Medikamenter og munntørrhet

    ()

    sporsmal_grey_rgb
    Abstract

    Spytt inneholder tallrike komponenter som beskytter munnslimhinnen og tennene. Sviktende spyttsekresjon disponerer for orale sykdommer og lidelser. Flere kvinner enn menn plages av munntørrhet, og prevalensen tiltar med alderen. Medikamenter er den vanligste årsaken til munntørrhet. Her beskrives tiltak for å lindre subjektive plager og motvirke skader i munn og svelg.

    Artikkel

    Spytt, saliva, har mange funksjoner (ramme 1), og munntørrhet kan være ødeleggende, ikke bare for oral helse og velvære, men også for den generelle livskvalitet. Likevel oppfatter mange, også leger, dessverre munntørrhet som en banal plage.

    Noen av spyttets funksjoner

    • Beskytter munnslimhinne og tenner mot mekaniske, kjemiske og infeksiøse skader og angrep

    • Virker antimikrobielt, bl.a. via enzymer, immunglobulin A, laktoperoksidase og histatiner

    • Motvirker karies ved å fjerne matrester, bufre tannplakkproduserte syrer og remineralisere begynnende karieslesjoner

    • «Smører» munnen slik at det blir lettere å tygge, svelge og tale. Også viktig for smakssans og smaksopplevelser

    • Tjener som bærer av næringsstoffer og fordøyelsesenzymer

    Spyttsekresjon og munntørrhet

    Spyttsekresjon og munntørrhet

    Munntørrhet er ikke et entydig begrep. Det bør skilles mellom xerostomi og hyposalivasjon. Xerostomi er den subjektive følelsen av å være tørr i munnen. Hyposalivasjon innebærer en målbar reduksjon av spyttproduksjonen. Ofte sammenfaller de to tilstandene, men ikke alltid (1, 2). Normalt utskilles 0,5 – 1,5 liter spytt i døgnet, ca. 40 % under måltider, resten som «hvilesaliva». Normal sekresjon av hvilesaliva er ca. 0,3 ml/min om dagen, om natten ca. 0,1 ml/min.

    Kolinerg stimulering gir voluminøs serøs sekresjon fra glandulae parotis og submandibularis. Adrenerg stimulering gir mindre og mukøst sekret, hovedsakelig fra glandulae submandibularis og sublingualis, samt fra de små spyttkjertlene i munnslimhinnen. Dette sekretet er rikt på glykokonjugater med vann og mucin. Det danner en tynn salivafilm som beskytter tennene og slimhinnene i munn, pharynx og oesophagus. Xerostomi skyldes stort sett reduksjon i den kontinuerlige sekresjon av mucinrikt sekret.

    Mange mennesker plages av munntørrhet. I en svensk spørreundersøkelse anga 21 % menn og 27 % kvinner at de vanligvis følte seg tørre i munnen. Prevalensen varierte fra 10 % hos ikke-medisinerte 30-årige menn til 44 % hos medisinerte 60-årige kvinner (1). Det er vist at bekreftende svar på minst ett av de fem følgende spørsmål korrelerer med redusert spyttsekresjon (3): Føler du deg vanligvis tørr i munnen? Føler du deg tørr i munnen når du spiser? Har du problemer med å svelge tørr mat? Må du drikke litt for å svelge tørr mat? Er det for lite spytt i munnen storparten av tiden, eller merker du det ikke?

    Opioidet tramadol er ett eksempel på svak korrelasjon mellom xerostomi og hyposalivasjon. Tramadol, som angis å gi munntørrhet hos mindre enn 10 % av pasientene, reduserte i en dobbeltblind placebokontrollert studie spyttvolumet med over 40 % hos 80 % av forsøkspersonene (4). Det var ingen korrelasjon mellom følelsen av munntørrhet og reduksjonen av spyttvolumet.

