03.03.2005:
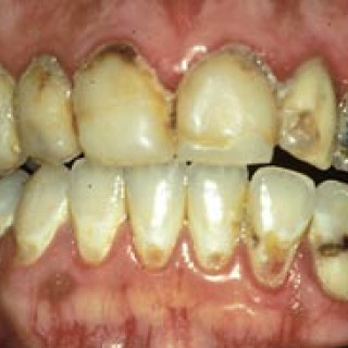
Spytt, saliva, har mange funksjoner (ramme 1), og munntørrhet kan være ødeleggende, ikke bare for oral helse og velvære, men også for den generelle livskvalitet. Likevel oppfatter mange, også leger, dessverre munntørrhet som en banal plage. Noen av spyttets funksjoner Beskytter munnslimhinne og tenner mot mekaniske, kjemiske og infeksiøse skader og angrep Virker antimikrobielt, bl.a. via enzymer, immunglobulin A, laktoperoksidase og histatiner Motvirker karies ved å fjerne matrester, bufre tannplakkproduserte syrer og remineralisere begynnende karieslesjoner «Smører» munnen slik at det blir...