6). Kapselendoskopi av tynntarm kan brukes for å kartlegge sykdomsutbredelsen. Mikroskopering av duodenalbiopsi viser akkumulering av skummakrofager med PAS-positive intracellulære inklusjoner. Det PAS-diastase-positive materialet svarer til bakteriekapselen som inneholder mykopolysakkarider. Andre årsaker til PAS-positive makrofagansamlinger i tynntarm er blant annet mykobakterieinfeksjon, avleiringssykdommer og langerhanscelle-histiocytose. Disse differensialdiagnosene kan avkreftes med tilleggsundersøkelser.

    Førstelinjebehandling ved Whipples sykdom består av 14 dagers intravenøs ceftriakson, etterfulgt av 12 måneders peroral trimetoprim-sulfametoksazol (5). De fleste pasienter har rask og betydelig behandlingsrespons, og de gastrointestinale symptomene forsvinner gjerne i løpet av dager eller uker. Leddsymptomene kan vedvare noe lenger. Akkumuleringen av makrofager i lamina propria består etter behandling, men de intracellulære PAS-diastase-positive inklusjonene forsvinner. Det er anbefalt duodenalbiopsier 6 og 12 måneder etter diagnosetidspunktet for å vurdere behandlingsrespons.

    Residivraten er omdiskutert, men anslått til om lag 20 % (6). Residiv med symptomer fra sentralnervesystemet er assosiert med dårlig prognose, med en fireårsmortalitetsrate rundt 25 %. Ved residiv bør man vurdere alternative medikamentregimer, som kombinasjonsbehandling med hydroksyklorokin og doksycyklin (5).

    Pasienten har gitt samtykke til at artikkelen blir publisert.

    Forfattergruppen ønsker å takke Professor Kåre Bergh, overlege ved Avdeling for medisinsk mikrobiologi ved St. Olavs hospital for hjelp til å gjennomføre og analysere PCR-undersøkelsen.

    Kommentarer  ( 0 )
    PDF
    Skriv ut

    Anbefalte artikler