    Spyttkjertelfunksjonen kan undersøkes objektivt med visualiseringsmetoder som sialografi og scintigrafi, eller ved standardiserte volumetriske målinger. Stimulert sekresjon kan måles ved for eksempel å la pasienten tygge på parafinvoks og samle opp spyttet. Normalverdi for stimulert helsaliva er 1,5 ml/min, mens ≤ 0,7 ml/min anses som patologisk. Tilsvarende verdier for hvilesaliva er 0,3 ml/min og ≤ 0,1 ml/min (2). Både inter- og intraindividuelt er det stor variasjon i spyttsekresjonen. Redusert sekresjon av hvilesaliva er viktigere for følelsen av munntørrhet, enn om man normalt har lite spytt i munnen. Når sekresjonen er halvert, vil de fleste erfare munntørrhet (3). Samme hva objektive undersøkelser viser, bør pasienter som plages av xerostomi få veiledning og hjelp.

    Medikamentelt betinget munntørrhet

    Medikamentelt betinget munntørrhet

    Det er mange årsaker til munntørrhet (ramme 2), men medikamenter er den vanligste (1, 3, 5, 6). Munntørrhet er en potensiell bivirkning av mer enn 500 medikamenter (5). I e-tab 1 viser noen av de mest aktuelle. Innen medikamentgrupper, for eksempel antihypertensiver og antidepressiver, kan det være stor variasjon i enkeltpreparaters tilbøyelighet til å forårsake munntørrhet. Både når det gjelder enkeltpreparater og enkeltindivider, må man ha klart for seg at xerostomi er en mulig medikamentell bivirkning, men ikke en som alltid forekommer.

    Årsaker til munntørrhet

    Iatrogene

    • Medikamenter

    • Stråleterapi

    Sykdommer

    • Spyttkjertelsykdommer

    • Autoimmune (f. eks. Sjögrens syndrom)

    • Infeksjoner (f.eks. HIV, hepatitt C, HTLV-1)

    • Dehydrering

    • Diabetes

    • Psykogene (depresjon, angst)

    Tabell 1  

    Medikamenter som kan gi munntørrhet. Innen hver gruppe angis inntil to av de mest brukte, hvert med ett salgsnavn som eksempel

    Antikolinergika

    Sympatomimetika

    Antiemetika

    Antastmatika

     Skopolamin (Scopoderm)

     Salbutamol (Ventoline)

    Antastmatika

     Terbutalin (Bricanyl)

     Ipratropiumbromid (Atrovent)

    Neseslimhinneavsvellende midler

     Tiotropiumbromid (Spiriva)

     Fenylpropanolamin (Rinexin)

    Mot overaktiv blære

     Xylometazolin (Otrivin)

     Tolterodin (Detrusitol)

    Øyedråper – mot intraokulært trykk

    Mot spasmer i mage/tarm m.m.

     Brimonidin (Alphagan)

     Butylskopolamin (Buscopan)

    Antihypertensiver

     Hyoscyamin (Egazil)

    ACE-hemmere

    Øyedråper – mydriatika

     Enalapril (Renitec)

     Atropin

     Ramipril (Triatec)

     Tropikamid (Tropikamid Minims)

    Alfablokkere

    Antiparkinsonmidler

     Doxazosin (Carduran)

    Antikolinerge

    Betablokkere

     Biperiden (Akineton)

     Atenolol (Tenormin)

     Orfenadrin (Disipal)

     Metoprolol (Selo-Zok)

    Dopaminerge

    Imidazolinreseptoragonist

     Levodopa + dekarboksylasehemmer (Sinemet)

     Moksonidin (Physiotens)

    Antidepressiver

    Sympatikushemmere

    Ikke-selektive monoaminopptakshemmere

     Metyldopa (Aldomet)

     Amitriptylin (Sarotex)

    Diuretika

     Trimipramin (Surmontil)

     Furosemid (Lasix)

    Selektive serotoninreopptakshemmere

     Hydroklortiazid (Esidrex)

