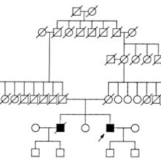
30.08.2000:
Svulster i hjertet forekomme meget sjelden og kun hos 0,002 – 0,03 % av uselekterte pasienter i store obduksjonsmaterialer (1, 2). Ved Sintef Unimed, Norsk pasientregister, ble det i tiårsperioden 1990 – 99 registrert 82 pasienter med godartet svulst i hjertet, mens det i Kreftregisteret i tiårsperioden 1988 – 97 ble registrert ni pasienter med primær, ondartet svulst i hjertet. Karakteristisk ved tumor cordis er at de fleste (80 – 90 %) svulstene er godartede. Tre firedeler av de benigne tumorformene utgjøres av myksomer, mens resten hovedsakelig består av rabdomyomer, papillære...