     Citalopram (Cipramil)

    Analgetika

     Sertralin (Zoloft)

    Opioider

    Andre antidepressiver

     Kodein

     Mirtazapin (Remeron)

     Morfin (Dolcontin)

     Venlafaxin (Efexor)

    Ikke-steroide antiinflammatoriske midler

    Antipsykotika

     Ibuprofen (Brufen)

     Olanzapin (Zyprexa)

     Diklofenak (Voltaren)

     Litium (Lithionit)

    Migrenemidler

    Anxiolytika

     Klonidin (Catapresan)

     Diazepam (Valium)

     Sumatriptan (Imigran)

    Hypnotika og sedativa

    Antipsoriasismidler

     Zopiklon (Imovane)

     Acitretin (Neotigason)

    Antihistaminer

    Antidiarroika

     Loratadin (Clarityn)

     Loperamid (Travello)

     Desloratadin (Aerius)

    Røykeavvenningspreparater

    Antiepileptika

     Bupropion (Zyban)

     Karbamazepin (Tegretol)

     Nikotin (Nicorette)

    Muskelrelakserende midler

     Baklofen (Lioresal)

     Karisoprodol (Somadril)

    Legemiddelbeskrivelser angir vanligvis prosentuell hyppighet av xerostomi. Slike angivelser må tolkes med varsomhet. For denne, som for andre bivirkninger, avhenger hyppigheten av under hvilke betingelser den er registrert (med eller uten angitte svaralternativer, hvilken lidelse som behandles, dosering osv.).

    Ved medikamentindusert munntørrhet bør det først vurderes om medisineringen kan endres. Finnes det alternativer som gir den ønskede behandlingseffekt uten tilsvarende munntørrhetsproblem? Kan dosen reduseres eller kan doseringsskjemaet endres slik at konsentrasjonen av medikamentet blir lavere på den tiden av døgnet når munntørrhetsplagene er størst? Ved polyfarmasi kan seponering av unødige medikamenter gi bedring. Prevalensen av xerostomi avhenger, ikke bare av det enkelte medikaments potensial for munntørrhet, men er også positivt korrelert med det totale antall medikamenter som pasienten bruker (1, 7).

    Ikke-medikamentelle tiltak ved munntørrhet

    Ikke-medikamentelle tiltak ved munntørrhet

    Spytterstatningsmidler kan brukes når det ikke sekreres nok spytt. Spraypreparater (Saliva Orthana, Atrisal) med kunstig spytt (vann, mucin og salter) kan kjøpes på apotek. De kan gi god hjelp, men effekten er kortvarig. Mange foretrekker hyppig fukting av munnen med litt vann, gjerne ved å sippe fra en medbragt «sippeflaske».

    Tygge- og/eller smaksstimuli kan øke spyttsekresjonen. For pasienter med egne tenner bør fluorholdige sugetabletter (fortrinnsvis Xerodent, som også inneholder eplesyre som stimulerer sekresjonen) eller tyggegummi (Flurette, Flux) være førstealternativ. Sukkerholdige preparater gjør vondt verre og bør unngås.

    Akupunktur er en supplerende mulighet. En rekke studier viser at akupunktur kan øke spyttsekresjonen og lindre ubehaget (3, 5, 8).

    Medikamentell stimulering av spyttsekresjonen

    Medikamentell stimulering av spyttsekresjonen

    Pilokarpin, som i mer enn 100 år og i mange studier er benyttet til å stimulere spyttsekresjonen, er fortsatt det mest aktuelle preparatet for dette formålet. Pilokarpin, som virker parasympatomimetisk ved ikke-selektiv stimulering av muskarine reseptorer, gir også en viss stimulering av betaadrenerge reseptorer. Bruken er best dokumentert ved Sjögrens syndrom og stråleindusert munntørrhet. Flere velkontrollerte studier viser at 5 – 10 mg pilokarpin 2 – 4 ganger daglig kan lindre plagene ved munntørrhet og øke spyttsekresjonen (9). Effekten varer bare noen få timer, og det kan ta uker eller måneder før maksimal effekt oppnås (8). Bivirkninger, for eksempel svetting, er vanlig, men er oftest milde og tolerable. Pilokarpin bør ikke gis til pasienter med ukontrollert astma, eller ved trangvinkelglaukom og brukes med forsiktighet ved pulmonal eller kardiovaskulær sykdom.

    Pilokarpin i tablettform markedsføres i flere land, bl.a. i Sverige. Slike tabletter (Salagen, tabl. à 5 mg pilokarpin) kan rekvireres på godkjenningsfritak, men de er kostbare. Alternativt kan pilokarpin øyedråper forskrives til peroral bruk, 5 – 10 mg pilokarpin 2 – 4 ganger daglig.

    Tverrfaglig samarbeid

    Tverrfaglig samarbeid

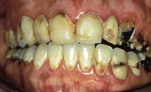
    Munntørrhet gir et utmerket miljø for utvikling av sykdommer i munn og svelg. Det gjelder karies (fig 1) og periodontitt, men også sår og candidoser som kan forårsake betydelig ubehag og smaksforstyrrelser. Det er viktig at pasienten gis råd og veiledning om aktuell egenomsorg (ramme 3). Ofte er det hensiktsmessig at leger og tannleger samarbeider for å hjelpe pasienten.

    Aktuelle råd om egenomsorg ved munntørrhet

    • Prøv å skifte til fluortannpasta som ikke skummer (f.eks. Zendium), fordi overflateaktive stoffer (f.eks. natriumlaurylsulfat) kan ødelegge den beskyttende spytthinnen i munnen

    • Stimulering av spyttsekresjonen med sukkerfrie sugetabletter eller tyggegummi. På apotek selges slike med fluoriddoser à 0,25 mg

    • Rengjør tenner, tunge og munnhule grundig (tannbørste, tanntråd, tannstikker)

    • Rengjøring og bruk av fluorid bør skje like etter måltider

    • Unngå søtsaker og sukkerholdig saft og drikke. Slike produkter forverrer munntørrheten

    • Drikk rikelig og ofte vann. Ved munntørrhet om natten, la litt vann skylle rundt i munnen før det svelges

    • Spraypreparater med kunstig spytt til å fukte munnen med kan kjøpes på apotek. Disse hjelper noen, men vann gir ofte like god effekt

    • Tannproteser krever grundig renhold. Løsner helproteser på grunn av munntørrhet, kan festemidler bedre festet

    • Oppsøk tannlege for individualisert veiledning om optimal tann- og munnpleie

    Ubehaget ved xerostomi er en god indikator på fare for rask utvikling av karies. Dette fordi redusert sekresjon av hvilesaliva påvirker kariessituasjonen. Slike pasienter bør anbefales å oppsøke tannlege for råd om munnhygiene og andre tiltak mot karies. Viktigst er regelmessig fluoridtilførsel. Fluorid tannskyllevæske er en tilførselsform som ikke minst kan anbefales som en del av den daglige munnhygiene for eldre på alders- og sykehjem. Leger med ansvar for slike institusjoner bør samarbeide med den offentlige tannhelsetjenesten om hensiktsmessige munnhygieneprogrammer.

    Munntørrhet ved terminal pleie

    Munntørrhet ved terminal pleie

    Både medikamenter og sykdommer kan bidra til munntørrhet hos terminalt syke. Plagene lindres vanligvis ikke av intravenøs væske. Slimhinne-/leppeuttørring kan motvirkes ved pensling med 75 % glyserol i vann, spytterstatningsmidler og eventuelt leppepomade. Forsøksvis er også systemisk pilokarpin et alternativ.

    Oppgitte interessekonflikter: Ingen

    Kommentarer  ( 0 )

    Anbefalte artikler